Abstract
Primary meningeal gliomas are rare tumors composed of a heterogeneous group of neoplasms. We present 2 clinically aggressive cases of primary meningeal pleomorphic xanthoastrocytoma that clinically mimicked meningioma. One case presented in the posterior fossa of a 56-year-old woman; the other centered on the left operculum of a 35-year-old woman. These cases showed many of the classic features of pleomorphic xanthoastrocytoma, except that xanthomatous cells were rare and eosinophilic granular bodies were inconspicuous. Both cases exhibited high proliferative indices and superficially invaded the brain. One case harboring a BRAFV600E mutation disseminated to the thecal sac and showed a clinical response to the targeted BRAF inhibitor dabrafenib. These cases seem to represent an unusual primarily extra-axial presentation of pleomorphic xanthoastrocytoma and may account for at least some of the previously reported cases of primary meningeal glioma and/or glial fibrillary acidic protein–immunoreactive meningioma variants. We suggest that BRAF mutation analysis be considered in all meningeal lesions showing atypical histologic or immunohistochemical profiles, particularly those exhibiting glial differentiation, as a diagnostic aid and possible indication for targeted therapy.
Keywords: Anaplastic features, BRAFV600E, Extra-axial, High mitotic rate, High proliferation index, Meningeal, Pleomorphic xanthoastrocytoma
INTRODUCTION
Pleomorphic xanthoastrocytoma (PXA) is an uncommon tumor that was first described as a unique entity in 1979 (1). It most often arises in children and young adults and usually has a predominant—often nodular and cystic—intra-axial component, which occurs superficially in the cerebral hemispheres. It also frequently involves the leptomeninges and occasionally disseminates within the subarachnoid space (1–4). Most PXAs are considered World Health Organization Grade II tumors, which demonstrate low proliferative indices; however, some transform into more aggressive lesions when they recur after resection. Examples presenting with mitotic rates greater than 5 per 10 high-power fields and/or necrosis are designated as “pleomorphic xanthoastrocytoma with anaplastic features” by the current World Health Organization classification scheme and generally recur earlier (4, 5).
We present 2 cases of primary meningeal PXA. Both cases occurred in adult women and showed high proliferative indices and aggressive clinical courses. One case harbored a BRAFV600E mutation. These rare tumors expand both the differential diagnosis of primary meningeal tumors and the list of tumors that should be tested for BRAF mutation.
MATERIALS AND METHODS
Immunohistochemistry
Formalin-fixed paraffin-embedded tissue was cut into 4-μm-thick sections and placed on positively charged slides that were baked at 60°C for 1 hour, cooled, deparaffinized and rehydrated through xylene and graded ethanol to water. Slides were hematoxylin and eosin (H&E) or reticulin stained, or immunohistochemically stained with antibodies to CD34 (QBEnd/10 Cell Marque [Sigma, St Louis, MO], 1:400, 30-minute incubation), CD56 (1B6 [Novocastra, Buffalo Grove, IL], 1:100, 30-minute incubation), desmin (D33 [Dako, Carpinteria, CA], 1:200, 30-minute incubation), epithelial membrane antigen (EMA; E29 [Dako], 1:700, 30-minute incubation), glial fibrillary acidic protein (GFAP; rabbit polyclonal [Dako], 1:20000, 15-minute incubation), Ki-67 (MIB-1 [Dako], 1:400, 15-minute incubation), Olig2 (rabbit polyclonal [IBL], 1:200, 15-minute incubation), pan-cytokeratin (AE1/AE3 [Dako], 1:300, 15-minute incubation), progesterone receptor (pgR636 [Dako], 1:600, 30-minute incubation), S100 protein (rabbit polyclonal [Dako], 1:6000, 30-minute incubation), neurofilament protein (2F11 [Dako], 1:2000, 15-minute incubation), NeuN (A60 [Millipore, Billerica, MA], 1:2000, 15-minute incubation) or vimentin (V9 [Dako], 1:1800, 30-minute incubation). For all antibodies, except anti-S100 protein, heat-induced epitope retrieval was performed with a Bond Autostainer Immunostaining System (Leica Biosystems, Buffalo Grove, IL), using either a low-pH or a high-pH retrieval solution (Bond Epitope Retrieval Solutions 1 and 2; Leica Biosystems). The sections were blocked for endogenous peroxidase with a 3% hydrogen peroxide solution, incubated with the primary antibody for either 15 or 30 minutes, and subjected to a polymer-based detection system (Bond Polymer Refine Detection Kit; Leica Biosystems) and counterstaining with hematoxylin. For S100 protein, antigen retrieval was performed using a vegetable steamer (95°C– 99°C) and a citric acid solution (pH 6.1) (Dako). After antigen retrieval, blocking for endogenous peroxidase, and antibody incubation, polymer-based detection for S100 was performed on the Bond Autostainer Immunostaining System. All slides were dehydrated through graded ethanol to xylene and coverslipped. Appropriate positive and negative controls were performed. The mean Ki-67 labeling index was calculated from the percentage of positive cells in 10 consecutive nonoverlapping high-power fields (400×).
BRAFV600E Mutation Analysis
BRAFV600E somatic mutation analysis was performed using a single nucleotide extension assay (SNaPshot Multiplex System; Life Technologies, Grand Island, NY). Results were confirmed with Sanger sequencing.
