Abstract
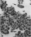
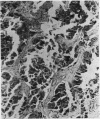
A clinical and pathological description is given of a case of panhypopituitarism caused by a melanoma of the pituitary gland. The possible origins of a melanoma in this site are discussed.
Full text
PDF





Images in this article
Selected References
These references are in PubMed. This may not be the complete list of references from this article.
- BOUTON J. Primary melanoma of the leptomeninges. J Clin Pathol. 1958 Mar;11(2):122–127. doi: 10.1136/jcp.11.2.122. [DOI] [PMC free article] [PubMed] [Google Scholar]








