Full text
PDF











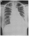
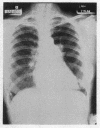
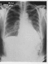
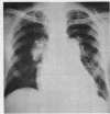
Images in this article
Selected References
These references are in PubMed. This may not be the complete list of references from this article.
- CARROLL D. Chronic obstruction of major pulmonary arteries. Am J Med. 1950 Aug;9(2):175–185. doi: 10.1016/0002-9343(50)90020-9. [DOI] [PubMed] [Google Scholar]
- DIMOND E. G., JONES T. R. Pulmonary artery thrombosis simulating pulmonic valve stenosis with patent for a men ovale. Am Heart J. 1954 Jan;47(1):105–107. doi: 10.1016/0002-8703(54)90217-3. [DOI] [PubMed] [Google Scholar]
- HANELIN J., EYLER W. R. Pulmonary artery thrombosis; roentgen manifestations. Radiology. 1951 May;56(5):689–703. doi: 10.1148/56.5.689. [DOI] [PubMed] [Google Scholar]
- KEATING D. R., BURKEY J. N., HELLERSTEIN H. K., FEIL H. Chronic massive thrombosis of pulmonary arteries; a report of seven cases with clinical and necropsy studies. Am J Roentgenol Radium Ther Nucl Med. 1953 Feb;69(2):208–220. [PubMed] [Google Scholar]









