Abstract
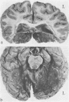
Two long-surviving cases of cortical blindness are described, one total and the other total except for detection of sudden transitions from light to darkness and darkness to light. Both suffered from severe defect of recent memory, which lasted a month in one, and till death after nearly six years in the other. One patient survives. Necropsy findings on the other are given.
Full text
PDF





Images in this article
Selected References
These references are in PubMed. This may not be the complete list of references from this article.
- Brindley G. S., Gautier-Smith P. C., Lewin W. Cortical blindness and the functions of the non-geniculate fibres of the optic tracts. J Neurol Neurosurg Psychiatry. 1969 Aug;32(4):259–264. doi: 10.1136/jnnp.32.4.259. [DOI] [PMC free article] [PubMed] [Google Scholar]
- Brindley G. S. The variability of the human striate cortex. J Physiol. 1972 Sep;225(2):1P–3P. [PMC free article] [PubMed] [Google Scholar]
- DeJong R. N., Itabashi H. H., Olson J. R. Memory loss due to hippocampal lesions. Report of a case. Arch Neurol. 1969 Apr;20(4):339–348. doi: 10.1001/archneur.1969.00480100015001. [DOI] [PubMed] [Google Scholar]
- Friedman H. M., Allen N. Chronic effects of complete limbic lobe destruction in man. Neurology. 1969 Jul;19(7):679–690. doi: 10.1212/wnl.19.7.679. [DOI] [PubMed] [Google Scholar]
- GLEES P., GRIFFITH H. B. Bilateral destruction of the hippocampus (cornu ammonis) in a case of dementia. Monatsschr Psychiatr Neurol. 1952 Apr-May;123(4-5):193–204. doi: 10.1159/000140010. [DOI] [PubMed] [Google Scholar]
- Gascon G. G., Gilles F. Limbic dementia. J Neurol Neurosurg Psychiatry. 1973 Jun;36(3):421–430. doi: 10.1136/jnnp.36.3.421. [DOI] [PMC free article] [PubMed] [Google Scholar]
- Humphrey N. K., Weiskrantz L. Vision in monkeys after removal of the striate cortex. Nature. 1967 Aug 5;215(5101):595–597. doi: 10.1038/215595a0. [DOI] [PubMed] [Google Scholar]
- MISHKIN M. Visual discrimination performance following partial ablations of the temporal lobe. II. Ventral surface vs. hippocampus. J Comp Physiol Psychol. 1954 Jun;47(3):187–193. doi: 10.1037/h0057551. [DOI] [PubMed] [Google Scholar]
- Pasik P., Pasik T. Extrageniculostriate vision in the monkey. V. Role of accessory optic system. J Neurophysiol. 1973 May;36(3):450–457. doi: 10.1152/jn.1973.36.3.450. [DOI] [PubMed] [Google Scholar]
- Pasik T., Pasik P. Extrageniculostriate vision in the monkey. IV. Critical structures for light vs. no-light discrimination. Brain Res. 1973 Jun 29;56:165–182. doi: 10.1016/0006-8993(73)90333-8. [DOI] [PubMed] [Google Scholar]
- SCOVILLE W. B., MILNER B. Loss of recent memory after bilateral hippocampal lesions. J Neurol Neurosurg Psychiatry. 1957 Feb;20(1):11–21. doi: 10.1136/jnnp.20.1.11. [DOI] [PMC free article] [PubMed] [Google Scholar]
- SWEET W. H., TALLAND G. A., ERVIN F. R. Loss of recent memory following section of fornix. Trans Am Neurol Assoc. 1959;84:76–82. [PubMed] [Google Scholar]
- SYMONDS C., MACKENZIE I. Bilateral loss of vision from cerebral infarction. Brain. 1957 Dec;80(4):415–455. doi: 10.1093/brain/80.4.415. [DOI] [PubMed] [Google Scholar]
- Schilder P., Pasik T., Pasik P. Extrageniculostriate vision in the monkey. II. Demonstration of brightness discrimination. Brain Res. 1971 Sep 24;32(2):383–398. doi: 10.1016/0006-8993(71)90331-3. [DOI] [PubMed] [Google Scholar]
- Segarra J. M. Cerebral vascular disease and behavior. I. The syndrome of the mesencephalic artery (basilar artery bifurcation). Arch Neurol. 1970 May;22(5):408–418. doi: 10.1001/archneur.1970.00480230026003. [DOI] [PubMed] [Google Scholar]
- VICTOR M., ANGEVINE J. B., Jr, MANCALL E. L., FISHER C. M. [Memory loss with lesions of hippocampal formation. Report of a case with some remarks on the anatomical basis of memory]. Arch Neurol. 1961 Sep;5:244–263. doi: 10.1001/archneur.1961.00450150010002. [DOI] [PubMed] [Google Scholar]

