Abstract
Introduction
Canine distraction was introduced as an alternative treatment to retract the canines in minimum possible period of 3 weeks. It involved rapid canine retraction through distraction of the periodontal ligament. Another technique for rapid canine distalization involved osteotomies surrounding the canines to achieve rapid movement of the canines in the dentoalveolar segment known as dentoalveolar distraction. The present study is intended to assess and evaluate canine retraction by the above two mentioned methods of distraction osteogenesis.
Materials and Methods
Eight orthodontic patients who required first premolar extractions were selected and 16 canines were distracted into the extraction space, using a distraction screw.
Results
The distraction procedure was completed in 15.38 ± 1.51 days on the side of periodontal ligament distraction while it took 14.50 ± 2.45 days on the side of dentoalveolar distraction. No significant anchorage loss was seen in both the sides. The distal displacement of the canines was 6.63 ± 0.90 mm on the periodontal distraction side at the rate of 0.43 ± 0.05 mm/day and 6.91 ± 1.16 mm on the side of dentoalveolar distraction at the rate of 0.48 ± 0.08 mm/day. An angulation change of 14.94° ± 7.58° was observed in canine inclination in periodontal distraction side while change of 14.88° ± 3.15° was seen in the dentoalveolar distraction side.
Conclusion
No significant differences in the various parameters were found between both the techniques of canine retraction by distraction osteogenesis, while reducing orthodontic treatment duration by 6–9 months without any unfavorable short-term effects on the periodontium.
Keywords: Pulp vitality, Premolar, Rapid tooth movement, Distractor
Introduction
Distraction osteogenesis is a method of inducing new bone formation by applying mechanical strains on the bone. The formation of new bone is achieved through stretching of the callus in the osteotomy or corticotomy gap with distraction devices [1] with a width of 1 mm per day. In 1998, Liou and Huang [2] introduced the concept of distraction osteogenesis in tooth movement. They noted that the process of periodontal ligament osteogenesis during tooth movement induced by orthodontic forces is similar to that of the midpalatal suture during rapid palatal expansion performed for crossbite correction. This technique has been named dental distraction (DD). In 2005, İşeri et al. [3] introduced another technique for rapid canine retraction. In this approach, known as dentoalveolar distraction (DAD), the segment that contains the canine is transported as a bone segment. Rapid canine retraction leads to a significant reduction in treatment time ranging from 6 to 9 months, added to the fact that it does not damage the periodontium, nor does it affect pulp vitality [2]. Not many studies have been done comparing the above two technique of canine distraction to asses superiority of one technique over another, hence the aim of our study was to compare canine retraction by the two different modalities of distraction osteogenesis to assess the best surgical technique and its effect on various adjoining structures.
Materials and Methods
Eight patients (6 females and 2 males) who were advised for fixed orthodontic mechanotherapy with first premolars extraction in maxillary arch and/or both the arches were selected. Sixteen canine distractions (8 on the right side and 8 on the left side) were carried out with a custom made tooth-borne intra oral distraction device. Patients in age group of 14–30 years with moderate to severe crowding, increased overjet or cases with bimaxillary dental protrusion were included in the study and patients with debilitating systemic illness were excluded from the study. Cephalometric and model analysis was done and the maxillary sinus floor was traced (Fig. 1) to assess the proximity of the sinus floor with the canine root apex and surgical planning. It was planned to carry out retraction of canine by periodontal ligament distraction (PLD) on the right side and DAD on the left side under local anesthesia
Fig. 1.

Tracing of maxillary sinus
For PLD side crevicular incisions were made extending from mesial interdental papilla of 2nd premolar to the distal interdental papilla of the lateral incisor with a vertical releasing incision on either side into the veatibule placed to raise mucoperiosteal flap 6 mm above the canine and first premolar to allow for the planned undermining of the interdental septa (Fig. 2). After the first premolar extraction, the interseptal bone distal to the canine was undermined with a straight fissure bur, grooving vertically inside the extraction socket along the buccal and palatal sides, and extending obliquely toward the base of the interseptal bone to weaken its resistance (Figs. 3, 4). The depth of the undermining grooves was dependent on the thickness of the interseptal bone, as revealed on the periapical films.
Fig. 2.

Raising flap in the PLD side
Fig. 3.
Undermining interseptal bone distal to canine
Fig. 4.

