Abstract
Background:
Interhemispheric arachnoid cysts (IHACs) are a rare type of congenital arachnoid cyst accounting for <5% of all cases. The optimum surgical management of symptomatic IHAC is still controversial, and there are no clear guidelines.
Materials and Methods:
Retrospective analysis of six pediatric patients of IHAC operated from 2012 to 2015 at our institute. There was definitive sex predisposition with all patients being males. Endoscopic cystoventriculostomy, cystocisternostomy, and cystoperitoneal shunt surgeries were performed in three patients each.
Results:
The median age at presentation was 13 months. The most common clinical presentations were macrocrania with rapidly increasing head size, seizures, infantile spasms, and developmental delay. The mean duration of follow-up was 24.16 months (range: 3–36 months). Cyst size decreased in all the patients on follow-up imaging. Head size stabilized in all the patients. None of the patients required a second surgical procedure till the last follow-up.
Conclusions:
Both endoscopic cyst fenestration and shunt surgery are safe and effective in management of IHAC.
Keywords: Arachnoid cyst, cystocisternostomy, cystocisternostomy, cystoperitoneal shunt, endoscopy, interhemispheric arachnoid cyst
Introduction
Interhemispheric arachnoid cysts (IHACs) are rare congenital lesions containing cerebrospinal fluid (CSF) surrounded by arachnoid membranes located in the interhemispheric fissure. Overall arachnoid cysts (AC) comprise about 1% of all intracranial lesions.[1,2,3] The most common location of supratentorial AC is the middle cranial fossa and IHACs are extremely rare accounting for 5% of all cases.[4,5] Majority of IHAC are asymptomatic and detected incidentally; however, symptoms can be produced by large lesions due to mass effect on surrounding brain parenchyma. IHAC usually occur in the midline and close to lateral ventricle and cisterns. The symptom profile depends on the location of these cysts. Most of these cysts present with macrocephaly, developmental delay, and seizures.[6,7,8,9] Asymptomatic IHAC can be followed, but symptomatic IHAC require surgical management.[10,11] Optimal surgical management of these cystic lesions is controversial and a matter of debate. Surgical options consist of craniotomy with microsurgical cyst fenestration, neuroendoscopic fenestration, or placement of a shunt.[2,7,8,12,13] Cyst fenestration means opening the cyst either into a ventricle (cystoventriculostomy [CV]) or cistern (cystocisternostomy [CC]) or both.[1,9,13] In literature, there exist only a few small isolated care reports and small case series on IHAC and till date, there are no clear management guidelines. We report our surgical experience in the management pediatric patients of IHAC admitted and operated at our center.
Materials and Methods
A retrospective analysis of all pediatric patients admitted and operated for IHAC at our center was made from July 2012 to July 2015. Only symptomatic patients were included in the study. Medical record, admission, operative notes, and neuroimaging were analyzed. Preoperative and at least one postoperative neuroimaging were compared for any change in cyst size. Six pediatric patients with IHAC were operated during the study period. The choice of surgical approach and technique was the decision of the treating faculty. All patients were followed up clinically and radiologically at regular intervals.
Neuroimaging
All cases underwent either noncontrast computerized tomography or magnetic resonance imaging (MRI) before or after the procedure. Comparison of cyst size was made before and after surgical procedure.