Case 1
A 56-year-old woman presented with nausea, vomiting, and imbalance for 10 days. Her medical history was significant for a pituitary tumor that was followed up for many years. There was no history of radiation therapy. Magnetic resonance (MR) imaging confirmed a stable unchanged pituitary tumor and additionally showed a well-demarcated extra-axial mass lesion (2.6 cm × 2.0 cm) situated along the inferior medial aspect of the left tentorial leaf, demonstrating a dural tail and compressing the brainstem (Figs. 1A–D). The tumor was hypointense on T1-weightedMR images, isointense on T2-weightedMR images, and heterogeneously enhanced. Infratentorial meningioma was favored clinically and radiologically. A ventriculoperitoneal shunt was placed to resolve obstructive hydrocephalus, and the tumor was subjected to gross total resection (Fig. 1E).
FIGURE 1.
Case 1 neuroimaging. Preoperative sagittal T1-weighted (A), postcontrast T1-weighted coronal (B), and postcontrast T1- weighted axial (C) MR images demonstrate a left infratentorial tumor. Arrows indicate the tumor in (A). Note tumor protrusion into the posterior fossa and compression of the brainstem. Attachment to the inferior aspect of the tentorium and dural tail (arrow) is evident in (C). (D) Preoperative fluid-attenuated inversion recovery image demonstrates tumor and edema in the pons and cerebellum. (E) Postoperative T1-weighted MR image with contrast demonstrates surgery-related changes and absence of tumor. The coexisting pituitary tumor is also enhanced. (F) Postoperative T1-weighted MR image with contrast demonstrates an enhancing recurrent tumor in the tegmental pons and middle portion of the temporal lobe. Some delayed postoperative changes are also present.
The patient experienced deteriorating mental status, and follow-up neuroimaging 4 months after surgery showed an enlarging, enhancing, nodular lesion along the posterior and left lateral sides of the midbrain and pons within the original tumor bed, which also seemed to invade the temporal lobe (Fig. 1F). A cytologic examination revealed no neoplastic cells in the cerebrospinal fluid. The patient subsequently underwent focal stereotactic radiosurgery of contrast-enhanced target in the left brainstem and temporal lobe (16 Gy to the 90% isodose line). She recovered, was doing well on the last follow-up 15 months after surgery, and was alive 37 months after surgery.
Histopathology of Case 1
Hematoxylin and eosin–stained sections of the resection specimen revealed a pleomorphic malignant tumor (Figs. 2A–F). The bulk of the tumor was characterized by mild to moderately pleomorphic cells arranged in a variable fascicular pattern (Figs. 2A–F). Many cells within these areas had oval nuclei with delicate chromatin, occasionally with pseudoinclusions and moderate amounts of amphophilic cytoplasm with indistinct cell borders mimicking meningioma (Figs. 2B–C). Despite the overall lower-grade appearance of these regions, there were occasional intermixed anaplastic nuclei and mitotic figures (Fig. 2D).
FIGURE 2.
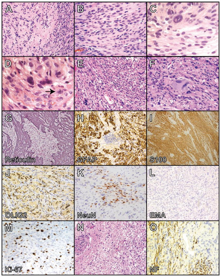
Histologic findings in Case 1. (A) Low-power photomicrograph of tumor (H&E stain). (B–D) Areas reminiscent of meningioma demonstrate mostly mildly pleomorphic oval nuclei with occasional larger atypical nuclei and mitotic figures (arrow in D) (H&E stain). (E, F) More pleomorphic region of the tumor located closer to the brainstem surface (H&E stain). More numerous bizarre tumor nuclei and mitotic figures are present in a vacuolated tumor background. (G) Reticulin fibers surround tumor cells in the less pleomorphic areas but are absent in highly pleomorphic areas. (H) Glial fibrillary acidic protein immunostaining is diffusely positive. There is a collection of lymphocytes in the center of the image. Immunohistochemical staining for S100 protein (I) and Olig2 (J) yielded diffusely positive results. (K) A focal area of NeuN-immunoreactive tumor cells. (L) Epithelial membrane antigen immunohistochemical staining yielded negative results. (M) The Ki-67 labeling index reached 20%. (N) Tumor-brainstem interface. Tumor is present in the Virchow-Robin space on the left among myelinated fibers. Tumor cells invade the brainstem parenchyma on the right. (O) Neurofilament (NF) immunostain demonstrates tumor cells infiltrating NF-positive axonal tracts at the tumor-brainstem interface. Original magnification: (A) 200×, (B) 400×, (C) 600×, (D) 600×, (E) 200×, (F) 400×, (G) 200×, (H) 200×, (I) 100×, (J) 200×, (K) 400×, (L) 200×, (M) 400×, (N) 200×, (O) 400×.
In more pleomorphic areas close to the tumor interface with the brainstem, the nuclei were irregular, with frequent large atypical bizarre forms (Figs. 2E, F). They had coarse, irregularly distributed chromatin and occasional nuclear vacuoles or prominent nucleoli. Up to 12 mitotic figures were counted in 10 high-power fields. Scattered, mostly perivascular lymphocytic infiltrates were also noted. No definite microvascular proliferation or necrosis was seen. Typical large xanthomatous cells of PXA and conspicuous eosinophilic granular bodies (EGBs) were also not evident.
