Abstract
The stained smears of the deposits from one pericardial and 19 pleural effusions complicating rheumatoid arthritis were examined. On the basis of clinical and biochemical evidence it was considered that in six cases the effusions were due to the rheumatoid disease while in a further nine cases the association was considered likely. In the remaining five cases the association was considered to be due to chance as other causes for the effusions were diagnosed.
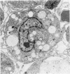
On cytological examination, seven cases showed a characteristic picture of degenerating polymorphs with amorphous extracellular material and epithelioid cells many of which were multinucleate. Five others contained similar amorphous material without epithelioid cells; of these two had many plasma cells and a third numerous macrophages probably containing `droplets' of rheumatoid factor complex.
Thus in 12 of 15 cases a definite diagnosis of rheumatoid effusion could be made. In the remaining five cases cytological examination confirmed that the effusions were unrelated to the rheumatoid disease.
The extracellular material gave a non-specific fluorescence with labelled anti-γ globulin antisera, and since this reaction was not seen in control pleural fluid deposits, or with preparations of fibrin, it may have a confirmatory value.
It is concluded that in many cases reliable cytological evidence can be found to confirm or refute a diagnosis of rheumatoid pleural or pericardial effusion. This may be helpful in the management of the rheumatoid disease.
Full text
PDF











Images in this article
Selected References
These references are in PubMed. This may not be the complete list of references from this article.
- ASTORGA G., BOLLET A. J. DIAGNOSTIC SPECIFICITY AND POSSIBLE PATHOGENETIC SIGNIFICANCE OF INCLUSIONS IN SYNOVIAL LEUCOCYTES. Arthritis Rheum. 1965 Aug;8:511–523. doi: 10.1002/art.1780080405. [DOI] [PubMed] [Google Scholar]
- Berger H. W., Seckler S. G. Pleural and pericardial effusions in rheumatoid disease. Ann Intern Med. 1966 Jun;64(6):1291–1297. doi: 10.7326/0003-4819-64-6-1291. [DOI] [PubMed] [Google Scholar]
- CARR D. T., MAYNE J. G. Pleurisy with effusion in rheumatoid arthritis, with reference to the low concentration of glucose in pleural fluid. Am Rev Respir Dis. 1962 Mar;85:345–350. doi: 10.1164/arrd.1962.85.3.345. [DOI] [PubMed] [Google Scholar]
- Campbell G. D., Ferrington E. Rheumatoid pleuritis with effusion. Dis Chest. 1968 May;53(5):521–527. doi: 10.1378/chest.53.5.521. [DOI] [PubMed] [Google Scholar]
- Carmichael D. S., Golding D. N. Rheumatoid pleural effusion with "R.A. cells" in the pleural fluid. Br Med J. 1967 Jun 24;2(5555):814–814. doi: 10.1136/bmj.2.5555.814. [DOI] [PMC free article] [PubMed] [Google Scholar]
- Champion G. D., Robertson M. R., Robinson R. G. Rheumatoid pleurisy and pericarditis. Ann Rheum Dis. 1968 Nov;27(6):521–530. doi: 10.1136/ard.27.6.521. [DOI] [PMC free article] [PubMed] [Google Scholar]
- Coimbra A., Lopes-Vaz A. Acid phosphatase-positive cytoplasmic bodies in leukocytes of rheumatoid synovial fluid. Arthritis Rheum. 1967 Aug;10(4):337–342. doi: 10.1002/art.1780100403. [DOI] [PubMed] [Google Scholar]
- DELBARRE F., KAHAN A., AMOR B., KRASSININE G. LE RAGOCYTE SYNOVIAL. SON INT'ER ET POUR LE DIAGNOSTIC DES MALADIES RHUMATISMALES. Presse Med. 1964 Sep 12;72:2129–2132. [PubMed] [Google Scholar]
