Abstract
Invasive infection caused by Saccharomyces cerevisiae is rare. We report the first case of osteomyelitis caused by S. cerevisiae (baker's yeast) in a post-traumatic patient. The clinical outcome was favorable after surgical debridement, prolonged antifungal treatment and hyperbaric oxygen therapy.
Keywords: Saccharomyces cerevisiae, Osteomyelitis, Bone infection, Baker, Infection, Human
Background
Brewer's yeast and baker's yeast were both Saccharomyces cerevisiae but different strains [1]. Invasive infection caused by S. cerevisiae is rare and usually occurs in patients in an immunocompromised situation, such as patients with solid cancers or hematological malignancies [2], [3], or patients who have undergone organ transplantation [2], [4], [5]. In immunocompetent patients, ingestion of the yeast has been associated with fever [6]. In this paper, we report a case of osteomyelitis caused by S. cerevisiae in a young female baker with no apparent immunodeficiency following trauma.
Case presentation
A previously healthy, 39-year-old female baker presented to the emergency department with a distal humerus fracture which was classified as a Cauchoix-Duparc type 3 fracture (Fig. 1, Fig. 2). She had been working at a bakery and her right upper extremity had been caught in an electrical bakery dough mixer. Surgical debridement, copious lavage and removal of all necrotic tissues were performed. The fracture was temporized and stabilized using an external fixation. Following surgery, she was treated with oral amoxicillin-clavulanic acid 3 g/day. On the fifth day after surgery, she underwent a second surgical debridement and reconstruction of the lost complex humeral tissue using the latissimus dorsi flap. External fixation was maintained to prevent sepsis, but realignment was performed. Bacterial cultures of deep surgical samples were positive for Pseudomonas aeruginosa and Enterobacter cloacae. She was treated with intravenous imipenem-cilastatin 1000 mg every 12 h and oral ciprofloxacin 500 mg every 8 h.
Fig. 1.

Traumatic right upper arm wound image.
Fig. 2.

Bone radiograph of distal humerus fracture presenting a Cauchoix and Duparc type 3 fracture at her admission.
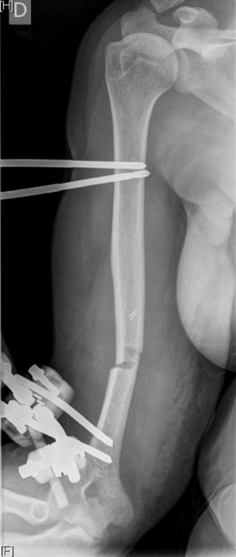
On the fifteenth day of her hospitalization, and despite antibiotherapy, she developed a purulent discharge from the posterolateral surface of the right arm. Bone samples obtained from surgical biopsies tested negative for bacterial pathogens, but fungal cultures grew for S. cerevisiae. Antifungal susceptibility testing, using the E-test assay, of this S. cerevisiae isolate showed low MICs for itraconazole (0.12 mg/L), fluconazole (4 mg/L), voriconazole (0.06 mg/L) and, amphotericin B (0.25 mg/L) and relatively higher MIC for posaconazole (0.25 mg/L). She was treated with hyperbaric oxygen therapy, voriconazole 250 mg twice daily orally and antibacterial therapy. Imipenem-cilastatin and oral ciprofloxacin were continued. The clinical outcome was favorable with the disappearance of purulent wound drainage (Fig. 3) and she was discharged 25 days after her admission. Overall, she was treated with three months of antibacterials and nine months of voriconazole. An adjunctive treatment with hyperbaric oxygen therapy was performed. The skin had healed after six weeks. External fixation was removed after six weeks with a humeral nonunion repair by double external fixation (Fig. 4).
Fig. 3.

Traumatic right upper arm wound image on 25 days after admission.
Fig. 4.

Bone radiograph of distal humerus on 25 days after admission.
Discussion
Saccharomyces bone and joint infections are extremely rare and have only previously reported in immunocompromised hosts [7], [8]. We report the first case of S. cerevisiae osteomyelitis in an immunocompetent patient who acquired the infection following traumatic humeral fracture using a bread dough mixer in a bakery.