Reticulin stain was diffusely positive with less dense or absent staining in the more pleomorphic areas (Fig. 2G). Much of the tumor was immunopositive for GFAP (Fig. 2H), S100 protein (Fig. 2I), neural cell adhesion molecule (CD56), and Olig2 (Fig. 2J). Focal CD34 immunopositivity and NeuN immunopositivity were noted (Fig. 2K). There was no immunoreactivity for desmin, EMA (Fig. 2L), or pan-cytokeratin (AE1/ AE3). The mean Ki-67 labeling index was 11%and varied from 5%in lower-grade areas to 20%in high-grade regions (Fig. 2M). The tumor extended into the Virchow-Robin space with single-cell invasion into the brainstem (Figs. 2N, O). BRAFV600E mutation analysis yielded negative results.
Case 2
A 35-year-old woman presented with worsening headaches for 6 months. Magnetic resonance imaging showed a primarily extra-axial 2.5-cm lesion involving the left posterior frontal-temporal operculum and overlying dura (Figs. 3A, B). Near-total resection was achieved (Fig. 3C). Postoperatively, she received external beam radiotherapy with 6-MV photons to deliver 5,600 cGy focally to the resection site across 28 treatments. Follow-up imaging 5 months later showed a 3.6-cm irregular enhancement involving the left temporal lobe in the region of prior surgery. The differential diagnosis was recurrence versus radiation-induced changes, and the patient was followed up with serial imaging. The tumor progressed, showing enhancement along adjacent sulci, the sylvian fissure, and the anterior aspect of the falx cerebri. Fifteen months after the initial surgery, the patient underwent a second resection, now revealing a definite intra-axial component. She received fractionated stereotactic radiotherapy consisting of 5 fractions of 6-MV photons delivering 600 cGy to the left temporal-parietal brain for a total cumulative dose of 3,000 cGy.
FIGURE 3.
Case 2 neuroimaging. (A) Preoperative axial postcontrast T1-weighted MR image of the extra-axial posterior frontal tumor. (B) Postcontrast T1-weighted coronal MR image of the lesion demonstrating enhancing dural tails. Tumor is present on the operculum but does not involve the underlying deep cortex of the lateral fissure (arrow). (C) Postoperative axial postcontrast T1-weighted MR image demonstrates near-total resection and residual enhancement. (D) Magnetic resonance image shows spinal dissemination. (E) Recurrent intracranial tumor with both intra-axial and exophytic components with hemorrhage.
Three months later, she presented with altered mental status, dilated pupils, and gait disturbance. Imaging showed enlargement of the ventricular system and patchy leptomeningeal enhancement of the cord and cauda equina. Serial lumbar punctures yielded negative results for malignant cells. An intraventricular drain was placed to alleviate communicating hydrocephalus, and the patient improved. Two months later, she further deteriorated, presenting with severe encephalopathy, status epilepticus, and quadriparesis, and required ventilator support. Imaging showed increased leptomeningeal enhancement now involving the entire spinal cord and cauda equina (Fig. 3D). Serial lumbar punctures again yielded negative results for malignant cells. A biopsy specimen of leptomeningeal lesions in the lumbar region was obtained.
The patient was treated with the targeted BRAF inhibitor dabrafenib (150 mg twice daily; GlaxoSmithKline Pharmaceuticals, Philadelphia, PA). She showed significant improvements in neurologic status, including cessation of seizures, and recovery of mental status, upper-limb strength, and respiration. Neuroimaging showed reduced subarachnoid disease in the brain cisterns and around the brainstem and cervical and thoracic spinal cord. Unfortunately, 3 months after chemotherapy was initiated, the patient experienced a fall and suffered an intracranial hemorrhage in the prior tumor cavity. Dabrafenib therapy had to be held for approximately 2 weeks. Subsequently, imaging showed progression of her disease. The patient again experienced altered mental status and quadriplegia. Imaging showed pneumocephalus and concern for brain abscess. She was taken back to the operating room for evacuation of abscess/hematoma and the recurrent tumor, was placed in hospice care, and died 3 1/2 weeks later (26 months after presentation).
Histopathology of Case 2
Hematoxylin and eosin–stained sections showed a neoplasm composed of spindle to epithelioid cells with occasional fascicular arrangement (Fig. 4A). A few regions of the tumor close to the brain surface demonstrated cells with large vacuolated pleomorphic nuclei (Fig. 4B). Rare xanthomatous cells were noted (Fig. 4C). Rare gemistocyte-shaped cells were also present. Some of the latter appeared to have vague intracytoplasmic inclusions, similar to rhabdoid cells (Fig. 4C). Scattered pale round structures were noted, but definite EGBs were not identified.
FIGURE 4.
Histologic findings in Case 2. (A) Low-power photomicrograph of a primary extra-axial tumor showing meningioma-like appearance and partial fascicular growth pattern (H&E stain). (B) A more pleomorphic region of the tumor near the surface of the brain (H&E stain). (C) High-power photomicrograph showing a rare xanthomatous giant cell (H&E stain). Rhabdoid-like cells were also focally present (inset). (D) Reticulin stain shows positive staining of fibers that completely envelop tumor cells. (E) Glial fibrillary acidic protein immunostain shows GFAP-positive tumor invading the dura (top) in a tongue-like fashion and via single-cell invasion of spindle tumor cells (inset). (F) The tumor shows diffuse immunopositivity for S100 protein. Note the sarcoma-like fascicular arrangement often observed in PXAs. (G) Immunostain for Olig2 shows widespread positivity. (H) Synaptophysin immunostain was diffusely positive and intensely stained occasional tumor spindle cells. (I) Much of the tumor was also CD34-immunopositive. (J) Scattered NeuN-immunopositive tumor cells were noted. (K) Epithelial membrane antigen immunostain yielded negative results. (L) The Ki-67 labeling index was focally up to 35%. (M) A few nests of meningothelial cells were entrapped by tumor near the brain pial surface. (N) Tumor extended into the Virchow-Robin space, eliciting astrogliosis. (O) Tumor cells in the Virchow-Robin space demonstrated a gemistocyte-like or epithelioid morphology, including rare rhabdoid-like forms. Individual tumor cells invade the neuropil. Original magnification: (A) 200×, (B) 400×, (C) 600×, (inset 600x), (D) 400×, (E) 100× (inset: 200×), (F) 200×, (G) 200×, (H) 100×, (I) 200×, (J) 200×, (K) 200×, (L) 400×, (M) 200×, (N) 200×, (O) 400×.
