Abstract
A 74-year-old woman presented with edema in the lower extremities. Laboratory tests revealed anemia, thrombocytopenia, hypoalbuminemia, hypercholesterolemia, and nephrotic-range proteinuria. Myelodysplastic syndrome-refractory cytopenia with multilineage dysplasia (MDS-RCMD) was confirmed by bone marrow biopsy. Renal biopsy demonstrated membranous glomerulonephritis (MGN), stage I. Based on these clinicopathologic results, she was diagnosed as having MGN with MDS-RCMD. This is a rare case report of MGN in a parient with MDS-RCMD featuring nephrotic syndrome.
Keywords: Membranous glomerulonephritis, Myelodysplastic syndrome, Nephrotic syndrome, Refractory cytopenia with multilineage dysplasia
Introduction
Myelodysplastic syndrome (MDS) is a stem-cell disorder characterized by progressive impairment in the differentiation of hematopoietic cells, resulting in a wide range of hematologic and clinical features [1]. Refractory cytopenia with multilineage dysplasia (RCMD) is one of the subtypes of MDS, according to the World Health Organization (WHO) classification [2]. Only a few cases of glomerulonephritis associated with MDS have been demonstrated [3], [4], [5], [6], [7], [8], [9]. However, most of them were reported in chronic myelomonocytic leukemia (CMML), which is not currently included in the MDS category [2]. We herein report a case of membranous glomerulonephritis (MGN) with MDS-RCMD featuring nephrotic syndrome.
Case report
A 74-year-old woman was admitted to Yonsei University Health System for evaluation of edema in her lower extremities, which lasted for 2 months. She did not have any specific medical history prior to admission. On physical examinations, pale conjunctiva and grade 3 pitting edema in lower extremities were observed. Distended abdomen and shifting dullness were also detected. Her blood pressure was 141/88 mmHg, pulse rate 88 beats/min, respiratory rate 22 breaths/min, and body temperature 37.1 °C. Laboratory studies were as follows: red blood cell count 1,540/μL, hemoglobin 4.9 g/dL, hematocrit 16%, white blood cell count 7,070/μL (neutrophil 76%, lymphocyte 19%, and monocyte 4%), platelet count 25,000/μL, and corrected reticulocyte count 0.71%. Peripheral blood smear showed macrocytic hypochromic anemia with moderate anisopoikilocytosis, and giant platelets were present. Laboratory results were as follows: serum total protein, 4.7 mg/dL; albumin, 1.6 mg/dL; blood urea nitrogen, 29.5 mg/dL; creatinine, 0.94 mg/dL; total cholesterol, 315 mg/dL; vitamin B12, 1741 pg/mL; folate, 6.37 ng/mL; C-reactive protein, 2.91 mg/dL; and lactate dehydrogenase, 675 IU/L. Urine analysis revealed 4+ proteinuria and microscopic hematuria (RBC 5-10/HPF). Random urine protein to creatinine ratio was 9.34. The quantitative amount of urinary protein for 24 hours was 14 g. In immunologic tests, antinuclear antibody (ANA) was positive (1:160, mixed pattern) and other autoimmune antibodies were normal. Serum C3 was 102 mg/dL and C4 was 21.6 mg/dL. Serum protein electrophoresis showed that the levels of immunoglobulin (Ig) A (748 mg/dL) and IgM (240.6 mg/dL) were elevated.
Bone marrow biopsy showed hypercellular marrow (cellularity: 80–90%). Blast cells were 0.8% of the total absolute neutrophil counts. Dyspoietic erythroid precursors were present in about 10–15% (Fig. 1A). Ringed sideroblasts were observed in 20–25% of erythroblasts. Megakaryocytes were markedly increased in number and megakaryocytic abnormality was seen (Fig. 1B). MDS-RCMD was diagnosed according to the WHO classification. Renal biopsy demonstrated global sclerosis in one of the 13 glomeruli. The remaining nonsclerotic glomeruli were normocellular without mesangial expansion (Fig. 2). Immunofluorescence revealed diffuse granular deposition of IgG (2+) (Fig. 3A), C3 (1+) (Fig. 3B), and segmental linear deposition of fibrinogen (1+) along the peripheral capillary wall. Granular deposits of IgM (specks) were detected in the mesangium. Electron microscopy showed podocyte foot process effacement. The mesangium was not expanded and had no electron-dense deposit. From these findings, a diagnosis of MGN, Stage I, was made. On the basis of these clinicopathologic findings, the patient was diagnosed as having MGN with MDS-RCMD. She was managed with conventional therapies for nephrotic syndrome, such as losartan (50 mg once a day), rosuvastatin (20 mg once a day), furosemide (40 mg twice a day), and spironolactone (100 mg once a day). After the final diagnosis was confirmed, she was treated with oral prednisolone (35 mg twice a day, 1 mg/kg) and then with decitabine (34 mg, 20 mg/m2). Cyclosporine (350 mg, 5 mg/kg) was added when the first cycle of decitabine was finished. After the second cycle of decitabine, her hemoglobin and platelet levels were increased and edema in lower extremities was improved. However, nephrotic-range proteinuria remained. She was discharged with tapered doses of prednisolone (15 mg once a day) and cyclosporine (150 mg once a day). Nephrotic-range proteinuria remained 3 months later, without remission.