IHAC has been historically classified using Barkovich classification system.[14] Type 1 cysts are those in which there is a ventricular communication, whereas Type 2 cysts are those in which there is no communication. Type 2 IHAC associated with corpus callosum agenesis is further grouped as 2a if there is no abnormality other than agenesis of corpus callosum. IHAC associated with Aicardi syndrome and subcortical heterotopia are grouped as Type 2b, 2c, respectively. All the cases in our cohort were Barkovich Type 2a.[14] Mori further classified these cysts as either intra- or extra-axial depending on their location associated ventricular communication and corpus callosum agenesis.[15] Extra-axial cysts were further classified and subdivided as unilateral, bilateral, and parasagittal. All the cysts in the current series were extra-axial type according to Mori classification. The distinction between extra-axial and intra-axial can be easily made on MRI. The presence or absence of ventricular communication is important for planning surgical treatment. Intra-axial cysts communicate with the ventricles and are associated with holoprosencephaly, diencephalic, porencephalic cysts, and other complex brain malformations.[16,17]
Surgical techniques
Endoscopic fenestration
All surgeries were performed in general anesthesia using standard surgical principals. Preoperative sagittal MRI provides valuable clues about planning surgical trajectory. A single burr hole was made either on the frontal or parietal bone depending on the site of IHAC on preoperative MRI. A 0° neuroendoscope was inserted on the basis of trajectory planned by preoperative sagittal MRI. Surgical precision is increased with the use of intraoperative neuronavigation. Septations if present are broken with the help of endoscope. A CV or a CC was usually performed. The choice of the surgical procedure depends on the location of the cyst and its proximity with the ventricles and the basal cisterns. The lamina quadrigemina, interhemispheric, and prepontine cisterns can be easily be fenestrated because of their proximity to the cyst. Stoma is usually created at point where the cyst is thinnest to avoid brain damage. In one patient, in addition to CV, the endoscope could easily be navigated and a third ventriculostomy was also performed. Two or three fenestrations were usually made. All fenestrations were made using monopolar cautery. Stoma was enlarged by to-and-fro movement of the endoscope and the use of French number 3 Fogarty balloon catheter. Meticulous hemostasis was always achieved with the help of monopolar cautery. Vessels in the basal cistern and the choroid plexus are important landmarks in the case of distorted surgical anatomy. The surgical view was kept clear using continuous ringer lactate irrigation. The free movement of the stoma was seen intraoperatively. The burr hole was filled with bone dust, and incision was closed cosmetically in layers. All surgeries were performed using standard surgical techniques.
Cystoperitoneal shunt
A low pressure either frontal of occipital cystoperitoneal shunt (CPS) was placed depending on the location of IHAC. The simplicity of surgical procedure and early reduction in cyst size make it a popular choice. Shunt surgery is safe, minimally invasive, and avoids morbidity of open cranial surgery particularly in infants. The major concern is the risk of shunt block, malfunction, and placement of external hardware. No patient in the current series underwent a ventriculoperitoneal shunt.
Demographic and clinical profile
Six pediatric patients were operated for IHAC during the study period. There was definite male predominance as all the patients were males. The median age at presentation was 13 months (range: 9 months to 6 years). The mean duration of symptoms before surgical intervention was 12.66 months (range: 5–24 months). Even large IHAC may have subtle signs and symptoms. The most common presentation at admission was macrocrania with rapidly increasing head size as noticed in all the patients. Developmental delay was further a presenting complaint in three patients (50%). Seizure was the first presenting complaint in two patients (33.3%). One patient was admitted in emergency setting due to excessive vomiting and rapidly increasing head size. One patient presented with multiple episodes of infantile spasm. Agenesis of corpus callosum either partial or complete was seen radiologically in all the patients. The mean duration of follow-up was 24.16 months (range: 3–36 months) [Tables 1 and 2].
Table 1.
Clinical presentation at admission

Table 2.
Demographic and clinical data

Surgical result
Both endoscopic cyst fenestration and CPSs were performed in equal number of patients. A total of three endoscopic fenestrations were performed in three patients. In one patient, cyst was directly opened in the basal cisterns. In other two, a CV was performed. An endoscopic third ventriculostomy was also performed along with CV in one patient.
Head size stabilized in all the patients after surgical intervention. Cyst size decreased in all the patients and collapsed completely in one patient on follow-up imaging. Only one surgical procedure was performed in each patient [Figures 1–3].
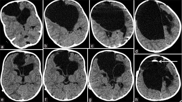
Figure 1.
Preoperative axial computed tomography scan (a-d) of a 9-month-old child with a large frontal interhemispheric arachnoid cyst (Barkovich Type 2a) with agenesis of corpus callosum. He underwent right frontal medium pressure cystoperitoneal shunt. Postoperative day 1, axial computed tomography scan (e-h) a significant resolution of cyst volume and hydrocephalus (arrow indicates the catheter inside the cyst)
Figure 3.
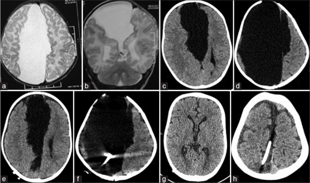
Preoperative images of a 14-month-old child demonstrating T2-weighted axial magnetic resonance imaging (a), T2-weighted coronal magnetic resonance imaging (b) and axial computed tomography (c and d) views of a large frontoparietal Barkovich Type 2a interhemispheric arachnoid cyst with agenesis of corpus callosum. He underwent right low pressure cystoperitoneal shunt. Postoperative day 1, axial computed tomography (e and f) showing catheter inside the cyst. Postoperative axial computed tomography at 18 months follow-up showing marked resolution of cyst volume and hydrocephalus
Figure 2.
