Abstract
White-cell concentrates were made by a dextran sedimentation technique from the blood of 140 cases of malignant disease and 60 controls. The slides were searched for tumour cells and for other unusual cells with which they might be confused. Several million white cells were scanned in the slides from each case.
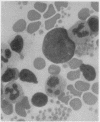
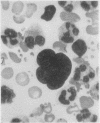
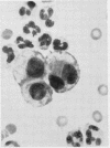
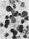
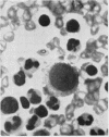
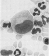
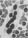
Acceptable tumour cells were identified in the blood of seven patients, none of whom survived for more than a few months. These cells are illustrated, as well as various other cell types which may have been confused with malignant cells in the past. It is concluded that the cytology of white cell concentrates should be further explored before statistics about the occurrence of circulating tumour cells are accepted.
Full text
PDF










Images in this article
Selected References
These references are in PubMed. This may not be the complete list of references from this article.
- CHRISTENSON W. N., ULTMANN J. E., MOHOS S. C. Disseminated neuroblastoma in an adult presenting the picture of thrombocytopenic purpura. Blood. 1956 Mar;11(3):273–278. [PubMed] [Google Scholar]
- DOUGLAS G. W., THOMAS L., CARR M., CULLEN N. M., MORRIS R. Trophoblast in the circulating blood during pregnancy. Am J Obstet Gynecol. 1959 Nov;78:960–973. doi: 10.1016/s0002-9378(16)36649-2. [DOI] [PubMed] [Google Scholar]
- FISHER E. R., TURNBULL R. B., Jr The cytologic demonstration and significance of tumor cells in the mesenteric venous blood in patients with colorectal carcinoma. Surg Gynecol Obstet. 1955 Jan;100(1):102–108. [PubMed] [Google Scholar]
- FLETCHER W. S., STEWART J. W. Tumour cells in the blood with special reference to pre- and post-hepatic blood. Br J Cancer. 1959 Mar;13(1):33–37. doi: 10.1038/bjc.1959.5. [DOI] [PMC free article] [PubMed] [Google Scholar]
- MOORE G. E., SANDBERG A., SCHUBARG J. R. Clinical and experimental observations of the occurrence and fate of tumor cells in the blood stream. Ann Surg. 1957 Oct;146(4):580–587. doi: 10.1097/00000658-195710000-00005. [DOI] [PMC free article] [PubMed] [Google Scholar]
- NOWELL P. C. Phytohemagglutinin: an initiator of mitosis in cultures of normal human leukocytes. Cancer Res. 1960 May;20:462–466. [PubMed] [Google Scholar]
- PRUITT J. C., HILBERG A. W., KAISER R. F. Malignant cells in peripheral blood. N Engl J Med. 1958 Dec 11;259(24):1161–1164. doi: 10.1056/NEJM195812112592404. [DOI] [PubMed] [Google Scholar]
- REISS R. Demonstration of carcinoma cells in the blood stream. J Mt Sinai Hosp N Y. 1959 Mar-Apr;26(2):171–176. [PubMed] [Google Scholar]
- ROBERTS S., WATNE A., McGRATH R., McGREW E., COLE W. H. Technique and results of isolation of cancer cells from the circulating blood. AMA Arch Surg. 1958 Mar;76(3):334–346. doi: 10.1001/archsurg.1958.01280210004002. [DOI] [PubMed] [Google Scholar]
- SANDBERG A. A., MOORE G. E., SCHUBARG J. R. Atypical cells in the blood of cancer patients; differentiation from tumor cells. J Natl Cancer Inst. 1959 Mar;22(3):555–565. [PubMed] [Google Scholar]
- SPRIGGS A. I. Malignant cells in serous effusions complicating bronchial carcinoma. Thorax. 1954 Mar;9(1):26–34. doi: 10.1136/thx.9.1.26. [DOI] [PMC free article] [PubMed] [Google Scholar]

























