Abstract
Fractures of the distal humerus in the adult comprise approximately one third of all humeral fractures. Successful management of distal humerus fractures depends on correct reduction of the fracture, reconstruction of the articular surface if needed, stability and rigidity of the fixation, and appropriate rehabilitation. In this review, we evaluated the available literature and highlighted current therapy concepts. We assessed the evolution of internal fixation and elbow arthroplasty focusing on the established surgical approaches against the background of a growing incidence of distal humeral fractures in an aging patient population. Therefore evaluating the aspect and influence of age-dependent comorbidities like osteoporosis on successful treatment.
Keywords: Distal humerus fracture, Parallel plating, Elbow arthroplasty, Surgical approaches, Osteoporosis
Introduction
Fractures of the distal humerus in the adult comprise 2 % of all fractures and approximately 30 % of all humeral fractures [1–3], with an incidence of 5.7/100000 per year, the fracture patterns being mainly distributed bimodally, differentiating between young male (high energy trauma) and elderly female patients (osteoporotic fractures) [4]. Thus, due to an increasingly older population and the continuing motorisation of the developing world, it is estimated that the incidence of fractures of the distal humerus will grow similar to the ones of the distal radius, hip, and spine [5–7].
Anatomically, the distal humerus has a triangular shape which is built of two columns and a “tie arch”[8]. The medial column holds at its distal end the nonarticular medial epicondyle with the insertion of the flexor muscles and the medial part of the humeral trochlea. The lateral column holds at its distal end the capitellum and more proximally the lateral epicondyle with the insertion of the extensor muscles (mobile wad). From a lateral perspective, the articular surface of the trochlea and capitellum is projected anteriorly at an angle of 40° to the axis of the humerus, the trochlear axis being externally rotated at an angle of 3°–8° and compared with the longitudinal axis being in 4° to 8° of valgus [3, 8, 9].
In correlation to the abovementioned bimodal distribution of age [4], mainly two fracture mechanisms can be distinguished: low-energy trauma of the elderly with direct impact on the elbow or indirect impact resulting from a fall on the outstretched hand and high energy trauma of the young patient resulting essentially from road traffic or sport accidents [8].
There are multiple established classification systems all being based primarily on the involvement of the medial and lateral column of the distal humerus and the presence of sagittal or coronal fracture patterns. Riseborough and Radin classified distal humerus fractures according to the state of the condylar fragments [10]. Lecestre et al. established a system defining supracondylar, extra-articular condylar, articular intercondylar, and comminuted fractures [11]. Jupiter based his classification on intraoperative observations, describing high T, low T, Y, H, medial, and lateral lambda fractures [3]. The Dubberley classification distinguishes between fracture types involving the capitellum and trochlea and comprises techniques for treatment [12]. Internationally, most commonly used is the AO classification, classically categorizing extra-articular, partial articular, and articular fractures. Further comminution and specific fracture patterns being defined by numbers 1–3 [13].
Surgical treatment being the gold standard, conservative treatment has been playing only a minor role in the management of fractures of the distal humerus [14]. Non operative treatment seems to be only advisable in cases of non-displaced fractures, in patients being assessed not fit for surgery, or as a temporary treatment in the elderly before arthroplasty to avoid stiffening and heterotopic ossification [15].
Surgical approaches to the distal humerus
Various surgical approaches to the distal humerus have been described over the past decades. Each fracture needs its appropriate exposure and in cases of intra-articular involvement the exposure of the articular surface. Olecranon osteotomy, the triceps-splitting, triceps-sparing, and triceps-lifting approaches being the most frequently performed approaches in the surgical treatment of distal humerus fractures [16–20], we will be giving an overview of the established approaches offering selected indications and an evaluation of the related published data.
Olecranon osteotomy
Olecranon osteotomy (Chevron osteotomy) is the traditional standard approach to the distal humerus and elbow joint [21]. A V-shaped olecranon osteotomy is performed, creating a wide exposure of the articular surface of the distal humerus making reduction and internal fixation of complex fractures feasible [22]. In literature, complication rates up to nearly 50 % have been highlighted. Zhang et al. showed in their study 14 out of 33 patients with osteotomy-related complications. In detail, one patient presented with non-union, two with delayed-union, and five with implant loosening. Six patients complained about prominent implants. Nine underwent a removal of the osteotomy fixation. Six cases needed a total implant removal for other reasons [23•].
Triceps-reflecting (elevating) approach (Bryan-Morrey)
Avoiding the abovementioned complications of the olecranon osteotomy, Bryan and Morrey established in 1982 the triceps-reflecting approach. The approach being basically posterior, the triceps mechanism is reflected from medial to lateral from the olecranon and the ulnar periosteum and in the end of the procedure is being resutured transosseously. This approach allows the surgeon a widespread view of the joint without olecranon osteotomy and is used for arthroplasty and internal fixation of intraarticular fractures [24].
Triceps-sparing approach
After a posterior midline incision, a window on the lateral side of the triceps is created by elevating it off the posterior border of the intermuscular septum and posterior humerus. The radial nerve is being identified and mobilized for its protection. Not detaching the triceps from its insertion, the view of the distal articular surface is relatively impaired. Indication is open reduction internal fixation (ORIF) in extra-articular or simple articular fractures [25].