Completed undermining in the PLD side
For DAD side crevicular incisions were made extending from the mesial interdental papilla of the first molar to the mesial interdental papilla of the lateral incisor with vertical releasing incision on either side into vestibule to raise mucoperiosteal flap 6 mm above the canine and first premolar to allow for the planned osteotomy (Fig. 5). Cortical holes were made in the alveolar bone with a small, round, carbide bur from the canine to the second premolar, curving apically to pass 3–5 mm from the apex (Fig. 6) which depends upon the anatomic limitations i.e. distance of sinus floor from the apex of the canine or distance of the nasal floor from the canine apex. A thin, tapered, fissure bur was used to connect the holes around the root. Fine osteotomes were advanced in the coronal direction. The first premolar was extracted and the buccal bone removed between the outlined bone cut at the distal canine region anteriorly and the second premolar posteriorly. Larger osteotomes were used to fully mobilize the alveolar segment that included the canine by fracturing the surrounding bone around its root off the palatal cortex. The buccal and apical bone at the buccal aspect were eliminated and smoothened out between canine and 2nd premolar as they may offer a bony interference during the distraction process. The palatal shelf was preserved, but the apical bone near the sinus wall was removed, leaving the sinus membrane intact to avoid interferences during the active distraction process. Osteotomes along the anterior aspect of the canine were used to split the surrounding bone around its root from the palatal cortex and neighbouring teeth. The transport dentoalveolar segment that included the canine also included the buccal cortex and the underlying spongy bone that covered the canine root, leaving an intact palatal cortical plate and the bone around the apex of the canine (Fig. 7). The surgical wound on both side was closed with non-absorbable sutures and antibiotic, nonsteroidal anti-inflammatory drugs were prescribed for 5 days. The surgical procedure lasted approximately 90 min.
Fig. 5.

Raising flap in the DAD side
Fig. 6.

Corticotomy on DAD side
Fig. 7.

Separated dentoalveolar segment on the DAD side
After the surgical procedure a custom-made intraoral distraction device was fabricated from a HYRAX expander (11 mm) (Fig. 8) which was trimmed, ground, and polished (Fig. 9). After preparation of the distractor screw, it was adapted on to the patient’s dental cast and soldering was completed on to the bands of the first molars and the canines that had been previously transferred to a dental cast (Fig. 10). Prior to soldering, the distractor screw was opened an amount equal to the mesio-distal width of the premolar to be extracted. Now intraoral distractors were cemented (Figs. 11, 12) and distraction was started in the PLD side on the same day. Distraction on the DAD side was started after a latency period of 3 days. The distraction device was activated twice a day at a rate of 0.8 mm per day. After completion of the distraction process, records were taken which included impressions, OPG and IOPAs and changes recorded (Figs. 13, 14, 15, 16, 17, 18). The patient was subjected to Pulp Vitality test and fixed mechanotherapy was started subsequently.
Fig. 8.

Expansion screw and its key
Fig. 9.

Arms removed from the original hyrax screw
Fig. 10.

Complete ditractor with arms adapted on the bands
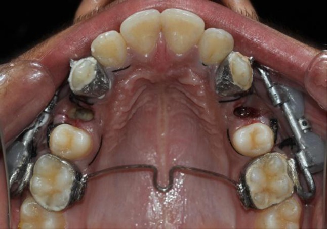
Fig. 11.

Distractors cemented bilaterally
Fig. 12.

Cemented distractors from occlusal view
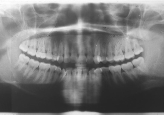
Fig. 13.

Pre-treatment OPG
Fig. 14.

Post-treatment OPG
Fig. 15.

