Abstract
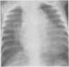
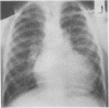
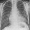
A report is presented of pulmonary artery banding in 45 children with congenital heart disease associated with severe pulmonary hypertension. The majority were in uncontrollable heart failure and were in the age group 3 to 18 months. Nine older children not in heart failure were operated on because of serious pulmonary hypertension associated with malformations considered unsuitable for complete repair (truncus arteriosus, single ventricle). The mortality in those with uncomplicated ventricular septal defect was low (5.5%), but was much higher in those with accompanying lesions or more complex abnormalities (63%). All have been under supervision since operation and most have improved with diminution in cardiac size and recession of pulmonary congestion. Two have been recatheterized and both have undergone successful closure of their ventricular septal defect. It is our intention to reinvestigate many of the others three to four years after banding to assess the size of the defect prior to further surgery.
Full text
PDF






Images in this article
Selected References
These references are in PubMed. This may not be the complete list of references from this article.
- AULD P. A., JOHNSON A. L., GIBBONS J. E., MCGREGOR M. CHANGES IN PULMONARY VASCULAR RESISTANCE IN INFANTS AND CHILDREN WITH LEFT-TO-RIGHT INTRACARDIAC SHUNTS. Circulation. 1963 Feb;27:257–260. doi: 10.1161/01.cir.27.2.257. [DOI] [PubMed] [Google Scholar]
- CRAIG T. V., SIRAK H. D. Pulmonary artery banding. An analysis of 38 cases. J Thorac Cardiovasc Surg. 1963 May;45:599–604. [PubMed] [Google Scholar]
- DAMMANN J. F., Jr, McEACHEN J. A., THOMPSON W. M., Jr, SMITH R., MULLER W. H., Jr The regression of pulmonary vascular disease after the creation of pulmonary stenosis. J Thorac Cardiovasc Surg. 1961 Dec;42:722–734. [PubMed] [Google Scholar]
- GOLDBLATT A., BERNHARD W. F., NADAS A. S., GROSS R. E. PULMONARY ARTERY BANDING: INDICATIONS AND RESULTS IN INFANTS AND CHILDREN. Circulation. 1965 Aug;32:172–184. doi: 10.1161/01.cir.32.2.172. [DOI] [PubMed] [Google Scholar]
- Grainger R. G., Nagle R. E., Pawidapha C., Robertson D. S., Taylor D. G., Thornton J. A., Verel D., Zachary R. B. Pulmonary artery banding for ventricular septal defect. Br Heart J. 1967 May;29(3):289–298. doi: 10.1136/hrt.29.3.289. [DOI] [PMC free article] [PubMed] [Google Scholar]
- LYNFIELD J., GASUL B. M., ARCILLA R., LUAN L. L. The natural history of ventricular septal defects in infancy and childhood, based on serial cardiac catheterization studies. Am J Med. 1961 Mar;30:357–371. doi: 10.1016/0002-9343(61)90046-8. [DOI] [PubMed] [Google Scholar]
- MORROW A. G., BRAUNWALD N. S. The surgical treatment of ventricular septal defect in infancy. The technic and results of pulmonary artery constriction. Circulation. 1961 Jul;24:34–40. doi: 10.1161/01.cir.24.1.34. [DOI] [PubMed] [Google Scholar]
- MULLER W. H., Jr, DANIMANN J. F., Jr The treatment of certain congenital malformations of the heart by the creation of pulmonic stenosis to reduce pulmonary hypertension and excessive pulmonary blood flow; a preliminary report. Surg Gynecol Obstet. 1952 Aug;95(2):213–219. [PubMed] [Google Scholar]
- OCHSNER J. L., COOLEY D. A., McNAMARA D. G., KLINE A. Surgical treatment of cardiovascular anomalies in 300 infants younger than one year of age. J Thorac Cardiovasc Surg. 1962 Feb;43:182–198. [PubMed] [Google Scholar]
- SLOAN H., MACKENZIE J., MORRIS J. D., STERN A., SIGMANN J. Open-heart surgery in infancy. J Thorac Cardiovasc Surg. 1962 Oct;44:459–476. [PubMed] [Google Scholar]






