Abstract
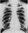
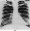
Hodson, Margaret E., Simon, G., and Batten, J. C. (1974).Thorax, 29, 296-303. Radiology of uncomplicated asthma. In 22 of the 117 patients with asthma, over 15 years of age, the chest radiograph showed overinflation (O1 pattern) and additional vascular changes in two (O2 pattern). Neither abnormality was seen in 60 controls. Abnormal radiographs were found in 31% of patients whose asthma started before the age of 15 but in none of those in whom it started over 30 years of age. The mean age of patients with abnormal radiographs was 24·6 years, compared with 40·1 years for those with normal films. Radiographic changes bore no relation to duration of disease. In some cases the abnormality persisted; in others it was present only during the acute episode.
Full text
PDF







Images in this article
Selected References
These references are in PubMed. This may not be the complete list of references from this article.
- Anderson G., Reid L., Simon G. The radiographic appearances in primary and in thrombo-embolic pulmonary hypertension. Clin Radiol. 1973 Jan;24(1):113–120. doi: 10.1016/s0009-9260(73)80129-1. [DOI] [PubMed] [Google Scholar]
- Lennon E. A., Simon G. The height of the diaphragm in the chest radiograph of normal adults. Br J Radiol. 1965 Dec;38(456):937–943. doi: 10.1259/0007-1285-38-456-937. [DOI] [PubMed] [Google Scholar]
- REID L., MILLARD F. J. CORRELATION BETWEEN RADIOLOGICAL DIAGNOSIS AND STRUCTURAL LUNG CHANGES IN EMPHYSEMA. Clin Radiol. 1964 Oct;15:307–311. doi: 10.1016/s0009-9260(64)80002-7. [DOI] [PubMed] [Google Scholar]
- SIMON G. RADIOLOGY AND EMPHYSEMA. Clin Radiol. 1964 Oct;15:293–306. doi: 10.1016/s0009-9260(64)80001-5. [DOI] [PubMed] [Google Scholar]
- Simon G., Connolly N., Littlejohns D. W., McAllen M. Radiological abnormalities in children with asthma and their relation to the clinical findings and some respiratory function tests. Thorax. 1973 Mar;28(2):115–123. doi: 10.1136/thx.28.2.115. [DOI] [PMC free article] [PubMed] [Google Scholar]
- Simon G., Reid L., Tanner J. M., Goldstein H., Benjamin B. Growth of radiologically determined heart diameter, lung width, and lung length from 5-19 years, with standards for clinical use. Arch Dis Child. 1972 Jun;47(253):373–381. doi: 10.1136/adc.47.253.373. [DOI] [PMC free article] [PubMed] [Google Scholar]