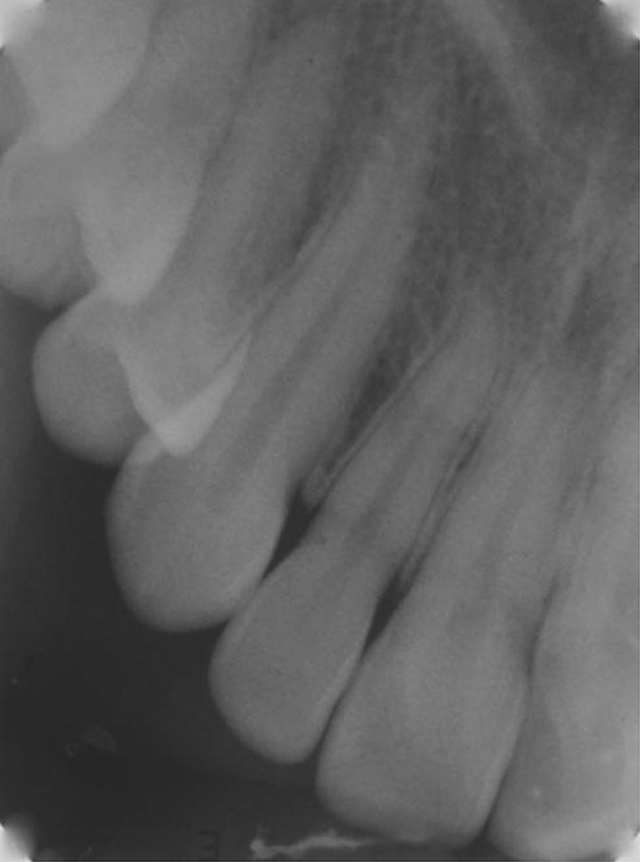
Pre-treatment IOPA of PLD Side
Fig. 16.

Pre-treatment IOPA of DAD Side
Fig. 17.

Post-distraction IOPA of PLD Side
Fig. 18.

Post-distraction IOPA of DAD Side
Records and Data Collection
Determination of Distal Displacement and Rate of Retraction of Canine
The distance between the contact points of the canine and lateral incisor at their most convex prominences (amount of retraction) was recorded to 0.01 mm with a sliding caliper directly in patient mouth after distraction of canines and rate of retraction was calculated from dividing distance by time.
Determination of Time Taken
The time (in days) required for bringing the canine to come in contact with the second premolar gives the total time
Determination of Change in Canine and Molar Angulation
The changes that occurred during the rapid canine retraction were assessed by examining the panoramic radiographs taken before and after the distraction. All panoramic radiographs were taken with the same orthopantomograph (Orthoralix 9200, Gendex). Each patient was instructed to keep their lips in resting position. The parallelism of Frankfurt horizontal plane was affirmed. To analyze the panoramic radiographs, four reference points were determined as described by Ursi et al. [4] and two reference planes were formed by using these points (Fig. 19). Additional planes were constructed by connecting the coronal and apical points of root canals of the canines.
Fig. 19.

Reference points and lines used in the panoramic view
Apical and coronal points of the palatal root canal in the upper first molars were used in constructing the reference planes. A total of four angular measurements were made with these points and planes. The axial inclinations of the canines and molars were measured on the panoramic radiographs taken before and after the distraction.
Determination of Mesial Movement of Molar (Anchor Loss)
To evaluate the amount of anchorage loss, alginate impressions were taken on all eight patients and casts were poured accordingly. The anchorage loss was assessed by determining the location of maxillary raphe by using two predetermined reference points as described by Haas and Cisneros [5] and Hoggan and Sadowsky [6]. On the maxillary dental model, two points, namely, one at the distal aspect of the incisive papilla and the second at the posterior border of the raphe near the fovea centralis were used to define the median raphe that was used as the dental midline (Figs. 20, 21). The maxillary (R1) reference plane was formed by plotting tangents to the interdental contact points of the upper central incisors (R1 was constructed to intersect Rp vertically). The perpendicular distances from the mesiobuccal cusp tip of the first molars to the reference line were measured. A transparent grid was used to measure the amount of canine and molar movements in the model analysis.
Fig. 20.

Pre distraction
Fig. 21.

Post distraction
Determination of Pulp Vitality
Pulp vitality tests of 16 distracted canines were done with an electronic pulp tester, after distraction of canine (Fig. 22).
Fig. 22.

