Abstract
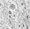
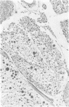
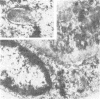
A case of systemic lupus erythematosus is described which clinically resembled multiple sclerosis and in which the lesions were restricted to the central nervous system. The necropsy findings of vascular thickening and necrosis in the spinal cord and in a posterior nerve root explain the main clinical abnormalities. Clinical signs of the terminal peritonitis secondary to cholecystitis were absent or minimised probably because of the steroid therapy and spinal cord necrosis. Primary demyelination was not demonstrated though electronmicroscopy revealed lattice fibrillar inclusions within a few myelin sheaths. An unusual ultrastructural feature was the finding of "rod-shaped tubular bodies" in large numbers in the endothelial cells of cerebral blood vessels. The incidence and morphology of these organelles are compared with those of the intracisternal tubuloreticular structures (TRS) commonly found in systemic lupus erythematosus.
Full text
PDF









Images in this article
Selected References
These references are in PubMed. This may not be the complete list of references from this article.
- April R. S., Vansonnenberg E. A case of neuromyelitis optica (Devic's syndrome) in systemic lupus erythematosus. Clinicopathologic report and review of the literature. Neurology. 1976 Nov;26(11):1066–1070. doi: 10.1212/wnl.26.11.1066. [DOI] [PubMed] [Google Scholar]
- BAILEY A. A., SAYRE G. P., CLARK E. C. Neuritis associated with systemic lupus erythematosus; a report of five cases, with necropsy in two. AMA Arch Neurol Psychiatry. 1956 Mar;75(3):251–259. doi: 10.1001/archneurpsyc.1956.02330210031003. [DOI] [PubMed] [Google Scholar]
- Bariéty J., Richer D., Appay M. D., Grossetete J., Callard P. Frequency of intraendothelial 'virus-like' particles: an electron microscopy study of 376 human renal biopsies. J Clin Pathol. 1973 Jan;26(1):21–24. doi: 10.1136/jcp.26.1.21. [DOI] [PMC free article] [PubMed] [Google Scholar]
- Bertini F., Santolaya R. A novel type of granules observed in toad endothelial cells and their relationship with blood pressure active factors. Experientia. 1970 May 15;26(5):522–523. doi: 10.1007/BF01898486. [DOI] [PubMed] [Google Scholar]
- Cavanagh J. B., Blakemore W. F., Kyu M. H. Fibrillary accumulations in oligodendrogial processes of rats subjected to protocaval anastomosis. J Neurol Sci. 1971 Oct;14(2):143–152. doi: 10.1016/0022-510x(71)90083-9. [DOI] [PubMed] [Google Scholar]
- Cragg B. G. Ultrastructural features of human cerebral cortex. J Anat. 1976 Apr;121(Pt 2):331–362. [PMC free article] [PubMed] [Google Scholar]
- Feldman M. L., Peters A. Intranuclear rods and sheets in rat cochlear nucleus. J Neurocytol. 1972 Sep;1(2):109–127. doi: 10.1007/BF01099179. [DOI] [PubMed] [Google Scholar]
- Feng P. H., Cheah P. S., Lee Y. K. Mortality in systemic lupus erythematosus: a 10-year review. Br Med J. 1973 Dec 29;4(5895):772–774. doi: 10.1136/bmj.4.5895.772. [DOI] [PMC free article] [PubMed] [Google Scholar]
- Fulford K. W., Catterall R. D., Delhanty J. J., Doniach D., Kremer M. A collagen disorder of the nervous system presenting as multiple sclerosis. Brain. 1972;95(2):373–386. doi: 10.1093/brain/95.2.373. [DOI] [PubMed] [Google Scholar]
- Gessaga E. C., Anzil A. P. Rod-shaped filamentous inclusions and other ultrastructural features in a cerebellar astrocytoma. Acta Neuropathol. 1975 Dec 8;33(2):119–127. doi: 10.1007/BF00687538. [DOI] [PubMed] [Google Scholar]
