Abstract
Aβ-related cerebral amyloid angiopathy (CAA) is a major cause of primary non-traumatic brain hemorrhage. In families with an early onset of the disease, CAA can be due to amyloid precursor protein (APP) pathogenic variants or duplications. APP duplications lead to a ~1.5-fold increased APP expression, resulting in Aβ overproduction and deposition in the walls of leptomeningeal vessels. We hypothesized that rare variants in the 3'untranslated region (UTR) of APP might lead to APP overexpression in patients with CAA and no APP pathogenic variant or duplication. We performed direct sequencing of the whole APP 3'UTR in 90 patients with CAA and explored the functional consequences of one previously unreported variant. We identified three sequence variants in four patients, of which a two-base pair deletion (c.*331_*332del) was previously unannotated and absent from 175 controls of same ethnicity. This latter variant was associated with increased APP expression in vivo and in vitro. Bioinformatics and functional assays showed that the APP c.*331_*332del variant affected APP messenger RNA (mRNA) structure and binding of two microRNAs (miR-582-3p and miR-892b), providing a mechanism for the observed effects on APP expression. These results identify APP 3'UTR sequence variants as genetic determinants of Aβ-CAA.
Introduction
Cerebral amyloid angiopathy (CAA) is characterized by amyloid deposits in the wall of cortical and leptomeningeal blood vessels, resulting in leukoencephalopathy with intracerebral hemorrhages (ICH). In postmortem studies, moderate to severe CAA affects 2.3% of the population aged between 65 and 74 years, and the prevalence increases to 8% among individuals aged 75–84 years, and 12.1% after 85 years of age1 (for review see Biffi and Greenberg2). The most frequent components of the vascular deposits are the Aβ peptides (Aβ-CAA). These short (37–43 amino acids in length) Aβ peptides are generated from the proteolytic processing of the amyloid precursor protein (APP). Potential causes of Aβ deposition in vessels include increased production or reduced clearance mechanisms. The aggregation of Aβ peptides in the extracellular space is also a key pathological event in Alzheimer Disease (AD).
Most cases of Aβ-CAA are believed to occur sporadically. In addition to age, the ɛ4 allele of the APOE gene has been shown to be a common risk factor for CAA (ORAPOE ɛ4+=2.7 [2.3–3.1]),3 whereas studies suggesting a role of the APOE ɛ2 allele as a risk factor for CAA were inconsistently replicated. It has also been suggested that APOE ɛ2 could be a risk factor for ICH in vessels with amyloid charge.4 More rarely, early-onset Aβ-CAA can be inherited as an autosomal dominant trait. Some cases are due to missense pathogenic variants in exons 16 and 17 of the APP gene, which encode the Aβ peptide and flanking amino acids. These variants (ie, Dutch, Italian, Arctic, Iowa, Flemish, and Piedmont) lead to increased production of aggregation-prone Aβ peptides. Interestingly, APP gene duplications cause early-onset autosomal dominant AD with Aβ-CAA.5 Duplications of the APP gene result in a ~1.5- fold increase of APP expression, which is believed to be the direct cause of Aβ overproduction and EOAD with Aβ-CAA.6 Patients with Down syndrome, who also carry three copies of the APP gene, have enhanced APP expression and are prone to develop AD with Aβ-CAA.7 Increased APP gene expression is therefore a strong determinant for Aβ-CAA.
Recently, variants located in the 3' untranslated region (3'UTR) of APP were identified in a subset of patients with AD,8 some of which affected microRNA (miRNA) binding and APP expression in vitro.9 The short, regulatory miRNAs play an important role in posttranscriptional gene expression regulation (reviewed in Filipowicz et al10), whereas their involvement in neurodegenerative disorders is increasingly appreciated (reviewed in Hebert and De Strooper11). Interestingly, the APP 3'UTR is highly conserved across species,12 strengthening the biological importance of this non-protein-coding region.
In this study, we aimed to determine whether sequence variants in the 3'UTR of APP could contribute to genetically unexplained cases of Aβ-CAA. To this end, we sequenced the complete 3'UTR of APP (~1200 bp) in 90 patients with CAA. We identified three APP 3'UTR sequence variants in four patients, including a previously unreported one (c.*331_*332del). This latter variant was associated with increased APP expression in vivo and in vitro. We provide evidence that the c.*331_*332del variant could affect APP mRNA structure and miRNA binding, providing a potential mechanism for increased APP expression. Together, these results reveal a previously unrecognized role of APP 3'UTR variants in Aβ-CAA, and further highlight the potential importance of miRNAs in the regulation of APP expression and neurological disorders.