Triceps-lifting approach
After posterior incision, the ulnar nerve is exposed, mobilized, and protected. The triceps muscle is detached and lifted in a “V” shape. Then, the muscle is split up to the condyles enabling the surgeon a wide view of the articular surface [22, 26]. This approach has been evaluated and established for intraarticular fractures (AO type B3 and C) [22].
Triceps-splitting approach
After a posterior median incision, an interval between the long and lateral heads of the triceps is established. The medial head comes into view and a split along its muscle fibres is performed. The split is prolonged over the olecranon subperiosteally, while preserving the connection between the flexor carpi ulnaris and anconeus muscle. This approach has been well-established in treatment of distal diaphyseal fractures and intraarticular fractures (AO type C) [27].
Triceps flexor carpi ulnaris approach
This approach is a modification of the triceps-reflecting approach. It involves reflection of the triceps periosteal portion off the ulna from lateral to medial incising the anconeus to develop the view to the distal humerus articular surface. Few data has been published about this approach. Deakin et al. reported about 12 patients with good clinical and radiological outcome. Due to the small number of cases, no significant benefits concerning protection of the ulnar nerve or recovery of the extensor mechanism could be shown compared to olecranon osteotomy. The approach has been described to be used for extra- and intra-articular fractures [28].
Approaches for partially articular fractures
For selected partial articular fractures of the distal humerus, the usage of minimal invasive approaches has proven itself sufficient for successful fracture reduction and fixation. For type B1 fractures a lateral approach has been shown to be feasible and safe, exposing the lateral epicondyle by developing the interval between the triceps, the brachioradialis, and the extensor carpi radialis longus. [29]. For AO type B2 fractures, after mobilization of the ulnar nerve and release of the medial intermuscular septum, the flexor carpi ulnaris and pronator teres are pulled anteriorly to display the joint capsule, thus enabling fracture reduction after incision of the capsule [30].
The decision which approach is suitable for the patient depends on the individual pattern of injury, the planned surgical intervention, the skills of the surgeon, and assessment of evidence-based data.
In Type B and C fractures (AO classification), olecranon osteotomy compared to the triceps-lifting approach (Campbell’s approach) showed better results in the Mayo elbow score, but showing no significant difference in the prevalence of joint stiffness, ulnar nerve paraesthesia, or refracture rate [22]. The benefits of olecranon osteotomy are primarily a wider exposure of the joint which makes it easier to restore the articular surface and to achieve anatomical reduction [31, 32]. On the other hand, several studies highlighted high complication rates, showing non-union of the osteotomy in up to 1–10 % of the cases [20, 21, 32]. These high rates of malunion could be shown to decrease by performing a “V”-shaped chevron osteotomy, enlarging the contact surface significantly [18, 19]. Further complications reported comprise prominent and painful implants in the olecranon possibly requiring later hardware removal [33]. Concerning the aftercare after ORIF several studies emphasized the disadvantage of immobilizing the elbow at 90° to permit healing of the extensor mechanism in the triceps-lifting approach [25, 34] and therefore postulate better functional outcome for the treatment with olecranon osteotomy [22].
Comparing the olecranon osteotomy to the triceps-sparing approach for the treatment of AO type C distal humerus fractures, the triceps-sparing approach in general showed a lower postoperative complication rate and shorter rehabilitation time [23•, 35] while maintaining the benefits of a wide exposure [36]. Nevertheless, Chen et al. could demonstrate a better functional outcome for the olecranon osteotomy in patients over 60 years and equal results in those less than 40 years [37]. Further findings of Zhang et al. showed advantages of the sparing approach in AO type C1 and C2 fractures but no significant difference in AO type C3 fractures in comparison to the osteotomy approach [23•].
Morrey and Bryan reported in their original study in 1982 a triceps-reflecting approach to allow wide exposure while preserving the triceps mechanism [24]. Originally the approach has been mainly used for arthroplasty. Iselin et al. demonstrated in 2014 its efficacy for ORIF in AO type A-C fractures, showing promising clinical and radiological results [38].
The decision between the Bryan-Morrey or the abovementioned triceps-sparing approach and an olecranon osteotomy is moreover dependant on the planned procedure. In arthroplasty, additional ipsilateral diaphyseal lesions or present implants in the olecranon, the triceps-sparing approaches have showed clinical and technical advantages [39].
Comparing the triceps-split approach to the standard olecranon osteotomy, Meija et al. showed in 2008 no significant difference in clinical outcome between the two approaches [40] backing results from McKee et al. who earlier demonstrated equal functional results in both groups with a loss of elbow extensor strength by approximately 25 % in both approaches [41].
In summary, successful management of distal humerus fractures depends on reconstruction of the articular surface, stability and rigidity of the fixation and rehabilitation [16, 20], making the right selection of surgical approach a most decisive factor for successful treatment [22]. The approach is suggested to be chosen according to the individual fracture pattern, the patient’s bone biology and planned procedure.
