Abstract
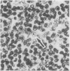
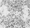
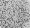
A review of the previous histological classifications of Hodgkin's disease seems to show that they are insufficiently accurate in regard to prognosis and difficult to apply but a detailed study of a large number of cases suggests that certain criteria allow of subdivision of the disease into types. These criteria are the proportion of mature lymphocytes, the presence of plentiful mature histiocytes, the presence of fibrous nodularity, and the numbers of abnormal reticulum cells and their degree of anaplasia.
Three primary histological subdivisions seem to arise from a study of 302 patients, namely, the reticular, histiocytic, and nodular sclerosis groups. These are further divided into well differentiated and poorly differentiated on the basis of their lymphocyte content and the degree of anaplasia of the abnormal reticulum cells.
The histological appearances of each type are described. The application of this histological classification has been shown to correlate well with the clinical outcome.
Full text
PDF

















Images in this article
Selected References
These references are in PubMed. This may not be the complete list of references from this article.
- AISENBERG A. C. HODGKIN'S DISEASE--PROGNOSIS, TREATMENT AND ETIOLOGIC AND IMMUNOLOGIC CONSIDERATIONS. N Engl J Med. 1964 Mar 19;270:617–CONCL. doi: 10.1056/NEJM196403192701206. [DOI] [PubMed] [Google Scholar]
- Cross R. M. A clinicopathological study of nodular sclerosing Hodgkin's disease. J Clin Pathol. 1968 May;21(3):303–310. doi: 10.1136/jcp.21.3.303. [DOI] [PMC free article] [PubMed] [Google Scholar]
- DAWSON P. J., HARRISON C. V. A clinicopathological study of benign Hodgkin's disease. J Clin Pathol. 1961 May;14:219–231. doi: 10.1136/jcp.14.3.219. [DOI] [PMC free article] [PubMed] [Google Scholar]
- Franssila K. O., Kalima T. V., Voutlainen A. Histologic classification of Hodgkin's disease. Cancer. 1967 Oct;20(10):1594–1601. doi: 10.1002/1097-0142(196710)20:10<1594::aid-cncr2820201005>3.0.co;2-8. [DOI] [PubMed] [Google Scholar]
- Gall E. A., Mallory T. B. Malignant Lymphoma: A Clinico-Pathologic Survey of 618 Cases. Am J Pathol. 1942 May;18(3):381–429. [PMC free article] [PubMed] [Google Scholar]
- HANSON T. A. HISTOLOGICAL CLASSIFICATION AND SURVIVAL IN HODGKIN'S DISEASE; A STUDY OF 251 CASES WITH SPECIAL REFERENCE TO NODULAR SCLEROSING HODGKIN'S DISEASE. Cancer. 1964 Dec;17:1595–1603. doi: 10.1002/1097-0142(196412)17:12<1595::aid-cncr2820171212>3.0.co;2-3. [DOI] [PubMed] [Google Scholar]
- HARRISON C. V. Benign Hodgkin's disease (Hodgkin's paragranuloma). J Pathol Bacteriol. 1952 Jul;64(3):513–518. doi: 10.1002/path.1700640311. [DOI] [PubMed] [Google Scholar]
- HILTON G., SUTTON P. M. Malignant lymphomas: classification, prognosis, and treatment. Lancet. 1962 Feb 10;1(7224):283–287. doi: 10.1016/s0140-6736(62)91241-2. [DOI] [PubMed] [Google Scholar]
- Karnofsky D. A. The staging of Hodgkin's disease. Cancer Res. 1966 Jun;26(6):1090–1094. [PubMed] [Google Scholar]
- LUKES R. J. RELATIONSHIP OF HISTOLOGIC FEATURES TO CLINICAL STAGES IN HODGKIN'S DISEASE. Am J Roentgenol Radium Ther Nucl Med. 1963 Nov;90:944–955. [PubMed] [Google Scholar]
- LUMB G., NEWTON K. A. Prognosis in tumors of lymphoid tissue; an analysis of 602 cases. Cancer. 1957 Sep-Oct;10(5):976–993. doi: 10.1002/1097-0142(195709/10)10:5<976::aid-cncr2820100517>3.0.co;2-w. [DOI] [PubMed] [Google Scholar]
- SMETANA H. F., COHEN B. M. Mortality in relation to histologic type in Hodgkin's disease. Blood. 1956 Mar;11(3):211–224. [PubMed] [Google Scholar]
- WRIGHT C. J. Hodgkin's paragranuloma. Cancer. 1956 Jul-Aug;9(4):773–777. doi: 10.1002/1097-0142(195607/08)9:4<773::aid-cncr2820090426>3.0.co;2-j. [DOI] [PubMed] [Google Scholar]


















