A 53-year-old man with untreated, advanced HIV and a CD4 count of 7 cells/mm3 was diagnosed with progressive multifocal leukoencephalopathy (PML) following a four-week prodrome of progressive confusion, ataxia, and dysarthria. During evaluation, he was also found to have large pulmonary nodules on computed tomography (CT) of the chest concerning for a granulomatous infection or malignancy (Fig. 1). Biopsy revealed fungal organisms on Gomori methenamine silver (GMS) stain, consistent with Pneumocystis species. The patient was started on trimethoprim/sulfamethoxazole and highly active antiretroviral therapy (HAART) therapy, but expired of his progressive PML. An autopsy confirmed Pneumocystis jirovecii within the pulmonary nodules, but no malignancy (Fig. 2). In HIV patients, Pneumocystis jirovecii presents with bilateral interstitial ground-glass opacities in approximately 90 % of patients. Additionally, atypical presentations are well described and may include cysts (30 %), lymphadenopathy (10 %), small or large nodules (5 %), and rarely consolidations or a spontaneous pneumothorax.1,2 Due to the wide range of radiologic findings associated with Pneumocystis jirovecii, diagnostic confirmation can be obtained via tissue biopsy. In a patient whose CD4 count is below 200 cells/mm3, Pneumocystis jirovecii prophylaxis with trimethoprim/sulfamethoxazole is indicated regardless of diagnostic uncertainty. Clinicians should be aware of atypical presentations of Pneumocystis jirovecii, as they may be confused with malignancy, granulomatous processes, or other lung disease.
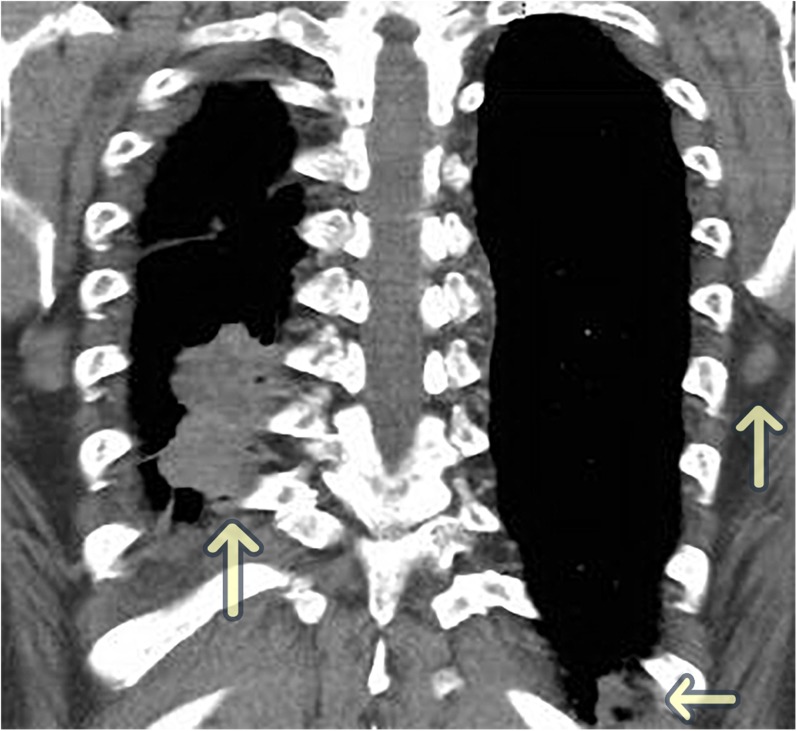
Figure 1.
CT chest, abdomen, pelvis: multinodular, conglomerate pleural based mass of the right lower lobe and right lung base as well as two pleural based left nodules.
Figure 2.
Lung biopsy (Autopsy): lung cavity contains necrotic material and copious microorganisms consistent with Pneumocystis.
Compliance with Ethical Standards
Conflict of Interest
The authors declare that they do not have a conflict of interest.
REFERENCES
- 1.Boiselle PM, Crans CA, Jr, Kaplan MA. The changing face of Pneumocystis carinii pneumonia in AIDS patients. AJR Am J Roentgenol. 1999;172(5):1301–1309. doi: 10.2214/ajr.172.5.10227507. [DOI] [PubMed] [Google Scholar]
- 2.Kanne JP, Yandow DR, Meyer CA. Pneumocystis jiroveci pneumonia: high-resolution CT findings in patients with and without HIV infection. Am J Roentgenol. 2012;198:W555–W561. doi: 10.2214/AJR.11.7329. [DOI] [PubMed] [Google Scholar]


