Abstract
Kaposiform hemangioendothelioma is a rare, highly vascular and aggressive soft tissue tumor frequently associated with Kasabach–Merritt phenomenon, usually seen in early infancy. Early diagnosis by means of MRI and tissue biopsy portends a better outcome. Treatment includes surgical excision when feasible and medical management with steroids, propranolol, vincristine and supportive treatment for coagulopathy. We report a 3 months old female infant who was diagnosed, treated successfully and is now in complete remission.
Keywords: Kaposiform hemangioendothelioma, Kasabach–Merritt phenomenon, Vascular soft tissue tumor, Vincristine, Steroids, Remission
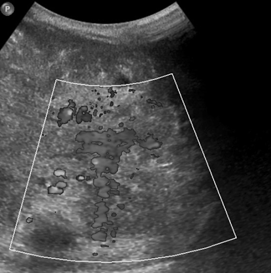
Three months old, developmentally normal female infant was evaluated for an incidentally noticed ill-defined, nontender, firm and immobile mass in the right paravertebral dorsolumbar region, with features of consumptive coagulopathy. Investigations revealed anaemia, thrombocytopenia and deranged PT/PTT. Ultrasound abdomen (Fig. 2) revealed an ill defined mixed echoeic mass lesion in the retroperitoneum, predominantly in the midline with extension to both paravertebral regions, with few calcific foci, encasing the vessels and infiltrating the pancreas. MRI abdomen (Fig. 1) confirmed the above findings, additionally revealing that the lesion was encasing the abdominal aorta, inferior vena cava and extending to the bilateral renal hila. The lesion was also extending superiorly from the level of the coeliac axis and inferiorly into the mesentery encasing the branches of the superior mesenteric vessels.
Fig. 2.

Doppler ultrasound abdomen showing increased vascularity of the tumor
Fig. 1.

Coronal section MRI showing the tumor encasing aorta, IVC and extending to renal hila
The child was started on intravenous corticosteroids (methylprednisolone 2 mg/kg/day) and propranolol (0.2 mg/kg/day) to achieve haemostasis. Open biopsy after 7 days of steroids and after consumptive coagulopathy was controlled, confirmed the diagnosis of Kaposiform hemangioendothelioma (KHE). Oral steroids (prednisolone 1 mg/kg) and propranolol were continued for 12 weeks with blood product support. Weekly doses of intravenous vincristine (1.5 mg/m2) was started and given for 12 weeks which resulted in complete remission. The child is on regular follow up and is doing well.
KHE is a rare, highly vascular tumor commonly associated with Kasabach–Merritt syndrome, requiring distinction from juvenile hemangioma of infancy which regresses spontaneously by 5–7 years of age. Its incidence has not been accurately estimated. The largest series reported is by Lyons et al. [1], where 33 children with this tumor were diagnosed and treated.
MRI followed by tissue biopsy will confirm the diagnosis. MRI findings can range from soft tissue mass limited to the cutaneous or subcutaneous tissue planes or may extend through multiple tissue planes encasing adjacent and underlying blood vessels. Destruction of underlying bone has been noted in a few cases. Lymphangiomatosis also may be associated.
Mortality may range up to 24 %, mainly due to coagulopathy or complications of local tumor infiltration. Close monitoring for thrombocytopenia, low fibrinogen and coagulopathy is essential.
Intravenous corticosteroids, beta blockers particularly propranolol, vincristine have proven to be effective treatment modalities. Vincristine is the preferred chemotherapeutic agent especially for those who have failed involution with steroids [2]. Newer drugs under study include lenalidomide, bevacizumab and sirolimus [3].
Compliance with Ethical Standards
Conflict of interest
There are no conflicts of interest.
References
- 1.Lyons LL, North PE, Lai FMM, Stoler MH, Folpe AL, Weiss SW. Kaposiformhemangioendothelioma: a study of 33 cases emphasizing its pathologic, immunophenotypic, and biologic uniqueness from juvenile hemangioma. Am J Surg Pathol. 2004;28(5):559–568. doi: 10.1097/00000478-200405000-00001. [DOI] [PubMed] [Google Scholar]
- 2.Enjolras O, Breviere GM, Roger G, et al. Vincristine treatment for function- and life-threatening infantilehemangioma. Arch Pediatr. 2004;11:99–107. doi: 10.1016/j.arcped.2003.10.014. [DOI] [PubMed] [Google Scholar]
- 3.Chiu YE, Drolet BA, Blei F, Carcao M, Fangusaro J, Kelly ME, et al. Variable response to propranolol treatment of kaposiform hemangioendothelioma, tufted angioma, and Kasabach–Merritt phenomenon. Pediatr Blood Cancer. 2012;59(5):934–938. doi: 10.1002/pbc.24103. [DOI] [PMC free article] [PubMed] [Google Scholar]
