Abstract
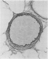
An African youth who had died from primary pulmonary hypertension was suspected of having ingested a herbal remedy containing the seeds of the local plant Crotalaria laburnoides. Consequently powdered seeds of this plant were fed to 20 Wistar albino rats for 60 dyas to see if this would induce ventricular hypertrophy and associated hypertensive pulmonary vascular disease. At the end of the experimental period right ventricular hypertrophy, medial hypertrophy of the pulmonary trunk and 'muscular pulmonary arteries', and muscularization of the pulmonary arterioles had developed in a proportion of the test animals. These are the morbid anatomical features pathognomonic of a raised pulmonary arterial pressure and show that the seeds of Crotalaria laburnoides contain an agent capable of inducing pulmonary hypertension in rats. This study suggests the value of seeking a history of ingestion of herbal remedies and drugs in cases of unexplained pulmonary hypertension in man.
Full text
PDF





Images in this article
Selected References
These references are in PubMed. This may not be the complete list of references from this article.
- Burns J. The heart and pulmonary arteries in rats fed on Senecio jacobaea. J Pathol. 1972 Mar;106(3):187–194. doi: 10.1002/path.1711060306. [DOI] [PubMed] [Google Scholar]
- FULTON R. M., HUTCHINSON E. C., JONES A. M. Ventricular weight in cardiac hypertrophy. Br Heart J. 1952 Jul;14(3):413–420. doi: 10.1136/hrt.14.3.413. [DOI] [PMC free article] [PubMed] [Google Scholar]
- Heath D., Kay J. M. Medical thickness of pulmonary trunk in rats with cor pulmonale induced by ingestion of Crotalaria spectabilis seeds. Cardiovasc Res. 1967 Jan;1(1):74–79. doi: 10.1093/cvr/1.1.74. [DOI] [PubMed] [Google Scholar]
- Kay J. M., Heath D. Observations on the pulmonary arteries and heart weight of rats fed on Crotalaria spectabilis seeds. J Pathol Bacteriol. 1966 Oct;92(2):385–394. doi: 10.1002/path.1700920216. [DOI] [PubMed] [Google Scholar]
- Kay J. M., Heath D., Smith P., Bras G., Summerell J. Fulvine and the pulmonary circulation. Thorax. 1971 May;26(3):249–261. doi: 10.1136/thx.26.3.249. [DOI] [PMC free article] [PubMed] [Google Scholar]







