Abstract
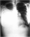
A case is presented of massive ascites and right sided pleural effusion caused by endometriosis. The final diagnosis was not made for a considerable time. Massive ascites and a right sided pleural effusion caused by endometriosis is rare, with fewer than 10 reports in the literature worldwide. Physicians should be aware of this potentially tentially treatable cause, having excluded other possibilities such as malignancy and tuberculosis.
Full text
PDF

Images in this article
Selected References
These references are in PubMed. This may not be the complete list of references from this article.
- Charran D., Roopnarinesingh S. Haemothorax and ascites associated with endometriosis. West Indian Med J. 1993 Mar;42(1):40–41. [PubMed] [Google Scholar]
- Chervenak F. A., Greenlee R. M., Lewenstein L., Tovell H. M. Massive ascites associated wth endometriosis. Obstet Gynecol. 1981 Mar;57(3):379–381. [PubMed] [Google Scholar]
- DALEY D. Cystic endometrioma of the uterus. Proc R Soc Med. 1954 Jun;47(6):461–463. doi: 10.1177/003591575404700617. [DOI] [PMC free article] [PubMed] [Google Scholar]
- Halme J., Chafe W., Currie J. L. Endometriosis with massive ascites. Obstet Gynecol. 1985 Apr;65(4):591–592. [PubMed] [Google Scholar]
- Karpel J. P., Appel D., Merav A. Pulmonary endometriosis. Lung. 1985;163(3):151–159. doi: 10.1007/BF02713817. [DOI] [PubMed] [Google Scholar]
- Taub W. H., Rosado S., Kalaycioglu M., Booher D., Barnes D. S. Hemorrhagic ascites secondary to endometriosis. J Clin Gastroenterol. 1989 Aug;11(4):458–460. doi: 10.1097/00004836-198908000-00023. [DOI] [PubMed] [Google Scholar]
- Yu J., Grimes D. A. Ascites and pleural effusions associated with endometriosis. Obstet Gynecol. 1991 Sep;78(3 Pt 2):533–534. [PubMed] [Google Scholar]

