Abstract
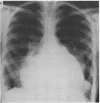
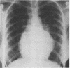
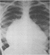
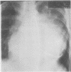
Radiographic evidence of asymmetrical enlargement of the left atrium without atrial infarction is presented. Giant atrial enlargement is rarely symmetrical, the atrial appendage can contribute to the enlargement, and the giant atrium can be effectively trimmed. This will reduce its size and, therefore, the space which it occupies, and will restore the anatomical relations of neighbouring structures such as the main bronchi.
Full text
PDF








Images in this article
Selected References
These references are in PubMed. This may not be the complete list of references from this article.
- FISHER D. L., FORD W. B., KENT E. M., NEVILLE J. F., Jr Mitral valve surgery and left heart catheterization in giant left atrium. AMA Arch Surg. 1956 Sep;73(3):503–507. doi: 10.1001/archsurg.1956.01280030129015. [DOI] [PubMed] [Google Scholar]
- Le Roux B. T., Williams M. A. Dysphagia megalatriensis. Thorax. 1969 Sep;24(5):603–606. doi: 10.1136/thx.24.5.603. [DOI] [PMC free article] [PubMed] [Google Scholar]
- SØNDERGAARD T. Closure of atrial septal defects; report of three cases. Acta Chir Scand. 1954;107(5):492–498. [PubMed] [Google Scholar]
- VENNER A. Massive left atrium and mitral valvotomy. Br Med J. 1954 Jun 12;1(4875):1359–1360. doi: 10.1136/bmj.1.4875.1359. [DOI] [PMC free article] [PubMed] [Google Scholar]












