Highlights
-
•
MFH of the mesentery is a highly malignant tumor with early recurrence.
-
•
The prognosis for MFH is poor.
-
•
The surgery of recurrent MFH of the mesentery might provide good prognosis.
Keywords: Malignant fibrous histiocytoma, Mesentery, Recurrence, Surgical treatment, Prognosis
Abstract
Primary malignant fibrous histiocytoma (MFH) mainly occurs in the extremities, trunk and retroperitoneum. However, MFH of the mesentery is very rare, and locally recurred MFH is even rarer. MFH is severely malignant and invasive regionally. The neoplasm can spread quickly. This report is about a case of a recurred MFH in the mesentery, which locally recurred within 3 years from the original operation. The patient (female, age 71) underwent a resection of the small bowl and mesentery of the recurrent MFH with negative resection margins. In the 24 months that followed, there has not been any evidence of recurrence or other metastasis in the patient. Although the prognosis of recurred MFH in mesentery was poor, a clear resection might provide a good opportunity for long-term survival, suggesting that surgery might be an effective treatment. This is the first report on the surgical treatment of recurrent MFH of the mesentery.
1. Introduction
Malignant fibrous histiocytoma (MFH) is one of the most common sarcomas in the middle and late adulthood. It usually occurs in the extremities, presenting as a painless mass and less commonly in the mesentery, associated with weight loss and increased intra-abdominal pressure [1]. The prognosis for MFH is poor because of its strong chances of regional invasiveness and distant metastasis. We report a rare case of recurrent MFH that originated from the ileum mesentery.
2. Presentation of case
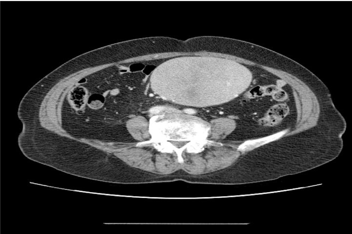
A 69-year-old woman was admitted to our hospital because of abdominal pain and a periumbilical palpable intra-abdominal mass for 20 days. Physical examination revealed a huge, well circumscribed, firm palpable mass in the left periumbilical area of the abdomen. The vital signs of patient were stable. Carcinoembryonic antigen(CEA) and carbohydrate antigen 19-9(CA19-9) were within normal limits. Computed tomography (CT) of the abdomen and pelvis showed a large solid mass (long diameter: approximately 12 cm) with well-defined borders in the small bowel mesentery. (Fig. 1).
Fig. 1.
Abdominal CT shows a large solid mass with well-defined borders in the small bowel mesentery.
The patient underwent complete mass excision with free tumor margin. There was no distant metastasis and peritoneal seeding. The gross specimen was a well-encapsulated mass, measuring 10 × 9.5 × 7.5 cm and weighing 488 gm. No necrotic area was present. (Fig. 2) Microscopically, the tumor showed a whorled pattern, long or short fascicles and high cellularity. (A) (H&E, ×100). High power view of tumor cells showed marked pleomorphism with bizarre nuclei. (B) (H&E, ×400) (Fig. 3A, B) In the immunohistochemical studies, the tumor cells were CD34(−), CD68(focal +), Smooth Muscle Actin (SMA) (−), and Myogenin (−). (×100) (Fig. 4A–D) The final histopathologic diagnosis was malignant fibrous histiocytoma (or pleomorphic sarcoma) that originated from the small bowel mesentery.
Fig. 2.
The Gross specimen was a well-encapsulated mass, measuring 10 × 9.5 × 7.5 cm and weighing 488 gm.
Fig. 3.
Microscopically, the tumor showed a whorled pattern, long or short fascicles and high cellularity. (A) (H&E, ×100). High power view of tumor cells showed marked pleomorphism with bizarre nuclei. (B) (H&E, ×400).
Fig. 4.
A-4AD In the immunohistochemical studies, the tumor cells were CD34(−), CD68(+), Smooth Muscle Actin (SMA)(−), and Myogenin (−). (×100).
