Abstract
Glioblastoma multiforme (GBM) is one of the most common and aggressive primary brain tumors, composing 12-20% of all the intracranial tumors in adults with a highly malignant course and average life expectancy of approximately 12-14 months following initial diagnosis. Leptomeningeal or intramedullary metastasis from primary GBM is a rare phenomenon with a poor prognosis. We present a rare case of GBM with late onset intramedullary, extramedullary, as well as leptomeningeal spinal metastasis.
Keywords: Glioblastoma, intramedullary, leptomeningeal, spinal metastasis
INTRODUCTION
Glioblastoma multiforme (GBM) is a highly aggressive primary tumor in adults, composing of 12-20% of intracranial tumors and more than 50% of glial neoplasms.[1] Cerebrospinal seeding (CSF) is present in approximately 15-25% of the cases of supratentorial GBM, while a higher incidence is seen in patients with infratentorial GBM.[2] However, the exact incidence of CSF seeding is unknown, as autopsy is not performed routinely. The rate of spinal metastasis from intracranial GBM has been variably reported to be 0.4-2%.[1,3] According to a review by Lawton et al. in 2012, there were only 42 documented cases of primary intracranial GBM with spinal mestastasis.[4] We present a unique case of late onset symptomatic whole spine metastasis of GBM in a patient approximately 36 months of detection of primary GBM.
CASE REPORT
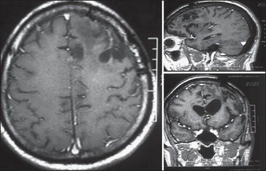
A 60-year-old male patient presented with slurring of speech and progressive weakness of the right side of the body since 1 month in June 2011. Magnetic resonance imaging (MRI) of the brain was suggestive of a large left frontal irregular, heterogeneously enhancing lesion. He underwent left frontoparietal craniotomy and gross total tumor excision [Figure 1]. Histopathology was suggestive of GBM, World Health Organization (WHO) grade IV. The patient then underwent external beam radiotherapy (EBRT) in a dose of 59.4 Gy in 33 fractions for 6 weeks with chemotherapy (Temozolamide capsule 100 mg daily) with an uneventful course. He remained stable, and postoperative MRIs during follow-up were not suggestive of residual/recurrent disease.
Figure 1.

Postoperative MRI scan showing tumor excision
After approximately 36 months, he presented with gradually progressive weakness of the left lower limb since 6 months, followed by weakness of the right lower limb along with numbness in both the lower limbs and bowel and bladder involvement for 10 days. On neurological examination, power in both the lower limbs was grade one-two with the sensory level at T-eight.
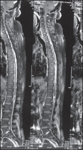
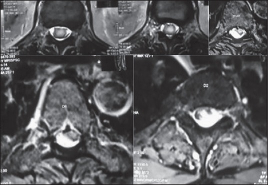
MRI of the brain was not suggestive of tumor at the primary site. Pre and postcontrast MRI of the spine showed a 24 mm × 9 mm × 11 mm ill-defined, enhancing, intramedullary lesion at D2-3 with cord expansion with extension into the extramedullary space with diffuse leptomeningeal involvement all along the cervical spine, along the filum and conus [Figures 2 and 3]. He underwent D2-6 laminectomy and tumor decompression, histopathology of which was suggestive of high grade astrocytoma compatible with recurrent metastatic glioblastoma (WHO grade IV). The patient then underwent radiotherapy which he could not tolerate and eventually succumbed to his disease after a period of 6 months.
Figure 2.

Sagittal view showing leptomeningeal, extramedullary, and intramedullary metastasis
Figure 3.