Plating options in distal humerus fractures
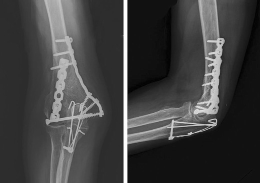
Open reduction and internal fixation has become the treatment of choice for fractures of the distal humerus [42–44]. Achieving rigid internal fixation and anatomical reconstruction is essential for allowing early ROM exercise, adequate bone healing, and avoiding future cartilage degeneration [45•]. Biomechanical studies could demonstrate the advantages of double plating over single plating in proximal and intraarticular fractures of the distal humerus, providing the necessary stability and rigidity [17, 46–48]. The standard fixation that has been used by most surgeons is double plating with the two plates perpendicular to each other [15, 45•, 49]. Nevertheless, cadaver studies described already in 1994 equivalent rigidity of plates placed parallel or perpendicular to each other (Figs. 1 and 2) [50]. Korner et al. compared the 90° offset method to plates that are being placed both dorsally in sawbone with superior outcome of the perpendicularly placed group [42]. Further biomechanical investigations that differentiated between fracture patterns with or without bone loss, suggest that in cases with a gap in between fragments, the 180° plate configuration shows the highest rigidity, followed by the perpendicular and a dorsal arrangement. On the other hand, no significant differences in rigidity between the three fixation configurations could be found in the case of no gap in between the bone fragments [51].
Fig. 1.

ORIF distal humerus, parallel plating
Fig. 2.

ORIF distal humerus, perpendicular plating. Both figures reprinted with permission from: SJ Shin et al. [52]
In clinical investigations, Shin et al. indicated an increase of non-union in the perpendicular plating group but no significant difference concerning the clinical outcome to the parallel plating group [52] whereas Lee at al. highlighted no statistically significant differences concerning the clinical outcome and union time between the two groups [45•]. It has still to be elucidated to which extent specific fracture patterns of the distal humerus could be correlated to one plating method. Perpendicular plating might be desirable for coronal shear fractures gaining additional stability in the coronal plane, whereas parallel plating might be preferred in fractures of the most distal part of the humerus giving the opportunity for additional distal screw fixation [45•].
Total elbow arthroplasty and hemiarthroplasty of the elbow
The introduction of locking compression plates improved the outcome of internal fixation in distal humerus fractures significantly, especially in patients with minor bone quality [53]. Nevertheless, in the elderly patient an increasing risk of failure of osteosynthesis like loss of reduction, non-union and screw cut out is still expected [54] and reconstruction and fixation of comminuted fractures remain to be highly challenging with high rates of complications [55].
In the early 1980s, total elbow arthroplasty (TEA) has been established successfully as a therapy option for patients suffering primarily from non-union after open reduction internal fixation (ORIF) and post-traumatic osteoarthritis. In the following decades, the indication for TEA has widened. In addition to the abovementioned well-established indications, the acute fracture setting of the elderly has become increasingly relevant. Due to a growing number of older patients suffering from comorbidities like osteoporosis and rheumatoid arthritis, TEA has been supposed as an alternative treatment option for unreconstructable fractures [56]. Clinical trials have been conducted comparing ORIF to TEA in an acute fracture setting (type C fractures). Frankle et al. highlighted TEA to be superior to ORIF in women older than 65 suffering from osteoporosis and rheumatoid arthritis in a follow-up of 45 months [57].
McKee et al. could show in patients older than 65 years in a follow-up of 24 months a better clinical outcome (MEPS) in the TEA group compared to the ORIF group. Thus, TEA has been suggested to be a viable option for the treatment of unreconstructable articular fractures of the distal humerus in the elderly patient suffering from osteoporosis or rheumatoid arthritis who can tolerate the obligatory postoperative lifelong loading limitation [55, 57].
Avoiding the obstacles of TEA and complications of ORIF, distal humeral hemiarthroplasty has been described as an alternative potentially successful treatment option [58]. Short- and long-term results have been published with promising clinical outcome [58, 59].
Nonetheless, ORIF is still considered the gold standard for the treatment of fractures of the distal humerus [42–44]. Especially younger patients cannot tolerate the functional restriction, bone loss, and polyethylene wear associated with TEA, and to a lesser extent with hemiarthroplasty. Thus, arthroplasty remains a promising therapy option in an acute fracture setting only for a highly selected patient population.
Osteoporosis in treatment of distal humerus fractures
Fractures in elderly patients in general are a challenge for the orthopaedic surgeon. Distal humerus fractures in patients over 65 years are more likely the result of low-energy trauma [60], treatment options being open reduction internal fixation, total arthroplasty, and conservative treatment. The primary objective of every therapy should be fracture union to preserve a painless and sufficient performing elbow in basic daily life activity [61].
Specific complications of distal humerus fractures in patients over 65 were summarized and discussed by Obert et al. in 2012. Literature analysis showed a complication rate of up to 31 % for internal fixation and 19 % for arthroplasty. The most frequent complications contain nerval and bone structures, infections, and type 1 complex regional pain syndrome. Conservative treatment even showed a complication rate of up to 60 % (Table 1) [61].
Table 1.
Complications of treatment options in osteoporotic distal humerus fractures. SH Rose et al. [1]
| TT | Conservative | Internal fixation | Arthroplasty |
|---|---|---|---|
| n = 56 (%) | n = 342 (%) | n = 99 (%) | |
| Nervous | 0 | 11 | 8 |
| Bone | 60 | 25 | 18 |
| Fracture per op | 6 | ||
| Displacement | |||
| Malunion | 70–80 | 50 | |
| Non-union | 10.5 | 8 | |
| Mechanical failure | 12 | ||
| Ossification | 64 | 20 | 30 |
| Local | 12 | 20 | 7 |
| Hematoma | |||
| Dehiscence | 10 | ||
| Infections | 0 | 4 | 1 |
| CRPS 1 | 1 | 3 | 2 |
| Arthritis/revision | 5–25 | 12 | 9 |
| Loosening | 2 |
Italics concern the results of the seven most frequent complications
TT treatment
Reprinted with permission from: [61]
Coping with these high rates of complications, the release and anterior mobilization of the ulnar nerve (Bryan-Morrey approach), have shown to significantly lower the rate of iatrogenic ulna nerve palsy [61].