A focal collection of heterogeneous, irregularly shaped calcifications—consistent with those found in gliomas—was present in the less pleomorphic area of the tumor. The tumor also showed scattered lymphocytic infiltrates, occasional apoptotic bodies, and up to 15 mitotic figures in 10 high-power fields. Necrosis and vascular proliferation were absent.
Reticulin stain showed widespread positivity; many tumor cells were completely enveloped by reticulin fibers (Fig. 4D). There were some areas with only occasional intermixed GFAP-immunoreactive cells, but much of the tumor was diffusely GFAP-positive (Fig. 4E). Tumor cells were also diffusely S100 protein– andOlig2-immunopositive (Figs. 4F,G). Synaptophysin andCD34highlighted elongated cells in tumor fascicles (Figs. 4H, I). Immunostains for EMA (Fig. 4K), desmin, AE1/AE3, and progesterone receptor yielded negative results. Antivimentin strongly highlighted tumor cells but not cytoplasmic inclusions. The mean Ki-67 labeling index was 15.5%, ranging from 4% to 33% (Fig. 4L).
A single well-formed psammoma body was present within an entrapped meningothelial nest near the deep portion of the tumor adjacent to the brain surface (Fig. 4M). The tumor was adherent to and invaded the dura in tongue-like projections and as single cells (highlighted by GFAP stain) (Fig. 4E). It also showed extension into the brain surface via the Virchow-Robin space (Fig. 4N); percolating single cells also invaded the cortical parenchyma (Fig. 4O).
Unlike the original resection, the intracranial recurrence showed only typical PXA histology, including conspicuous EGBs (Figs. 5A–C). The spinal biopsy revealed a tumor composed mostly of smaller, less pleomorphic cells enveloping and invading the spinal roots (Fig. 5D). The deep intracerebral portion of the final intracranial recurrence retained immunoreactivity for S100 protein, Olig2, and GFAP, but the superficial extra-axial portion did not. The Ki-67 labeling index of the latter reached up to 50%.
FIGURE 5.
Case 2 recurrences. (A) Intracranial recurrence showing typical PXA histology. (B) Highly eosinophilic granular bodies (center) are conspicuous. (C) An unusually large binucleated xanthomatous cell containing eosinophilic granular material. (D) Tumor encasing and infiltrating spinal roots of the cauda equina. Original magnification: (A) 200×, (B) 600×, (C) 600×, (D) 400×.
Mutational analysis of the original resection specimen for BRAFV600E yielded positive results. Tumor DNA was also analyzed by next-generation sequencing (Foundation One, Cambridge, MA), which confirmed the BRAFV600E mutation and also revealed a TERT (telomerase reverse transcription) promoter –146C→ T mutation and loss of CDKN2A/B.
DISCUSSION
Tumors reported to be neuroimaging mimics of meningiomas include hemangiopericytomas, solitary fibrous tumors, schwannomas, hematolymphoid lesions, metastases, and others (6–10). Very rarely, PXA (or so-called rare primary meningeal gliomas) also may clinically mimic meningiomas (11–15).
Most primary meningeal gliomas were characterized as Grade II to Grade IV astrocytomas (10, 13, 15–23); none was diagnosed as PXA. Supratentorial examples were often close to the lateral fissure (24), although examples have been reported throughout the neuraxis, including those in the posterior fossa near the tentorium (13, 16, 25–27). Of note, because PXA was not defined until 1979, examples of PXA were likely considered to be astrocytoma variants or glioblastoma before that date (1).
The histologic hallmarks of PXA include pleomorphism manifested by variably small to medium neoplastic astrocytes and large binucleated or multinucleated giant cells frequently displaying nuclear vacuolation and/or prominent nucleoli. Their tumor cells are immunoreactive for S100 protein and GFAP (4). Pleomorphic xanthoastrocytoma, along with pilocytic astrocytoma and ganglioglioma, is also classically described as containing EGBs. However, EGBs may be pale, sparse, or absent, particularly in PXAs with anaplastic features (4). Xanthomatous cells are also considered to be a characteristic feature but may also be difficult to identify in some cases. Lastly, pericellular reticulin deposition and immunoreactivity for neuronal markers and CD34 are also classically described. In practice, however, it is not uncommon for one or more of these features to be absent in individual examples of PXA. More recently, the V600E activating mutation of the BRAF serine/ threonine kinase has been identified in up to 66% of PXAs, making PXA the most common CNS tumor showing this mutation (28–31).
