Abstract
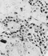
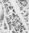
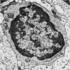
The lymphoid cells infiltrating the thyroid in three examples of Hashimoto's disease and three examples of focal lymphocytic thyroiditis have been studied by light and electron microscopy. The cell types found were small lymphocytes, plasma cells and plasmablasts, immunoblasts, and cells morphologically intermediate between immunoblasts and small lymphocytes. The infiltrate was similar in the two conditions studied and resembled the cell response found in other conditions thought to be due to delayed hypersensitivity. It is considered that these similarities support the views that focal lymphocytic thyroiditis is a focal form of Hashimoto's disease and that delayed hypersensitivity is important in the pathogenesis of these conditions.
Full text
PDF







Images in this article
Selected References
These references are in PubMed. This may not be the complete list of references from this article.
- ANDRE SCHWARTZ J. THE MORPHOLOGIC RESPONSES OF THE LYMPHOID SYSTEM TO HOMOGRAFTS. 3. ELECTRON MICROSCOPY STUDY. Blood. 1964 Aug;24:113–133. [PubMed] [Google Scholar]
- BINET J. L., DE GENNES J. L., DECOURT J. ETUDE CYTOLOGIQUE AU MICROSCOPE 'ELECTRONIQUE DE L'INFILTRATION LYMPHO-PLASMOCYTAIRE DANS DEUX CAS DE THYROUIDITE D'HASHIMOTO. Rev Fr Etud Clin Biol. 1963 Dec;8:1011–1017. [PubMed] [Google Scholar]
- De Petris S., Karlsbad G., Pernis B., Turk J. L. Ultrastructure of cells present in lymph nodes during the development of contact sensitivity. Int Arch Allergy Appl Immunol. 1966;29(2):112–130. doi: 10.1159/000229693. [DOI] [PubMed] [Google Scholar]
- HAZARD J. B. Thyroiditis: a review, II. Am J Clin Pathol. 1955 Apr;23(4):399–426. [PubMed] [Google Scholar]
- Irvine W. J. Studies on the Cytotoxic Factor in Thyroid Disease. Br Med J. 1962 May 26;1(5290):1444–1442.4. doi: 10.1136/bmj.1.5290.1444. [DOI] [PMC free article] [PubMed] [Google Scholar]
- LUFT J. H. Improvements in epoxy resin embedding methods. J Biophys Biochem Cytol. 1961 Feb;9:409–414. doi: 10.1083/jcb.9.2.409. [DOI] [PMC free article] [PubMed] [Google Scholar]
- MCMASTER P. R., LERNER E. M., 2nd, EXUM E. D. The relationship of delayed hypersensitivity and circulating antibody to experimental allergic thyroditis in inbred guinea pigs. J Exp Med. 1961 Apr 1;113:611–624. doi: 10.1084/jem.113.4.611. [DOI] [PMC free article] [PubMed] [Google Scholar]
- McMaster P. R., Lerner E. M., 2nd The transfer of allergic thyroiditis in histocompatible guinea pigs by lymph node cells. J Immunol. 1967 Jul;99(1):208–213. [PubMed] [Google Scholar]
- PORTER K. A., JOSEPH N. H., RENDALL J. M., STOLINSKI C., HOEHN R. J., CALNE R. Y. THE ROLE OF LYMPHOCYTES IN THE REJECTION OF CANINE RENAL HOMOTRANSPLANTS. Lab Invest. 1964 Sep;13:1080–1098. [PubMed] [Google Scholar]
- PULVERTAFT R. J., DONIACH D., ROITT I. M., HUDSON R. V. Cytotoxic effects of Hashimoto serum on human thyroid cells in tissue culture. Lancet. 1959 Aug 29;2(7096):214–216. doi: 10.1016/s0140-6736(59)90161-8. [DOI] [PubMed] [Google Scholar]
- ROITT I. M., DONIACH D., CAMPBELL P. N., HUDSON R. V. Auto-antibodies in Hashimoto's disease (lymphadenoid goitre). Lancet. 1956 Oct 20;271(6947):820–821. doi: 10.1016/s0140-6736(56)92249-8. [DOI] [PubMed] [Google Scholar]
- WITEBSKY E., ROSE N. R., TERPLAN K., PAINE J. R., EGAN R. W. Chronic thyroiditis and autoimmunization. J Am Med Assoc. 1957 Jul 27;164(13):1439–1447. doi: 10.1001/jama.1957.02980130015004. [DOI] [PubMed] [Google Scholar]