Electric pulp tester
Results
The software used for the statistical analysis was SPSS (Statistical Package for Social Sciences) version 16.0 and Epi-info version 3.0. The values were represented in number (n), percentage (%) and mean (υ). The statistical tests used were unpaired or independent samples t test and paired or dependent t test.
The following formulas were employed for calculation for various parameters:
-
Mean/average
- Standard deviation
- Unpaired or independent ‘Student’s’ t test
- Paired or dependent ‘Student’s’ t test
- Level of significance (P value)
- P > 0.05—non-significant
- P < 0.05—significant
- P < 0.01—highly significant
- P < 0.001—very highly significant
Discussion
Distraction osteogenesis can be considered as a very special, altered form of fracture healing. It represents an effective and long-term augmentation of the human morphology by using mechanical force to induce and guide bone and soft-tissue formation [1].
Distraction osteogenesis was used as early as 1905 by Codivilla [7] for lengthening of bones and was later popularized by the clinical and research studies of Ilizarov [8] in Russia. Distraction osteogenesis was performed in the human mandible by Guerrero [9] in 1990 and Mc-Carthy et al. [10] in 1992. Since then, it has been applied to various bones of the craniofacial skeleton
Liou and Huang [2] reported an innovative approach for rapid canine retraction in which periodontal ligament is stretched (distracted) which follows alveolar bone deposition (osteogenesis). The average rate of osteogenesis by conventional method of canine retraction is about 1 mm per month, which is much slower than that in distraction osteogenesis, however, it has been reported that rate of orthodontic tooth movement can occur up to 1.2 mm per week into the fibrous bone tissue just created by distraction osteogenesis in a canine model [11]. Liou and Huang [2] hypothesized that periodontal ligament can be distracted just like the midpalatal suture in rapid palatal expansion and called this technique as DD [2]. İşeri et al. [3] described and clinically used a new technique for rapid retraction of the canines, the dento alveolar distraction (DAD). With this technique, horizontal and vertical osteotomies surrounding the canines are made to achieve rapid movement of the canines in the dentoalveolar segment, in compliance with the principles of distraction osteogenesis. The surgical technique does not rely on stretching and widening of the PDL, which prevents overloading and stress accumulation in the periodontal tissues.
Our study sample consists of 16 maxillary canines in 8 growing or adult subjects (6 female, 2 male). Their age ranges from 15 to 24 years (mean—19.62 years). Sixteen canine distractions, including 8 on the right side using PLD and 8 on the left side using DAD method were carried out with a custom made tooth-borne intraoral distraction device.
Duration of Distraction
