Abstract
First-rib fractures are uncommon and are generally related to major thoracic trauma: so much so that they serve to indicate the severity of the trauma. Isolated bilateral first-rib fractures without major thoracic trauma are rarely described in the literature. The symptoms may go unnoticed and be minimized, thus making this condition difficult to diagnose. The present report presents a case of direct trauma on the supraclavicular region with symptoms of contusion of the brachial plexus, caused by a fall from a jet ski while a life vest was being used. The literature was reviewed to show the various facets of the problem and the treatment for this condition was discussed.
Keywords: Rib fractures, Thoracic injuries, Brachial plexus/injuries
INTRODUCTION
Isolated fractures of the first rib are rare events and bilateral fractures of the first rib are even rarer. These fractures are generally associated with direct trauma to the chest and upper back, and also with injuries to adjacent soft tissue, bones and vascular structures. In most cases, they are associated with major chest trauma. They may also be correlated with violent muscle contraction or repetitive trauma, thus constituting so-called stress fractures. Such fractures are clearly related to traumatic events that should be investigated, using the appropriate diagnostic methods. Among these, radiological evaluations are the commonest method and, in cases of chest trauma, chest radiography. However, sometimes, the symptoms do not correlate with any type of trauma. Nonspecific symptoms such as pain may lead to investigation of unnoticed lesions that are diagnosed as muscle strain or joint lesions because of their projection in locations like the shoulders and scapulae. Even though first-rib fractures are rare when not associated with major thoracic trauma, they should be included in the differential diagnosis for patients who present pain in the scapulae, upper chest, sternum or shoulders.
We report a case of bilateral symmetrical fracturing of the first rib consequent to a high-impact dive while a life vest was being used, caused by falling from a jet ski that was moving at high speed. In addition, we review the literature in order to raise awareness of this infrequent clinical situation, when not associated with major trauma to the chest. There are no reports of first-rib fractures in the Brazilian medical literature.
The patient was a 53-year-old man who suffered a fall from a jet ski at an estimated speed of 50 km/h. He dived into the water with his arms stretched out (hyperextension), like in a normal dive, but while wearing a life vest. While making his first swimming strokes to return to the jet ski, he felt some difficulty in extending both arms and was unable to swim normally, with bilateral loss of strength in his forearms. The right arm was more affected than the left arm, since there was still some strength in the latter. After getting back onto the jet ski with great difficulty, he could already see from a rapid evaluation that there was an indirect lesion in the brachial plexus, with numbness in the third, fourth and fifth fingers and incomplete abduction of the arms, although his hand movements were normal, and with slight pain in the region of the right shoulder. These symptoms improved after a few hours with the use of analgesic and anti-inflammatory drugs. He worked normally on the next day, without any abnormality except for slight numbness in the fourth and fifth fingers, bilaterally.
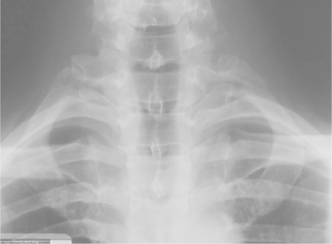
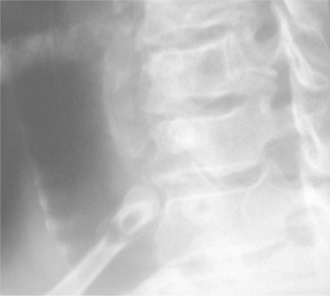
Forty-eight hours after the accident, he complained about pain in the right scapular region, which led him to undergo radiological investigation of the chest and neck, which showed bilateral fracturing of the first rib. The radiological evaluation consisted of anteroposterior (AP) and lateral radiographs of the chest, and AP and right and left lateral and anterior oblique radiographs of the cervical column. The fractures were seen on the AP radiographs (Figure 1) and shown best on the oblique projections of the neck (Figure 2). On the left side, avulsion of the transverse apophysis was associated with the fracturing of the first rib (Figures 3 and 4). Both the fractures were on the posterior part of the rib body.
