Abstract
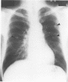
A case of axillary sweat gland carcinoma which metastasised to both lungs six years after resection of the primary lesion is described. The lesions were resected and three years later two further pulmonary metastases were resected.
Full text
PDF

Images in this article
Selected References
These references are in PubMed. This may not be the complete list of references from this article.
- Coonley C. J., Schauer P., Kelsen D. P., Sordillo P., Huvos A. G. Chemotherapy of metastatic sweat gland carcinoma. A retrospective review. Am J Clin Oncol. 1985 Aug;8(4):307–311. doi: 10.1097/00000421-198508000-00006. [DOI] [PubMed] [Google Scholar]
- Hirsh L. F., Enterline H. T., Rosato E. F., Rosato F. E. Sweat gland carcinoma. Ann Surg. 1971 Aug;174(2):283–286. doi: 10.1097/00000658-197108000-00015. [DOI] [PMC free article] [PubMed] [Google Scholar]
- Penneys N. S., Nadji M., Ziegels-Weissman J., Ketabchi M., Morales A. R. Carcinoembryonic antigen in sweat-gland carcinomas. Cancer. 1982 Oct 15;50(8):1608–1611. doi: 10.1002/1097-0142(19821015)50:8<1608::aid-cncr2820500824>3.0.co;2-i. [DOI] [PubMed] [Google Scholar]
- SMITH C. C. Metastasizing carcinoma of the sweat-glands. Br J Surg. 1955 Jul;43(177):80–84. doi: 10.1002/bjs.18004317712. [DOI] [PubMed] [Google Scholar]
- TULENKO J. F., CONWAY H. AN ANALYSIS OF SWEAT GLAND TUMORS. Surg Gynecol Obstet. 1965 Aug;121:343–348. [PubMed] [Google Scholar]
- Whittington R., Browning M. E., Farrell G. R., Miremadi A. Radiation therapy and chemotherapy in malignant sweat gland tumors. J Am Acad Dermatol. 1986 Nov;15(5 Pt 2):1093–1097. doi: 10.1016/s0190-9622(86)70271-5. [DOI] [PubMed] [Google Scholar]
- Zamboni A. C., Zamboni W. A., Ross D. S. Malignant eccrine spiradenoma of the hand. J Surg Oncol. 1990 Feb;43(2):131–133. doi: 10.1002/jso.2930430214. [DOI] [PubMed] [Google Scholar]
- el-Domeiri A. A., Brasfield R. D., Huvos A. G., Strong E. W. Sweat gland carcinoma: a clinico-pathologic study of 83 patients. Ann Surg. 1971 Feb;173(2):270–274. doi: 10.1097/00000658-197102000-00014. [DOI] [PMC free article] [PubMed] [Google Scholar]