The patient refused further adjuvant chemotherapy and radiotherapy. She underwent an abdominal CT every three months. After 3 years, the abdominal CT scan showed a 2 cm enhancing mass with a partially indistinct margin in the mesentery of previous excision site. A PET CT scan showed hypermetabolism in the soft tissue infiltration of the mesentery. (Fig. 5A–B) Laboratory findings showed within normal limit. At laparotomy, a 2 × 2 cm measured mass was seen in the ileum mesentery, and a partial resection of the ileum with mesentery was performed. The pathologic diagnosis was considered recurrent MFH of the small bowel mesentery. The patient received chemotherapy with adriamycin, ifosfamide and mesna. There was no evidence of local recurrence or distant metastasis at 24 months after the repeated surgery.
Fig. 5.
Abdominal CT shows an ill-definedmass with perilesional infiltration in the mesentery. (A) PET CT shows hypermetabolism in the soft tissue infiltration of the mesentery.(B).
3. Discussion
O’Brien and Stout first described Malignant fibrous histiocytoma (MFH) in 1964 [2]. MFH is the most common soft tissue sarcoma of people aged 60–70 years. It usually occurs in the extremities, trunk, and retroperitoneum [3]. Primary MFH of the mesentery is very rare, and there is still an incomplete understanding of the clinicopathology of primary mesenteric MFH.
The clinical symptoms of primary intra-abdominal or intestinal MFH are usually not specified. They appear comparatively late, and abdominal pain, dyspepsia, and a palpable abdominal mass are general symptoms. Due to the lack of a specific clinical presentation or images or tumor markers, it is difficult to make the preoperative differential diagnosis of mesenteric MFH.
The CT findings of the MFH in the mesentery were an irregularly margined, heterogeneously enhancing mass with irregular peritumoral strands in the mesentery [4]. MFH is microscopically characterized by areas of spindle cells arranged in a storiform pattern and pleomorphic areas with haphazardly arranged sheets of fibroblasts and histiocytes. The diagnosis of MFH depends on an accurate differential diagnosis of other sarcomas. The differential diagnosis includes gastrointestinal stromal tumor, fibrosarcoma, leiomyosarcoma, and myxoid sarcoma. MFH frequently expresses vimentin, actin, alpha 1-antichymotrypsin, CD 68, desmin and CD 34, which were useful to a differential diagnosis [5]. The CD 68 was positive in the present case.
Surgical resection with negative resection margins is the standard treatment for primary MFH of the mesentery. The efficacy of radiotherapy is well established in the adjuvant treatment of MFH of the extremities. However, in the case of mesenteric MFH, the efficacy of radiotherapy is uncertain. A group of investigators reported that postoperative chemotherapy increased the survival rate, but another group of investigators has reported that postoperative chemotherapy did not achieve curative results. Doxorubicin is the first treatment option for unresectable or partially resected soft tissue sarcoma, but palliative or intensified chemotherapy to MFH have failed to benefit survival [6].
The prognosis for MFH is poor. The 2-year survival rate is 60%, and the rate of metastasis is 42% [3]. Resection with clear resection margins was associated with improved disease specific survival [6]. Prognosis depends on the grade, the depth, the size and the subtype of the tumor, metastasis and the age of a patient. Tumor site (extremity vs non-extremity), location (proximal vs distal), size (≤5 cm vs >5 cm), and histology (myxoid vs non-myxoid) are not significant determinants of final outcomes [7]. For metastatic relapse, the major determinants were histology (myxoid vs non-myxoid) and tumor size. Myxoid tumors have a low metastatic propensity (13% 10-year metastatic rate) compared to non-myxoid tumors (40% 10-year metastatic rate) [3]. Although the prognosis of non-extremity recurrent MFH is poor, there are still some cases with good prognosis after repeated surgery of recurrent MFH. McGrady et al. reported that a case was alive 9 years after resection of the recurred primary hepatic MFH [8]. Yutaka Okita et al. reported that a case was alive 6 years after resection of the recurred left atrium MFH [9]. Kitazono I and Saigenji H reported that a case was alive 57 months after resection of the recurred chest wall MFH [10]. In our case, the patient was doing well without apparent recurrence 24 months after repeat surgery and is still alive at 57 months after initial surgery. To our knowledge, there were some case reports on mesentery MFH, but there was no case report on surgical treatment of recurred mesentery MFH in the English-language literature [5], [7]. This is the first report on surgical treatment of recurrent MFH of the mesentery.