Figure 1.

Radiograph in AP view showing the fractures in the posterior arch of the first ribs and the avulsion of the left transverse apophysis, shown in detail in Figure 2
Figure 2.

Radiograph of the neck in left anterior oblique projection, showing the fracture of the right first rib
Figures 3 and 4.
Detail of the fracture of the left first rib and avulsion of the transverse apophysis, compared with the fracture of the right first rib
Figure 4.

Direct bruising mechanism caused by the life vest
In the physical examination, no limitations on movement were observed. There were also no deformities, edema and/or ecchymosis in the supraclavicular region, although the patient presented slight pain upon deep palpation of the supraclavicular fossa that was noted only after the diagnosis had been confirmed radiographically, 48 hours after the event. On that day, the patient no longer had any symptoms or neurological deficit.
Since this injury is rare and little described in the literature, the method used for treating it was based on limiting the use of the muscles that are inserted into the first rib and use of ordinary analgesic for a short period. In addition, use of a cervical collar to avoid lateral and rotational movements of the neck was also prescribed. This treatment was maintained for 30 days. Physical exercises or sports involving the arms were prohibited for a three-month period. The patient's evolution was normal, without further problems and without sequelae.
DISCUSSION
First-rib fractures are extremely rare because of their deep anatomical position and great protection by the scapular belt and the lower musculature of the neck and clavicle. They are the rarest type of rib fracture, because this rib is small, wide, thick and hard, with firm insertions, posteriorly to the first thoracic vertebra and anteriorly to the sternum(111).
Thus, in most cases, fracturing of the first rib is related to fracturing of the clavicle and/or scapular, and is seen in cases of major thoracic trauma. It is also a predictor of severity when found in association with other fractures and/or thoracic injuries that are commonly seen in multiple trauma victims. It has even been designated as a marker for such trauma, which is generally indicative of enormous force applied to the upper part of the chest. These fractures should lead to suspicion of large cervicomediastinal and thoracoabdominal lesions, for which further investigation is needed in order to recognize them4, 5, 9, 10, 12.
Bilaterality of first-rib fractures is even rarer, and such occurrences are generally observed in cases of severe trauma with bruising of the chest. Cases associated with pneumothorax have been described6, 10, 11, 13, 17.
Cases of minor trauma to the upper back or chest may also result in isolated fractures of the first rib, and these generally confound the initial diagnosis.
Most cases of first-rib fracture reported among sports practitioners are stress fractures, i.e. fractures in one rib that is repeatedly subjected to exertion. There is even a preferential site for such fractures: the subclavian groove. The cases of sports-related fractures described in the literature have occurred in American football, soccer, baseball, basketball, tennis, rugby, surfing, weightlifting and rhythmic dancing8, 12, 18, 28.
Barret et al(8) described two cases of first-rib fracture in American football players. In both cases, the injury mechanism was direct bruising of the body: in one case to the posterior scapula and in the other, to the sternum. Both patients were initially diagnosed as bruised, and the diagnosis of first-rib fracture was only made some weeks later, when the persistent pain led to a radiological investigation(15).
Apart from cases associated with sports, there have been reports of fractures in cases of seatbelt bruising in milder car accidents, thereby leading to either unilateral or bilateral first-rib fractures. In relation to repetitive movements, there have been reports of first-rib fractures caused during rock-style dancing and in choreographed dancing involving lifting the partner. The diagnosis of first-rib fracture should be considered among athletes who make repetitive arm movements as part of their sport2, 4, 24, 29, 32.
