Abstract
Apoptosis of macrophages and smooth muscle cells is linked to atherosclerotic plaque destabilization. The apoptotic cascade leads to exposure of negatively charged phosphatidylethanolamine (PE) on the outer leaflet of the cell membrane, thereby making apoptosis detectable using probes targeting PE. The objective of this study was to exploit capabilities of a PE-specific imaging probe, 99mTc-duramycin, in localizing atherosclerotic plaque and assessing plaque evolution in apolipoprotein-E knockout (ApoE-/-) mice.
Methods
Atherosclerosis was induced in ApoE-/- mice by feeding an atherogenic diet. 99mTc-duramycin images were acquired using a small-animal SPECT imager. Six ApoE-/- mice at 20 weeks of age (Group I) were imaged and then sacrificed for ex vivo analyses. Six additional ApoE-/- mice (Group II) were imaged at 20 and 40 weeks of age before sacrifice. Six ApoE wild-type (ApoE+/+) mice (Group III) were imaged at 40 weeks as controls. Five additional ApoE-/- mice (40 weeks of age) (Group IV) were imaged with a 99mTc-labeled inactive peptide, 99mTc-LinDUR, to assess 99mTc-duramycin targeting specificity.
Results
Focal 99mTc-duramycin uptake in the ascending aorta and aortic arch was detected at 20 and 40 weeks in the ApoE-/- mice but not in ApoE+/+ mice. 99mTc-duramycin uptake in the aortic lesions increased 2.2-fold on quantitative imaging in the ApoE-/- mice between 20 and 40 weeks. Autoradiographic and histological data indicated significantly increased 99mTc-duramycin uptake in the ascending aorta and aortic arch associated with advanced plaques. Quantitative autoradiography showed that the ratio of activity in the aortic arch to descending thoracic aorta, which had no plaques and radioactive uptake, was 2.1 times higher at 40 weeks than at 20 weeks (6.62±0.89 vs. 3.18±0.29, P<0.01). There was barely detectable focal uptake of 99mTc-duramycin in the aortic arch of ApoE+/+ mice. No detectable 99mTc-LinDUR uptake was observed in the aortas of ApoE-/- mice.
Conclusions
PE-targeting properties of 99mTc-duramycin in the atherosclerotic mouse aortas were noninvasively characterized. 99mTc-duramycin is promising in localizing advanced atherosclerotic plaques.
Keywords: Atherosclerosis, Phosphatidylethanolamine, Duramycin, SPECT
1. Introduction
Atherosclerosis, the leading cause of death in the developed world, is a slow and progressive inflammatory disease due to longstanding exposure to cardiovascular risk factors and cholesterol buildup on the inner walls of arteries [1-5]. As the disease progresses, defective efferocytosis and ensuing cell death of macrophages and smooth muscle cells (SMCs) promote plaque necrosis and instability [6]. A necrotic core is a prominent feature of advanced plaques [7-9]. Necrotic macrophages release cytoplasmic content and further induce enhanced inflammation and plaque instability. Eventually, progressive cell death, including apoptosis and necrosis, leads to fibrous cap thinning, lipid core growth, intra-plaque neovasculature and hemorrhage, and fibrous cap rupture and thrombosis [3, 10-14].
Under normal cellular conditions, phospholipids in membrane bilayers are asymmetrically distributed. Phosphatidylserine (PS), phosphatidylethanolamine (PE), and phosphatidylinositol (PI) are predominantly distributed in the inner leaflet of the plasma membrane of mammalian cells [15, 16]. Exposure of PS and PE molecules in the outer leaflet occurs during apoptosis, a coordinated physiological process encompassing a series of biochemical events. However, it remains unclear whether exposure of PE in the outer leaflet is involved in the initiation of apoptosis or is simply a marker of apoptosis without a role [17].