4. Conclusion
MFH of the mesentery is a highly malignant tumor with early recurrence and metastatic spread. The most reliable treatment is complete surgical excision of the tumor with free margins. Due to the high rate of recurrence, continuous clinical observation is strongly recommended. If local recurrence of mesenteric MFH is detected, an aggressive surgical treatment is the best cure to prolong the patient’s survival.
Conflict of interest
No potential conflict of interest relevant to this article was reported.
Funding
None.
Ethical approval
Not requested.
Consent
Ethical approval was not required and patient identifying knowledge was not presented in this report.
Author contribution
Sung Bae Park: study concept, writing the paper.
Seong Kweon Hong: advised and designed the report.
Guarantor
Sung Bae Park.
References
- 1.Anagnostopoulos G., Sakorafas G.H., Grigoriadis K., Kostopoulos P. Malignant fibrous histiocytoma of the liver: a case report and review of the literature. Mt. Sinai J. Med. 2005;72:50–52. [PMID: 15682264] [PubMed] [Google Scholar]
- 2.O’Brien J.E., Stout A.P. Malignant fibrous xanthomas. Cancer. 1964;17:1445–1456. doi: 10.1002/1097-0142(196411)17:11<1445::aid-cncr2820171112>3.0.co;2-g. [DOI] [PubMed] [Google Scholar]
- 3.Weiss S.W., Enzinger F.M. Malignant fibrous histiocytoma: an analysis of 200 cases. Cancer. 1978;41:2250–2266. doi: 10.1002/1097-0142(197806)41:6<2250::aid-cncr2820410626>3.0.co;2-w. [PMID: 207408] [DOI] [PubMed] [Google Scholar]
- 4.Park J.H., Yeon J.W., Han E.M., Jang S.K., Kang S.M., Ahn I.O. Primary malignant fibrous histiocytoma of the mesentery: a case report. J. Korean Radiol. Soc. 2007;57:549–552. [Google Scholar]
- 5.Kearney M.M., Soule E.H., Ivins J.C. Malignant fibrous histiocytoma: a retrospective study of 167 cases. Cancer. 1980;45:167–178. doi: 10.1002/1097-0142(19800101)45:1<167::aid-cncr2820450127>3.0.co;2-8. [PMID: 6243239] [DOI] [PubMed] [Google Scholar]
- 6.Peiper M.Peiper M., Zurakowski D., Knoefel W.T., Izbicki J.R. Malignant fibrous histiocytoma of the extremities and trunk: an institutional review. Surgery. 2004;135:59–66. doi: 10.1016/s0039-6060(03)00325-8. [10.1016/S0039] [PMID: 14694301] [DOI] [PubMed] [Google Scholar]
- 7.Bodner K., Bodner-Adler B., Mayerhofer S., Grünberger W., Wierrani F., Czerwenka K., Leodolter S., Mayerhofer K. Malignant fibrous histiocytoma (MFH) of the mesentery: a case report. Anticancer Res. 2002;22:1169–1170. [PMID: 12168919] [PubMed] [Google Scholar]
- 8.McGrady B.J., Mirakhur M.M. Recurrent malignant fibrous histiocytoma of the liver. Histopathology. 1992;21:290–292. doi: 10.1111/j.1365-2559.1992.tb00393.x. [PMID: 1328016] [DOI] [PubMed] [Google Scholar]
- 9.Okita Y., Miki S., Ueda Y., Tahata T., Sakai T., Matsuyama K. Recurrent malignant fibrous histiocytoma of the left atrium with extracardiac extension. Annals. 1994;127:1624–1628. doi: 10.1016/0002-8703(94)90397-2. [DOI] [PubMed] [Google Scholar]
- 10.Kitazono I., Saigenji H. Long-term survival of malignant fibrous histiocytoma of the chest wall by multidisciplinary treatment. Kyobu Geka. 2007;60:221–224. [PMID: 17352141] [PubMed] [Google Scholar]