Materials and methods
Patients
Blood samples from patients with CAA referred to two centers (CNR-MAJ, Rouen and Department of Genetics, Lariboisière Hospital, Paris, France) for APP sequencing and search for APP duplication were included in a national multicentric study. Diagnosis was performed according to the revised Boston diagnostic criteria13 and ascertained by the two expert centers.
Patients fulfilling the criteria of definite CAA, probable CAA with supporting pathology, probable CAA, and possible CAA were included if they did not exhibit APP duplication (previously checked by QMPSF5) or APP pathogenic variant (previously checked by sequencing of exons 16 and 17). The criterion of age (Boston criteria require an age ≥55 years for the diagnosis of probable CAA) was not taken into account as we aimed at including patients with early as well as later onset of CAA. The study sample consisted of 90 patients (Table 1). First neurological event, age at onset, age at last clinical evaluation, and first-degree family history was extracted from medical records. All patients gave informed, written consent for genetic analyses. This protocol was approved by our ethics committees.
Table 1. Patients with cerebral amyloid angiopathy (CAA).
| Diagnostic classificationa | N | Mean age at onsetb (min–max) | Mean age at last evaluation (min–max) | Sex ratio M/F | Percentage of cases with positive family historyc |
|---|---|---|---|---|---|
| Definite CAA | 3 | 54.5 (54–55) | 69 (63–75) | 2/1 | 33.3% |
| Probable CAA with supporting pathology | 2 | 63 (61–65) | 63.5 (61–66) | 1/1 | 0 |
| Probable CAA | 82 | 61.0 (31–82) | 65.2 (40–90) | 55/27 | 42.7% |
| Possible CAA | 3 | 67 (53–77) | 72 (63–77) | 3/0 | 33.3% |
| Total | 90 | 61.1 (31–82) | 65.5 (40–90) | 61/29 | 41.1% |
According to modified Boston criteria (Linn et al,13) with the exception of the criterion of age for possible and probable CAA.
Any neurological event, for example, first intracerebral hemorrhage, ischemic stroke, onset of cognitive decline, seizure
.
Among first-degree relatives, history of stroke and/or cognitive decline (family information was not available for 12 patients).
APP 3'UTR sequencing and expression analysis
DNA and RNA were extracted from whole blood. For Sanger sequencing, the whole APP 3'UTR was PCR-amplified using the following three sets of specific primers: A1 F-5′-TGTCCAAGATGCAGCAGAAC-3′ and R-5′-CTGAACTCCCACGTTCACAT-3′ A2 F-5′-CATAGCCCCTTAGCCAGTTG-3′ and R-5′-AATTGAAGACCAGCAGAGCA-3′ A3 F-5′-CCACGTATCTTTGGGTCTTTG-3′ and R-5′-AAGACACAACAGGTGTGGGTA-3′. PCR products were sequenced and analyzed on an ABI Prism 3100 DNA sequencer (Applied Biosystems, Grand Island, NY, USA). Nomenclatures refer to NM_000484.3.
The new variant has been submitted to the Leiden Open Variation Database (LOVD, http://databases.lovd.nl/shared/variants/0000046545#01472).
RT-QMPSF was performed in triplicate experiments as previously described.6 Briefly, RNA was reverse-transcribed into cDNA using the Verso cDNA kit (Fisher Scientific, Illkirch, France), and the single-stranded cDNA was PCR-amplified in a single reaction using two pairs of primers spanning exons 12/13 and 16/18 of APP, and three pairs of primers spanning three reference genes: SF3A1, EIF4A2, and TOP1. Sense primers were 6-FAM-labeled. RT-PCR were analyzed using the Genescan 3.7 Software (Applied Biosystems) after electrophoretic separation on a ABI Prism 3100 DNA sequencer (Applied Biosystems). Relative APP mRNA levels from the patient carrying the c.*331_*332del and his mother were normalized using the same sample of six healthy individuals constituting the normalization sample described in the study by Pottier et al.6 Normalized results were then compared with the previously published series composed of 58 control individuals, 21 patients with Down syndrome, and 9 patients with an APP duplication.6 Three APP duplication carriers were added to the series using the same procedures.