Duramycin is a 19-amino-acid peptide with a defined 3-dimensional binding pocket that accommodates the head group of PE with high affinity at a molar ratio of 1:1[18-21]. According to structural studies, the binding pocket of duramycin is highly selective to PE and there is no appreciable binding sites to PS, PI or other phospholipids, such as phosphatidic acid (PA), phosphatidylcholine (PC), and phosphatidylglycerol (PG). Upon binding to PE, duramycin becomes deposited in cellular membranes [22, 23]. Duramycin has been radiolabeled with 99mTc to probe the role of PE expression and cell death by SPECT imaging [24, 25] as 99mTc-duramycin binds to PE exposed on apoptotic and necrotic cells. Its low molecular weight (∼2 kDa) provides rapid intravascular targeting and blood washout, which may facilitate detection of altered vascular PE homeostasis and provide insights into features of atherosclerotic plaques.
The primary hypothesis in this study is that progressively increased 99mTc-duramycin uptake in plaque distinguishes advanced, unstable plaques from stable plaques. This study was therefore designed to verify the capabilities of 99mTc-duramycin to detect advanced atherosclerotic plaques using a well-defined model of apolipoprotein-E knockout (ApoE-/-) mice fed an atherogenic diet (AGD). We characterized the spatial distribution patterns of 99mTc-duramycin in healthy and atherosclerotic aortas by high-resolution SPECT imaging. We further explored the correlation of 99mTc-duramycin uptake with pathophysiological features of advanced plaques in vitro.
2. Material and Methods
2.1. Conjugation and 99mTc-labeling of duramycin
Duramycin was conjugated with 8 equivalents of succinimidyl-6-hydrazinonicotinamide acetone hydrazone (HYNIC-NHS) in anhydrous DMF containing N,N-diisopropylethylamine as base. The resulting HYNIC-duramycin was purified by HPLC and formulated with tricine and trisodium triphenylphosphine-3,3′,3″-trisulfonate (TPPTS) as co-ligands [25]. 99mTc-labeling was performed on-site using a single-step kit composed of 15 μg HYNIC-duramycin, 30 mg tricine, 10 mg TPPTS, and 15 μg tin chloride dehydrate (Molecular Targeting Technologies, Inc., West Chester, PA). 99mTc-pertechnetate (740 MBq) in 500 μL of saline was added to the vial and heated at 80°C for 20 min. Radiolabeled product was purified by reverse phase (RP) HPLC using a C18 column with a gradient elution of 25 mM NaH2PO4 at pH 6.7 and acetonitrile at a flow rate of 1 ml/min. Fractional collections containing 99mTc-duramycin were evaporated under N2 to remove acetonitrile prior to animal administration [26]. The labeling yield of the product was 85-92% and the radiochemical purity (RCP) was greater than 99% after HPLC purification.
An inactive form of duramycin, linear duramycin (LinDUR), was obtained from American Peptide Corporation (Sunnyvale, CA) and prepared as a negative control peptide for validation of 99mTc-duramycin specificity at atherosclerotic sites. LinDUR (Ala-Arg-Gln-Ala-Ala-Ala-Phe-Gly-Pro-Phe-Ala-Phe-Val-Ala-Asp-Gly-Asn-Ala-Arg) has the same sequence as duramycin except that thioether-linked amino acids are substituted with alanines and the lysines substituted with arginines. A similar LinDUR has been used by others as an inactive control for duramycin [27]. The control peptide was reacted with HYNIC-NHS ester in anhydrous DMSO purified by HPLC and radiolabeled with 99mTc in a manner similar to that used for preparation of 99mTc-duramycin.
