Abstract
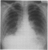
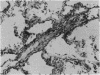
A technician working in a medical laboratory used a spray of sodium diazobenzenesulphate (Pauli's reagent) in chromatography. She developed a respiratory illness with both airways obstruction and radiographic and physiological evidence of interstitial pneumonitis. An occupational type of challenge test was followed by both immediate and late bronchial obstructive responses, by a fall in arterial oxygen tension, and by increased radiographic shadowing. Histology of a lung biopsy specimen, a low serum C3, and a postive skin prick test to the reagent suggested that the illness was a hypersensitivity reaction to Pauli's reagent.
Full text
PDF



Images in this article
Selected References
These references are in PubMed. This may not be the complete list of references from this article.
- Alanko K., Keskinen H., Björkstén F., Ojanen S. Immediate-type hypersensitivity to reactive dyes. Clin Allergy. 1978 Jan;8(1):25–31. doi: 10.1111/j.1365-2222.1978.tb00444.x. [DOI] [PubMed] [Google Scholar]
- BECKLAKE M. R., GOLDMAN H. I., BOSMAN A. R., FREED C. C. The long-term effects of exposure to nitrous fumes. Am Rev Tuberc. 1957 Sep;76(3):398–409. doi: 10.1164/artpd.1957.76.3.398. [DOI] [PubMed] [Google Scholar]
- Bryant D. H., Burns M. W., Lazarus L. New type of allergic asthma due to IgG "reaginic" antibody. Br Med J. 1973 Dec 8;4(5892):589–592. doi: 10.1136/bmj.4.5892.589. [DOI] [PMC free article] [PubMed] [Google Scholar]
- Dolovich J., Hargreave F. E., Chalmers R., Shier K. J., Gauldie J., Bienenstock J. Late cutaneous allergic responses in isolated IgE-dependent reactions. J Allergy Clin Immunol. 1973 Jul;52(1):38–46. doi: 10.1016/0091-6749(73)90119-x. [DOI] [PubMed] [Google Scholar]
- Feinmann L. Drug-induced lung disease: pulmonary eosinophilia and sulphonamides. Proc R Soc Med. 1975 Jul;68(7):440–441. doi: 10.1177/003591577506800723. [DOI] [PMC free article] [PubMed] [Google Scholar]
- Ferris B. G., Jr, Peters J. M., Burgess W. A., Cherry R. B. Apparent effect of an azodicarbonamide on the lungs. A preliminary report. J Occup Med. 1977 Jun;19(6):424–425. doi: 10.1097/00043764-197706000-00012. [DOI] [PubMed] [Google Scholar]
- Fiegenberg D. S., Weiss H., Kirshman H. Migratory pneumonia with eosinophilia associated with sulfonamide administration. Arch Intern Med. 1967 Jul;120(1):85–89. [PubMed] [Google Scholar]
- Jones G. R., Proudfoot A. T., Hall J. I. Pulmonary effects of acute exposure to nitrous fumes. Thorax. 1973 Jan;28(1):61–65. doi: 10.1136/thx.28.1.61. [DOI] [PMC free article] [PubMed] [Google Scholar]
- McADAMS A. J., Jr Bronchiolitis obliterans. Am J Med. 1955 Aug;19(2):314–322. doi: 10.1016/0002-9343(55)90430-7. [DOI] [PubMed] [Google Scholar]
- Neuman I., Elian R., Nahum H., Shaked P., Creter D. The danger of "yellow dyes" (tartrazine) to allergic subjects. Clin Allergy. 1978 Jan;8(1):65–68. doi: 10.1111/j.1365-2222.1978.tb00449.x. [DOI] [PubMed] [Google Scholar]
- Parish W. E. Short-term anaphylactic IgG antibodies in human sera. Lancet. 1970 Sep 19;2(7673):591–592. doi: 10.1016/s0140-6736(70)90170-4. [DOI] [PubMed] [Google Scholar]
- SANERKIN N. G., EVANS D. M. THE SPUTUM IN BRONCHIAL ASTHMA: PATHOGNOMONIC PATTERNS. J Pathol Bacteriol. 1965 Apr;89:535–541. [PubMed] [Google Scholar]
- Thomas P., Seaton A., Edwards J. Respiratory disease due to sulphasalazine. Clin Allergy. 1974 Mar;4(1):41–47. doi: 10.1111/j.1365-2222.1974.tb01361.x. [DOI] [PubMed] [Google Scholar]