Controls
We compared results from Sanger sequencing of the APP 3'UTR with previously published data,8 the exome variant server, the 1000 Genomes project, and dbSNP. In addition, we performed Sanger sequencing of the whole APP 3'UTR of 175 supplemental controls of the same ethnic origin (Sub-Saharan Africa) as the patient carrying the c.*331_*332del variant.14
In silico analyses of APP 3'UTR variants
Secondary structure analysis of human APP (hAPP) wild type (WT) or carrying the c.*331_*332del (named hereafter ΔTA) mRNA was performed using the CYCLOFOLD algorithm.15 Candidate miRNAs were selected based on the PITA algorithm,16 specifically designed to identify miRNA:mRNA interactions based on site accessibility.
Cell culture
Human HeLa cells were cultured in DMEM medium (Invitrogen, Carlsbad, CA, USA) supplemented with 10% heat-inactivated fetal bovine serum. One day before transfection, HeLa cells were plated at a 20% confluence in 6-well plates. Transfection was performed using Lipofectamine 2000 (Invitrogen) according to the manufacturer's instructions.
Cellular assays
The full-length hAPP 3′UTR luciferase construct was described previously.17 Mutagenesis was performed by TOPgene technologies (Montreal, Quebec, Canada) and validated by sequencing. Cells were transfected with or without 5 nM pre-miRs (Applied Biosystems), 2.5 ng/cm2 pRL control vector, and 50 ng/cm2 pGL3_HSV TK_3′UTR hAPP WT or ΔTA plasmids. Twenty-four hours post transfection, cells were lysed, and luciferase activity was measured according to the manufacturer's instructions (Promega, Madison, WI, USA).
RNA-binding protein immunoprecipitation (RIP)
The Ago2-RIP protocol was performed as described previously.18 Snap-frozen human cortical brain tissue19 was used as the material (control individuals, n=2, average age of 74 years old, average RIN values of 6.8). We used the Ago2 (Cell Signaling, Danvers, MA, USA; cat. #C34C6) and normal rabbit immunoglobulin (Cell Signaling cat. #2729) antibodies for immunoprecipitation. Immunoprecipitated RNAs (miRNA and mRNA) were subjected to quantitative real-time PCR, as before.18 Oligonucleotides for APP are: F-5′-GTGTGCCCCATTCTTTTACG-3′ and R-5′-GGAAGTTTAACAGGATCTCGGG-3′, and for NA4R1 are: F-5′-GCCTAGCACTGCCAAATT-3′ and R-5′-TCTGCCCACTTTCGGATAAC-3′.
Results
We sequenced the 3'UTR of APP in 90 patients with definite (n=3), probable with supporting pathology (n=2), probable (n=82), and possible (n=3) CAA. Demographical characteristics are presented in Table 1. The first neurological event was acute symptomatic intracerebral lobar or subarachnoid hemorrhage in 46 patients, cognitive decline in 27 patients, ischemic stroke before the diagnosis of CAA in 7 patients, seizures not related to stroke in 6 patients, and cephalalgia not related to stroke in 2 patients. The diagnosis was fortuitous for one patient, and the presenting symptom was unknown in another one. The mean age at onset was 61.1 years (range 31–82).
We identified three sequence variants in four patients (Table 2). One variant, a two-base pair deletion, c.*331_*332del, was previously unreported. The other two were rare single nucleotide variants: c.*18C>T (rs201729239, reported once among 6503 individuals in the exome variant server, and once in the CS Agilent dataset, ss491814511) and c.*372A>G (allele frequency of 0.2% in the 1000 Genome project). We note that, in the exome variant server, only the first 50 bp after the stop codon were covered. Bettens et al8 previously reported the results of Sanger sequencing of APP 3'UTR in 358 AD patients and 462 controls. Neither the c.*331_*332del nor the c.*18C>T variants were reported in the latter study. Conversely, the c.*372A>G variant was retrieved in both groups (0.3% frequency in AD group and 0.47% in controls). Taken together, this suggests that the c.*372A>G variant is a rare polymorphism.
