Abstract
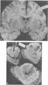
The clinical features in a 42 year old man with malignant atrophic papulosis with CNS involvement are described. They included mental dysfunction, paraesthesiae, weakness of left limbs, with pyramidal tract signs, bilateral ptosis, progressing to total ophthalmoplegia and obtundation. There were two crops of characteristic papular lesions on trunk and limbs, with terminal evidence of a coagulopathy and bruises, resulting in death in six months. Papular biopsy revealed multiple microinfarcts in the dermal collagen. The brain showed multiple small haemorrhagic infarcts of both hemispheres, the lower mid-brain, pons and a cerebellar peduncle. Microscopy showed fibrin exudation in the leptomeninges, various stages of thrombosis of small arteries without inflammatory reaction, and corresponding acute and subacute microinfarcts. The pathogenetic basis of the disease appeared to be a combined vasculopathy and coagulopathy.
Full text
PDF




Images in this article
Selected References
These references are in PubMed. This may not be the complete list of references from this article.
- Black M. M., Hudson P. M. Atrophie blanche lesions closely resembling malignant atrophic papulosis (Degos' disease) in systemic lupus erythematosus. Br J Dermatol. 1976 Dec;95(6):649–652. doi: 10.1111/j.1365-2133.1976.tb07040.x. [DOI] [PubMed] [Google Scholar]
- CULICCHIA C. F., GOL A., ERICKSON E. E. Diffuse central nervous system involvement in papulosis atrophicans maligna. Neurology. 1962 Aug;12:503–509. doi: 10.1212/wnl.12.8.503. [DOI] [PubMed] [Google Scholar]
- Dastur D. K., Singhal B. S. Eales' disease with neurological involvement. Part 2. Pathology and pathogenesis. J Neurol Sci. 1976 Mar;27(3):323–345. doi: 10.1016/0022-510x(76)90005-8. [DOI] [PubMed] [Google Scholar]
- GEVER S. G., FREEMAN R. G., KNOX J. M. Degos' disease (papulosis atrophicans maligna): report of a case with degenerative disease of the central nervous system. South Med J. 1962 Jan;55:56–60. doi: 10.1097/00007611-196201000-00014. [DOI] [PubMed] [Google Scholar]
- Hall-Smith P. Malignant atrophic papulosis (Degos' disease). Two cases occurring in the same family. Br J Dermatol. 1969 Nov;81(11):817–822. doi: 10.1111/j.1365-2133.1969.tb15949.x. [DOI] [PubMed] [Google Scholar]
- Horner F. A., Myers G. J., Stumpf D. A., Oseroff B. J., Choi B. H. Malignant atrophic papulosis (Kohlmeier-Degos disease) in childhood. Neurology. 1976 Apr;26(4):317–321. doi: 10.1212/wnl.26.4.317. [DOI] [PubMed] [Google Scholar]
- Howard R. O., Nishida S. A case of Degos' disease with electron microscopic findings. Trans Am Acad Ophthalmol Otolaryngol. 1969 Nov-Dec;73(6):1097–1112. [PubMed] [Google Scholar]
- McFarland H. R., Wood W. G., Drowns B. V., Meneses A. C. Papulosis atrophicans maligna (Köhlmeier-Degos disease): a disseminated occlusive vasculopathy. Ann Neurol. 1978 May;3(5):388–392. doi: 10.1002/ana.410030504. [DOI] [PubMed] [Google Scholar]
- NOMLAND R., LAYTON J. M. Malignant papulosis with atrophy (Degos); fatal cutaneointestinal syndrome. Arch Dermatol. 1960 Feb;81:181–188. doi: 10.1001/archderm.1960.03730020017003. [DOI] [PubMed] [Google Scholar]
- Roenigk H. H., Jr, Farmer R. G. Degos' disease (malignant papulosis). Report of three cases with clues to etiology. JAMA. 1968 Nov 11;206(7):1508–1514. doi: 10.1001/jama.206.7.1508. [DOI] [PubMed] [Google Scholar]
- Singhal B. S., Dastur D. K. Eales' disease with neurological involvement Part 1. Clinical features in 9 patients. J Neurol Sci. 1976 Mar;27(3):313–321. doi: 10.1016/0022-510x(76)90004-6. [DOI] [PubMed] [Google Scholar]
- Strole W. E., Jr, Clark W. H., Jr, Isselbacher K. J. Progressive arterial occlusive disease (Köhlmeier-Degos). A frequently fatal cutaneosystemic disorder. N Engl J Med. 1967 Jan 26;276(4):195–201. doi: 10.1056/NEJM196701262760402. [DOI] [PubMed] [Google Scholar]