The conventional methods of retraction of canines in premolar extraction space is a time taking process at a rate of 1–1.5 mm in 4–5 weeks [12]. On the other hand, with the custom-made, rigid, tooth-borne distraction device, the canines were retracted at a very rapid rate and moved into the socket of the extracted first premolars in compliance with distraction osteogenesis principles. In our study in PLD - The mean distraction time (Table 1; Fig. 23) was 15.38 ± 1.51 days and the distraction procedure was completed in 13–17 days. On the DAD side—the mean distraction time (Table 1; Fig. 23) was 14.50 ± 2.45 days and the distraction procedure was completed in 12–18 days. The difference in duration of canine distraction was not found significant between PLD and DAD (Figs. 24, 25, 26, 27, 28). The findings shown in Table 1 show faster duration of retraction compared to Liou and Huang [2] who stated to elicit rapid canine retraction in 3 weeks. When compared with the study by Kharkhar et al. [13] it was slower on PLD side with mean distraction of 19.5 ± 1.7 days but was faster on the DAD side with mean distraction of 12.5 ± 0.5 days. It was however slower as compared to the study of İşeri et al. [3], in which mean distraction time was 10.05 ± 2.01 days and the distraction procedure was completed in 8 to 14 days. It was consistent with the works of Sukurica et al. [1] who carried out canine retraction by DAD procedure and stated that retraction was completed in 12–28 days (mean 14.65 ± 3.49). When compared with the study by Prasad et al. [14] where distraction was completed between 19 and 24 days in periodontal ligament distraction, our study reported faster rate of distraction on PLD side. The reason for variation in duration of distraction of canine might have been the resistance of the osteotomized bone fragments against the desired movement, or variable surgical procedures by the surgeons or even different parameters of the distractor.
Table 1.
Parameter and results of PLD and DAD
| Patients serial no. | Duration of distraction (number of days) | Rate of distraction (mm/day) | Distal displacement of canines (mm/day) | Angular changes in canines (degree) | Angular change in first molars (degree) | Anchorage loss in molars (mm) | Results obtained from vitality tests of canine | |||||||
|---|---|---|---|---|---|---|---|---|---|---|---|---|---|---|
| PLD | DAD | PLD | DAD | PLD | DAD | PLD | DAD | PLD | DAD | PLD | DAD | PLD | DAD | |
| 1 | 15 | 13 | 0.48 | 0.58 | 7.28 | 7.55 | 19 | 15.5 | 3.0 | 3.0 | 0.0 | 0.75 | NR | NR |
| 2 | 17 | 13 | 0.38 | 0.51 | 6.55 | 6.70 | 8.5 | 11.5 | 2.0 | 0.0 | 1.5 | 1.0 | NR | NR |
| 3 | 15 | 12 | 0.41 | 0.53 | 6.12 | 6.36 | 16 | 16 | 1.0 | 0.5 | 1.75 | 1.75 | NR | 3.2 |
| 4 | 17 | 16 | 0.36 | 0.40 | 6.10 | 6.41 | 24 | 19.5 | 0.0 | 0.0 | 0.5 | 0.0 | NR | NR |
| 5 | 17 | 18 | 0.46 | 0.50 | 7.90 | 9.08 | 10 | 15 | 1.0 | 2.5 | 1.5 | 0.0 | 2.7 | NR |
| 6 | 14 | 13 | 0.51 | 0.55 | 7.10 | 7.12 | 15.5 | 13.5 | 2.0 | 0.5 | 1.0 | 2.0 | NR | 4.2 |
| 7 | 13 | 13 | 0.38 | 0.38 | 4.96 | 5.00 | 2.5 | 10 | 0.5 | 2.0 | 0.5 | 0.5 | NR | NR |
| 8 | 15 | 18 | 0.46 | 0.39 | 6.99 | 7.02 | 24 | 18 | 0.0 | 1.0 | 0.5 | 0.75 | 4.0 | 3.0 |
| Mean | 15.38 | 14.50 | 0.43 | 0.48 | 6.63 | 6.91 | 14.94 | 14.88 | 1.19 | 1.19 | 0.91 | 0.84 | ||
| SD | 1.51 | 2.45 | 0.05 | 0.08 | 0.90 | 1.16 | 7.58 | 3.15 | 1.41 | 1.16 | 0.63 | 0.73 | ||
| P value | 0.404 | 0.162 | 0.599 | 0.983 | 1.00 | 0.857 | ||||||||
| Significance | Not Significant | Not Significant | Not Significant | Not Significant | Not Significant | Not Significant | ||||||||
SD standard deviation, PLD periodontal ligament distraction, DAD dento alveolar distraction, NR no response
Fig. 23.
Duration of distraction
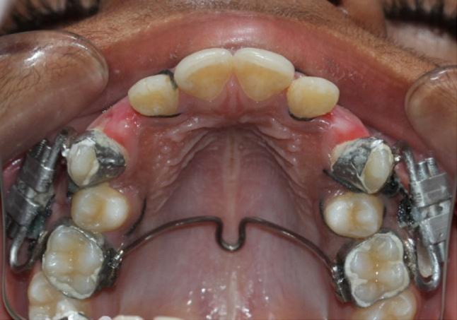
Fig. 24.