Meningiomas, including recurrent meningiomas, have been found to be BRAFV600E-negative in 3 large series (28, 32, 33). Rhabdoid and other unusual meningiomas have rarely been reported to express GFAP by immunohistochemistry (34–36). One case of recurrent rhabdoid meningioma with BRAFV600E mutation has been reported; however, the report showed only a single nondefinitive photomicrograph of the tumor (36). Notably, Mordechai et al (36) stated that PXA was also on their differential diagnosis. Occasional S100 protein expression in meningiomas is generally only weak or focal, not strong and diffuse (37). In addition to oligodendrogliomas, Olig2 nuclear positivity is common in astrocytomas but has not been reported in meningiomas (38–40). Most meningiomas are EMA-immunoreactive. Malignant meningiomas may have decreased expression of EMA (37), but we did not see convincing EMA immunopositivity even in the less pleomorphic meningioma like areas in the cases reported here. Positive reticulin staining highlighting the basal lamina between individual cells is also typical of PXA but not meningioma (4). Notably, meningiomas may demonstrate variable intercellular reticulin staining, but stained fibers usually do not surround individual cells. Thus, the cases presented herein are not consistent with meningioma.
CDNK2A/B loss has been reported in up to 46% of anaplastic meningiomas (41) and in up to 60% of PXAs (42). Similarly, TERT promoter mutation has also been reported in both, albeit in a slightly lower percentage of anaplastic PXAs (23%) (29) compared with meningiomas exhibiting progression (28%) (43); however, it was much lower (3%) in meningiomas not showing progression.
Common Features of the 2 Cases
Both cases presented primarily as extra-axial tumors in adult women. Both showed only rare xanthomatous cells and lacked conspicuous EGBs on initial resection but were otherwise consistent with PXA (i.e. exhibiting bizarre multinucleated giant cells, glial differentiation, focal neuronal differentiation, and reticulin). However, they lacked microvascular proliferation and necrosis, thereby distinguishing them from giant cell and epithelioid glioblastomas. The latter features may, however, be observed in some—particularly recurrent—cases of PXA with anaplastic features (4). Interestingly, as many as 2% to 3% of glioblastomas overall (mostly pediatric or secondary glioblastomas) and as many as 7% to 11%of giant cell glioblastomas have been reported to show the BRAFV600E mutation (28, 31). Giant cell glioblastomas may be also differentiated from PXA by a relative lack of immunoreactivity for neuronal antigens (44).
Both cases also demonstrated large areas of only mildly pleomorphic meningothelial-like spindle cells with bland oval nuclei suggestive of meningioma, and both showed fascicular growth patterns. A single well-developed psammoma body was noted in each case; this was within an isolated meningothelial nest near the surface of the brain in Case 2 (Fig. 4M). Such entrapped reactive meningothelial cells may be a diagnostic pitfall that could lead pathologists to confuse primary meningeal PXAs with meningiomas. Cases 1 and 2 were similarly highly proliferative, displaying 12 to 15 mitoses per 10 high-power fields and Ki-67 labeling indices of up to 20% to 33% at presentation, respectively. Both also invaded the adjacent brain and recurred within 4 to 5 months of resection.
Eosinophilic granular bodies and large xanthomatous cells may reflect phagocytosis of brain cellular components and lipids, possibly explaining the less frequent occurrence of these features in the original resection specimens of these primarily extra-axial tumors. Indeed, xanthomatous cells were principally found in areas adjacent to or within superficial brain tissue. An entirely classic PXA histology was only seen after resection of the extra-axial tumor and development of intra-axial tumor in Case 2 (Figs. 5A–C). It is therefore possible that previous cases diagnosed more generically as “meningeal glioma” or GFAP-positive meningioma could in fact have been PXAs but were not recognized as such because of a lack of EGBs and xanthomatous cells.
Pleomorphic xanthoastrocytomas frequently involve the meninges, but examples occurring in a primary meningeal extra-axial location without a radiologically distinct intra-axial component are rare and not well documented. There is controversy on the histologic grading of PXAs with anaplastic features because some patients, despite early recurrence, may have a relatively long survival (as in Case 1), whereas others experience a relatively rapid progression and do very poorly (as in Case 2). Histologic features that have been suggested to be associated with poor survival include high mitotic rate, necrosis, and rhabdoid cells (4, 45). Notably, Case 2 showed a higher mitotic index but only focal rhabdoid-like cells. CDKN2A/B loss might also have been an important factor, as it has been shown to be associated with poorer survival in Grade II to Grade III diffuse astrocytomas (46). Additional larger studies are needed to establish reliable histopathologic or molecular criteria to predict World Health Organization Grade III behavior in PXA.
The extra-axial presentation of these tumors may provide a clue to the origin of PXAs. Kepes et al (1) originally postulated that PXAs could be derived from subpial astrocytes. An analogous hypothesis extrapolated to contemporary tumor stem cell theory would implicate cortical radial glial or cortical or leptomeningeal pluripotent neural progenitor cells derived from radial glia or neural crest cells in the development of PXAs (4, 47, 48).
In summary, we presented 2 cases of primary meningeal PXA with anaplastic features and aggressive clinical courses. One of these cases harbored a BRAFV600E mutation and—like another recently reported case of progressive PXA with anaplastic features—showed clinical response to a targeted BRAF inhibitor: dabrafenib here and vemurafenib in the previously reported case (49). The cases presented herein expand the differential diagnosis of dura-based tumors mimicking meningioma and underscore the need for careful histopathologic and molecular characterization (especially BRAF mutation analysis) in histologically atypical and/or clinically aggressive meningeal lesions, particularly those showing possible glial differentiation (i.e., S100 protein, GFAP, or Olig2 immunoreactivity). Such testing may identify patients who could potentially benefit from anti-BRAF targeted therapy.