Preoperative magnetic resonance imaging images (a-f) of a 6-year-old child demonstrating T1-weighted axial (a and b) T2-weighted axial (c) T2-weighted sagittal (d) T2-weighted coronal (e and f) views of a large Barkovich Type 2a interhemispheric arachnoid cyst with agenesis of corpus callosum. He underwent endoscopic cystoventriculostomy with endoscopic third ventriculostomy. Postoperative axial computed tomography scan (g and h) revealed significantly decreased cyst volume. The patient had a right subdural collection on postoperative scan which was managed conservatively and he did not require subduroperitoneal shunt
Complications
There was no mortality or major morbidity in the study cohort. One patient developed meningitis in the postoperative period and required culture sensitivity-based intravenous antibiotics. One patient developed subdural hygroma after surgery detected on follow-up imaging, but it did not warrant any surgical intervention. No patient had wound infection, CSF leak, or symptomatic hydrocephalos. No patient required a second surgical procedure in either endoscopy or shunt group till last follow-up [Table 3].
Table 3.
Comparative surgical results

Discussion
ACs are rare congenital lesions which account for about 1% of all intracranial lesions in the pediatric population, and IHAC is the rarest type of AC.[1,4,10,11] The exact incidence is not known due to rarity and absence of longitudinal population studies. According to Rengachary and Watanabe, IHAC account for 5% of all ACs.[4] The clinical and demographic profile in the current series is similar to previous reports in literature.[3,5,6,7,18] Definite male predominance was noticed in the current series with all patients being male. In the current series, no patient was diagnosed in the prenatal period because ultrasound scans were not performed in any of the patients. Patients were diagnosed only when they presented with symptoms and radiological scans were done.
In literature, optimum surgical management of symptomatic and large asymptomatic IHAC diagnosed incidentally is controversial. There appears to be consensus that large cysts with mass effect, macrocephaly, and intractable seizures are an indication for surgical intervention. Asymptomatic patients require long-term radiological and clinical follow-up.[6,7,8,18] Detailed neuropsychological evaluation could not be performed due to the young age of patients at presentation.
The two developmental malformations that need to be differentiated form IHAC are alobar holoprosencephaly and porencephalic cysts.[4,15,17] Alobar holoprosencephaly develops as a result of midline fusion of cerebral parenchyma with lateral ventricles leading to mono ventricle. Porencephalic cysts are intra-axial and communicate freely with the ventricle and lack ass effect. Cortical malformations, gyral abnormalities, and carpus callosum agenesis are frequently associated with IHAC. It has been hypothesized that IHAC interferes with the development of corpus callosum due to mechanical pressure.[14,15,16,17] Griebel et al. studied the association of cortical malformations with IHAC.[16] In our cohort also all the cases had either complete or partial agenesis of corpus callosum. The association of hydrocephalous is well-known with both AC and IHAC; however, no patient in the current cohort had hydrocephalous and no ventriculoperitoneal shunts were placed.
IHAC causes distortion of CSF pathways and produce symptoms when the cyst enlarges and cause mass effect on adjacent brain parenchyma.
The choice of the surgical intervention and the surgical corridor depends on the location of IHAC and its relation with the ventricles and the adjacent cisterns. Three surgical modalities using craniotomy, endoscope, and shunt have been described. Some authors even proposed complete excision of the cyst membrane however due to the proximity of the neurovascular structures it is rarely performed. Caldarelli and Di Rocco performed open craniotomy and microsurgery in 16 patients of IHAC with good results and no mortality.[6] They recommended cyst membrane excision with fenestration of cyst into ventricle or subarachnoid space. Three patients in there series underwent a ventriculoperitoneal shunt first however all of them required a second procedure in the form of craniotomy and cyst membrane excision with marsupialization into ventricle or a CPS.