Table 2. Variants found after Sanger sequencing of 3'UTR of APP in 90 patients with CAA.
| Controls | Patients with CAA | |||||||||||
|---|---|---|---|---|---|---|---|---|---|---|---|---|
| Variant nomenclature | dbSNP id | PhyloP score | Exome variant Server | 1000 Genomes | Bettens et al.a | 175 African controls (Sanger) | Count | AAO | APOE | Clinical summary | Family history | Interpretation |
| c.*18C>T | rs201729239 | 4.24 | EA:0/4300 AA:1/2203 MAF: 0.0077% | 1/297 (CS Agilent, Europe, WES) | 0% | 0 | 1/90 | 58 | 23 | 58 years: Ischemic stroke, and then one lobar ICH 63: lobar ICH MRI: WMH, numerous cortical and juxtacortical microbleeds | Negative | Unknown effect |
| c.*331_*332del | Unreported | c.*331: 4.00 c.*332: 2.38 | Not covered | Unreported | Unreported | 0 | 1/90 | 39 | 34 | Focal SAH, then recurrent lobar ICH, cortical and juxtacortical microbleeds, WMH | Negative | Rare functional variant |
| c.*372A>G | rs187940037 | 1.66 | Not covered | 4/1094 MAF=0.2% | 0.47% | 0 | 2/90 | 73 | 34 | Focal SAH, cortical and juxtacortical microbleeds, WMH | Negative | Probable rare polymorphism |
| 53 | 44 | 2 lobar ICH, cortical and juxtacortical microbleeds | Mother: ICH at age 83 | |||||||||
Abbreviations: AAO, age at onset; ICH, lobar intracerebral hemorrhage; MAF, minor allele frequency; SAH, subarachnoid hemorrhage.
462 controls from Bettens et al.,8 frequency based on the actual number of successful sequences.
The patient carrying the c.*18C>T variant was diagnosed with probable CAA at the age of 58 years. His first neurological event was a right middle-cerebral artery ischemic stroke, treated by aspirin. One month later, he presented lobar right temporal and parietal hematoma. Cerebral MRI revealed numerous cortical and juxtacortical microbleeds in all cerebral territories, together with white matter hyperintensities and no bleeding in deep gray matter. Five years later, he presented a novel spontaneous right lobar hematoma. He had no family history of CAA. RNA was not available for expression analysis.
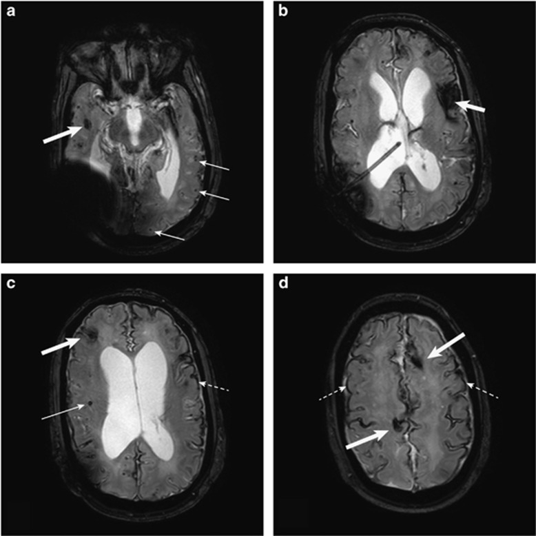
The patient carrying the c.*331_*332del variant was diagnosed with probable CAA based on multiple spontaneous lobar and subarachnoid hemorrhages with diffuse superficial siderosis, starting from the age of 39 years. His personal medical history was marked by spina bifida with ventriculoperitoneal shunting at birth, which was properly functioning since first placement and after last revision, performed at 12 years. At the age of 39, he presented spontaneous cortical parietal bilateral subarachnoid hemorrhages revealed by cephalalgia and delirium. Replacement of shunting was decided. One week later, cerebral MRI showed a right frontal hematoma, distant from the shunting trajectory. Moreover, during the following months and in the absence of any new medical event or shunt malfunction, he presented several spontaneous lobar hematomas: latest cerebral MRI showed, at the age of 41, right temporal, frontal, fronto-temporal and left frontal and frontotemporal lobar cortical hematomas, as well as numerous cortical microbleeds in all cerebral territories, diffuse superficial siderosis (Figure 1), white matter hyperintensities, and no bleeding in deep gray matter. Taking these arguments together, the diagnosis of CAA was highly probable. He had no family history of CAA. His APOE genotype was 3–4. Neither APP pathogenic variant nor APP locus duplication was detected. Sequencing of APP 3'UTR revealed a previously unreported two-base pair deletion, c.*331_*332del (r.*331_*332del). The patient was from Sub–Saharan African origin. To make sure that this variant is not frequently encountered in this ethnic group, we screened the presence of this variant in 175 controls originating from the same region of Africa. None of them carried this variant. The patient's unaffected mother did not carry the c.*331_*332del variant. The patient's father's DNA was unavailable (sudden death at the age of 70 by unknown cause). Expression analyses by RT-QMPSF revealed a ~1.5-fold increased level of the APP mRNA transcript in the patient (mean±SD: 1.47±0.06), while the analysis of his mother's RNA revealed a normal level of the APP mRNA transcript (1.12±0.06, Table 3).
