Abstract
The gait of normal subjects was examined electromyographically and the pattern was altered during preferential blockade of large nerve fibres to alternating activity in flexor and extensor muscles.
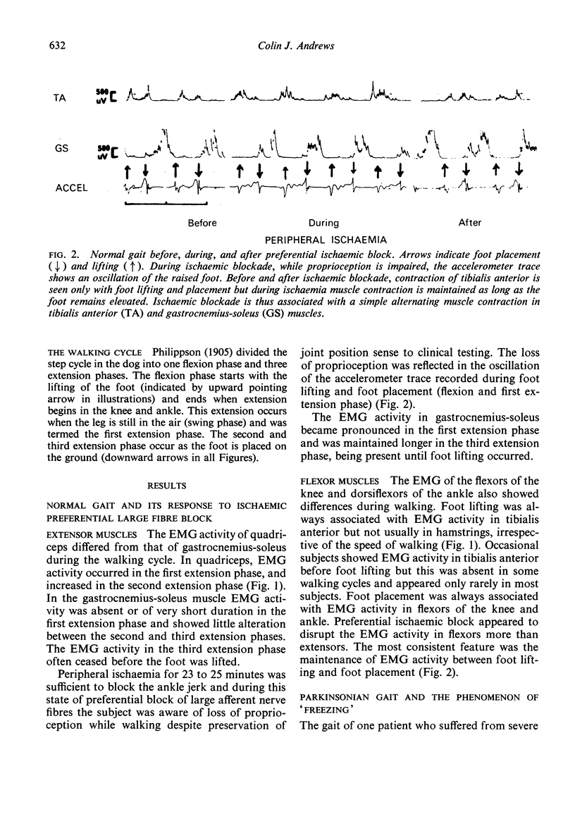
The EMG activity was disrupted more in flexor than extensor muscles by preferential ischaemic blockade. Normal gait was associated with flexor contraction only when the foot was lifted and placed on the ground, whereas during ischaemic blockade flexor contraction continued during the interval between foot lifting and foot placement.
The `freezing' or `blocking' gait in Parkinson's disease was found to be associated with coactivation of flexor and extensor muscles and this phenomenon occurred only in patients with features of flexion dystonia in the electromyographic recordings of their tonic stretch reflexes. Eight of nine patients with evidence of flexion dystonia showed a deterioration in their response to l-dopa therapy over a two year period, whereas four patients without flexion dystonia maintained their clinical improvement.
Full text
PDF






Selected References
These references are in PubMed. This may not be the complete list of references from this article.
- Andrews C. J., Burke D., Lance J. W. The response to muscle stretch and shortening in Parkinsonian rigidity. Brain. 1972;95(4):795–812. doi: 10.1093/brain/95.4.795. [DOI] [PubMed] [Google Scholar]
- Andrews C. J., Burke D. Quantitative study of the effect of L-dopa and phenoxybenzamine on the rigidity of Parkinson's disease. J Neurol Neurosurg Psychiatry. 1973 Jun;36(3):321–328. doi: 10.1136/jnnp.36.3.321. [DOI] [PMC free article] [PubMed] [Google Scholar]
- Engberg I., Lundberg A. An electromyographic analysis of muscular activity in the hindlimb of the cat during unrestrained locomotion. Acta Physiol Scand. 1969 Apr;75(4):614–630. doi: 10.1111/j.1748-1716.1969.tb04415.x. [DOI] [PubMed] [Google Scholar]
- Goodwin G. M., McCloskey D. I., Matthews P. B. Proprioceptive illusions induced by muscle vibration: contribution by muscle spindles to perception? Science. 1972 Mar 24;175(4028):1382–1384. doi: 10.1126/science.175.4028.1382. [DOI] [PubMed] [Google Scholar]
- Webster D. D. Critical analysis of the disability in Parkinson's disease. Mod Treat. 1968 Mar;5(2):257–282. [PubMed] [Google Scholar]
- Yanagisawa N., Goto A. Dystonia musculorum deformans. Analysis with electromyography. J Neurol Sci. 1971 May;13(1):39–65. doi: 10.1016/0022-510x(71)90206-1. [DOI] [PubMed] [Google Scholar]