- Delbarre F., Amor B., Kahan A., Krassinine G. Données récentes sur la synoviale et le liquide synovial. Bull Mem Soc Med Hop Paris. 1966 Dec 9;117(13):1277–1304. [PubMed] [Google Scholar]
- Ferguson G. C. Cholesterol pleural effusion in rheumatoid lung disease. Thorax. 1966 Nov;21(6):577–582. doi: 10.1136/thx.21.6.577. [DOI] [PMC free article] [PubMed] [Google Scholar]
- HOLLANDER J. L., MCCARTY D. J., Jr, ASTORGA G., CASTRO-MURILLO E. STUDIES ON THE PATHOGENESIS OF RHEUMATOID JOINT INFLAMMATION. I. THE "R.A. CELL" AND A WORKING HYPOTHESIS. Ann Intern Med. 1965 Feb;62:271–280. doi: 10.7326/0003-4819-62-2-271. [DOI] [PubMed] [Google Scholar]
- Harrold B. P. Non-tuberculous Constrictive Pericarditis. Br Med J. 1968 Feb 3;1(5587):290–292. doi: 10.1136/bmj.1.5587.290. [DOI] [PMC free article] [PubMed] [Google Scholar]
- Holten K. Diagnostic value of some biochemical pleural fluid examinations. Scand J Respir Dis Suppl. 1968;63:121–126. [PubMed] [Google Scholar]
- Levine H., Szanto M., Grieble H. G., Bach G. L., Anderson T. O. Rheumatoid factor in nonrheumatoid pleural effusions. Ann Intern Med. 1968 Sep;69(3):487–492. doi: 10.7326/0003-4819-69-3-487. [DOI] [PubMed] [Google Scholar]
- Lopes-Vaz A., Coimbra A. Etude cytochimique et ultramicroscopique des ragocytes dans les rhumatismes inflammatoires. Presse Med. 1967 Oct 25;75(44):2221–2222. [PubMed] [Google Scholar]
- Malinin T. I., Pekin T. J., Jr, Zvaifler N. J. Cytology of synovial fluid in rheumatoid arthritis. Am J Clin Pathol. 1967 Feb;47(2):203–208. doi: 10.1093/ajcp/47.2.203. [DOI] [PubMed] [Google Scholar]
- Nosanchuk J. S., Naylor B. A unique cytologic picture in pleural fluid from patients with rheumatoid arthritis. Am J Clin Pathol. 1968 Sep;50(3):330–335. doi: 10.1093/ajcp/50.3.330. [DOI] [PubMed] [Google Scholar]
- Raabo E., Rasmussen K. N., Terkilesen T. C. A study of the isoenzymes of lactic dehydrogenase in pleural effusions. Scand J Respir Dis. 1966;47(2):150–156. [PubMed] [Google Scholar]
- SOLOMON A., FAHEY J. L., MALMGREN R. A. Immunohistologic localization of gamma-1-macroglobulins, beta-2A-myeloma proteins, 6.6 S gamma-myeloma proteins and Bence Jones proteins. Blood. 1963 Apr;21:403–423. [PubMed] [Google Scholar]
- Sones D. A., McDuffie F. C., Hunder G. G. The clinical significance of the RA cell. Arthritis Rheum. 1968 Jun;11(3):400–403. doi: 10.1002/art.1780110305. [DOI] [PubMed] [Google Scholar]
- Stengel B. F., Watson R. R., Darling R. J. Pulmonary rheumatoid nodule with cavitation and chronic lipid effusion. JAMA. 1966 Dec 19;198(12):1263–1266. [PubMed] [Google Scholar]
- Vaughan J. H., Barrnett E. V., Sobel M. V., Jacox R. F. Intracytoplasmic inclusions of immunoglobulins in rheumatoid arthritis and other diseases. Arthritis Rheum. 1968 Apr;11(2):125–134. doi: 10.1002/art.1780110202. [DOI] [PubMed] [Google Scholar]
- Vaughan J. H., Jacox R. J., Noell P. Relation of intracytoplasmic inclusions in joint fluid leukocytes to anti-gamma-G globulins. Arthritis Rheum. 1968 Apr;11(2):135–144. doi: 10.1002/art.1780110203. [DOI] [PubMed] [Google Scholar]
- Walker W. C., Wright V. Pulmonary lesions and rheumatoid arthritis. Medicine (Baltimore) 1968 Nov;47(6):501–520. doi: 10.1097/00005792-196811000-00003. [DOI] [PubMed] [Google Scholar]
- Walker W. C., Wright V. Rheumatoid pleuritis. Ann Rheum Dis. 1967 Nov;26(6):467–474. doi: 10.1136/ard.26.6.467. [DOI] [PMC free article] [PubMed] [Google Scholar]