To the best of our knowledge, only two cases of bone and joint infection caused S. cerevisiae have been reported including one case of arthritis in a 73-year-old woman with rheumatoid arthritis and Sjögren's syndrome [7] and one case of mandibular osteomyelitis in a 4-year-old boy who had undergone chemotherapy for an acute lymphoid leukemia [8].
Osteoarticular infection caused by S. cerevisiae may be a monomicrobial infection such as in the case of mandibular osteomyelitis [8]. However, this infection may also be polymicrobial, such as in the arthritis case reported [7] or misidentified such as in our case at the beginning of management that was initially diagnosed as osteomyelitis caused by P. aeruginosa and E. cloacae. S. cerevisiae was identified only at the second surgical deep samples culture. Physicians should consider S. cerevisiae as potential pathogen of osteomyelitis when infection has occurred in patients who have had wound contact with baker's or brewer's yeast.
Identification of S. cerevisiae was first performed by MALDI-TOF MS from the cultivation of a biopsy on Sabouraud medium and was then confirmed by sequencing of the ITS2 region of the rRNA gene as described by Cassagne et al. [9]. The antifungal agent of choice for the treatment of invasive infection by S. cerevisiae is unknown. S. cerevisiae is consistently susceptible to amphotericin B, to fluconazole and itraconazole. However, in vitro azole resistance have been reported [10]. After surgical debridement, oral antifungal agent with voriconazole was chosen in combination hyperbaric oxygen therapy and antibacterial therapy to treat this patient for early returning to rehabilitation center.
There is no data reported on hyperbaric oxygen for fungi osteomyelitis. Therefore, hyperbaric oxygen therapy was used as an adjunctive treatment of diabetic foot infections and refractory osteomyelitis for over sixty years [11], [12], [13], [14]. In our case, hyperbaric oxygen therapy has improved the postoperative care for this complex case of osteomyelitis caused by mixed bacterial and fungi infection.
Conclusion
Osteomyelitis due to S. cerevisiae is rare, but may occur in immunocompetent hosts, as our patient demonstrates. The organism should be considered as a potential cause of infection in patients who may have been at risk for inoculation with brewer's or baker's yeast, particularly when they fail to respond to antibacterial therapy and surgical debridement and lavage.
Ethical approval
This study was approved by the institutional research ethics board (Comite de Protection des Personnes Sud Méditerranée 1), and written informed consent was obtained from the patient for publication of this case report and any accompanying images. A copy of the written consent is available for review by the Editor-in-Chief of this journal.
Funding
The authors have no relevant affiliations or involvement with any organization or entity with a financial interest or conflict with the subject matter or materials discussed in the manuscript. No medical writer or editor involved in the generation of this manuscript.
Conflicts of interest
The authors declare no conflicts of interest.
Authors’ contributions
PS (MD, Ph.D.): first and corresponding author, involved in clinical data collection, substantial contributions to study conception and drafting the manuscript. AC (M.D.): second author, involved in drafting the manuscript, clinical data verification and revision of the manuscript. CC (Phar.D., Ph.D.): third author, microbiological data collection and revision of the manuscript. MC (M.D., Ph.D.): fourth author, revision of the manuscript. RL (M.D., Ph.D.): fifth author, discussion section and revision of the manuscript. AS (M.D., Ph.D.): last author, clinical data verification, discussion section and final approval of the version to be published. All authors read and approved the final manuscript.
Acknowledgements
The authors thank junior Dr. Stanislas Houdoux and Dr. Estelle Honnorat for their assistance with patient management. The authors obtained permission from Stanislas Houdoux and Estelle Honnorat for this acknowledgement.
