Abstract
Acute hemorrhagic leukoencephalitis (AHLE) is a rare demyelinating disease characterized by an acute rapidly progressive fulminant inflammation of the white matter. In this case report, we introduce a case of AHLE in children with an interesting and lengthy process and successful treatment.
A previously healthy 13-year-old girl was admitted to the hospital because of fever and loss of consciousness. After 4 days, she was referred to our pediatric intensive care unit in Mashhad, Iran. On admission, she had right-sided parotiditis. With a diagnosis of AHLE, our patient was treated with methylprednisolone, intravenous immunoglobulin, acyclovir, and plasmapheresis.
AHLE is a rare and severe demyelinating disease, the mortality and morbidity of which can be decreased by early detection and treatment with steroid therapy, intravenous immunoglobulin, acyclovir, and plasmapheresis.
Keywords: Leukoencephalitis, Acute Hemorrhagic Encephalomyelitis, Acute disseminated, Demyelinating diseases
What’s Known
The disease is known in adults, and its diagnosis is of great importance because if it is diagnosed early, the possibility of overall recovery is high.
What’s New
The disease is rare in children, and no cases have been reported in recent years.
Significant therapeutic response of the disease increases the importance of its recognition from untreatable forms of encephalitis.
Introduction
Acute hemorrhagic leukoencephalitis (AHLE) is a rare fatal disease presenting with an acute onset of neurological abnormalities.1 It is categorized in a group of diseases called acute disseminated encephalomyelitis (ADEM).2 In this disease, an acute rapidly progressive hemorrhage in the white matter leads to a fulminant clinical course. The first presentations are fever and a rapid deterioration of consciousness, but it may finally lead to death within a few days.1
The acute onset of a rapidly progressive neurological disorder with asymmetric involvement of the brain, polymorphonuclear predominant peripheral leukocytosis, cerebrospinal fluid (CSF) pleocytosis, and specific findings in the serial computed tomography scans or magnetic resonance imaging (MRI) are the main criteria for the diagnosis. The areas involved in the majority of the cases are the parietal lobes, but the lesions can be seen in the subcortical white matter, mid brain, pons, corpus callosum, basal ganglia, medulla, cerebellum, and even spinal cord. The imaging techniques may also complicate the diagnosis as computed tomography and MRI might show nonspecific findings3 such as hematoma in the basal ganglia and ventricles. In addition, symmetrical low density areas in the bilateral white matter might result in a false preliminary diagnosis of hemorrhagic cerebrovascular disease.3 In this case report, we present a case of AHLE in children.
Case Presentation
A 13-year-old girl with loss of consciousness and right-sided parotiditis was referred to our center, Imam Reza Hospital, Mashhad University of Medical Sciences, from a hospital in Herat (Northern Afghanistan). She had been admitted to that center 4 days previously because of fever and loss of consciousness. According to the girl’s mother, the right side of her face was swollen on the evening of the first admission. The loss of consciousness had begun with drowsiness, which had progressed to unresponsiveness to the verbal stimuli and poor response to painful stimuli by midnight. Eventually, the patient had become completely unresponsive to any stimuli in the hospital in Herat. After the initiation of supportive measures and performance of lumbar puncture, intravenous ceftriaxone, vancomycin, and acyclovir (30 mg/kg/d) was commenced for the patient. After she was admitted to our center, an informed consent was obtained from her parents. The patient had two occasions of nausea and vomiting. Her consciousness deteriorated even more, and she became completely unresponsive to verbal stimuli. Within 2 days, she developed respiratory failure and a decerebrated posture and subsequently spasticity of the four limbs and rigidity of the left leg.
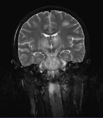
Her initial MRI revealed multifocal hemorrhages without edema in the right temporal white matter (figure 1). In complete blood count, there was leukocytosis with predominant polymorphonuclear cells. According to the result of lumbar puncture performed in the hospital in Afghanistan, the CSF showed an elevated white blood cell count (3-4 cells/mm3) and an increased protein level (69 mg/dL). The culture of the CSF regarding bacterial and viral infections was negative, although there were some limitations to serological tests, including deficit of technical instrumentations in our hospital. The result of immunological and microbiological studies, comprising hepatitis B surface antigen, anti-hepatitis A virus and hepatitis B virus, and polymerase chain reaction for herpes simplex virus, were all negative. The laboratory tests for mycoplasma and tuberculosis as well as the CSF culture were also negative. Coagulation tests such as bleeding time, prothrombin time, partial thromboplastin time, and platelet count were normal. No abnormality was found in electrolyte analysis and biochemical studies such as blood sugar and liver function tests. A second MRI (20 days later) showed multiple hemorrhagic lesions in the pons and thalamus of both sides (figure 2). Our diagnosis was according to clinical, radiological, and laboratory findings, and there were no pathological examinations to confirm it.