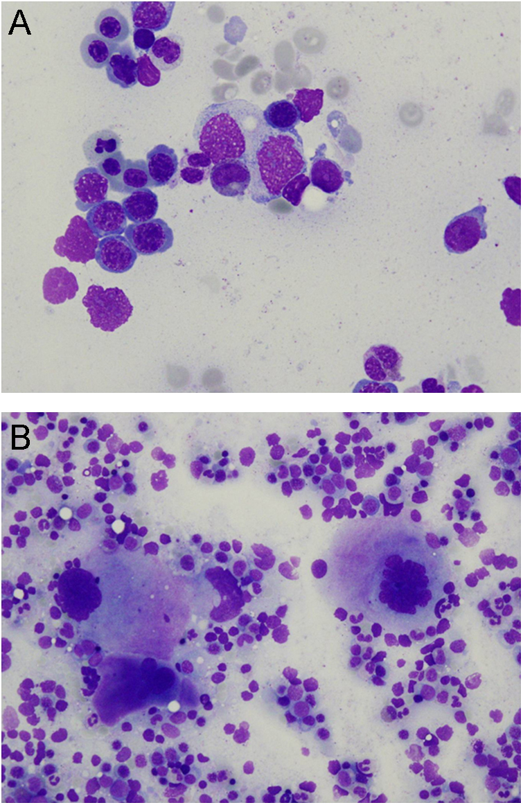
Figure 1.

Bone marrow aspirate finding. (A) Erythroid precursors showed nuclear lobulation. (B) Increased number of megakaryocytes with abnormal nuclei was seen. BM findings are suggested MDS-RCMD. BM, bone marrow; MDS-RCMD, myelodysplastic syndrome-refractory cytopenia with multilineage dysplasia.
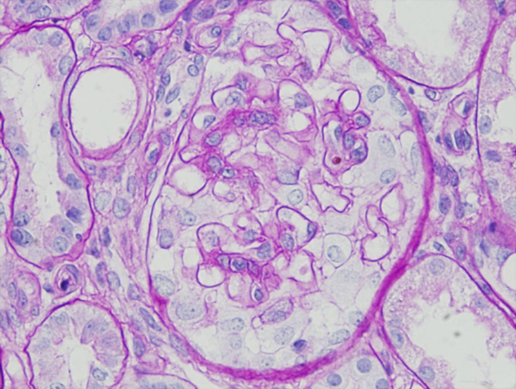
Figure 2.

Periodic acid staining. Normocellular glomeruli without mesangial expansion were observed.
Figure 3.

Immunofluorescence results. Diffuse granular IgG(A), and C3 (B) deposits are seen along the peripheral capillary wall in glomerulus.
Discussion
Glomerulonephritis is known to be associated with various solid tumors, malignant lymphoma [10], and chronic lymphocytic leukemia [11]. Previous studies have reported an association between solid tumors and MGN. In a cohort study of 240 patients with MGN, 24 (10%) patients had malignancy at the time of renal biopsy or within a year thereafter [12]. The incidence of cancer was significantly higher in these patients than in the general population. Moreover, an increased risk of developing cancer was observed after the diagnosis of MGN. In hematologic disease, the most common lesion associated with Hodgkin's lymphoma is minimal change disease [10]. MGN or membranoproliferative glomerulonephritis were reported in patients with chronic lymphocytic leukemia [11].
MDS is characterized by abnormal bone marrow differentiation and maturation, cytopenia with normal or increased bone marrow cellularity, morphologically and functionally changed progenitors, and a variable risk of evolution to acute leukemia [1]. MDS had been divided into five subtypes by the French–American–British (FAB) classification system since 1983. In 2002, the WHO classification refined the definition of some subtypes to improve their clinical relevance [2]. CMML was removed from MDS category and placed in a newly created group, myelodysplastic/myeloproliferative disease. RCMD is characterized by <5% bone marrow blasts but with severe dysplasia in two more cell lineages.