References
- 1.Moyad M.A. Brewer's/baker's yeast (Saccharomyces cerevisiae) and preventive medicine: part I. Urol Nurs. 2007;27:560–561. [PubMed] [Google Scholar]
- 2.Aucott J.N., Fayen J., Grossnicklas H., Morrissey A., Lederman M.M., Salata R.A. Invasive infection with Saccharomyces cerevisiae: report of three cases and review. Rev Infect Dis. 1990;12:406–411. doi: 10.1093/clinids/12.3.406. [DOI] [PubMed] [Google Scholar]
- 3.Williams J.S., Mufti G.J., Powell S., Salisbury J.R., Higgins E.M. Saccharomyces cerevisiae emboli in an immunocompromised patient with relapsed acute myeloid leukaemia. Clin Exp Dermatol. 2007;32:395–397. doi: 10.1111/j.1365-2230.2007.02375.x. [DOI] [PubMed] [Google Scholar]
- 4.Olver W.J., James S.A., Lennard A., Galloway A., Roberts I.N., Boswell T.C. Nosocomial transmission of Saccharomyces cerevisiae in bone marrow transplant patients. J Hosp Infect. 2002;52:268–272. doi: 10.1053/jhin.2002.1314. [DOI] [PubMed] [Google Scholar]
- 5.Popiel K.Y., Wong P., Lee M.J., Langelier M., Sheppard D.C., Vinh D.C. Invasive Saccharomyces cerevisiae in a liver transplant patient: case report and review of infection in transplant recipients. Transpl Infect Dis. 2015;17:435–441. doi: 10.1111/tid.12384. [DOI] [PubMed] [Google Scholar]
- 6.Jensen D.P., Smith D.L. Fever of unknown origin secondary to brewer's yeast ingestion. Arch Intern Med. 1976;136:332–333. [PubMed] [Google Scholar]
- 7.Feld R., Fornasier V.L., Bombardier C., Hastings D.E. Septic arthritis due to saccharomyces species in a patient with chronic rheumatoid arthritis. J Rheumatol. 1982;9:637–640. [PubMed] [Google Scholar]
- 8.Hovi L., Saarinen U.M., Donner U., Lindqvist C. Opportunistic osteomyelitis in the jaws of children on immunosuppressive chemotherapy. J Pediatr Hematol Oncol. 1996;18:90–94. doi: 10.1097/00043426-199602000-00018. [DOI] [PubMed] [Google Scholar]
- 9.Cassagne C., Normand A.-C., Bonzon L., L’Ollivier C., Gautier M., Jeddi F. Routine identification and mixed species detection in 6,192 clinical yeast isolates. Med Mycol. 2015 doi: 10.1093/mmy/myv095. [DOI] [PubMed] [Google Scholar]
- 10.Muñoz P., Bouza E., Cuenca-Estrella M., Eiros J.M., Pérez M.J., Sánchez-Somolinos M. Saccharomyces cerevisiae fungemia: an emerging infectious disease. Clin Infect Dis Off Publ Infect Dis Soc Am. 2005;40:1625–1634. doi: 10.1086/429916. [DOI] [PubMed] [Google Scholar]
- 11.Leslie C.A., Sapico F.L., Ginunas V.J., Adkins R.H. Randomized controlled trial of topical hyperbaric oxygen for treatment of diabetic foot ulcers. Diabetes Care. 1988;11:111–115. doi: 10.2337/diacare.11.2.111. [DOI] [PubMed] [Google Scholar]
- 12.Kaide C.G., Khandelwal S. Hyperbaric oxygen: applications in infectious disease. Emerg Med Clin North Am. 2008;26:571–595. doi: 10.1016/j.emc.2008.01.005. xi. [DOI] [PubMed] [Google Scholar]
- 13.Tiemann A.H., Hofmann G.O. Principles of the therapy of bone infections in adult extremities: are there any new developments? Strateg Trauma Limb Reconstr. 2009;4:57–64. doi: 10.1007/s11751-009-0059-y. [DOI] [PMC free article] [PubMed] [Google Scholar]
- 14.Skeik N., Porten B.R., Isaacson E., Seong J., Klosterman D.L., Garberich R.F. Hyperbaric oxygen treatment outcome for different indications from a single center. Ann Vasc Surg. 2015;29:206–214. doi: 10.1016/j.avsg.2014.07.034. [DOI] [PubMed] [Google Scholar]