Figure 1.
T2*-weighted cerebral MRI of the patient carrying the APP c.*331_*332del variant at the age of 41 years, showing cortical and subcortical microbleeds (a and c, solid arrows), lobar hematomas (a–d heavy arrows) and superficial siderosis (c and d, dotted arrows).
Table 3. APP mRNA expression in blood.
| n | Mean | SEMa | Median | Range | |
|---|---|---|---|---|---|
| Controlsb | 58 | 1.01 | 0.02 | 0.99 | 0.68–1.46 |
| Down syndrome | 21 | 1.46 | 0.07 | 1.49 | 0.80–2.05 |
| APP duplication | 12 | 1.40 | 0.10 | 1.39 | 0.79–1.89 |
| Patient with c.*331_*332del | 1 | 1.47±0.06c | |||
| Unaffected mother, not carrying the c.*331_332 del mutation | 1 | 1.12±0.06c | |||
Relative APP mRNA levels in 58 control individuals, 21 patients with Down syndrome, 12 patients with APP duplication[6], and the patient carrying the c.*331_*332del mutation in the APP 3'UTR. Each individual value corresponds to the average of three measures by RT-QMPSF.
Standard error of mean among the 58 controls, the 21 patients with Down syndrome, and the 12 patients with APP duplication, respectively, as a reflect of inter-individual variation.
Mean age±SEM: 64.6±1.16.
Standard error of mean of the three analysis replicates of RT-QMPSF in the patient carrying the c.*331_*332del mutation and his unaffected mother, respectively, as a reflect of measure variability.
As the c.*331_*332del variant was unreported from databases and absent in controls, and as expression analysis showed increased levels of APP transcripts in the patient affected by probable CAA, we focused on this variant for functional analyses.
The c.*331_*332del variant is located in a highly conserved region of the APP 3'UTR (Figure 2a). To evaluate the effects of c.*331_*332del on APP expression in vitro, we cloned the full-length hAPP 3'UTR downstream of a luciferase reporter (Figure 2a).9 The c.*331_*332del variant (hereafter, named ΔTA) was included by site-directed mutagenesis. When compared with the control (WT) sequence, the ΔTA variant caused a ~1.5-fold increase in luciferase (APP) expression once incorporated into human HeLa cells (Figure 2b), consistent with our patient data. Thus, the presence of the c.*331_*332del variant alone is sufficient to cause an increase in APP expression.
Figure 2.
(a) Schematic representation (not to scale) of the hAPP luciferase reporter construct used in this study. TK, thymidine kinase promoter; AAAA(n), PolyA site. Note that nucleotides surrounding the TATA site (in light grey) are highly conserved (shown here are human, chimpanzee, mouse, and chicken sequences). The APP deletion (ΔTA) is depicted. Nucleotide positions in the hAPP 3'UTR are shown. (b) HeLa cells were co-transfected with hAPP WT or ΔTA constructs and Renilla (used as normalizing control). Relative expression (in fold) is shown after normalization (n=3 in triplicate). Statistical significance was assessed using an unpaired t-test (***P<0.001). (c) Secondary structure analysis of hAPP WT or ΔTA mRNA. Here are shown ~70 nucleotides flanking the TATA sequence (underlined in red). (d) HeLa cells were transfected with 5 nM miRNAs (see list) as well as hAPP WT or ΔTA constructs. Signals were normalized for transfection efficiency, and graph represents the luciferase signals compared with the scrambled control (SCR) (n=3 in triplicate). Statistical significance was assessed using ANOVA (**P<0.01; ***P<0.001 when compared with WT and ##P<0.01; ###P<0.001 when compared with SCR). NS, Non significant. (e) miRNA:mRNA alignment analysis of miR-582-3p and miR-892b with the APP 3'UTR. Note that predicted miRNA seed sequences are flanking the TATA sequence at the 5' end. (f) Representative immunoprecipitation of Ago2-associated RNAs in the brain. Mature candidate miRNAs (miR-582-p and miR-892b) as well as APP mRNA are enriched in the functional (‘loaded') miRNA/RISC complex. Both miRNAs and mRNAs were measured by qRT-PCR (n=2, measured in triplicate). MiR-323p was used as the positive control for the RIP experiments, while miR-539 and NR4A1 mRNA were used as negative controls. Fold enrichments were calculated as Ago2 RIP versus IgG RIP.