First day of distraction
Fig. 25.

Tenth day of distraction
Fig. 26.

Fifteenth day of distraction
Fig. 27.
Completed distraction in both the sides
Fig. 28.
Total distance covered measured with vernier calliper
Rate of Distraction and Distal Displacement of Canines
The rate of orthodontic tooth movement is found to be faster and root surface resorption is lesser in an alveolar bone with loose bone trabeculae and less bone resistance [15]. The regenerative bone tissue refills the extraction socket in 3 weeks and becomes resistant and solid in 3 months [16]. If the canine is not retracted across the first premolar extraction socket in first 3 weeks, the rate of tooth movement will slow down, root surface resorption will increase, and anchor unit will start to move forward. After the bone tissues have solidified, the canine distalization occurs at a rate of about 1 mm per month. The interseptal bone distal to the canine is the only significant obstacle in the way of canine distraction [2] before the extraction socket becomes resistant and solid, especially in first 3 weeks after premolar extraction. In PLD, the interseptal bone distal to the canine was undermined surgically to weaken its strength. It was bent by the distraction and it closely followed the tooth movement [2]. In DAD, vertical corticotomies were performed around the root of the canine, and the spongy bone around it was split. With this surgical technique, the dentoalveolus is used as a bone transport segment for rapid posterior movement of the canines [3]. In our study the mean rate of distraction (Table 1; Fig. 29) on the side of PLD is 0.43 ± 0.05 mm per day. The mean rate at the DAD side is higher at 0.48 ± 0.08 mm per day but it was found statistically not significant when compared with the mean rate of distraction on the periodontal side (Fig. 29). Mean distance moved by canine in distraction of the periodontal ligament distraction (Table 1; Fig. 30) was 6.63 ± 0.90 mm while in DAD, it was 6.91 ± 1.16 mm. These findings are consistent with the findings of Liou and Huang [2] who distracted canine by PLD method where canines moved a mean of 6.5 mm with a standard deviation of 0.7 mm and completed the distraction under 3 weeks, However the rate of distraction was found highly significant (0.8 mm/day) in a study by İşeri and Kisnisci [3]. It was more consistent with the work of Sukurica et al. [1] and Seyer Sayin et al. [17] who stated that the distal displacement of the canines ranged from 3 to 8 mm (mean 5.35 ± 1.22) and 5.76 mm respectively.
Fig. 29.
Rate of distraction
Fig. 30.
Distal displacement of canines
Angular Changes in Canines
Although every attempt was made to achieve bodily movement of the canines with distraction osteogenesis (arms of the distracters were placed as incisal as possible and as long as possible to be more close to the centre of resistance of canines), a significant amount of tipping of the canines was observed suggesting that the distal displacement of the canines was mainly a combination of tipping and translation [18]. A mean change in canine inclination (Table 1; Fig. 31) of 14.94° ± 7.58° in the PLD method and 14.88° ± 3.15° in the DAD method was seen at the end of the distraction period. The difference in change in canine angulation was statistically significant in both the methods but statistically non significant when compared with each other. Liou and Huang [2] in their first study reported that the distal tipping movement was insignificant. In their second study [19], however, despite the efforts to attain parallel canine movement, they stated that 17° of distal tipping had occurred in the adult patients. In the study by Seyer Sayin et al. [17] the mean distal tipping of the maxillary canines was 11.478° during their retraction. Sukurica et al. [1] reported that the canines showed a mean of 9.1° distal tipping during canine retraction by DAD. A follow up study of 5 years by Kurt et al. [20] also suggested an 11° inclination change (distal tipping).This variation in angular change may be due to the anatomical structures present close to the apex of canine limiting the surgical intervention, variation in positioning of the arm of the distractor on canine or even variation in bone density among individuals (Fig. 32).
Fig. 31.
Angular changes in canines (in degree)
Fig. 32.
Angular changes in molars (in degree)
Anchorage Loss in Molars
