Abstract
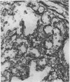
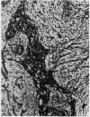
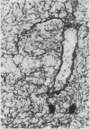
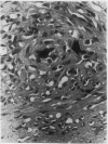
A comparison has been made between two vasoformative lesions, Kaposi's sarcoma and granuloma pyogenicum, as they are encountered in Uganda. Both are predominantly skin lesions arising in the distal extremities, may resemble each other clinically, and are widespread in their distribution in Ugandan communities. They bear a reciprocal relationship to each other as regards age and sex incidence, Kaposi's sarcoma being mainly a disease of adult males and granuloma pyogenicum a disease of immature males and females. Histologically there are many similarities between them, the essential difference being the presence of a spindle-cell sarcomatous element in Kaposi's sarcoma. The clinical behaviour reflects this difference in that granuloma pyogenicum develops quickly and appears to be self-limiting, while Kaposi's sarcoma is slowly progressive and shows much less tendency to regress.
On the basis of these findings it is concluded that, although these two lesions may be completely unrelated, it is possible that both represent a response of the vasoformative elements in the skin to a similar form of initiating stimulus and that hormonal or sex-linked genetic factors determine which lesion will develop in response to this stimulus.
The presence of intracytoplasmic inclusion in the tumour cells of Kaposi's sarcoma might be of significance in the histogenesis of this tumour, and of value in its histological differentiation from granuloma pyogenicum.
Full text
PDF









Images in this article
Selected References
These references are in PubMed. This may not be the complete list of references from this article.
- Choisser R. M., Ramsey E. M. Angioreticuloendothelioma (Kaposi's disease) of the heart. Am J Pathol. 1939 Mar;15(2):155–178.5. [PMC free article] [PubMed] [Google Scholar]
- Clifford P., Bulbrook R. D. Endocrine studies in African males with nasopharyngeal cancer. Lancet. 1966 Jun 4;1(7449):1228–1231. doi: 10.1016/s0140-6736(66)90239-x. [DOI] [PubMed] [Google Scholar]
- DAVIES J. N. P. Sex hormone upset in Africans. Br Med J. 1949 Sep 24;2(4629):676–679. doi: 10.1136/bmj.2.4629.676. [DOI] [PMC free article] [PubMed] [Google Scholar]
- DAVIES J. N., ELMES S., HUTT M. S., MTIMAVALYE L. A., OWOR R., SHAPER L. CANCER IN AN AFRICAN COMMUNITY, 1897--1956. AN ANALYSIS OF THE RECORDS OF MENGO HOSPITAL, KAMPALA, UGANDA. I. Br Med J. 1964 Feb 1;1(5378):259–264. doi: 10.1136/bmj.1.5378.259. [DOI] [PMC free article] [PubMed] [Google Scholar]
- GHADIALLY F. N. A comparative morphological study of the kerato-acanthoma of man and similar experimentally produced lesions in the rabbit. J Pathol Bacteriol. 1958 Apr;75(2):441–453. doi: 10.1002/path.1700750224. [DOI] [PubMed] [Google Scholar]
- KAMINER B., MURRAY J. F. Sarcoma idiopathicum multiplex haemorrhagicum of Kaposi, with special reference to its incidence in the South African Negro, and two case reports. S Afr J Clin Sci. 1950 Mar;1(1):1–25. [PubMed] [Google Scholar]
- LENDRUM A. C., FRASER D. S., SLIDDERS W., HENDERSON R. Studies on the character and staining of fibrin. J Clin Pathol. 1962 Sep;15:401–413. doi: 10.1136/jcp.15.5.401. [DOI] [PMC free article] [PubMed] [Google Scholar]
- PEPLER W. J. The origin of Kaposi's haemangiosarcoma: a histochemical study. J Pathol Bacteriol. 1959 Oct;78:553–557. doi: 10.1002/path.1700780222. [DOI] [PubMed] [Google Scholar]
- Pearse A. G. The Nature of Russell Bodies and Kurloff Bodies: Observations on the Cytochemistry of Plasma Cells and Reticulum Cells. J Clin Pathol. 1949 May;2(2):81–90. doi: 10.1136/jcp.2.2.81. [DOI] [PMC free article] [PubMed] [Google Scholar]
- RONCHESE F. GRANULOMA PYOGENICUM. Am J Surg. 1965 Apr;109:430–431. doi: 10.1016/s0002-9610(65)80168-4. [DOI] [PubMed] [Google Scholar]
- SLIDDERS W., FRASER D. S., LENDRUM A. C. Silver impregnation of reticulin. J Pathol Bacteriol. 1958 Apr;75(2):478–481. doi: 10.1002/path.1700750233. [DOI] [PubMed] [Google Scholar]
- TEDESCHI C. G. Some considerations concerning the nature of the so-called sarcoma of Kaposi. AMA Arch Pathol. 1958 Nov;66(5):656–684. [PubMed] [Google Scholar]
- WHITELEY H. J. The effect of the hair growth cycle on experimental skin carcinogenesis in the rabbit. Br J Cancer. 1957 Jun;11(2):196–205. doi: 10.1038/bjc.1957.27. [DOI] [PMC free article] [PubMed] [Google Scholar]
- Wang D. Y., Bulbrook R. D., Clifford P. Plasma-testosterone levels in Kenyan men in relation to cancer of the nasopharynx. Lancet. 1966 Dec 17;2(7477):1342–1344. doi: 10.1016/s0140-6736(66)92086-1. [DOI] [PubMed] [Google Scholar]