We next searched for potential mechanisms involved in ΔTA-induced APP expression upregulation. Bioinformatics analysis using the CYCLOFOLD algorithm15 showed drastic changes in APP mRNA secondary structure in the presence of the ΔTA variant (Figure 2c). Alterations in mRNA secondary structure are known to influence miRNA binding and function. To test this hypothesis, we used the PITA algorithm,16 specifically designed to identify miRNA:mRNA interactions based on site accessibility. This program identified miR-582-3p and miR-892b potential binding sites located near the ΔTA sequence (Figure 2d and e). To validate these predictions, we co-transfected candidate miRNAs with the APP luciferase reporters in HeLa cells. Upon co-transfection, the ΔTA variant increased luciferase (APP) expression when compared with the WT sequence (Figure 2d). Notably, miR-892b significantly downregulated APP expression, whereas the ΔTA variant blocked this effect. Interestingly, miR-582-3p caused an increase in APP expression only in the presence of the ΔTA variant. As a positive control for this experiment, we used the previously identified miR-323-3p, which targets another region in the APP 3'UTR9 and is independent on mRNA secondary structure (not shown). As expected, miR-323-3p miRNA was not affected by the ΔTA variant. We finally performed Ago2 RIP experiments18 on human post-mortem tissue. These assays showed that mature (functional) miR-582-3p and miR-892b associate with APP mRNA under physiological conditions in the adult human brain (Figure 2f). Taken together, these results suggest that the loss of miRNA binding is responsible, at least in part, for the increased expression of APP in patients with the c.*331_*332del variant.
Discussion
We report the first genetic screening of the 3'UTR of the APP gene in a case series of patients with CAA. Sequence variants of APP 3'UTR were found with a low frequency in our case series (4/90, 4.4%). Among the three variants identified, a previously unreported one, c.*331_*332del, was associated with increased APP expression in vivo in a patient with probable CAA. This increased APP expression could be attributed, at least in part, to the abnormal binding of two miRNAs (miR-582-3p and miR-892b) to the APP mRNA. These results also suggest that the two aforementioned miRNAs, which are expressed in human brain and co-immunoprecipitate with the active miRNA complex and APP mRNA, are involved in the regulation of APP expression. Importantly, the levels of APP transcripts observed in the patient carrying the variant were comparable with patients with APP duplications6 and to our in vitro cellular assays. We suggest that this variant, resulting in a significant increase of APP expression, is a strong genetic determinant for CAA. The variant was not inherited from the unaffected mother, but the father's DNA was not available, which did not allow us to determine whether the variant occurred de novo.
Another variant, c.*18C>T, was reported with an extremely low frequency in control databases. Owing to the lack of material, we could not test APP expression. However, we cannot exclude that this variant is involved in the genetic determinism of probable CAA.
Previous studies have shown that APP is regulated at both transcriptional and posttranscriptional levels.10, 20 Association studies about sequence variants in APP proximal and distal promoter regions gave inconsistent results in the risk of AD.20, 21, 22, 23 Some of these studies showed an increase in APP expression in vitro, but did not provide in vivo validation.20 APP promotor screening has not yet been performed in CAA, to our knowledge. We and others have also shown that APP expression can be regulated by several miRNAs, and it has been hypothesized that genetic variations in the 3′UTR of APP that either abolish existing miRNA-binding sites or create illegitimate miRNA-binding sites could significantly contribute to the risk for disease (reviewed in Delay et al24 and Long et al25). Our previous studies reported that variants within the 3'UTR of APP, found in several patients with AD, can increase APP expression level in vitro, but these data could not be assessed in vivo.9 Here, we provide the first evidence that a patient-specific sequence variant within the 3'UTR of APP, found in a patient with probable CAA, may influence APP transcript levels in vivo in humans.
