Abstract
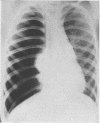
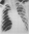
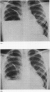
Nine cases of congenital cystic adenomatoid malformation of the lung are described. One was stillborn: two presented in the newborn period (one of them surviving after a lobectomy), and the remaining six were older children all of whom survived after lobectomy. There have been only three cases previously reported in children outside the newborn period. The pathological, clinical, and radiological features are discussed and compared with previously reported cases.
Full text
PDF











Images in this article
Selected References
These references are in PubMed. This may not be the complete list of references from this article.
- BELANGER R., LAFLECHE L. R., PICARD J. L. CONGENITAL CYSTIC ADENOMATOID MALFORMATION OF THE LUNG. Thorax. 1964 Jan;19:1–11. doi: 10.1136/thx.19.1.1. [DOI] [PMC free article] [PubMed] [Google Scholar]
- Birdsell D. C., Wentworth P., Reilly B. J., Donohue W. L. Congenital cystic adenomatoid malformation of the lung: a report of eight cases. Can J Surg. 1966 Oct;9(4):350–356. [PubMed] [Google Scholar]
- Breckenridge R. L., Rehermann R. L., Gibson E. T. Congenital cystic adenomatoid malformation of the lung. J Pediatr. 1965 Nov;67(5):863–866. doi: 10.1016/s0022-3476(65)80378-x. [DOI] [PubMed] [Google Scholar]
- CRAIG J. M., KIRKPATRICK J., NEUHAUSER E. B. Congenital cystic adenomatoid malformation of the lung in infants. Am J Roentgenol Radium Ther Nucl Med. 1956 Sep;76(3):516–526. [PubMed] [Google Scholar]
- GOODYEAR J. E., SHILLITOE A. J. Adenomatoid hamartoma of the lung in a newborn infant. J Clin Pathol. 1959 Mar;12(2):172–174. doi: 10.1136/jcp.12.2.172. [DOI] [PMC free article] [PubMed] [Google Scholar]
- GOTTSCHALK W., ABRAMSON D. Placental edema and fetal hydrops; a case of congenital cystic and adenomatoid malformation of the lung. Obstet Gynecol. 1957 Dec;10(6):626–631. [PubMed] [Google Scholar]
- HOLDER T. M., CHRISTY M. G. CYSTIC ADENOMATOID MALFORMATION OF THE LUNG. J Thorac Cardiovasc Surg. 1964 May;47:590–597. [PubMed] [Google Scholar]











