Abstract
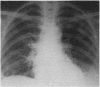
A patient who developed who developed a protracted illness following severe mycoplasma pneumonia is described. The acute phase of the infection was complicated by myocarditis and haemolytic anaemia. The respiratory symptoms abated and lung function tests improved with the administration of systemic and inhaled corticosteroids.
Full text
PDF



Images in this article
Selected References
These references are in PubMed. This may not be the complete list of references from this article.
- Foy H. M., Ochs H., Davis S. D., Kenny G. E., Luce R. R. Mycoplasma pneumoniae infections in patients with immunodeficiency syndromes: report of four cases. J Infect Dis. 1973 Apr;127(4):388–393. doi: 10.1093/infdis/127.4.388. [DOI] [PubMed] [Google Scholar]
- HAYFLICK L., CHANOCK R. M. MYCOPLASMA SPECIES OF MAN. Bacteriol Rev. 1965 Jun;29:185–221. doi: 10.1128/br.29.2.185-221.1965. [DOI] [PMC free article] [PubMed] [Google Scholar]
- Jones M. C. Mycoplasma pneumonia. Practitioner. 1969 Dec;203(218):751–759. [PubMed] [Google Scholar]
- KINGSTON J. R., CHANOCK R. M., MUFSON M. A., HELLMAN L. P., JAMES W. D., FOX H. H., MANKO M. A., BOYERS J. Eaton agent pneumonia. JAMA. 1961 Apr 15;176:118–123. doi: 10.1001/jama.1961.03040150034009. [DOI] [PubMed] [Google Scholar]
- Lambert H. P. Antibody to Mycoplasma pneumoniae in normal subjects and in patients with chronic bronchitis. J Hyg (Lond) 1968 Jun;66(2):185–189. doi: 10.1017/s0022172400041061. [DOI] [PMC free article] [PubMed] [Google Scholar]
- Lambert H. P. Infections caused by Mycoplasma pneumoniae. Br J Dis Chest. 1969 Apr;63(2):71–82. doi: 10.1016/s0007-0971(69)80032-x. [DOI] [PubMed] [Google Scholar]
- Lewes D., Rainford D. J., Lane W. F. Symptomless myocarditis and myalgia in viral and Mycoplasma pneumoniae infections. Br Heart J. 1974 Sep;36(9):924–932. doi: 10.1136/hrt.36.9.924. [DOI] [PMC free article] [PubMed] [Google Scholar]
- MUFSON M. A., MANKO M. A., KINGSTON J. R., CHANOCK R. M. Eaton agent pneumonia-clinical features. JAMA. 1961 Oct 28;178:369–374. doi: 10.1001/jama.1961.03040430005002. [DOI] [PubMed] [Google Scholar]
- Noriega E. R., Simberkoff M. S., Gilroy F. J., Rahal J. J., Jr Life-threatening Mycoplasma pneumoniae pneumonia. JAMA. 1974 Sep 9;229(11):1471–1472. [PubMed] [Google Scholar]
- Worlledge S. M., Blajchman M. A. The autoimmune haemolytic anaemias. Br J Haematol. 1972 Sep;23(Suppl):61–69. doi: 10.1111/j.1365-2141.1972.tb03505.x. [DOI] [PubMed] [Google Scholar]