Increased APP expression has been shown to cause CAA with AD.5 Some of the patients from the present case series may be affected by both CAA and AD. On the contrary, as CAA is most of the time a probabilistic diagnosis (in absence of neuropathological data, in 85/90 patients here), we cannot exclude that some of our patients might eventually not be affected by definite CAA or might be affected by CAA not related to Aβ.
Of note, the patient carrying the c.*331_*332del variant had a personal history of spina bifida of unknown cause. ICHs were temporally and spatially distinct from surgery and material, respectively, and were associated with numerous cortical microbleeds, confirming that the patient had two distinct diseases. We hypothesize that this could be coincidental.
Although the mean age at onset was 61.1 years in our study, we included both young and older patients (range: 31–82 years). Three out of four variants were identified in patients with an age of onset before 60 years (2/2 if excluding the most likely polymorphic c.*372A>G variant). Previous studies focused on patients with AD, especially late-onset AD.8 Increased expression of APP due to APP duplications has been shown to cause early-onset AD with CAA.5 For these reasons, we propose that genetic screening of the 3'UTR of APP should be performed in patients with early-onset AD, early-onset CAA, or both, if no APP pathogenic variant or duplication was previously identified.
Acknowledgments
We thank all physicians who sent patient information and blood samples. This work was supported by the CNR-MAJ with grants from the French Ministry of Health, the University Hospital of Rouen, the Alzheimer Society of Canada, the Canadian Institutes of Health Research, and the AP-HP Lariboisière Hospital of Paris.
The authors declare no conflict of interest.
References
- Greenberg SM, Vonsattel JP: Diagnosis of cerebral amyloid angiopathy. Sensitivity and specificity of cortical biopsy. Stroke 1997; 28: 1418–1422. [DOI] [PubMed] [Google Scholar]
- Biffi A, Greenberg SM: Cerebral amyloid angiopathy: a systematic review. J Clin Neurol 2011; 7: 1–9. [DOI] [PMC free article] [PubMed] [Google Scholar]
- Rannikmae K, Samarasekera N, Martinez-Gonzalez NA, Al-Shahi Salman R, Sudlow CL: Genetics of cerebral amyloid angiopathy: systematic review and meta-analysis. J Neurol Neurosurg Psychiatry 2013; 84: 901–908. [DOI] [PubMed] [Google Scholar]
- McCarron MO, Nicoll JA: Apolipoprotein E genotype and cerebral amyloid angiopathy-related hemorrhage. Ann NY Acad Sci 2000; 903: 176–179. [DOI] [PubMed] [Google Scholar]
- Rovelet-Lecrux A, Hannequin D, Raux G et al: APP locus duplication causes autosomal dominant early-onset Alzheimer disease with cerebral amyloid angiopathy. Nat Genet 2006; 38: 24–26. [DOI] [PubMed] [Google Scholar]
- Pottier C, Wallon D, Lecrux AR et al: Amyloid-beta protein precursor gene expression in alzheimer's disease and other conditions. J Alzheimers Dis 2012; 28: 561–566. [DOI] [PubMed] [Google Scholar]
- Donahue JE, Khurana JS, Adelman LS: Intracerebral hemorrhage in two patients with Down's syndrome and cerebral amyloid angiopathy. Acta Neuropathol 1998; 95: 213–216. [DOI] [PubMed] [Google Scholar]
- Bettens K, Brouwers N, Engelborghs S et al: APP and BACE1 miRNA genetic variability has no major role in risk for Alzheimer disease. Hum Mutat 2009; 30: 1207–1213. [DOI] [PubMed] [Google Scholar]
- Delay C, Calon F, Mathews P, Hebert SS: Alzheimer-specific variants in the 3'UTR of Amyloid precursor protein affect microRNA function. Mol Neurodegener 2011; 6: 70. [DOI] [PMC free article] [PubMed] [Google Scholar]