Renal involvement in patients with MDS is rare, and there are only sporadic reports of glomerulonephritis associated with MDS [9]. In cohort studies of MDS patients, the frequency of clinical glomerular disease has been reported to be 2 of 221 (0.9%) [5], 4 of 825 (0.48%) [4], and 5 of 125 (4%) [6]. A MEDLINE search revealed that a total of 15 cases of clinical glomerular disease were associated with MDS in adults [3], [4], [5], [6], [8]. MGN [5], [8], crescentic glomerulonephritis [4], atheroembolic renal disease [8], amyloidosis [4], and mesangial proliferative glomerulonephritis with or without mesangial IgA deposition [5], [6], [7] were reported. Among them, nephrotic syndrome was presented in eight cases [3], [4], [6].
Nephrotic syndrome is more frequently reported in patients with CMML than in those with other FAB subgroups. Paydas et al [3] reported a case of nephrotic syndrome accompanying anemia–thrombocytopenia in 1995. Splenomegaly and bone marrow infiltrated by monocytic cells supported the diagnosis of CMML. Renal biopsy revealed MGN. In the study of 825 de novo MDS patients, nephrotic syndrome was diagnosed in three individuals and they all fulfilled the diagnostic criteria for CMML, including blood and bone marrow monocytosis [4]. Renal biopsy was performed in only one patient and AL amyloidosis was confirmed. Saitoh et al [6] reported that three of 125 MDS patients had nephrotic syndrome. These three patients were diagnosed as having CMML.
However, most of the above cases were reported prior to 2002, and the FAB classification was applied to the diagnosis of MDS. As CMML has been eliminated from MDS category since 2008, this case is a rare report of MGN with MDS-RCMD according to the WHO classification.
From the literatures, nephrotic syndrome in CMML may be associated with monocytosis. Glomerular infiltration of monocytes was observed in different types of glomerulopathy, and the monocyte count was correlated to the activity of glomerulopathy [13]. It was also reported that increased serum and urine lysozyme levels may lead to tubular dysfunction and induction of interstitial nephritis [4]. Increased serum and urinary lysozyme levels are characteristic of monocytic leukemia. Tumor necrosis factor-α, a cytokine mainly produced by monocytes, was suspected to be a main cause of nephrotic syndrome. Serum tumor necrosis factor-α levels in CMML patients were higher than those in patients with other subgroups [14]. Based on these findings, it can be suggested that the glomerular infiltration of monocytes may play a role in the development of nephrotic syndrome with CMML.
Because nephrotic syndrome in MDS-RCMD has rarely been reported, the pathogenesis remains unknown. Moreover, the heterogeneity of the glomerular lesions in MDS implies that the pathogenesis is unlikely to be uniform. As monocytosis is not found in MDS-RCMD, the pathogenesis is different, with nephrotic syndrome with CMML possibly being involved in the development of nephrotic syndrome in RCMD patients. One possible candidate is an abnormal immunologic function. Paraneoplastic autoimmune phenomena have been associated with MDS, including acute systemic vasculitis syndrome, autoimmune disorders, classical connective tissue disease, and most frequently relapsing polychondritis [5]. A pathogenic role has been ascribed to “immune dysregulation,” leading to a wide spectrum of disturbances in macrophage/monocyte, T cell, and B cell functions. Immunologic abnormalities in both cell-mediated and humoral immune systems have been known in MDS patients [7]. Various immunological abnormalities, including defective B and T cell immunity, hyper- or hypogammaglobulinemia, autoantibodies, and complement disturbances, have been reported in MDS [9]. Furthermore, a considerable reduction in natural killer cell activity has also been found in peripheral blood of MDS patients [15]. Lastly, ANA was positive and serum levels of IgA and IgM were elevated in our patient. Although the mechanism remains unclear, these findings suggest that positive ANA is related to paraneoplastic autoimmune phenomena. Increased IgA and IgM levels are capable of activating complement, and immune complex deposit is known to be the major pathogenesis of MGN.
Nevertheless, the possibility exists that nephrotic syndrome and MDS-RCMD occurred coincidentally. Hence, further studies regarding the pathogenesis of nephrotic syndrome in MDS-RCMD will be required.
Conflicts of interest
All authors declare no conflict of interest.
