Abstract
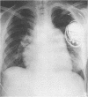
Mechanical causes of pacemaker failure are well recognised. Twiddler's syndrome leading to pacemaker failure has been previously recognised in adults, but there have been no published reports of its occurring in children. Two cases leading to failure of the pacing system are reported. In the first twiddling led to fracture of the lead and in the second it led to displacement of the lead from the heart. Children may be more susceptible to twiddler's syndrome because they have thinner subcutaneous tissues, making leads more accessible, and their comprehension of the consequences may be poor.
Full text
PDF


Images in this article
Selected References
These references are in PubMed. This may not be the complete list of references from this article.
- Anderson M. H., Nathan A. W. Ventricular pacing from the atrial channel of a DDD pacemaker: a consequence of pacemaker twiddling? Pacing Clin Electrophysiol. 1990 Dec;13(12 Pt 1):1567–1570. doi: 10.1111/j.1540-8159.1990.tb06854.x. [DOI] [PubMed] [Google Scholar]
- Bayliss C. E., Beanlands D. S., Baird R. J. The pacemaker-twiddler's syndrome: a new complication of implantable transvenous pacemakers. Can Med Assoc J. 1968 Aug 24;99(8):371–373. [PMC free article] [PubMed] [Google Scholar]
- Ector H., Dhooghe G., Daenen W., Stalpaert G., van der Hauwaert L., de Geest H. Pacing in children. Br Heart J. 1985 May;53(5):541–546. doi: 10.1136/hrt.53.5.541. [DOI] [PMC free article] [PubMed] [Google Scholar]
- Gillette P. C., Edgerton J., Kratz J., Zeigler V. The subpectoral pocket: the preferred implant site for pediatric pacemakers. Pacing Clin Electrophysiol. 1991 Jul;14(7):1089–1092. doi: 10.1111/j.1540-8159.1991.tb02838.x. [DOI] [PubMed] [Google Scholar]
- Lal R. B., Avery R. D. Aggressive pacemaker twiddler's syndrome. Dislodgement of an active fixation ventricular pacing electrode. Chest. 1990 Mar;97(3):756–757. doi: 10.1378/chest.97.3.756. [DOI] [PubMed] [Google Scholar]
- Till J. A., Jones S., Rowland E., Shinebourne E. A., Ward D. E. Endocardial pacing in infants and children 15 kg or less in weight: medium-term follow-up. Pacing Clin Electrophysiol. 1990 Nov;13(11 Pt 1):1385–1392. doi: 10.1111/j.1540-8159.1990.tb04013.x. [DOI] [PubMed] [Google Scholar]


