Abstract
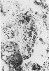
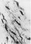
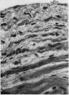
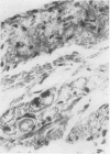
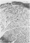
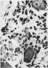
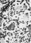
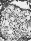
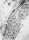
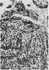
In all cases of primary endocardial fibroelastosis investigated diffuse degenerative changes in the ganglion cells were detected. Thickened endocardium was formed by the proliferation of mesenchymal cells located under the endothelial endocardium and of the mesenchyme surrounding the necrobiotic muscle cells. In some cases `axial' vacuolar degeneration, necrobiosis, and necrosis of muscle cells, interstitial oedema, and dilatation of capillaries and lymphatic spaces were found in the whole myocardium. In all cases these changes were in the subendocardial layer.
In the cases discussed morphological changes in the endocardium were seen to be secondary to lesions in myocardial and possibly in neural structures.
Full text
PDF






Images in this article
Selected References
These references are in PubMed. This may not be the complete list of references from this article.
- ANDERSEN D. H., KELLY J. Congenital endocardial fibro-elastosis. II. A clinical and pathologic investigation of those cases without associated cardiac malformations including report of two familial instances. Pediatrics. 1956 Oct;18(4):539–555. [PubMed] [Google Scholar]
- ANDERSEN D. H., KELLY J. Endocardial fibro-elastosis. I. Endocardial fibro-elastosis associated with congenital malformations of the heart. Pediatrics. 1956 Oct;18(4):513–538. [PubMed] [Google Scholar]
- BLACK-SCHAFFER B. Infantile endocardial fibroelastosis; a suggested etiology. AMA Arch Pathol. 1957 Mar;63(3):281–306. [PubMed] [Google Scholar]
- BURN J. H., RAND M. J. ACETYLCHOLINE IN ADRENERGIC TRANSMISSION. Annu Rev Pharmacol. 1965;5:163–182. doi: 10.1146/annurev.pa.05.040165.001115. [DOI] [PubMed] [Google Scholar]
- COLERIDGE H. M., COLERIDGE J. C., KIDD C. CARDIAC RECEPTORS IN THE DOG, WITH PARTICULAR REFERENCE TO TWO TYPES OF AFFERENT ENDING IN THE VENTRICULAR WALL. J Physiol. 1964 Nov;174:323–339. doi: 10.1113/jphysiol.1964.sp007490. [DOI] [PMC free article] [PubMed] [Google Scholar]
- HIRSCH E. F., BORGHARD-ERDLE A. M. The innervation of the human heart. I. The coronary arteries and the myocardium. Arch Pathol. 1961 Apr;71:384–407. [PubMed] [Google Scholar]
- JAMES T. N., REYNOLDS E. W., Jr PATHOLOGY OF THE CARDIAC CONDUCTION SYSTEM IN A CASE OF DIPHTHERIA ASSOCIATED WITH ATRIAL ARRHYTHMIAS AND HEART BLOCK. Circulation. 1963 Aug;28:263–267. doi: 10.1161/01.cir.28.2.263. [DOI] [PubMed] [Google Scholar]
- James T. N. Cardiac innervation: anatomic and pharmacologic relations. Bull N Y Acad Med. 1967 Dec;43(12):1041–1086. [PMC free article] [PubMed] [Google Scholar]
- James T. N. Cholinergic mechanisms in the sinus node with particular reference to the actions of hemicholinium. Circ Res. 1966 Aug;19(2):347–357. doi: 10.1161/01.res.19.2.347. [DOI] [PubMed] [Google Scholar]
- James T. N., Sherf L. Ultrastructure of myocardial cells. Am J Cardiol. 1968 Sep;22(3):389–416. doi: 10.1016/0002-9149(68)90124-0. [DOI] [PubMed] [Google Scholar]
- KOEBERLE F. [Cardiopathia parasympathicopriva]. Munch Med Wochenschr. 1959 Jul 31;101:1308–1310. [PubMed] [Google Scholar]
- Mitchell S. C., Froehlich L. A., Banas J. S., Jr, Gilkeson M. R. An epidemiologic assessment of primary endocardial fibroelastosis. Am J Cardiol. 1966 Dec;18(6):859–866. doi: 10.1016/0002-9149(66)90431-0. [DOI] [PubMed] [Google Scholar]
- ROBERTSON J. H. Stress zones in foetal arteries. J Clin Pathol. 1960 Mar;13:133–139. doi: 10.1136/jcp.13.2.133. [DOI] [PMC free article] [PubMed] [Google Scholar]