Axial sections of the different levels of metastasis
DISCUSSION
Spinal metastasis from primary GBM is a rare event. The most common sites are lower thoracic, upper lumbar, and lumbosacral regions, with nerve roots of the cauda equina, nerve root sleeves, and fundus of the thecal sac being the other sites of metastasis.[4,5] Intramedullary and entire spinal cord involvement is an extremely rare event with only six cases reported till 2008.[4,6]
Invasion of basement membrane structures and choroid plexuses with subependymal growth results in metatstatic spread along CSF, while invasion into the cortical surface via subpial spread will lead to leptomeningeal dissemination.[7]
In a study of supratentorial gliomas in children, ventricular entry at operation, multiple resections, and male sex were associated with statistically significant increased incidence of CSF dissemination. Recraniotomy is additionally associated with greater CSF dissemination, probably from repeated manipulation, a more aggressive tumor type and depression of the immune system because of radiotherapy and chemotherapy.[8]
Common symptoms of spinal metastasis are radicular pain, sensory loss, gait disturbances, weakness and pain in the lower back, interscapular area, and the neck, followed by paraparesis, quadriparesis, paraplegia, bowel or bladder dysfunction, and sexual dysfunction.[9]
The treatment options are surgery for decompression, EBRT in total dosage of 25-40 Gy, and intravenous or intrathecal chemotherapy.[10] Surgery is considered unsuitable due to diffuse nature of the disease. Radiation is used most commonly; because treatment is usually symptomatic, there is no obvious survival advantage of one therapy over the other.[4]
Nevertheless, spinal metastasis of GBM have poor prognosis, with fatal outcome always occurring. The median time from diagnosis of the primary intracranial GBM to diagnosis of the CSF tumor dissemination ranges from 8-14 months (approximately 35-36 months in our case), median survival ranges from 11-17 months, and the average time interval between diagnosis of leptomeningeal metastasis and death is 2-3 months.[7]
Financial support and sponsorship
Nil.
Conflicts of interest
There are no conflicts of interest
REFERENCES
- 1.Stark AM, Nabavi A, Mehdorn HM, Blömer U. Glioblastoma multiforme-report of 267 cases treated at a single institution. Surg Neurol. 2005;63:162–9. doi: 10.1016/j.surneu.2004.01.028. [DOI] [PubMed] [Google Scholar]
- 2.Arita N, Taneda M, Hayakawa T. Leptomeningeal dissemination of malignant gliomas: Incidence, diagnosis and outcome. Acta Neurochir. 1994;126:84–92. doi: 10.1007/BF01476415. [DOI] [PubMed] [Google Scholar]
- 3.Vertosick FT, Jr, Selker RG. Brain stem and spinal metastases of supratentorial glioblastoma multiforme: A clinical series. Neurosurgery. 1990;27:516–22. doi: 10.1097/00006123-199010000-00002. [DOI] [PubMed] [Google Scholar]
- 4.Lawton CD, Nagasawa DT, Yang I, Fessler RG, Smith ZA. Leptomeningeal spinal metastases from glioblastoma multiforme: Treatment and management of an uncommon manifestation of disease: A review. J Neurosurg Spine. 2012;17:438–48. doi: 10.3171/2012.7.SPINE12212. [DOI] [PubMed] [Google Scholar]
- 5.Shah A, Redhu R, Nadkarni T, Goel A. Supratentorial glioblastoma multiforme with spinal metastases. J Craniovertebr Junction Spine. 2010;1:126–9. doi: 10.4103/0974-8237.77678. [DOI] [PMC free article] [PubMed] [Google Scholar]
- 6.Scoccianti S, Detti B, Meattini I, Iannalfi A, Sardaro A, Leonulli BG, et al. Symptomatic leptomeningeal and intramedullary metastases from intracranial glioblastoma multiforme: A case report. Tumori. 2008;94:877–81. doi: 10.1177/030089160809400620. [DOI] [PubMed] [Google Scholar]
- 7.Giese A, Westphal M. Glioma invasion in the central nervous system. Neurosurgery. 1996;39:235–52. doi: 10.1097/00006123-199608000-00001. [DOI] [PubMed] [Google Scholar]
- 8.Grabb PA, Albright AL, Pang D. Dissemination of supratentorial malignant gliomas via the cerebrospinal fluid in children. Neurosurgery. 1992;30:64–71. doi: 10.1227/00006123-199201000-00012. [DOI] [PubMed] [Google Scholar]
- 9.Buhl R, Barth H, Hugo HH, Hutzelmann A, Mehdorn HM. Spinal drop metastases in recurrent glioblastoma multiforme. Acta Neurochir (Wien) 1998;140:1001–5. doi: 10.1007/s007010050207. [DOI] [PubMed] [Google Scholar]
- 10.Karaca M, Andrieu MN, Hicsonmez A, Guney Y, Kurtman C. Cases of glioblastoma multiforme metastasizing to spinal cord. Neurol India. 2006;54:428–30. doi: 10.4103/0028-3886.28122. [DOI] [PubMed] [Google Scholar]
