Abstract
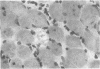
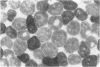
Myoglobinuria was found in an 11 month old girl suffering from fever, dyspnoea, and muscle hypotonia. Muscle biopsy showed focal degenerative necrosis of the muscle fibres. Electronmicroscopically, picornavirus-like crystals were demonstrated in the muscle fibres. These and other findings strongly suggest that she suffered from acute myositis with myoglobinuria probably caused by Coxsackie B6 virus infection. The causal relationship of viral infection (Coxsackie, influenza, or myxo-viruses) and acute or chronic polymyositis with or without myoglobinuria is discussed.
Full text
PDF






Images in this article
Selected References
These references are in PubMed. This may not be the complete list of references from this article.
- BERENBAUM M. C., BIRCH C. A., MORELAND J. D. Paroxysmal myoglobinuria. Lancet. 1955 Apr 30;268(6870):892–896. doi: 10.1016/s0140-6736(55)90380-9. [DOI] [PubMed] [Google Scholar]
- BOWDEN D. H., FRASER D., JACKSON S. H., WALKER N. F. Acute recurrent rhabdomyolysis (paroxysmal myohaemoglobinuria); a report of three cases and a review of the literature. Medicine (Baltimore) 1956 Dec;35(4):335–353. [PubMed] [Google Scholar]
- BUCHANAN D., STEINER P. E. Myoglobinuria with paralysis (Meyer-Betz disease): report of a case. AMA Arch Neurol Psychiatry. 1951 Jul;66(1):107–109. [PubMed] [Google Scholar]
- Bacon A. E., Jr Acute idiopathic rhabdomyolysis with myoglobinuria. Del Med J. 1967 Oct;39(10):302–305. [PubMed] [Google Scholar]
- Ben-Bassat M., Machtey I. Picornavirus-like structures in acute dermatomyositis. Am J Clin Pathol. 1972 Sep;58(3):245–249. doi: 10.1093/ajcp/58.3.245. [DOI] [PubMed] [Google Scholar]
- Berlin B. S., Simon N. M., Bovner R. N. Myoglobinuria precipitated by viral infection. JAMA. 1974 Mar 25;227(12):1414–1415. [PubMed] [Google Scholar]
- Chou S. M., Gutmann L. Picornavirus-like crystals in subacute polymyositis. Neurology. 1970 Mar;20(3):205–213. doi: 10.1212/wnl.20.3.205. [DOI] [PubMed] [Google Scholar]
- Favara B. E., Vawter G. F., Wagner R., Kevy S., Porter E. G. Familial paroxysmal rhabdomyolysis in children. A myoglobinuric syndrome. Am J Med. 1967 Feb;42(2):196–207. doi: 10.1016/0002-9343(67)90019-8. [DOI] [PubMed] [Google Scholar]
- Ghatak N. R., Erenberg G., Hirano A., Golden G. S. Idiopathic rhabdomyolysis in children. J Neurol Sci. 1973 Nov;20(3):253–268. doi: 10.1016/0022-510x(73)90186-x. [DOI] [PubMed] [Google Scholar]
- HAASE G. R., ENGEL A. G. Paroxysmal recurrent rhabdomyolysis. Arch Neurol. 1960 Apr;2:410–419. doi: 10.1001/archneur.1960.03840100048008. [DOI] [PubMed] [Google Scholar]
- KOREIN J., CODDON D. R., MOWREY F. H. The clinical syndrome of paroxysmal paralytic myoglobinuria. Report of 2 cases and an analytical review of the literature. Neurology. 1959 Nov;9:767–785. doi: 10.1212/wnl.9.11.767. [DOI] [PubMed] [Google Scholar]
- Mejlszenkier J. D., Safran A. P., Healy J. J., Embree L., Ouellette E. M. The myositis of influenza. Arch Neurol. 1973 Dec;29(6):441–443. doi: 10.1001/archneur.1973.00490300103017. [DOI] [PubMed] [Google Scholar]
- Miller B. H., Gross J. S. Acute rhabdomyolysis with myoglobinuria. Va Med Mon (1918) 1967 Apr;94(4):213–219. [PubMed] [Google Scholar]
- Minow R. A., Gorbach S., Johnson B. L., Jr, Dornfeld L. Myoglobinuria associated with influenza A infection. Ann Intern Med. 1974 Mar;80(3):359–361. doi: 10.7326/0003-4819-80-3-359. [DOI] [PubMed] [Google Scholar]
- SCHAAR F. E. Paroxysmal myoglobinuria; description of a case and a review of the literature. AMA Am J Dis Child. 1955 Jan;89(1):23–30. [PubMed] [Google Scholar]
- Sato T. [Viral myositis]. Naika. 1971;28(3):407–411. [PubMed] [Google Scholar]
- Savage D. C., Forbes M., Pearce G. W. Idiopathic rhabdomyolysis. Arch Dis Child. 1971 Oct;46(249):594–607. doi: 10.1136/adc.46.249.594. [DOI] [PMC free article] [PubMed] [Google Scholar]
- Simon N. M., Rovner R. N., Berlin B. S. Acute myoglobinuria associated with type A2 (Hong Kong) influenza. JAMA. 1970 Jun 8;212(10):1704–1705. [PubMed] [Google Scholar]
- WHEBY M. S., MILLER H. S., Jr Idiopathic paroxysmal myoglobinuria; report of two cases occurring in sisters. Review of the literature. Am J Med. 1960 Oct;29:599–610. doi: 10.1016/0002-9343(60)90093-0. [DOI] [PubMed] [Google Scholar]