Figure 1.

There are multifocal hemorrhages without edema in the right temporal white matter.
Figure 2.

There are multiple hemorrhagic lesions in the pons and thalamus of both sides.
With a diagnosis of AHLE, our patient was treated with methylprednisolone (20 mg/kg pulse therapy), intravenous immunoglobulin (IVIG), acyclovir (30 mg/kg/d), and plasmapheresis (3-hour sessions for 3 times). After 29 days’ stay in the pediatric intensive care unit and under supervision of pediatric toxicologists and neurologists, she was extubated and attained a remarkable healing. Her MRI demonstrated improvement (figure 3). At one year’s follow-up, the treatment was completely successful and neurological examinations, comprised of mental status, motor skills, sensory skills, balance and coordination, reflexes, and functioning of the nerves, were all normal.
Figure 3.

The MRI demonstrated improvement after healing.
Discussion
AHLE is a rare demyelinating disease characterized by an acute rapidly progressive fulminant inflammation of the white matter. It is a more severe form of ADEM and is characterized by a fulminant clinical course. It is usually preceded by an infectious illness such as measles, mumps, rubella, and respiratory infections. Nevertheless, no virus or other infectious agent has been isolated from the CSF or brain in case of ADEM. Considering clinical and imaging findings, the differential diagnosis of this disease are hemorrhagic cerebrovascular disease, infectious encephalitis, meningitis, vasculitis, fulminant multiple sclerosis, other causes of ADEM, and venous sinus thrombosis. The most differentiating feature of AHLE from hemorrhagic cerebrovascular disease is the infectious process. Most of the patients experience a viral, bacterial, or parasitical infection and usually have fever at the time of admission.4-6 However, infectious encephalitis and meningitis are similar to AHLE as they are both usually preceded by an infectious disease such as measles, mumps, and respiratory tract infections.6,7 Our patient had parotiditis on admission, which is in favor of a viral infection. In two different reports, Befort6 and Francisci7 presented cases of AHLE after Epstein-Barr virus infection in adults. Nonetheless, as can be observed in our patient, no infectious organism is isolated from the CSF. Furthermore, imaging findings are not indicative of suppurative enhancing diffuse edematous lesions.8 Besides differences in the clinical presentations and course of the disease, vasculitis usually manifests on MRI as smaller multiple lesions that are both in the cortex and in the white matter.8 Moreover, serological tests for collagen diseases, which are used for the diagnosis of vasculitides, were negative in our patient. Fever, leukocytosis, and CSF features, which were seen in our patient, are not compatible with the diagnosis of acute fulminant multiple sclerosis. The absence of oligoclonal bands is another characteristic for the exclusion of acute fulminant multiple sclerosis.9 It is very difficult to distinguish other causes of ADEM from AHLE based on clinical and MRI findings, and diagnosis is basically made via biopsy.10 However, there are certain epidemiological, clinical, laboratory, and pathological distinctions between them. For instance, ADEM is mainly a disease of children, whereas AHLE is more common in young adults.11 In addition, AHLE presents more acutely and has larger and more edematous lesions with features of hemorrhage.8
In our patient, several findings, including acute fulminant course of the disease, a history of parotiditis, CSF profiles, indicative immunological and bacteriological tests, and MRI results, strongly supported the diagnosis of AHLE. Previous studies have shown that treatment with IV methylprednisolone, IVIG, acyclovir, and plasmapheresis are helpful and can be life-saving.12-14 Following the same protocol, our patient recovered and was extubated. Still, as there is evidence that AHLE might have a biphasic presentation,15 our patient should be followed up for a longer time period with several MRIs.
Conclusion
AHLE is a rare and severe demyelinating disease, the mortality and morbidity of which can be lessened by early detection and treatment with steroid therapy, IVIG, acyclovir, and plasmapheresis.
Acknowledgement
This study was done in the Faculty of Medicine, Mashhad University of Medical Sciences.
Conflict of Interest: None declared.