After the initial tooth movement, a lag period of minimal tooth movement persists for approximately 2–3 weeks before tooth movement again proceeds [12]. A high orthodontic force strangulates the periodontal ligament and causes necrosis. The initial obstacle to orthodontic tooth movement is the necessary elimination of the necrotic tissues by undermining resorption. The elimination of the hyalinizing tissues takes 2-3 weeks, which is the lag period. In our study, the canine distraction was completed while the first molar was still in its lag period or just initiating its mesial movement [2]. Any technique that takes longer than 3 weeks to retract a canine will result in loss of anchorage because not only the canine but also the anchor unit will move to each other after the lag period. The average time for canine retraction takes 4–6 months according to the anchorage needs. However, the anchor unit also will move forward accordingly (loss of anchorage). The best way to avoid losing anchorage is to move the canine before the anchor unit moves. In our study the canine was retracted within the lag phase of molars causing minimal anchor loss. Full retraction of the canines was achieved, and the anchorage teeth (first molars) were able to withstand the retraction forces with minimal anchorage loss. The mesial movement of the molars (Table 1; Fig. 33) on the PLD side was within the range of 0.0–1.75 mm with mean being 0.91 ± 0.93 mm. The mesial movement of the molars on the DAD side (Table 1; Fig. 33) was within a range of 0.0–2.0 mm with the mean being 0.84 ± 0.73 mm. The difference in anchorage loss readings was not statistically significant comparatively. According to Liou and Huang [2], the average mesial movement of the first molars was less than 0.5 mm in 3 weeks. 73 % of the first molars did not move mesially, and 27 % of them moved mesially less than 0.5 mm on the cephalometric superimposition. Kiseri and Isnisci [3] reported anchorage loss of just 0.19 mm in their study on canine retraction by DAD. Our work was found to be consistent with the findings of Sukurica et al. [1] who reported the anchorage loss to range between 0 to 3 mm with the mean 1.2 ± 0.83 mm. Kurt et al. [20] and Sayin et al. [17] reported mean anchorage loss of 0.56 mm in the maxillary molars in their study on review of the PLD method.
Fig. 33.
Anchorage loss in molars (in mm)
Angular change in molars
Anchorage loss in molars is also associated with change in their axial inclination during the distraction process.
An axial change of 1.19° ± 1.41° (Table 1; Fig. 32) was seen in the side of PLD while a change of 1.19 ± 1.16° was seen in the side of DAD. The difference between these two methods is not statistically significant. Minimal change in axial inclination is seen because the canine distraction is completed while the first molar is still in its lag period or just initiating its mesial movement. Kurt et al. [20] in his study stated that the average extrusion of the apex of the maxillary molars was 0.53 mm, indicating mesial tipping of these teeth. The distance between the mesial point and the apex of the maxillary first molars increased by 0.71 mm, and this supports the concept of tipping. Sukurica et al. [1] also stated that there was no statistically significant difference in the axial inclinations of first molars in their study.
Pulp Vitality of the Canines
Five of the sixteen teeth gave positive response to electrical vitality test that was performed after distraction. Although no meaningful findings were achieved with the Electronic Pulp Tester, we still think that the distracted canines preserved their pulp vitality at the end of distraction. The pulp-vitality test is not a reliable technique when performed during orthodontic tooth movement [3]. Block et al. [21] demonstrated that the inferior alveolar nerve and blood vessels regenerate a short time after mandibular distraction. Findings of our study indicate that the distal movement of the canines is a combination of tipping and translation. This means that the crown moves more than the root apex, and similar to the neurovascular bundle in mandibular distraction, the pulp tissues of the teeth will remain vital under controlled rapid stretching [3]. Hence, the observed tipping of the canines might be an advantage with regard to pulp vitality during rapid tooth movement with both the procedures. Further investigation of pulp vitality is needed in patients subjected to rapid tooth movement with distraction. Liou and Huang [2] reported that nine of twenty-six teeth reacted positively to the electrical vitality test that was performed after the distraction. Kisnisci et al. [3] reported that the vitality of the distracted canines was within a normal range.
In the study by Sukurica et al. [1] no tooth showed positive response just after completion of the procedure while seven of those twenty teeth were found to be vital according to the results obtained from the electrical vitality test that was performed 6 months after completion of the distraction procedure.
Conclusion