Among children, there have been reports of first-rib fractures relating to being run over, abuse and motorcycle and car accidents. However, attention is drawn to a case of spontaneous fracturing caused by coughing mechanisms in a patient with pertussis, another case of spontaneous fracture with a condition of acute torticollis in an eight-year-old boy with a history of carrying a heavy schoolbag by means of a strap across his shoulder, and a further report with the same history in an 17-yearold boy. Even though the reports presented have been anecdotal, they carry a relevant message: in cases of painful symptoms in the shoulder and scapular regions, it is important to investigate the first rib9, 12, 18, 20, 32, 33. Such pain is sometimes nonspecific and even not correlated by patients with the type of trauma that generally triggers it. Pain in the sternal, scapular and thoracic regions is generally of benign nature and may arise from muscle distension or intervertebral joint dysfunction, or it may be mentioned as a problem of the cervical spine. Such pain often leads to thinking of problems of the shoulder joints or even of the cervical spine, without thinking of the first rib exactly because of rarity of this occurrence2, 12, 20, 21, 31, 33.
The direct bruising that leads to a first-rib fracture also causes direct pressure on the brachial plexus, which is anatomically located above the first rib. There may be greater or lesser injury to the plexus, and the least injury would just be bruising, which would lead to transitory signs and symptoms (paresis, paresthesia and impaired motor function), as occurred in the present report (Figure 4). In our view, these symptoms alone should lead to radiological investigation of the cervical region and adjacent areas, including chest radiography3, 4, 10, 13, 15, 34. Closed trauma with a more violent impact on the supraclavicular region may cause rupture of the brachial plexus, which should be borne in mind if the neurological symptoms persist in the arms(34).
It is important to emphasize the neurological clinical condition presented by the patient after the trauma. The possibility of pulmonary injury needs to be borne in mind, in which the clinical condition may present atelectasis, hemothorax or pneumothorax13, 16.
In treatments for first-rib fracture, the arm on the same side as the fracture should be immobilized in most cases, and activities that produce muscle contraction acting on the first rib should be avoided, in order to make it possible for the fracture to heal properly15, 20, 25.
A cervical collar and analgesics and/or muscle relaxants can also be included at the start of the treatment. Lateral neck movement is produced through the action of the anterior and middle scalene muscles, among others, and may give rise to instability of the fracture and bone consolidation difficulties. Therefore, we consider that cervical collars are important for immobilizing the neck.
Greater attention needs to be paid to the signs and symptoms that give clear evidence of heavy bruising of the brachial plexus. Pain reported in the scapula was the factor that led to the radiographic investigation in our case, thereby diagnosing the bilateral first-rib fracture two days after the event. First-rib fractures are little diagnosed and generally have a benign course, and their treatment is conservative.
Footnotes