Acknowledgments
This work was supported in part by NIH grant R01-NS081125 (NLL).
We thank Kathleen Roszka, Cindi Roberts, Karen Scott, and Lindsay Thorn for expert technical assistance.
References
- 1.Kepes JJ, Rubinstein LJ, Eng LF. Pleomorphic xanthoastrocytoma: A distinctive meningocerebral glioma of young subjects with relatively favorable prognosis. A study of 12 cases. Cancer. 1979;44:1839–52. doi: 10.1002/1097-0142(197911)44:5<1839::aid-cncr2820440543>3.0.co;2-0. [DOI] [PubMed] [Google Scholar]
- 2.Fouladi M, Jenkins J, Burger P, et al. Pleomorphic xanthoastrocytoma: Favorable outcome after complete surgical resection. Neuro-oncol. 2001;3:184–92. doi: 10.1093/neuonc/3.3.184. [DOI] [PMC free article] [PubMed] [Google Scholar]
- 3.Im SH, Chung CK, Kim SK, et al. Pleomorphic xanthoastrocytoma: A developmental glioneuronal tumor with prominent glioproliferative changes. J Neurooncol. 2004;66:17–27. doi: 10.1023/b:neon.0000013473.29458.9a. [DOI] [PubMed] [Google Scholar]
- 4.Giannini C, Paulus W, Louis DN, et al. Pleomorphic xanthoastrocytoma. In: Louis DN, Ohgaki H, Wiestler OD, Cavenee WK, editors. WHO Classification of Tumours of the Central Nervous System. Lyon, France: International Agency for Research on Cancer; 2007. pp. 22–24. [Google Scholar]
- 5.Oh T, Kaur G, Madden M, Bloch O, Parsa AT. Pleomorphic xanthoastrocytomas: Institutional experience of 18 patients. J Clin Neurosci. 2014;21:1767–72. doi: 10.1016/j.jocn.2014.04.002. [DOI] [PubMed] [Google Scholar]
- 6.Lehman NL, Horoupian DS, Warnke RA, Sundram UN, Peterson K, Harsh GR., 4th Dural marginal zone lymphoma with massive amyloid deposition: Rare low-grade primary central nervous system B-cell lymphoma. Case report. J Neurosurg. 2002;96:368–72. doi: 10.3171/jns.2002.96.2.0368. [DOI] [PubMed] [Google Scholar]
- 7.Chourmouzi D, Potsi S, Moumtzouoglou A, et al. Dural lesions mimicking meningiomas: A pictorial essay. World J Radiol. 2012;4:75–82. doi: 10.4329/wjr.v4.i3.75. [DOI] [PMC free article] [PubMed] [Google Scholar]
- 8.Nagata T, Goto T, Ichinose T, Tsuyuguchi N, Ohata K. Tentorial schwannoma mimicking meningioma. Neurol Med Chir (Tokyo) 2011;51:382–85. doi: 10.2176/nmc.51.382. [DOI] [PubMed] [Google Scholar]
- 9.Tan TC, Ho LC, Chiu HM, Leung SC. Subfrontal schwannoma masquerading as meningioma. Singapore Med J. 2001;42:275–77. [PubMed] [Google Scholar]
- 10.Krief O, Monnier L, Cornu P, Foncin JF, Dormont D, Marsault C. MR of isolated leptomeningeal glioma. AJNR Am J Neuroradiol. 1994;15:1782–84. [PMC free article] [PubMed] [Google Scholar]
- 11.Maleki M, Robitaille Y, Bertrand G. Atypical xanthoastrocytoma presenting as a meningioma. Surg Neurol. 1983;20:235–38. doi: 10.1016/0090-3019(83)90059-9. [DOI] [PubMed] [Google Scholar]
- 12.Pierallini A, Bonamini M, Di Stefano D, Siciliano P, Bozzao L. Pleomorphic xanthoastrocytoma with CT and MRI appearance of meningioma. Neuroradiology. 1999;41:30–34. doi: 10.1007/s002340050700. [DOI] [PubMed] [Google Scholar]
- 13.Opeskin K, Anderson RM, Nye DH. Primary meningeal glioma. Pathology. 1994;26:72–74. doi: 10.1080/00313029400169181. [DOI] [PubMed] [Google Scholar]
- 14.Kaku MV, Bhat DI, Shukla D, Mahadevan A, Devi BI. Pleomorphic xanthoastrocytoma arising from olfactory groove: A rare location for a rare tumor. Pediatr Neurosurg. 2013;49:292–96. doi: 10.1159/000363626. [DOI] [PubMed] [Google Scholar]
- 15.Horoupian DS, Lax F, Suzuki K. Extracerebral leptomeningeal astrocytoma mimicking a meningioma. Arch Pathol Lab Med. 1979;103:676–79. [PubMed] [Google Scholar]
- 16.Kim YG, Kim EH, Kim SH, Chang JH. Solitary primary leptomeningeal glioma: Case report. Brain Tumor Res Treat. 2013;1:36–41. doi: 10.14791/btrt.2013.1.1.36. [DOI] [PMC free article] [PubMed] [Google Scholar]
- 17.Kakita A, Wakabayashi K, Takahashi H, Ohama E, Ikuta F, Tokiguchi S. Primary leptomeningeal glioma: Ultrastructural and laminin immunohistochemical studies. Acta Neuropathol. 1992;83:538–42. doi: 10.1007/BF00310033. [DOI] [PubMed] [Google Scholar]