- Filipowicz W, Bhattacharyya SN, Sonenberg N: Mechanisms of post-transcriptional regulation by microRNAs: are the answers in sight? Nat Rev Genet 2008; 9: 102–114. [DOI] [PubMed] [Google Scholar]
- Hebert SS, De Strooper B: Alterations of the microRNA network cause neurodegenerative disease. Trends Neurosci 2009; 32: 199–206. [DOI] [PubMed] [Google Scholar]
- Hebert SS, Nelson PT: Studying microRNAs in the brain: technical lessons learned from the first ten years. Exp Neurol 2012; 235: 397–401. [DOI] [PMC free article] [PubMed] [Google Scholar]
- Linn J, Halpin A, Demaerel P et al: Prevalence of superficial siderosis in patients with cerebral amyloid angiopathy. Neurology 2010; 74: 1346–1350. [DOI] [PMC free article] [PubMed] [Google Scholar]
- Guerchet M, Mbelesso P, Ndamba-Bandzouzi B et al: Epidemiology of dementia in Central Africa (EPIDEMCA): Protocol for a multicentre population-based study in rural and urban areas of the Central African Republic and the Republic of Congo. Springerplus 2014; 3: 338. [DOI] [PMC free article] [PubMed] [Google Scholar]
- Bindewald E, Kluth T, Shapiro BA: CyloFold: secondary structure prediction including pseudoknots. Nucleic Acids Res 2010; 38: W368–W372. [DOI] [PMC free article] [PubMed] [Google Scholar]
- Kertesz M, Iovino N, Unnerstall U, Gaul U, Segal E: The role of site accessibility in microRNA target recognition. Nat Genet 2007; 39: 1278–1284. [DOI] [PubMed] [Google Scholar]
- Hebert SS, Horre K, Nicolai L et al: MicroRNA regulation of Alzheimer's Amyloid precursor protein expression. Neurobiol Dis 2009; 33: 422–428. [DOI] [PubMed] [Google Scholar]
- Dorval V, Mandemakers W, Jolivette F et al: Gene and MicroRNA transcriptome analysis of Parkinson's related LRRK2 mouse models. PloS One 2014; 9: e85510. [DOI] [PMC free article] [PubMed] [Google Scholar]
- Hebert SS, Wang WX, Zhu Q, Nelson PT: A study of small RNAs from cerebral neocortex of pathology-verified Alzheimer's disease, dementia with lewy bodies, hippocampal sclerosis, frontotemporal lobar dementia, and non-demented human controls. J Alzheimers Dis 2013; 35: 335–348. [DOI] [PMC free article] [PubMed] [Google Scholar]
- Theuns J, Brouwers N, Engelborghs S et al: Promoter mutations that increase amyloid precursor-protein expression are associated with Alzheimer disease. Am J Hum Genet 2006; 78: 936–946. [DOI] [PMC free article] [PubMed] [Google Scholar]
- Lahiri DK, Ge YW, Maloney B, Wavrant-De Vrieze F, Hardy J: Characterization of two APP gene promoter polymorphisms that appear to influence risk of late-onset Alzheimer's disease. Neurobiol Aging 2005; 26: 1329–1341. [DOI] [PubMed] [Google Scholar]
- Guyant-Marechal L, Rovelet-Lecrux A, Goumidi L et al: Variations in the APP gene promoter region and risk of Alzheimer disease. Neurology 2007; 68: 684–687. [DOI] [PubMed] [Google Scholar]
- Nowotny P, Simcock X, Bertelsen S et al: Association studies testing for risk for late-onset Alzheimer's disease with common variants in the beta-amyloid precursor protein (APP). Am J Med Genet B Neuropsychiatr Genet 2007; 144B: 469–474. [DOI] [PubMed] [Google Scholar]
- Delay C, Mandemakers W, Hebert SS: MicroRNAs in Alzheimer's disease. Neurobiol Dis 2012; 46: 285–290. [DOI] [PubMed] [Google Scholar]
- Long JM, Ray B, Lahiri DK: MicroRNA-153 physiologically inhibits expression of amyloid-beta precursor protein in cultured human fetal brain cells and is dysregulated in a subset of Alzheimer disease patients. J Biol Chem 2012; 287: 31298–31310. [DOI] [PMC free article] [PubMed] [Google Scholar]