Osteopenic bone represents the major challenge of fractures in elderly patients and therefore adjusted treatment strategies are required [15]. To prevent complications, preoperative planning and additional diagnostic is mandatory to avoid failure of internal fixation, bone quality, and the extent of the injury being obligatorily defined by CT Scans [61]. Nevertheless, failure of internal fixation appears in up to 7–27 % of the patients [57, 62, 63]. The main reason of failure of internal fixation is bone defect [64]. This is due to a linear correlation between bone mineral density and holding power of screws [15]. Accordingly, modification in surgical techniques like minimal invasive exposure and indirect reduction and the use of locking plates have shown biomechanical superiority and improved clinical outcome [15]. Intraoperative determination of local bone quality to identify mechanical peak torque to decrease screw failure rate might proof itself as a successful tool in distal humerus fracture treatment. Hoppe et al. have already demonstrated 2015 promising results in the use of the DensiProbe© (AO Research Institute) in hip-, hind foot-, and spine surgery [65].
Egol et al. found for the treatment of intra-articular distal humerus fractures in osteoporotic bone equal results in MEPS and DASH (Disability of the Arm, Shoulder, and Hand) for ORIF and arthroplasty [66]. But, failure after ORIF is not uncommon and arthroplasty should be evaluated preoperatively or be available during surgery. Prasad et al. analysed 15 patients with primary total elbow arthroplasty (TEA) in patients with acute fracture versus 17 cases with secondary TEA after ORIF. After primary TEA, Mayo elbow performance score (MEPS) results have been documented to be 84 % compared to 79 % in secondary TEA [67]. Other studies demonstrated postoperative mechanical failure of TEA in 3–9 % of patients with acute fracture [61, 68, 69]. As mentioned above, TEA seems to have been showing promising results for complex fracture treatment in the elderly patient suffering from osteoporosis [70].
Conservative treatment is today a rarely considered option in treating distal humerus fractures. It is reserved for not displaced fractures or frail and low-demanding patients. Aitken et al. demonstrated a selection of 40 cases. Short-term results showed 42 points in the Broberg and Morrey score 6 weeks after trauma, and 67 points after 3 months. In long-term follow-ups after 4 years, the mean DASH score in the surviving patients (n = 20) was 38 and 95 % had a basic functional flexion of the elbow (mouth to gluteus). Non-union rate 1 year after injury has been reported to be as high as 47 % [71]. Therefore, conservative treatment can be seen as an option only for low-demanding patients and patients for whom surgery cannot be considered due to severe comorbidities.
Due to the increasing incidence of distal humerus fractures in the elderly, systemic antiosteoporotic treatment has become an integral part of fracture treatment in older patients. Little has been published about fracture healing in correlation to systemic antiosteoporotic medication [72]. Ng Aj et al. could not demonstrate a significant change in non- or malunion rates in upper limb fractures with bisphosphonate medication [73]. Further studies will have to continue to elucidate the correlation between bone healing and systemic antiosteoporotic medication. An outlook for future treatment of fractures in osteoporotic bone might include in addition to the abovementioned pharmaceutical antiosteoporotic approaches strategies of tissue engineering and biological scaffolding [74•].
Conclusion
Fractures of the distal humerus in the adult comprise 2 % of all fractures [4].
Open reduction internal fixation still being considered the gold standard for treatment of distal humerus fractures, parallel and perpendicular plating have been showing similar clinical results. Total elbow arthroplasty has proven itself to be an adequate option for treatment in older patients especially when suffering from low bone density. More recently established less invasive approaches to the elbow joint like the triceps-reflecting and triceps-sparing approach have successfully challenged the traditional olecranon osteotomy with low complication rates and good overview of the articular surface.
Evaluation of literature showed high complication rates for internal fixation in patients with osteoporosis highlighting the need of supplemental systemic antiosteoporotic treatment. Future studies will have to further evaluate the correlation between the bone healing process and such treatment.
Compliance with Ethical Standards
Conflict of Interest
Amir Steinitz and Jannis Sailer declare that they have no conflict of interest. Daniel Rikli reports grants from the AO Foundation and personal fees from DePuySynthes. He is also a consultant for DePuySynthes.
Human and Animal Rights and Informed Consent
This article does not contain any studies with human or animal subjects performed by any of the authors.
Footnotes
Steinitz Amir and Sailer Jannis contributed equally to this work.