Orthopedics and Traumatology Service and Vascular Surgery Service, Santa Casa de Misericórdia, Vitória, ES.
We declare that thers is no confilct of interests in this article
REFERENCES
- 1.Dwivedi SC, Varma AN. Bilateral fracture of the first ribs. J Trauma. 1983;23(6):538. doi: 10.1097/00005373-198306000-00017. [DOI] [PubMed] [Google Scholar]
- 2.Nguyen HT, Carmichael JP, Bainbridge JS, Kozak C. First rib fracture of unknown etiology: a case report. J Manipulative Physiol Ther. 2006;29(7):590–594. doi: 10.1016/j.jmpt.2006.06.027. [DOI] [PubMed] [Google Scholar]
- 3.Ochi M, Sasashige Y, Murakami T, Ikuta Y. Brachial plexus palsy secondary to stress fracture of the first rib: case report. J Trauma. 1994;36(1):128–130. doi: 10.1097/00005373-199401000-00024. [DOI] [PubMed] [Google Scholar]
- 4.Qureshi T, Mander BJ, Wishart GC. Isolated bilateral first rib fractures—na unusual sequel of whiplash injury. Injury. 1998;29(5):397–398. doi: 10.1016/s0020-1383(98)00067-9. [DOI] [PubMed] [Google Scholar]
- 5.Fermanis GG, Deane SA, Fitzgerald PM. The significance of first and second rib fractures. Aust N Z J Surg. 1985;55(4):383–386. doi: 10.1111/j.1445-2197.1985.tb00905.x. [DOI] [PubMed] [Google Scholar]
- 6.Castellano E, Fontana G. [Symmetrical bilateral fracture of the 1st rib] Minerva Med. 1970;61(16):747–752. [PubMed] [Google Scholar]
- 7.Nand S. Bilateral fracture of first rib. Practitioner. 1967;198(188):816. [PubMed] [Google Scholar]
- 8.Barrett GR, Shelton WR, Miles JW. First rib fractures in football players. A case report and literature review. Am J Sports Med. 1988;16(6):674–676. doi: 10.1177/036354658801600622. [DOI] [PubMed] [Google Scholar]
- 9.Harris GJ, Soper RT. Pediatric first rib fractures. J Trauma. 1990;30(3):343–345. doi: 10.1097/00005373-199003000-00016. [DOI] [PubMed] [Google Scholar]
- 10.McAdam JG, Templeton JL, Nixon JR. Isolated fractures of the first ribs – An indication of major cervicomediastinal injury. Injury. 1986;17(4):226–227. doi: 10.1016/0020-1383(86)90224-x. [DOI] [PubMed] [Google Scholar]
- 11.Gupta A, Jamshidi M, Rubin JR. Traumatic first rib fracture: is angiography necessary? A review of 730 cases. Cardiovasc Surg. 1997;5(1):48–53. doi: 10.1016/s0967-2109(97)00060-4. [DOI] [PubMed] [Google Scholar]
- 12.Matsumoto T, Fujita K, Fujioka H, Tsunoda M, Yoshiya S, Kurosaka M. Stress fracture of the first rib in a soccer player: a rare etiology of shoulder pain. J Shoulder Elbow Surg. 2003;12(2):197–199. doi: 10.1067/mse.2003.22a. [DOI] [PubMed] [Google Scholar]
- 13.Jones D. Bilateral fracture of the first rib with bilateral pneumothorax. Injury. 1974;5(3):255–256. doi: 10.1016/s0020-1383(74)80018-5. [DOI] [PubMed] [Google Scholar]
- 14.Albers JE, Rath RK, Glaser RS, Poddar PK. Severity of intrathoracic injuries associated with first rib fractures. Ann Thorac Surg. 1982;33(6):614–618. doi: 10.1016/s0003-4975(10)60822-3. [DOI] [PubMed] [Google Scholar]
- 15.Davis S, Affatato A. Blunt chest trauma: utility of radiological evaluation and effect on treatment patterns. Am J Emerg Med. 2006;24(4):482–486. doi: 10.1016/j.ajem.2006.03.022. [DOI] [PubMed] [Google Scholar]
- 16.Lu MS, Huang YK, Liu YH, Liu HP, Kao CL. Delayed pneumothorax complicating minor rib fracture after chest trauma. Am J Emerg Med. 2008;26(5):551–554. doi: 10.1016/j.ajem.2007.08.022. [DOI] [PubMed] [Google Scholar]