References
- 1.Lee NK, Lee BH, Hwang YJ, Kim SY, Lee JY, Joo M. Serial computed tomography and magnetic resonance imaging findings of biphasic acute hemorrhagic leukoencephalitis localized to the brain stem and cerebellum. Jpn J Radiol. 2011;29:212–6. doi: 10.1007/s11604-010-0523-0. [DOI] [PubMed] [Google Scholar]
- 2.Palace J. Acute disseminated encephalomyelitis and its place amongst other acute inflammatory demyelinating CNS disorders. J Neurol Sci. 2011;306:188–91. doi: 10.1016/j.jns.2011.03.028. [DOI] [PubMed] [Google Scholar]
- 3.Takeda H, Isono M, Kobayashi H. Possible acute hemorrhagic leukoencephalitis manifesting as intracerebral hemorrhage on computed tomography--case report. Neurol Med Chir (Tokyo) 2002;42:361–3. doi: 10.2176/nmc.42.361. [DOI] [PubMed] [Google Scholar]
- 4.Kumar RS, Kuruvilla A. Teaching NeuroImages: Acute hemorrhagic leukoencephalitis after mumps. Neurology. 2009;73:e98. doi: 10.1212/WNL.0b013e3181c2eee3. [DOI] [PubMed] [Google Scholar]
- 5.Befort P, Gaillard N, Roubille C, Quellec AL. Hemorrhagic leukoencephalitis linked to Epstein-Barr virus in an adult patient. Clin Neurol Neurosurg. 2010;112:829–31. doi: 10.1016/j.clineuro.2010.06.017. [DOI] [PubMed] [Google Scholar]
- 6.Francisci D, Sensini A, Fratini D, Moretti MV, Luchetta ML, Di Caro A, et al. Acute fatal necrotizing hemorrhagic encephalitis caused by Epstein-Barr virus in a young adult immunocompetent man. J Neurovirol. 2004;10:414–7. doi: 10.1080/13550280490521050. [DOI] [PubMed] [Google Scholar]
- 7.Martins HM, Teixeira AL, Jr, Lana-Peixoto MA. Brazilian Committee for T Research in Multiple S. Acute hemorrhagic leukoencephalitis mimicking herpes simplex encephalitis: case report. Arq Neuropsiquiatr. 2004;62:139–43. doi: 10.1590/S0004-282X2004000100024. [DOI] [PubMed] [Google Scholar]
- 8.Lee HY, Chang KH, Kim JH, Na DG, Kwon BJ, Lee KW, et al. Serial MR imaging findings of acute hemorrhagic leukoencephalitis: a case report. AJNR Am J Neuroradiol. 2005;26:1996–9. [PMC free article] [PubMed] [Google Scholar]
- 9.de Seze J, Debouverie M, Zephir H, Lebrun C, Blanc F, Bourg V, et al. Acute fulminant demyelinating disease: a descriptive study of 60 patients. Arch Neurol. 2007;64:1426–32. doi: 10.1001/archneur.64.10.1426. [DOI] [PubMed] [Google Scholar]
- 10.Jayakrishnan MP, Krishnakumar P. Clinical profile of acute disseminated encephalomyelitis in children. J Pediatr Neurosci. 2010;5:111–4. doi: 10.4103/1817-1745.76098. [ PMC Free Article] [DOI] [PMC free article] [PubMed] [Google Scholar]
- 11.Leake JA, Billman GF, Nespeca MP, Duthie SE, Dory CE, Meltzer HS, et al. Pediatric acute hemorrhagic leukoencephalitis: report of a surviving patient and review. Clin Infect Dis. 2002;34:699–703. doi: 10.1086/338718. [DOI] [PubMed] [Google Scholar]
- 12.Meilof JF, Hijdra A, Vermeulen M. Successful recovery after high-dose intravenous methylprednisolone in acute hemorrhagic leukoencephalitis. J Neurol. 2001;248:898–9. doi: 10.1007/s004150170076. [DOI] [PubMed] [Google Scholar]
- 13.Ryan LJ, Bowman R, Zantek ND, Sherr G, Maxwell R, Clark HB, et al. Use of therapeutic plasma exchange in the management of acute hemorrhagic leukoencephalitis: a case report and review of the literature. Transfusion. 2007;47:981–6. doi: 10.1111/j.1537-2995.2007.01227.x. [DOI] [PubMed] [Google Scholar]
- 14.Sonneville R, Klein IF, Wolff M. Update on investigation and management of postinfectious encephalitis. Curr Opin Neurol. 2010;23:300–4. doi: 10.1097/WCO.0b013e32833925ec. [DOI] [PubMed] [Google Scholar]
- 15.Tenembaum S, Chitnis T, Ness J, Hahn JS, International Pediatric MSSG Acute disseminated encephalomyelitis. Neurology. 2007;68:S23–36. doi: 10.1212/01.wnl.0000259404.51352.7f. [DOI] [PubMed] [Google Scholar]
