Abstract
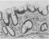
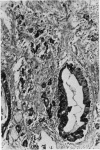
Ten cases of mucocele of the vermiform appendix are described. Eight cases were of mucinous cystadenoma of the appendix and six cases showed acute inflammation. Two of the six cases showed pseudoinvasion of the appendix and in a further case the appendix had perforated with extrusion of a misplaced neoplasm. Two cases were of mucinous cystadenocarcinoma and one of these was diagnosed as `pseudomyxoma peritonei'. `Pseudomyxoma peritonei' is a misnomer and is caused by dissemination of a mucinous cystadenocarcinoma within the peritoneal cavity. The special problems of histological diagnosis are discussed.
Full text
PDF








Images in this article
Selected References
These references are in PubMed. This may not be the complete list of references from this article.
- Arly K. S., Stephenson D. V., Jr, Davis W. C. Giant retroperitoneal mucocele simulating pseudomyxoma peritonei and mucinous adenocarcinoma. Am J Surg. 1968 Sep;116(3):439–443. doi: 10.1016/0002-9610(68)90238-9. [DOI] [PubMed] [Google Scholar]
- Bunch G. H. Mucoid Disease of the Appendix. Ann Surg. 1945 May;121(5):704–709. doi: 10.1097/00000658-194505000-00014. [DOI] [PMC free article] [PubMed] [Google Scholar]
- ELLIOTT C. E. Two cases of pseudomyxoma peritonei from mucocele of the appendix. Br J Surg. 1957 Jul;45(189):15–18. doi: 10.1002/bjs.18004518904. [DOI] [PubMed] [Google Scholar]
- EVANS R. W., MURPHY A. F. Pseudomyxoma peritonei associated with an appendix obstructed by an argentaffinoma (carcinoid) in a male. Br J Surg. 1959 Sep;47:166–172. doi: 10.1002/bjs.18004720211. [DOI] [PubMed] [Google Scholar]
- Gibbs N. M. Incidence and significance of argentaffin and paneth cells in some tumours of the large intestine. J Clin Pathol. 1967 Nov;20(6):826–831. doi: 10.1136/jcp.20.6.826. [DOI] [PMC free article] [PubMed] [Google Scholar]
- HILSABECK J. R., JUDD E. S., Jr, WOOLNER L. B. Carcinoma of the vermiform appendix. Surg Clin North Am. 1951 Aug;31(4):995–1011. doi: 10.1016/s0039-6109(16)33384-9. [DOI] [PubMed] [Google Scholar]
- MacGillivray J. B. Mucosal metaplasia in the appendix. J Clin Pathol. 1972 Sep;25(9):809–811. doi: 10.1136/jcp.25.9.809. [DOI] [PMC free article] [PubMed] [Google Scholar]
- SCIMECA W. B., DOCKERTY M. B. Carcinoma of the vermiform appendix: a review of the literature and report of a case. Proc Staff Meet Mayo Clin. 1955 Nov 16;30(23):527–534. [PubMed] [Google Scholar]