This article is part of the Topical Collection on Elbow Soft Tissue Surgery
References
Papers of particular interest, published recently, have been highlighted as: • Of importance
- 1.Rose SH, Melton LJ, Morrey BF, Ilstrup DM, Riggs BL. Epidemiologic features of humeral fractures. Clin Orthop Relat Res. 1982;168:24–30. [PubMed] [Google Scholar]
- 2.Anglen J. Distal humerus fractures. J Am Acad Orthop Surg. 2005;13(5):291–7. doi: 10.5435/00124635-200509000-00001. [DOI] [PubMed] [Google Scholar]
- 3.Jupiter JB, Mehne DK. Fractures of the distal humerus. Orthopedics. 1992;15(7):825–33. doi: 10.3928/0147-7447-19920701-07. [DOI] [PubMed] [Google Scholar]
- 4.Robinson CM, Hill RMF, Jacobs N, Dall G, Court-Brown CM. Adult distal humeral metaphyseal fractures: epidemiology and results of treatment. J Orthop Trauma. 2003;17(1):38–47. doi: 10.1097/00005131-200301000-00006. [DOI] [PubMed] [Google Scholar]
- 5.Palvanen M, Niemi S, Parkkari J, Kannus P. Osteoporotic fractures of the distal humerus in elderly women. Ann Intern Med. 2003;139(3):W61. doi: 10.7326/0003-4819-139-3-200308050-00021-w2. [DOI] [PubMed] [Google Scholar]
- 6.Palvanen M, Kannus P, Niemi S, Parkkari J. Secular trends in the osteoporotic fractures of the distal humerus in elderly women. Eur J Epidemiol. 1998;14(2):159–64. doi: 10.1023/A:1007496318884. [DOI] [PubMed] [Google Scholar]
- 7.Kannus P, Niemi S, Parkkari J, Palvanen M, Heinonen A, Sievänen H, et al. Why is the age-standardized incidence of low-trauma fractures rising in many elderly populations? J Bone Miner Res. 2002;17(8):1363–7. doi: 10.1359/jbmr.2002.17.8.1363. [DOI] [PubMed] [Google Scholar]
- 8.Egol K, Koval K, Zuckerman J. Handbook of fractures. Philadelphia: Lippincott Williams & Wilkins; 2010. [Google Scholar]
- 9.Bucholz R. Rockwood and Green’s fractures in adults. Philadelphia: Lippincott Williams & Wilkins; 2006. [Google Scholar]
- 10.Bryan R. Fractures about the elbow in adults. Instr Course Lect. 1981;30:200–23. [PubMed] [Google Scholar]
- 11.Lecestre P, Dupont J. “[Severe fractures of the lower end of the humerus in adults (author’s transl)] Rev Chir Orthop Reparatrice Appar Mot. 1978;65(1):11–23. [PubMed] [Google Scholar]
- 12.Dubberley JH, Faber KJ, Macdermid JC, Patterson SD, King GJW. Outcome after open reduction and internal fixation of capitellar and trochlear fractures. J Bone Joint Surg Am. 2006;88(1):46–54. doi: 10.2106/JBJS.D.02954. [DOI] [PubMed] [Google Scholar]
- 13.Muller M, Nazarian J, Koch P. Fracture and dislocation compendium. Orthopaedic Trauma Association Committee for Coding and Classification. J Orthop Trauma. 1996;10. [PubMed]
- 14.Wang Y, Zhuo Q, Tang P, Yang W. Cochrane database of systematic reviews. Chichester: Wiley; 1996. [Google Scholar]
- 15.Hausman M, Panozzo A. Treatment of distal humerus fractures in the elderly. Clin Orthop Relat Res. 2004;425:55–63. doi: 10.1097/01.blo.0000131485.47685.8c. [DOI] [PubMed] [Google Scholar]
- 16.Gupta R, Khanchandani P. Intercondylar fractures of the distal humerus in adults: a critical analysis of 55 cases. Injury. 2002;33(6):511–5. doi: 10.1016/S0020-1383(02)00009-8. [DOI] [PubMed] [Google Scholar]
- 17.Holdsworth BJ, Mossad MM. Fractures of the adult distal humerus. Elbow function after internal fixation. J Bone Joint Surg (Br) 1990;72(3):362–5. doi: 10.1302/0301-620X.72B3.2341427. [DOI] [PubMed] [Google Scholar]
- 18.Jupiter JB, Neff U, Holzach P, Allgöwer M. Intercondylar fractures of the humerus. An operative approach. J Bone Joint Surg Am. 1985;67(2):226–39. [PubMed] [Google Scholar]
- 19.Jupiter J, Morre B. Fractures of the distal humerus in the adult. 2. Philadelphia: WB; 1993. [Google Scholar]
- 20.Ring D, Jupiter JB. Complex fractures of the distal humerus and their complications. J Shoulder Elbow Surg. 1999;8(1):85–97. doi: 10.1016/S1058-2746(99)90063-0. [DOI] [PubMed] [Google Scholar]
- 21.Ring D, Gulotta L, Chin K, Jupiter JB. Olecranon osteotomy for exposure of fractures and nonunions of the distal humerus. J Orthop Trauma. 2004;18(7):446–9. doi: 10.1097/00005131-200408000-00010. [DOI] [PubMed] [Google Scholar]
- 22.Elmadag M, Erdil M, Bilsel K. The olecranon osteotomy provides better outcome than the triceps-lifting approach for the treatment of distal humerus fractures. Eur J Orthop Surg Traumatol. 2014;24(1):43–50. doi: 10.1007/s00590-012-1149-y. [DOI] [PubMed] [Google Scholar]
