Abstract
A case is reported of the rare lesion occult intrasacral meningocoele in a 27-year-old woman who developed symptoms for the first time shortly after the birth of her fourth child. The terminology of the condition is discussed and its pathogenesis, mode of presentation, and treatment reviewed.
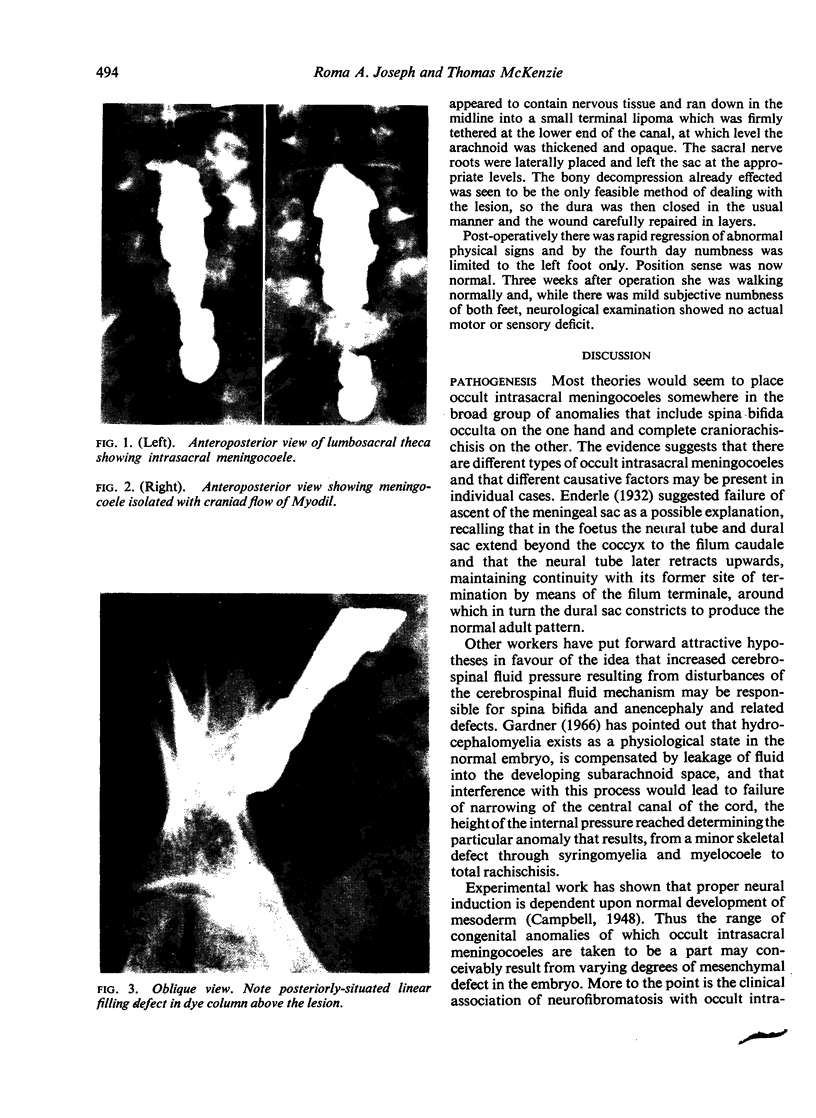
Full text
PDF



Images in this article
Selected References
These references are in PubMed. This may not be the complete list of references from this article.
- Gardner W. J. Embryologic origin of spinal malformations. Acta Radiol Diagn (Stockh) 1966;5:1013–1023. doi: 10.1177/02841851660050p245. [DOI] [PubMed] [Google Scholar]
- Howieson J., Norrell H. A., Wilson C. B. Expansion of the subarachnoid space in the lumbosacral region. Radiology. 1968 Mar;90(3):488–492. doi: 10.1148/90.3.488. [DOI] [PubMed] [Google Scholar]
- Mitchell G. E., Lourie H., Berne A. S. The various causes of scalloped vertebrae with notes on their pathogenesis. Radiology. 1967 Jul;89(1):67–74. doi: 10.1148/89.1.67. [DOI] [PubMed] [Google Scholar]