With the technical advancement in the field of neuroendoscopy, craniotomy-based approaches are largely being replaced by minimally invasive endoscopic surgery. Craniotomy was not performed in any of the case in the present series. Fenestration surgeries in the form of CC or CV are popular as they avoid the need for placement of external hardware in form of shunts.[11,18,19,20,21] Shunt dependence and shunt-related complications are thus avoided. In literature, success rate of endoscopic surgery ranges from 71% to 81%.[9,13,18,22] In one of the earliest published series on neuroendoscopic management of IHAC, Cinalli et al. obtained good success in all seven patients however two patients still required a second shunting procedure.[13] Similar results were obtained by Giannetti et al. who performed endoscopic fenestration in five patients with success but one patient still required a subduroperitoneal shunt.[9] The distortion of surgical anatomy also makes endoscopic surgery technically challenging and hazardous so many neurosurgeons prefer simpler shunt procedures. Lena et al. and Mori proposed the use of shunts as optimum management of AC. In their series of 16 patients, nine did not require shunt revision at last follow-up.[8]
Ulu et al. described a good clinical and radiological outcome with cystoperitoneal shunting in all seven patients of IHAC. However, two patients in there series required peritoneal catheter revisions due to shortening during follow-up.[7]
The surgical results of the current series are comparable to other published series on IHAC.[6,13,18,22,20,23] The cyst size decreased in all the patients on follow-up neuroimaging. In the current series, no major shunt or endoscopic surgery-related complications were seen in any of the patients till the last follow-up. Authors are of the opinion that there always remains risk of shunt block and malfunction requiring revision surgery at a later stage.
Published literature for AC does not suggest any difference in quality of life after microsurgical, endoscopic, or shunt surgery. Till date, there has been no randomized trial for IHAC comparing the different surgical modalities. Authors are of the opinion that randomized control studies with larger number of patients and longer follow-up are needed to establish definitive surgical management protocols.
Conclusions
Authors feel that both endoscopic fenestration and cystoperitoneal shunting are safe and effective in management of symptomatic IHAC. The surgical mortality and morbidity are rare in experienced hands. Surgical treatment should be offered early to all symptomatic patients.
Financial support and sponsorship
Nil.
Conflicts of interest
There are no conflicts of interest.
References
- 1.Pradilla G, Jallo G. Arachnoid cysts: Case series and review of the literature. Neurosurg Focus. 2007;22:E7. doi: 10.3171/foc.2007.22.2.7. [DOI] [PubMed] [Google Scholar]
- 2.Cincu R, Agrawal A, Eiras J. Intracranial arachnoid cysts: Current concepts and treatment alternatives. Clin Neurol Neurosurg. 2007;109:837–43. doi: 10.1016/j.clineuro.2007.07.013. [DOI] [PubMed] [Google Scholar]
- 3.Duz B, Kaya S, Daneyemez M, Gonul E. Surgical management strategies of intracranial arachnoid cysts: A single institution experience of 75 cases. Turk Neurosurg. 2012;22:591–8. doi: 10.5137/1019-5149.JTN.5616-11.0. [DOI] [PubMed] [Google Scholar]
- 4.Rengachary SS, Watanabe I. Ultrastructure and pathogenesis of intracranial arachnoid cysts. J Neuropathol Exp Neurol. 1981;40:61–83. [PubMed] [Google Scholar]
- 5.Spennato P, Ruggiero C, Aliberti F, Buonocore MC, Trischitta V, Cinalli G. Interhemispheric and quadrigeminal cysts. World Neurosurg. 2013;79(2 Suppl):S20.e1–7. doi: 10.1016/j.wneu.2012.02.010. [DOI] [PubMed] [Google Scholar]
- 6.Caldarelli M, Di Rocco C. Surgical options in the treatment of interhemispheric arachnoid cysts. Surg Neurol. 1996;46:212–21. doi: 10.1016/0090-3019(96)00155-3. [DOI] [PubMed] [Google Scholar]