- 23.•.Zhang C, Zhong B. Comparing approaches to expose type C fractures of the distal humerus for ORIF in elderly patients : six years clinical experience with both the triceps-sparing approach and olecranon osteotomy. Arch Orthop Trauma Surg. 2014;134(6):803–11. doi: 10.1007/s00402-014-1983-y. [DOI] [PubMed] [Google Scholar]
- 24.Bryan RS, Morrey BF. Extensive posterior exposure of the elbow. A triceps-sparing approach. Clin Orthop Relat Res. 1982;166:188–92. [PubMed] [Google Scholar]
- 25.Schildhauer TA, Nork SE, Mills WJ, Henley MB. Extensor mechanism-sparing paratricipital posterior approach to the distal humerus. J Orthop Trauma. 2003;17(5):374–8. doi: 10.1097/00005131-200305000-00009. [DOI] [PubMed] [Google Scholar]
- 26.Campbell WC. Arthroplasty of the elbow. Ann Surg. 1922;76(5):615–23. doi: 10.1097/00000658-192211000-00006. [DOI] [PMC free article] [PubMed] [Google Scholar]
- 27.Ziran BH, Smith WR, Balk ML, Manning CM, Agudelo JF. A true triceps-splitting approach for treatment of distal humerus fractures: a preliminary report. J Trauma. 2005;58(1):70–5. doi: 10.1097/01.TA.0000145079.76335.DD. [DOI] [PubMed] [Google Scholar]
- 28.Deakin DE, Deshmukh SC. The triceps-flexor carpi ulnaris (TRIFCU) approach to the elbow. Ann R Coll Surg Engl. 2010;92(3):240–2. doi: 10.1308/003588410X12628812458536. [DOI] [PMC free article] [PubMed] [Google Scholar]
- 29.“Distal humerus - Indication - B1 - AO Surgery Reference.” [Online]. Available: https://www2.aofoundation.org
- 30.“Distal humerus - Approach - Medial approach - B2.1 - AO Surgery Reference.” [Online]. Available: https://www2.aofoundation.org
- 31.Archdeacon MT. Combined olecranon osteotomy and posterior triceps splitting approach for complex fractures of the distal humerus. J Orthop Trauma. 2003;17(5):368–73. doi: 10.1097/00005131-200305000-00008. [DOI] [PubMed] [Google Scholar]
- 32.Cheung EV, Steinmann SP. Surgical approaches to the elbow. J Am Acad Orthop Surg. 2009;17(5):325–33. doi: 10.5435/00124635-200905000-00007. [DOI] [PubMed] [Google Scholar]
- 33.Huang TL, Chiu FY, Chuang TY, Chen TH. The results of open reduction and internal fixation in elderly patients with severe fractures of the distal humerus: a critical analysis of the results. J Trauma. 2005;58(1):62–9. doi: 10.1097/01.TA.0000154058.20429.9C. [DOI] [PubMed] [Google Scholar]
- 34.Ek ETH, Goldwasser M, Bonomo AL. Functional outcome of complex intercondylar fractures of the distal humerus treated through a triceps-sparing approach. J Shoulder Elbow Surg. 2008;17(3):441–6. doi: 10.1016/j.jse.2007.08.012. [DOI] [PubMed] [Google Scholar]
- 35.Erpelding JM, Mailander A, High R, Mormino MA, Fehringer EV. Outcomes following distal humeral fracture fixation with an extensor mechanism-on approach. J Bone Joint Surg Am. 2012;94(6):548–53. doi: 10.2106/JBJS.J.01785. [DOI] [PubMed] [Google Scholar]
- 36.Aktekin CN, Toprak A, Ozturk AM, Altay M, Ozkurt B, Tabak AY. Open reduction via posterior triceps sparing approach in comparison with closed treatment of posteromedial displaced Gartland type III supracondylar humerus fractures. J Pediatr Orthop B. 2008;17(4):171–8. doi: 10.1097/BPB.0b013e3283046530. [DOI] [PubMed] [Google Scholar]
- 37.Chen G, Liao Q, Luo W, Li K, Zhao Y, Zhong D. Triceps-sparing versus olecranon osteotomy for ORIF: analysis of 67 cases of intercondylar fractures of the distal humerus. Injury. 2011;42(4):366–70. doi: 10.1016/j.injury.2010.09.004. [DOI] [PubMed] [Google Scholar]
- 38.Iselin LD, Mett T, Babst R, Jakob M, Rikli D. The triceps reflecting approach (Bryan-Morrey) for distal humerus fracture osteosynthesis. BMC Musculoskelet Disord. 2014;15:406. doi: 10.1186/1471-2474-15-406. [DOI] [PMC free article] [PubMed] [Google Scholar]
- 39.Fernández-Valencia JA, Muñoz-Mahamud E, Ballesteros JR, Prat S. Treatment of AO Type C fractures of the distal part of the humerus through the Bryan-Morrey triceps-sparing approach. ISRN Orthop. 2013;2013:525326. doi: 10.1155/2013/525326. [DOI] [PMC free article] [PubMed] [Google Scholar]
- 40.Mejía Silva D, Morales de los Santos R, Ciénega Ramos MA, González Pérez C. [Functional results of two different surgical approaches in patients with distal humerus fractures type C (AO)] Acta ortopédica Mex. 2008;22(1):26–30. [PubMed] [Google Scholar]
