Abstract
Thirty-one dog thyroid tumours and 28 spontaneous rat thyroid tumours were studied histologically and the findings compared with those of a study of 67 cases of medullary carcinoma of the human thyroid.
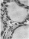
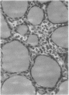
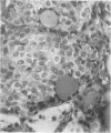
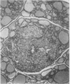
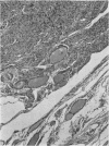
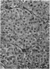
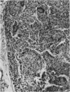
Five of the dog tumours and 24 of the rat tumours were considered to belong to the same group of tumours as medullary carcinoma, a group characterized by solid sheets or lobules of uniform cells with granular cytoplasm and without papillary or follicular differentiation. In the rat tumours it was shown that the cell of origin was the parafollicular cell and not the thyroid follicle epithelial cell.
It is suggested that medullary carcinoma is also derived from a parafollicular cell and that this origin would resolve the discrepancy between the relatively good prognosis and the apparently undifferentiated structure of this tumour. It is also concluded that the whole spectrum of clinical and pathological features of medullary carcinoma makes more sense if it is considered as a parafollicular cell tumour.
Full text
PDF




Images in this article
Selected References
These references are in PubMed. This may not be the complete list of references from this article.
- AXELRAD A. A., LEBLOND C. P. Induction of thyroid tumors in rats by a low iodine diet. Cancer. 1955 Mar-Apr;8(2):339–367. doi: 10.1002/1097-0142(1955)8:2<339::aid-cncr2820080214>3.0.co;2-m. [DOI] [PubMed] [Google Scholar]
- DONIACH I. The effect of radioactive iodine alone and in combination with methylthiouracil upon tumour production in the rat's thyroid gland. Br J Cancer. 1953 Jun;7(2):181–202. doi: 10.1038/bjc.1953.17. [DOI] [PMC free article] [PubMed] [Google Scholar]
- FALCK B., LARSON B., VON, ROSENGREN E., SVENAEUS K. ON THE PRESENCE OF A SECOND SPECIFIC CELL SYSTEM IN MAMMALIAN THYROID GLAND. Acta Physiol Scand. 1964 Dec;62:491–492. doi: 10.1111/j.1748-1716.1964.tb10449.x. [DOI] [PubMed] [Google Scholar]
- FOSTER G. V., MACINTYRE I., PEARSE A. G. CALCITONIN PRODUCTION AND THE MITOCHONDRION-RICH CELLS OF THE DOG THYROID. Nature. 1964 Sep 5;203:1029–1030. doi: 10.1038/2031029a0. [DOI] [PubMed] [Google Scholar]
- HIRSCH P. F., GAUTHIER G. F., MUNSON P. L. THYROID HYPOCALCEMIC PRINCIPLE AND RECURRENT LARYNGEAL NERVE INJURY AS FACTORS AFFECTING THE RESPONSE TO PARATHYROIDECTOMY IN RATS. Endocrinology. 1963 Aug;73:244–252. doi: 10.1210/endo-73-2-244. [DOI] [PubMed] [Google Scholar]
- LINDSAY S., POTTER G. D., CHAIKOFF I. L. Thyroid neoplasms in the rat: a comparison of naturally occurring and I131-induced tumors. Cancer Res. 1957 Apr;17(3):183–189. [PubMed] [Google Scholar]
- PAGES A. Contribution à étude du système des cellules claires de Feyrter. Biol Med (Paris) 1956 Jul-Aug;45(4):414–480. [PubMed] [Google Scholar]
- PORTA E. A., YERRY R., SCOTT R. F. Amyloidosis of functioning islet cell adenomas of the pancreas. Am J Pathol. 1962 Nov;41:623–631. [PMC free article] [PubMed] [Google Scholar]
- WILLIAMS E. D. A REVIEW OF 17 CASES OF CARCINOMA OF THE THYROID AND PHAEOCHROMOCYTOMA. J Clin Pathol. 1965 May;18:288–292. doi: 10.1136/jcp.18.3.288. [DOI] [PMC free article] [PubMed] [Google Scholar]
- Williams E. D., Brown C. L., Doniach I. Pathological and clinical findings in a series of 67 cases of medullary carcinoma of the thyroid. J Clin Pathol. 1966 Mar;19(2):103–113. doi: 10.1136/jcp.19.2.103. [DOI] [PMC free article] [PubMed] [Google Scholar]
- YOUNG B. A., LEBLOND C. P. THE LIGHT CELL AS COMPARED TO THE FOLLICULAR CELL IN THE THYROID GLAND OF THE RAT. Endocrinology. 1963 Dec;73:669–686. doi: 10.1210/endo-73-6-669. [DOI] [PubMed] [Google Scholar]