- 7.Ulu MO, Kafadar AM, Dashti R, Isler C, Uludag S, Erdinçler P. Treatment of symptomatic interhemispheric arachnoid cysts by cystoperitoneal shunting. J Clin Neurosci. 2010;17:700–5. doi: 10.1016/j.jocn.2009.09.029. [DOI] [PubMed] [Google Scholar]
- 8.Lena G, van Calenberg F, Genitori L, Choux M. Supratentorial interhemispheric cysts associated with callosal agenesis: Surgical treatment and outcome in 16 children. Childs Nerv Syst. 1995;11:568–73. doi: 10.1007/BF00300994. [DOI] [PubMed] [Google Scholar]
- 9.Giannetti AV, Fraga SM, Silva MC, Gurgel-Giannetti J. Endoscopic treatment of interhemispheric arachnoid cysts. Pediatr Neurosurg. 2012;48:157–62. doi: 10.1159/000346263. [DOI] [PubMed] [Google Scholar]
- 10.Shim KW, Lee YH, Park EK, Park YS, Choi JU, Kim DS. Treatment option for arachnoid cysts. Childs Nerv Syst. 2009;25:1459–66. doi: 10.1007/s00381-009-0930-7. [DOI] [PubMed] [Google Scholar]
- 11.Khan IS, Sonig A, Thakur JD, Nanda A. Surgical management of intracranial arachnoid cysts: Clinical and radiological outcome. Turk Neurosurg. 2013;23:138–43. doi: 10.5137/1019-5149.JTN.5592-11.1. [DOI] [PubMed] [Google Scholar]
- 12.Raffel C, McComb JG. To shunt or to fenestrate: Which is the best surgical treatment for arachnoid cysts in pediatric patients? Neurosurgery. 1988;23:338–42. doi: 10.1227/00006123-198809000-00009. [DOI] [PubMed] [Google Scholar]
- 13.Cinalli G, Peretta P, Spennato P, Savarese L, Varone A, Vedova P, et al. Neuroendoscopic management of interhemispheric cysts in children. J Neurosurg. 2006;105(3 Suppl):194–202. doi: 10.3171/ped.2006.105.3.194. [DOI] [PubMed] [Google Scholar]
- 14.Barkovich AJ. Apparent atypical callosal dysgenesis: Analysis of MR findings in six cases and their relationship to holoprosencephaly. AJNR Am J Neuroradiol. 1990;11:333–9. [PMC free article] [PubMed] [Google Scholar]
- 15.Mori K. Giant interhemispheric cysts associated with agenesis of the corpus callosum. J Neurosurg. 1992;76:224–30. doi: 10.3171/jns.1992.76.2.0224. [DOI] [PubMed] [Google Scholar]
- 16.Griebel ML, Williams JP, Russell SS, Spence GT, Glasier CM. Clinical and developmental findings in children with giant interhemispheric cysts and dysgenesis of the corpus callosum. Pediatr Neurol. 1995;13:119–24. doi: 10.1016/0887-8994(95)00144-5. [DOI] [PubMed] [Google Scholar]
- 17.Doffe L, Adamsbaum C, Rolland Y, Robain O, Ponsot G, Kalifa G. Corpus callosum agenesis and parasagittal interhemispheric cyst. J Radiol. 1996;77:427–30. [PubMed] [Google Scholar]
- 18.Talamonti G, D’Aliberti G, Picano M, Debernardi A, Collice M. Intracranial cysts containing cerebrospinal fluid-like fluid: Results of endoscopic neurosurgery in a series of 64 consecutive cases. Neurosurgery. 2011;68:788–803. doi: 10.1227/NEU.0b013e318207ac91. [DOI] [PubMed] [Google Scholar]
- 19.Gangemi M, Colella G, Magro F, Maiuri F. Suprasellar arachnoid cysts: Endoscopy versus microsurgical cyst excision and shunting. Br J Neurosurg. 2007;21:276–80. doi: 10.1080/02688690701339197. [DOI] [PubMed] [Google Scholar]
- 20.Alexiou GA, Varela M, Sfakianos G, Prodromou N. Shunting for the treatment of arachnoid cysts in children. Neurosurgery. 2010;67:1632–6. doi: 10.1227/NEU.0b013e3181f94476. [DOI] [PubMed] [Google Scholar]
- 21.McBride LA, Winston KR, Freeman JE. Cystoventricular shunting of intracranial arachnoid cysts. Pediatr Neurosurg. 2003;39:323–9. doi: 10.1159/000075261. [DOI] [PubMed] [Google Scholar]
- 22.Idris Z, Nandrajog P, Abdullah JM, Ghani RI, Idris B. Neuronavigation-guided endoscopic and hodotopic approach to an arachnoid cyst. Surg Neurol Int. 2013;4:120. doi: 10.4103/2152-7806.118492. [DOI] [PMC free article] [PubMed] [Google Scholar]
- 23.Ciricillo SF, Cogen PH, Harsh GR, Edwards MS. Intracranial arachnoid cysts in children. A comparison of the effects of fenestration and shunting. J Neurosurg. 1991;74:230–5. doi: 10.3171/jns.1991.74.2.0230. [DOI] [PubMed] [Google Scholar]