- 18.Sumi SM, Leffman H. Primary intracranial leptomeningeal glioma with persistent hypoglycorrhachia. J Neurol Neurosurg Psychiatry. 1968;31:190–94. doi: 10.1136/jnnp.31.2.190. [DOI] [PMC free article] [PubMed] [Google Scholar]
- 19.De Tommasi A, Occhiogrosso G, De Tommasi C, Luzzi S, Cimmino A, Ciappetta P. A polycystic variant of a primary intracranial leptomeningeal astrocytoma: Case report and literature review. World J Surg Oncol. 2007;5:72. doi: 10.1186/1477-7819-5-72. [DOI] [PMC free article] [PubMed] [Google Scholar]
- 20.Kalyan-Raman UP, Cancilla PA, Case MJ. Solitary, primary malignant astrocytoma of the spinal leptomeninges. J Neuropathol Exp Neurol. 1983;42:517–21. doi: 10.1097/00005072-198309000-00003. [DOI] [PubMed] [Google Scholar]
- 21.Stavrinou P, Magras I, Stavrinou LC, Zaraboukas T, Polyzoidis KS, Selviaridis P. Primary extracerebral meningeal glioblastoma: Clinical and pathological analysis. Cent Eur Neurosurg. 2010;71:46–49. doi: 10.1055/s-0029-1225652. [DOI] [PubMed] [Google Scholar]
- 22.Keith T, Llewellyn R, Harvie M, et al. A report of the natural history of leptomeningeal gliomatosis. J Clin Neurosci. 2011;18:582–85. doi: 10.1016/j.jocn.2010.07.144. [DOI] [PubMed] [Google Scholar]
- 23.Bailey P, Robitaille Y. Primary diffuse leptomeningeal gliomatosis. Can J Neurol Sci. 1985;12:278–81. doi: 10.1017/s031716710004717x. [DOI] [PubMed] [Google Scholar]
- 24.Shuangshoti S, Shuangshoti S. Primary diffuse leptomeningeal glioblastoma multiforme of brainstem and spinal cord clinically mimicking meningitis: Case report and review of literature. J Med Assoc Thai. 1996;79:403–8. [PubMed] [Google Scholar]
- 25.Sell M, Mitrovics T, Sander BC. Primary nodular meningeal glioma mimicking metastatic tumor of the cerebellum with diffuse infra- and supratentorial leptomeningeal spread. Clin Neuropathol. 2000;19:126–30. [PubMed] [Google Scholar]
- 26.Sceats DJ, Jr, Quisling R, Rhoton AL, Jr, Ballinger WE, Ryan P. Primary leptomeningeal glioma mimicking an acoustic neuroma: Case report with review of the literature. Neurosurgery. 1986;19:649–54. doi: 10.1227/00006123-198610000-00027. [DOI] [PubMed] [Google Scholar]
- 27.Cirak B, Caksen H, Ugras S, Unal O. Primary leptomeningeal astrocytoma in a child. Pediatr Int. 2000;42:389–91. doi: 10.1046/j.1442-200x.2000.01237.x. [DOI] [PubMed] [Google Scholar]
- 28.Schindler G, Capper D, Meyer J, et al. Analysis of BRAF V600E mutation in 1,320 nervous system tumors reveals high mutation frequencies in pleomorphic xanthoastrocytoma, ganglioglioma and extra-cerebellar pilocytic astrocytoma. Acta Neuropathol. 2011;121:397–405. doi: 10.1007/s00401-011-0802-6. [DOI] [PubMed] [Google Scholar]
- 29.Koelsche C, Sahm F, Wöhrer A, et al. BRAF-mutated pleomorphic xanthoastrocytoma is associated with temporal location, reticulin fiber deposition and CD34 expression. Brain Pathol. 2014;24:221–29. doi: 10.1111/bpa.12111. [DOI] [PMC free article] [PubMed] [Google Scholar]
- 30.Bettegowda C, Agrawal N, Jiao Y, et al. Exomic sequencing of four rare central nervous system tumor types. Oncotarget. 2013;4:572–83. doi: 10.18632/oncotarget.964. [DOI] [PMC free article] [PubMed] [Google Scholar]
- 31.Dias-Santagata D, Lam Q, Vernovsky K, et al. BRAF V600E mutations are common in pleomorphic xanthoastrocytoma: Diagnostic and therapeutic implications. PLoS One. 2011;6:e17948. doi: 10.1371/journal.pone.0017948. [DOI] [PMC free article] [PubMed] [Google Scholar]
- 32.Bujko M, Kober P, Tysarowski A, et al. EGFR, PIK3CA, KRAS and BRAF mutations in meningiomas. Oncol Lett. 2014;7:2019–22. doi: 10.3892/ol.2014.2042. [DOI] [PMC free article] [PubMed] [Google Scholar]
- 33.Forest F, Yvorel V, Vassal F, et al. BRAF V600 point mutation is not present in relapsing meningioma. Clin Neuropathol. 2015;34:164–65. doi: 10.5414/NP300836. [DOI] [PubMed] [Google Scholar]
- 34.Su M, Ono K, Tanaka R, et al. An unusual meningioma variant with glial fibrillary acidic protein expression. Acta Neuropathol. 1997;94:499–503. doi: 10.1007/s004010050739. [DOI] [PubMed] [Google Scholar]