- 41.McKee MD, Wilson TL, Winston L, Schemitsch EH, Richards RR. Functional outcome following surgical treatment of intra-articular distal humeral fractures through a posterior approach. J Bone Joint Surg Am. 2000;82-A(12):1701–7. doi: 10.2106/00004623-200012000-00003. [DOI] [PubMed] [Google Scholar]
- 42.Korner J, Diederichs G, Arzdorf M, Lill H, Josten C, Schneider E, et al. A biomechanical evaluation of methods of distal humerus fracture fixation using locking compression plates versus conventional reconstruction plates. J Orthop Trauma. 2004;18(5):286–93. doi: 10.1097/00005131-200405000-00004. [DOI] [PubMed] [Google Scholar]
- 43.Kinzl L, Fleischmann W. The treatment of distal upper arm fractures. Unfallchirurg. 1991;94(9):455–60. [PubMed] [Google Scholar]
- 44.Pajarinen J, Björkenheim JM. Operative treatment of type C intercondylar fractures of the distal humerus: results after a mean follow-up of 2 years in a series of 18 patients. J Shoulder Elb Surg. 2002;11(1):48–52. doi: 10.1067/mse.2002.119390. [DOI] [PubMed] [Google Scholar]
- 45.•.Lee SK, Kim KJ, Park KH, Choy WS. A comparison between orthogonal and parallel plating methods for distal humerus fractures: a prospective randomized trial. Eur J Orthop Surg Traumatol. 2013;24(7):1123–31. doi: 10.1007/s00590-013-1286-y. [DOI] [PubMed] [Google Scholar]
- 46.Jacobson SR, Glisson RR, Urbaniak JR. Comparison of distal humerus fracture fixation: a biomechanical study. J South Orthop Assoc. 1997;6(4):241–9. [PubMed] [Google Scholar]
- 47.Self J, Viegas SF, Buford WL, Patterson RM. A comparison of double-plate fixation methods for complex distal humerus fractures. J Shoulder Elbow Surg. 2005;4(1 Pt 1):10–6. doi: 10.1016/s1058-2746(10)80002-3. [DOI] [PubMed] [Google Scholar]
- 48.Scolaro JA, Hsu JE, Svach DJ, Mehta S. Plate selection for fixation of extra-articular distal humerus fractures: A biomechanical comparison of three different implants. Injury. 2014;45(12):2040–4. doi: 10.1016/j.injury.2014.08.036. [DOI] [PubMed] [Google Scholar]
- 49.Helfet DL, Hotchkiss RN. Internal fixation of the distal humerus: a biomechanical comparison of methods. J Orthop Trauma. 1990;4(3):260–4. doi: 10.1097/00005131-199004030-00004. [DOI] [PubMed] [Google Scholar]
- 50.Schemitsch EH, Tencer AF, Henley MB. Biomechanical evaluation of methods of internal fixation of the distal humerus. J Orthop Trauma. 1994;8(6):468–75. doi: 10.1097/00005131-199412000-00003. [DOI] [PubMed] [Google Scholar]
- 51.Bogataj M, Kosel F, Norris R, Krkovic M, Brojan M. Biomechanical study of different plate configurations for distal humerus osteosynthesis. Med Biol Eng Comput. 2015;53(5):381–92. doi: 10.1007/s11517-015-1247-1. [DOI] [PubMed] [Google Scholar]
- 52.Shin SJ, Sohn HS, Do NH. A clinical comparison of two different double plating methods for intraarticular distal humerus fractures. J Shoulder Elb Surg. 2010;19(1):2–9. doi: 10.1016/j.jse.2009.05.003. [DOI] [PubMed] [Google Scholar]
- 53.Schuster I, Korner J, Arzdorf M, Schwieger K, Diederichs G, Linke B. Mechanical comparison in cadaver specimens of three different 90-degree double-plate osteosyntheses for simulated C2-type distal humerus fractures with varying bone densities. J Orthop Trauma. 2008;22(2):113–20. doi: 10.1097/BOT.0b013e3181632cf8. [DOI] [PubMed] [Google Scholar]
- 54.Korner J, Lill H, Müller LP, Rommens PM, Schneider E, Linke B. The LCP-concept in the operative treatment of distal humerus fractures—biological, biomechanical and surgical aspects. Injury. 2003;34(Suppl 2):B20–30. doi: 10.1016/j.injury.2003.09.022. [DOI] [PubMed] [Google Scholar]
- 55.Ellwein A, Lill H, Voigt C, Wirtz P, Jensen G, Katthagen JC. Arthroplasty compared to internal fixation by locking plate osteosynthesis in comminuted fractures of the distal humerus. Int Orthop. 2015;39(4):747–54. doi: 10.1007/s00264-014-2635-0. [DOI] [PubMed] [Google Scholar]
- 56.Mansat P, Bonnevialle N, Rongières M, Bonnevialle P. The role of total elbow arthroplasty in traumatology. Orthop Traumatol Surg Res. 2014;100(6):S293–8. doi: 10.1016/j.otsr.2014.06.008. [DOI] [PubMed] [Google Scholar]
- 57.Frankle MA, Herscovici D, DiPasquale TG, Vasey MB, Sanders RW. A comparison of open reduction and internal fixation and primary total elbow arthroplasty in the treatment of intraarticular distal humerus fractures in women older than age 65. J Orthop Trauma. 2003;17(7):473–80. doi: 10.1097/00005131-200308000-00001. [DOI] [PubMed] [Google Scholar]