- Gibson P. H., Tomlinson B. E. Numbers of Hirano bodies in the hippocampus of normal and demented people with Alzheimer's disease. J Neurol Sci. 1977 Aug;33(1-2):199–206. doi: 10.1016/0022-510x(77)90193-9. [DOI] [PubMed] [Google Scholar]
- Helder A. W., Feltkamp-Vroom T. M. Tubuloreticular structures and antinuclear antibodies in autoimmune and non-autoimmune diseases. J Pathol. 1976 May;119(1):49–56. doi: 10.1002/path.1711190108. [DOI] [PubMed] [Google Scholar]
- Herrlinger H., Anzil A. P., Blinzinger K., Kronski D. Endothelial microtubular bodies in human brain capillaries and venules. J Anat. 1974 Nov;118(Pt 2):205–209. [PMC free article] [PubMed] [Google Scholar]
- Hirano A. A possible mechanism of demyelination of the Syrian hamster with hindleg paralysis. Lab Invest. 1978 Feb;38(2):115–121. [PubMed] [Google Scholar]
- Hirano A., Dembitzer H. M., Kurland L. T., Zimmerman H. M. The fine structure of some intraganglionic alterations. Neurofibrillary tangles, granulovacuolar bodies and "rod-like" structures as seen in Guam amyotrophic lateral sclerosis and parkinsonism-dementia complex. J Neuropathol Exp Neurol. 1968 Apr;27(2):167–182. [PubMed] [Google Scholar]
- Holmes F. F., Stubbs D. W., Larsen W. E. Systemic lupus erythematosus and multiple sclerosis in identical twins. Arch Intern Med. 1967 Mar;119(3):302–304. [PubMed] [Google Scholar]
- Kawamura J., Kamijyo Y., Sunaga T., Nelson E. Tubular bodies in vascular endothelium of a cerebellar neoplasm. Lab Invest. 1974 Mar;30(3):358–365. [PubMed] [Google Scholar]
- Norton W. L. Comparison of the microangiopathy of systemic lupus erythematosus, dermatomyositis, scleroderma, and diabetes mellitus. Lab Invest. 1970 Apr;22(4):301–308. [PubMed] [Google Scholar]
- Norton W. L. Endothelial inclusions in active lesions of systemic lupus erythematosus. J Lab Clin Med. 1969 Sep;74(3):369–379. [PubMed] [Google Scholar]
- Ogata J., Budzilovich G. N., Cravioto H. A study of rod-like structures (Hirano bodies) in 240 normal and pathological brains. Acta Neuropathol. 1972;21(1):61–67. doi: 10.1007/BF00688000. [DOI] [PubMed] [Google Scholar]
- PIPER P. G. Disseminated lupus erythematosus with involvement of the spinal cord. J Am Med Assoc. 1953 Sep 19;153(3):215–217. doi: 10.1001/jama.1953.02940200037008b. [DOI] [PubMed] [Google Scholar]
- Penn A. S., Rowan A. J. Myelopathy in systemic lupus erythematosus. Arch Neurol. 1968 Apr;18(4):337–349. doi: 10.1001/archneur.1968.00470340023001. [DOI] [PubMed] [Google Scholar]
- SCHEINBERG L. Polyneuritis in systemic lupus erythematosus; review of the literature and report of a case. N Engl J Med. 1956 Aug 30;255(9):416–421. doi: 10.1056/NEJM195608302550904. [DOI] [PubMed] [Google Scholar]
- Schochet S. S., Jr, McCormick W. F. Ultrastructure of Hirano bodies. Acta Neuropathol. 1972;21(1):50–60. doi: 10.1007/BF00687999. [DOI] [PubMed] [Google Scholar]
- Sengel A., Stoebner P. Golgi origin of tubular inclusions in endothelial cells. J Cell Biol. 1970 Jan;44(1):223–226. doi: 10.1083/jcb.44.1.223. [DOI] [PMC free article] [PubMed] [Google Scholar]
- Spencer P. S., Thomas P. K. Ultrastructural studies of the dying-back process. II. The sequestration and removal by Schwann cells and oligodendrocytes of organelles from normal and diseases axons. J Neurocytol. 1974 Dec;3(6):763–783. doi: 10.1007/BF01097197. [DOI] [PubMed] [Google Scholar]
- WEIBEL E. R., PALADE G. E. NEW CYTOPLASMIC COMPONENTS IN ARTERIAL ENDOTHELIA. J Cell Biol. 1964 Oct;23:101–112. doi: 10.1083/jcb.23.1.101. [DOI] [PMC free article] [PubMed] [Google Scholar]