- 35.Eom KS, Kim DW, Kim TY. Diffuse craniospinal metastases of intraventricular rhabdoid papillary meningioma with glial fibrillary acidic protein expression: A case report. Clin Neurol Neurosurg. 2009;111:619–23. doi: 10.1016/j.clineuro.2009.05.002. [DOI] [PubMed] [Google Scholar]
- 36.Mordechai O, Postovsky S, Vlodavsky E, et al. Metastatic rhabdoid meningioma with BRAF V600E mutation and good response to personalized therapy: Case report and review of the literature. Pediatr Hematol Oncol. 2015;32:207–11. doi: 10.3109/08880018.2014.936058. [DOI] [PubMed] [Google Scholar]
- 37.Perry A, Louis DN, Scheithauer BW, Louis DN, Budka H, von Deimling A. Meninigiomas. In: Louis DN, Ohgaki H, Wiestler OD, Cavenee WK, editors. WHO Classification of Tumours of the Central Nervous System. Lyon, France: International Agency for Research on Cancer; 2007. pp. 164–72. [Google Scholar]
- 38.Ligon KL, Alberta JA, Kho AT, et al. The oligodendroglial lineage marker OLIG2 is universally expressed in diffuse gliomas. J Neuropathol Exp Neurol. 2004;63:499–509. doi: 10.1093/jnen/63.5.499. [DOI] [PubMed] [Google Scholar]
- 39.Marie Y, Sanson M, Mokhtari K, et al. OLIG2 as a specific marker of oligodendroglial tumour cells. Lancet. 2001;358:298–300. doi: 10.1016/S0140-6736(01)05499-X. [DOI] [PubMed] [Google Scholar]
- 40.Preusser M, Budka H, Rössler K, Hainfellner JA. OLIG2 is a useful immunohistochemical marker in differential diagnosis of clear cell primary CNS neoplasms. Histopathology. 2007;50:365–70. doi: 10.1111/j.1365-2559.2007.02614.x. [DOI] [PubMed] [Google Scholar]
- 41.Boström J, Meyer-Puttlitz B, Wolter M, et al. Alterations of the tumor suppressor genes CDKN2A (p16(INK4a)), p14 (ARF), CDKN2B (p15 (INK4b)), and CDKN2C (p18(INK4c)) in atypical and anaplastic meningiomas. Am J Pathol. 2001;159:661–69. doi: 10.1016/S0002-9440(10)61737-3. [DOI] [PMC free article] [PubMed] [Google Scholar]
- 42.Weber RG, Hoischen A, Ehrler M, et al. Frequent loss of chromosome 9, homozygous CDKN2A/p14(ARF)/CDKN2B deletion and low TSC1 mRNA expression in pleomorphic xanthoastrocytomas. Oncogene. 2007;26:1088–97. doi: 10.1038/sj.onc.1209851. [DOI] [PubMed] [Google Scholar]
- 43.Goutagny S, Nault JC, Mallet M, Henin D, Rossi JZ, Kalamarides M. High incidence of activating TERT promoter mutations in meningiomas undergoing malignant progression. Brain Pathol. 2014;24:184–89. doi: 10.1111/bpa.12110. [DOI] [PMC free article] [PubMed] [Google Scholar]
- 44.Martinez-Diaz H, Kleinschmidt-DeMasters BK, Powell SZ, Yachnis AT. Giant cell glioblastoma and pleomorphic xanthoastrocytoma show different immunohistochemical profiles for neuronal antigens and p53 but share reactivity for class III beta-tubulin. Arch Pathol Lab Med. 2003;127:1187–91. doi: 10.5858/2003-127-1187-GCGAPX. [DOI] [PubMed] [Google Scholar]
- 45.Kahramancetin N, Tihan T. Aggressive behavior and anaplasia in pleomorphic xanthoastrocytoma: A plea for a revision of the current WHO classification. CNS Oncol. 2013;2:523–30. doi: 10.2217/cns.13.56. [DOI] [PMC free article] [PubMed] [Google Scholar]
- 46.Reis GF, Pekmezci M, Hansen HM, et al. CDKN2A loss is associated with shortened overall survival in lower-grade (World Health Organization Grades II–III) astrocytomas. J Neuropathol Exp Neurol. 2015;74:442–52. doi: 10.1097/NEN.0000000000000188. [DOI] [PMC free article] [PubMed] [Google Scholar]
- 47.Lehman NL. Central nervous system tumors with ependymal features: A broadened spectrum of primarily ependymal differentiation? J Neuropathol Exp Neurol. 2008;67:177–88. doi: 10.1097/NEN.0b013e31816543a6. [DOI] [PubMed] [Google Scholar]
- 48.Cooper IS, Kernohan JW. Heterotopic glial nests in the subarachnoid space; histopathologic characteristics, mode of origin and relation to meningeal gliomas. J Neuropathol Exp Neurol. 1951;10:16–29. doi: 10.1097/00005072-195110010-00002. [DOI] [PubMed] [Google Scholar]
- 49.Lee EQ, Ruland S, LeBoeuf NR, Wen PY, Santagata S. Successful treatment of a progressive BRAF V600E–mutated anaplastic pleomorphic xanthoastrocytoma with vemurafenib monotherapy. J Clin Oncol. 2014 doi: 10.1200/JCO.2013.51.1766. pii: JCO.2013.51.1766 [Epub ahead of print] [DOI] [PubMed] [Google Scholar]