References
- 1.Kouides P.A., Bennett J.M. Morphology and classification of the myelodysplastic syndromes and their pathologic variants. Semin Hematol. 1996;33:95–110. [PubMed] [Google Scholar]
- 2.Vardiman J.W., Harris N.L., Brunning R.D. The World Health Organization (WHO) classification of the myeloid neoplasms. Blood. 2002;100:2292–2302. doi: 10.1182/blood-2002-04-1199. [DOI] [PubMed] [Google Scholar]
- 3.Paydas S., Tuncer I., Zorludemir S., Gonlusen G. A case with membranous glomerulonephritis and myelodysplastic syndrome. Nephron. 1992;62:231–232. doi: 10.1159/000187040. [DOI] [PubMed] [Google Scholar]
- 4.Morschhauser F., Wattel E., Pagniez D., Lovi V., Rose C., Bauters F., Fenaux P. Glomerular injury in chronic myelomonocytic leukemia. Leuk Lymphoma. 1995;18:479–483. doi: 10.3109/10428199509059648. [DOI] [PubMed] [Google Scholar]
- 5.Enright H., Jacob H.S., Vercellotti G., Howe R., Belzer M., Miller W. Paraneoplastic autoimmune phenomena in patients with myelodysplastic syndromes: response to immunosuppressive therapy. Br J Haematol. 1995;91:403–408. doi: 10.1111/j.1365-2141.1995.tb05310.x. [DOI] [PubMed] [Google Scholar]
- 6.Saitoh T., Murakami H., Uchiumi H., Moridaira K., Maehara T., Matsushima T., Tsukamoto T., Tamura J., Karasawa M., Naruse T., Tsuchiya J. Myelodysplastic syndromes with nephrotic syndrome. Am J Hematol. 1999;60:200–204. doi: 10.1002/(sici)1096-8652(199903)60:3<200::aid-ajh6>3.0.co;2-0. [DOI] [PubMed] [Google Scholar]
- 7.Bogdanovic R., Kuzmanovic M., Markovic-Lipkovski J., Ognjanovic M., Micic D., Stankovic I., Stajic N., Nikolic V., Bunjevacki G. Glomerular involvement in myelodysplastic syndromes. Pediatr Nephrol. 2001;16:1053–1057. doi: 10.1007/s004670100025. [DOI] [PubMed] [Google Scholar]
- 8.Apostolou T., Sotsiou F., Pappas C., Rontoianni D., Apostolidis J., Nikolopoulou N. Atheroembolic renal disease and membranous nephropathy, in a patient with myelodysplastic syndrome, eosinophilia, and trisomy 8. Nephrol Dial Transplant. 2002;17:1336–1338. doi: 10.1093/ndt/17.7.1336. [DOI] [PubMed] [Google Scholar]
- 9.Nishida M., Ishida H., Nakai N., Morimoto A., Imashuku S., Hamaoka K., Yoshihara T. Focal segmental glomerulosclerosis in a girl with myelodysplastic syndrome. Nephrol Dial Transplant. 2004;19:2639–2641. doi: 10.1093/ndt/gfh345. [DOI] [PubMed] [Google Scholar]
- 10.Shapiro C.M., Vander Laan B.F., Jao W., Sloan D.E. Nephrotic syndrome in two patients with cured Hodgkin's disease. Cancer. 1985;55:1799–1804. doi: 10.1002/1097-0142(19850415)55:8<1799::aid-cncr2820550827>3.0.co;2-s. [DOI] [PubMed] [Google Scholar]
- 11.Moulin B., Ronco P.M., Mougenot B., Francois A., Fillastre J.P., Mignon F. Glomerulonephritis in chronic lymphocytic leukemia and related B-cell lymphomas. Kidney Int. 1992;42:127–135. doi: 10.1038/ki.1992.270. [DOI] [PubMed] [Google Scholar]
- 12.Lefaucheur C., Stengel B., Nochy D., Martel P., Hill G.S., Jacquot C., Rossert J. Membranous nephropathy and cancer: epidemiologic evidence and determinants of high-risk cancer association. Kidney Int. 2006;70:1510–1517. doi: 10.1038/sj.ki.5001790. [DOI] [PubMed] [Google Scholar]
- 13.Magil A.B., Cohen A.H. Monocytes and focal glomerulosclerosis. Lab Invest. 1989;61:404–409. [PubMed] [Google Scholar]
- 14.Verhoef G.E., De Schouwer P., Ceuppens J.L., Van Damme J., Goossens W., Boogaerts M.A. Measurement of serum cytokine levels in patients with myelodysplastic syndromes. Leukemia. 1992;6:1268–1272. [PubMed] [Google Scholar]
- 15.Bynoe A.G., Scott C.S., Ford P., Roberts B.E. Decreased T helper cells in the myelodysplastic syndromes. Br J Haematol. 1983;54:97–102. doi: 10.1111/j.1365-2141.1983.tb02071.x. [DOI] [PubMed] [Google Scholar]