Canine distraction was introduced as an alternative method to retract the canines in minimum possible period of 3 weeks. No significant differences in the various parameters were found between both the PLD & DAD techniques of canine retraction by distraction osteogenesis. Both the techniques help in reducing orthodontic treatment duration by 6–9 months in patients who need extraction without any unfavorable short-term effects in the periodontal tissues and surrounding structures. The drawbacks of such a technique include the need for a specific surgical procedure and a supervised activation protocol, in addition to difficulties in fabricating distractors using Hyrax-type expanders, as devices suitable for this purpose are not yet available on the domestic market.
References
- 1.Sukurica Y, Karaman A, Gurel HG, Dolanmaz DZ. Rapid canine distalization through segmental alveolar distraction osteogenesis. Angle Orthod. 2007;77(2):226–237. doi: 10.2319/0003-3219(2007)077[0226:RCDTSA]2.0.CO;2. [DOI] [PubMed] [Google Scholar]
- 2.Liou EJW, Huang CS. Rapid canine retraction through distraction of the periodontal ligament. Am J Orthod Dentofac Orthop. 1998;114:372–382. doi: 10.1016/S0889-5406(98)70181-7. [DOI] [PubMed] [Google Scholar]
- 3.İşeri H, Kişnişci R, Bzizi N, Tüz H. Rapid canine retraction and orthodontic treatment with dentoalveolar distraction osteogenesis. Am J Orthod Dentofac Orthop. 2005;2005(127):533–541. doi: 10.1016/j.ajodo.2004.01.022. [DOI] [PubMed] [Google Scholar]
- 4.Ursi WJS, Almeida RR, Tavano O, Henriqes JFC. Assessment of mesiodistal axial inclination through panoramic radiography. J Clin Orthod. 1990;24:166–173. [PubMed] [Google Scholar]
- 5.Haas SE, Cisneros GJ. The goshgarian transpalatal bar: a clinical and an experimental investigation. Semin Orthod. 2000;6:98–105. doi: 10.1053/od.2000.5899. [DOI] [Google Scholar]
- 6.Hoggan BR, Sadowsky C. The use of palatal rugae for the assessment of anteroposterior tooth movements. Am J Orthod Dentofac Orthop. 2001;119:482–488. doi: 10.1067/mod.2001.113001. [DOI] [PubMed] [Google Scholar]
- 7.Codivilla A. On the means of lengthening, in the lower limbs, the muscles and tissues which are shortened through deformity. J Bone Joint Surg Am. 1905;2–2:353–369. [Google Scholar]
- 8.Ilizarov GA. The principles of the Ilizarov method. Bull Hosp Joint Dis Orthop Inst. 1988;48:1–11. [PubMed] [Google Scholar]
- 9.Guerrero C. Expansion mandibular quirurgica. Rev Venez Ortod. 1990;1–2:48–50. [Google Scholar]
- 10.McCarthy JG, Schreiber JS, Karp NS, Thorne CHM, Grayson BH. Lengthening the human mandible by gradual distraction. Plast Reconstr Surg. 1992;89:1–10. doi: 10.1097/00006534-199289010-00001. [DOI] [PubMed] [Google Scholar]
- 11.Liou EJW, et al. Rapid orthodontic tooth movement into newly distracted bone after mandibular distraction osteogenesis in a canine model. Am J Orthod Dentofacial Orthop. 2000;117:391–398. doi: 10.1016/S0889-5406(00)70158-2. [DOI] [PubMed] [Google Scholar]
- 12.Reitan K. Initial tissue behaviour during apical root resorption. Angle Orthod. 1974;44:68–82. doi: 10.1043/0003-3219(1974)044<0068:ITBDAR>2.0.CO;2. [DOI] [PubMed] [Google Scholar]
- 13.Kharkar VR, Kotrashetti SM, Kulkarni P. Comparative evaluation of dentoalveolar distraction and periodontal distraction assisted rapid retraction of maxillary canine: a pilot study. IJOMS. 2010;39:1074–1079. doi: 10.1016/j.ijom.2010.06.012. [DOI] [PubMed] [Google Scholar]
- 14.Prasad NKK, Chitharanjan A, Kailasam V. Rapid maxillary canine retraction by dental distraction: a clinical study. NJMS. 2015;5:6–12. doi: 10.4103/0975-5950.140148. [DOI] [PMC free article] [PubMed] [Google Scholar]
- 15.Midgett RJ, Shaye R, Fruge JF. The effect of altered bone metabolism on orthodontic tooth movement. Am J Orthod. 1981;80:256–262. doi: 10.1016/0002-9416(81)90289-X. [DOI] [PubMed] [Google Scholar]
- 16.Avery JKV. Structure of periodontium: wound healing. In: Avery JK, editor. Oral development and histology. Baltimore: Williams & Wilkins; 1987. pp. 282–292. [Google Scholar]
- 17.Sayin S, Bengi AO, Gürton AU, Ortakoğlu K. Rapid canine distalization using distraction of the periodontal ligament: a preliminary clinical validation of the original technique. Angle Orthod. 2004;74:304–315. doi: 10.1043/0003-3219(2004)074<0304:RCDUDO>2.0.CO;2. [DOI] [PubMed] [Google Scholar]
- 18.Codivilla A. Sulla correzione della deformita de frattura del femore. Bull Sci Med (Bologna) 1903;3:246–249. [Google Scholar]
- 19.Liou EJ, Shing C. Rapid canine retraction by distraction of the periodontal ligament. In: Samchukov ML, editor. Craniofacial distraction osteogenesis. St. Louis, MO: Mosby; 2001. pp. 461–474. [Google Scholar]
- 20.Kurt G, Iseri H, Kisnisci R. Rapid tooth movement and orthodontic treatment using dentoalveolar distraction (DAD) Angle Orthod. 2010;80:597–606. doi: 10.2319/041209-209.1. [DOI] [PMC free article] [PubMed] [Google Scholar]
- 21.Block MS, Daire J, Stover J, Matthews M. Changes in the inferior alveolar nerve following mandibular lengthening in the dog using distraction osteogenesis. J Oral Maxillofac Surg. 1993;51:652–660. doi: 10.1016/S0278-2391(10)80265-4. [DOI] [PubMed] [Google Scholar]