- 58.Smith GCS, Hughes JS. Unreconstructable acute distal humeral fractures and their sequelae treated with distal humeral hemiarthroplasty: a two-year to eleven-year follow-up. J Shoulder Elb Surg. 2013;22(12):1710–23. doi: 10.1016/j.jse.2013.06.012. [DOI] [PubMed] [Google Scholar]
- 59.Burkhart KJ, Nijs S, Mattyasovszky SG, Wouters R, Gruszka D, Nowak TE, et al. Distal humerus hemiarthroplasty of the elbow for comminuted distal humeral fractures in the elderly patient. J Trauma Inj Infect Crit Care. 2011;71(3):635–42. doi: 10.1097/TA.0b013e318216936e. [DOI] [PubMed] [Google Scholar]
- 60.Jupiter JB, Goodman LJ. The management of complex distal humerus nonunion in the elderly by elbow capsulectomy, triple plating, and ulnar nerve neurolysis. J Shoulder Elbow Surg. 1992;1(1):37–46. doi: 10.1016/S1058-2746(09)80015-3. [DOI] [PubMed] [Google Scholar]
- 61.Obert L, Ferrier M, Jacquot A, Mansat P, Sirveaux F, Clavert P, et al. Distal humerus fractures in patients over 65: complications. Orthop Traumatol Surg Res. 2013;99(8):909–13. doi: 10.1016/j.otsr.2013.10.002. [DOI] [PubMed] [Google Scholar]
- 62.Pereles TR, Koval KJ, Gallagher M, Rosen H. Open reduction and internal fixation of the distal humerus: functional outcome in the elderly. J Trauma. 1997;43(4):578–84. doi: 10.1097/00005373-199710000-00003. [DOI] [PubMed] [Google Scholar]
- 63.Kaiser T, Brunner A, Hohendorff B, Ulmar B, Babst R. Treatment of supra- and intra-articular fractures of the distal humerus with the LCP Distal Humerus Plate: a 2-year follow-up. J Shoulder Elbow Surg. 2011;20(2):206–12. doi: 10.1016/j.jse.2010.06.010. [DOI] [PubMed] [Google Scholar]
- 64.Helfet DL, Hotchkiss RN. Internal fixation of the distal humerus: a biomechanical comparison of methods. J Orthop Trauma. 1990;4(3):260–4. doi: 10.1097/00005131-199004030-00004. [DOI] [PubMed] [Google Scholar]
- 65.Hoppe S, Uhlmann M, Schwyn R, Suhm N, Benneker LM. Intraoperative mechanical measurement of bone quality with the DensiProbe. J Clin Densitom. 2015;18(1):109–16. doi: 10.1016/j.jocd.2014.06.002. [DOI] [PubMed] [Google Scholar]
- 66.Egol KA, Tsai P, Vazques O, Tejwani NC. Comparison of functional outcomes of total elbow arthroplasty vs plate fixation for distal humerus fractures in osteoporotic elbows. Am J Orthop (Belle Mead NJ) 2011;40(2):67–71. [PubMed] [Google Scholar]
- 67.Prasad N, Dent C. Outcome of total elbow replacement for distal humeral fractures in the elderly: a comparison of primary surgery and surgery after failed internal fixation or conservative treatment. J Bone Joint Surg (Br) 2008;90(3):343–8. doi: 10.1302/0301-620X.90B3.18971. [DOI] [PubMed] [Google Scholar]
- 68.Cobb TK, Morrey BF. Total elbow arthroplasty as primary treatment for distal humeral fractures in elderly patients. J Bone Joint Surg Am. 1997;79(6):826–32. doi: 10.2106/00004623-199706000-00004. [DOI] [PubMed] [Google Scholar]
- 69.Chalidis B, Dimitriou C, Papadopoulos P, Petsatodis G, Giannoudis PV. Total elbow arthroplasty for the treatment of insufficient distal humeral fractures. A retrospective clinical study and review of the literature. Injury. 2009;40(6):582–90. doi: 10.1016/j.injury.2009.01.123. [DOI] [PubMed] [Google Scholar]
- 70.McKee MD, Veillette CJH, Hall JA, Schemitsch EH, Wild LM, McCormack R, et al. A multicenter, prospective, randomized, controlled trial of open reduction--internal fixation versus total elbow arthroplasty for displaced intra-articular distal humeral fractures in elderly patients. J Shoulder Elbow Surg. 2009;18(1):3–12. doi: 10.1016/j.jse.2008.06.005. [DOI] [PubMed] [Google Scholar]
- 71.Aitken SA, Jenkins PJ, Rymaszewski L. Revisiting the ‘bag of bones’: functional outcome after the conservative management of a fracture of the distal humerus. Bone Joint J. 2015;97-B(8):1132–8. doi: 10.1302/0301-620X.97B8.35410. [DOI] [PubMed] [Google Scholar]
- 72.Maraka S, Kennel KA. Bisphosphonates for the prevention and treatment of osteoporosis. BMJ. 2015;351:h3783. doi: 10.1136/bmj.h3783. [DOI] [PubMed] [Google Scholar]
- 73.Ng AJH, Yue B, Joseph S, Richardson M. Delayed/non-union of upper limb fractures with bisphosphonates: systematic review and recommendations. ANZ J Surg. 2014;84(4):218–24. doi: 10.1111/ans.12536. [DOI] [PubMed] [Google Scholar]
- 74.•.Watson JT, Nicolaou DA. Orthobiologics in the Augmentation of Osteoporotic Fractures. Curr Osteoporos Rep. 2014;13(1):22–9. doi: 10.1007/s11914-014-0249-5. [DOI] [PubMed] [Google Scholar]