- 17.Ozel SK, Kazez A. Horner syndrome due to first rib fracture after major thoracic trauma. J Pediatr Surg. 2005;40(10):e17–e19. doi: 10.1016/j.jpedsurg.2005.06.020. [DOI] [PubMed] [Google Scholar]
- 18.Liew SM, Cunningham R. An unusual cause of stress fracture of the first rib. Aust N Z J Surg. 1996;66(1):55–57. doi: 10.1111/j.1445-2197.1996.tb00707.x. [DOI] [PubMed] [Google Scholar]
- 19.Attia MW, Russell J. Isolated first rib fracture in a high school lacrosse player. Pediatr Emerg Care. 2000;16(1):31–32. doi: 10.1097/00006565-200002000-00010. [DOI] [PubMed] [Google Scholar]
- 20.Moore RS. Fracture of the first rib: an uncommon throwing injury. Injury. 1991;22(2):149–150. doi: 10.1016/0020-1383(91)90079-t. [DOI] [PubMed] [Google Scholar]
- 21.Sakellaridis T, Stamatelopoulos A, Andrianopoulos E, Kormas P. Isolated first rib fracture in athletes. Br J Sports Med. 2004;38(3):e5. doi: 10.1136/bjsm.2003.009225. [DOI] [PMC free article] [PubMed] [Google Scholar]
- 22.Bailey P. Surfer's rib: isolated first rib fracture secondary to indirect trauma. Ann Emerg Med. 1985;14(4):346–349. doi: 10.1016/s0196-0644(85)80102-5. [DOI] [PubMed] [Google Scholar]
- 23.Eng J, Westcott J, Better N. Stress fracture of the first rib in a weightlifter. Clin Nucl Med. 2008;33(5):371–373. doi: 10.1097/RLU.0b013e31816a78c8. [DOI] [PubMed] [Google Scholar]
- 24.Mamanee P, Weinberg J, Curl LA, McFarland EG. Bilateral first rib and unilateral second rib stress fractures in a female athlete. Clin J Sport Med. 1999;9(3):177–183. doi: 10.1097/00042752-199907000-00011. [DOI] [PubMed] [Google Scholar]
- 25.Connolly LP, Connolly SA. Rib stress fractures. Clin Nucl Med. 2004;29(10):614–616. doi: 10.1097/00003072-200410000-00002. [DOI] [PubMed] [Google Scholar]
- 26.Mintz AC, Albano A, Reisdorff EJ, Choe KA, Lillegard W. Stress fracture of the first rib from serratus anterior tension: an unusual mechanism of injury. Ann Emerg Med. 1990;19(4):411–414. doi: 10.1016/s0196-0644(05)82349-2. [DOI] [PubMed] [Google Scholar]
- 27.Prisk VR, Hamilton WG. Stress fracture of the first rib in weight-trained dancers. Am J Sports Med. 2008;36(12):2444–2447. doi: 10.1177/0363546508326710. [DOI] [PubMed] [Google Scholar]
- 28.Gurtler R, Pavlov H, Torg JS. Stress fracture of the ipsilateral first rib in a pitcher. Am J Sports Med. 1985;13(4):277–279. doi: 10.1177/036354658501300412. [DOI] [PubMed] [Google Scholar]
- 29.Chan MC, Fenton P, Conlan AA. Unusual site of spontaneous first-rib fracture:case report. Can J Surg. 1994;37(5):425–427. [PubMed] [Google Scholar]
- 30.Wiley JJ. Jive fracture of the first rib. Can J Surg. 1995;38(1):99. [PubMed] [Google Scholar]
- 31.Sacchetti AD, Beswick DR, Morse SD. Rebound rib: stress-induced first rib fracture. Ann Emerg Med. 1983;12(3):177–179. doi: 10.1016/s0196-0644(83)80564-2. [DOI] [PubMed] [Google Scholar]
- 32.Vikramaditya, Pritty P. Two cases of isolated first rib fracture. Emerg Med J. 2001;18(6):498–499. doi: 10.1136/emj.18.6.498. [DOI] [PMC free article] [PubMed] [Google Scholar]
- 33.Papadimitriou NG, Christophoridis J, Papadimitriou A, Beslikas TA. Acute torticollis after isolated stress fracture of the first rib in a child. A case report. J Bone Joint Surg Am. 2005;87(11):2537–2540. doi: 10.2106/JBJS.D.02692. [DOI] [PubMed] [Google Scholar]
- 34.Coene LN. Mechanisms of brachial plexus lesions. Clin Neurol Neurosurg. 1993;95(Suppl):S24–S29. doi: 10.1016/0303-8467(93)90030-k. [DOI] [PubMed] [Google Scholar]