2.2. Animal model and experimental groups
Breeding pairs of ApoE-/- mice were purchased from Jackson Laboratory (Bar Harbor, ME) and bred while consuming a regular diet in the Animal Care Center of the University of Arizona. Seventeen offspring ApoE-/- mice were assigned starting at 5 weeks of age to receive a D12079B atherogenic diet (AGD) (Research Diets, Inc., New Brunswick, NJ) containing 1.25% cholesterol and 0% cholate as described previously [28]. ApoE wild-type (ApoE+/+) C57BL/6 mice with the same genetic background fed regular chow served as controls. SPECT images of 99mTc-duramycin and 99mTc-LinDUR were collected in the following groups. Group I: ApoE-/-mice were imaged with 99mTc-duramycin once and sacrificed for postmortem analysis at 20 weeks of age (n=6). Group II: After first imaging with 99mTc-duramycin at 20 weeks of age, ApoE-/- mice were recovered, continued on an AGD, and imaged again with 99mTc-duramycin at 40 weeks of age (n=6). Group III: ApoE+/+ mice (C57BL/6J) were imaged with 99mTc-duramycin at a mean age of 40 weeks (range 35-51 weeks) (n=6). Group IV: ApoE-/- mice at a mean age of 40 weeks (range 20-51 weeks) were imaged once with 99mTc-labeled inactive control peptide (n=5).
2.3. SPECT image acquisition and analysis
All mice were anesthetized with 1.0-1.5% isoflurane for image acquisition using a stationary SPECT imager, FastSPECT II. The spatial resolution of FastSPECT II is about 1 mm with a 16-pinhole aperture. FastSPECT II provides dynamic imaging capabilities without rotation of either animals or detectors. The animal was positioned in the SPECT system so that the field of view would cover the entire chest and neck area. 99mTc-duramycin (or 99mTc-LinDUR in the controls) (55.5-92.5 MBq, 0.2 mL) was intravenously administered via a catheter in the tail vein. Dynamic list-mode SPECT projection data were collected for 10 minutes immediately after tracer injection. Subsequently, 5-minute projection data were acquired every 15 minutes up to 2 hours post-injection. Sixteen projections were obtained, one from each camera, to generate the data set for tomographic reconstruction. In selected animals, whole-body imaging data were acquired using a multi-bed acquisition protocol after 2-hour dynamic data were collected.
Reconstructions of FastSPECT II data were processed using 30 iterations of the OS-EM algorithm. Tomographic transverse, coronal, and sagittal slices with one-voxel thickness (0.5 mm) were produced using AMIDE 1.0.4 software. A lesion was interpreted as positive if focal uptake (hot spot) was localized to the region of the aorta on at least three adjacent tomographic slices. 3D region-of-interest (ROI) analysis was applied to generate time-activity curves (TACs) on dynamic images of the aortic arch and cardiac blood pool. When a hot-spot lesion was visible on the aortic arch, the ROIs were established over all hot-spots on coronal slices of the 120-minute image. When no aortic hot-spot lesions were visualized, the ROI was drawn directly over the aortic arch based on the 1-minute image, in which the cardiac blood pool and aortic arch were always visible. The ROIs of 120-minute or 1-minute slices were applied to all dynamic slices from 1 minute to 120 minutes for determining counts per voxel. After correction for acquisition time and decay, TACs were plotted by normalizing counts at each time to peak counts appearing on the 1-minute image. Based on the TACs, the fractional radioactive retention of the aortic hot-spot or aortic arch at 120 minutes post-injection was calculated.
2.4. Biodistribution measurement and autoradiography
At the end of the final imaging session, all mice were euthanized for biodistribution measurement and aortic autoradiography. Blood, entire aorta, and other organs were harvested, weighed, and measured with a dose calibrator/well counter. The aorta was harvested by dissecting free the surrounding fat and connective tissues under a Zeiss Opmi 6S Operating Microscope (Zeiss, Jena, Germany). Before the aorta was excised from the heart, photographs were taken using a digital camera to collect evidence of atherosclerotic plaques in aortic arch and carotid arteries. The whole aortas were fixed with 10% paraformaldehyde for 10 minutes. Subsequently the aortas were mounted on glass slides and laid on phosphate plates at 4 Co for 5 minutes of autoradiograph exposure and then placed in 10% buffered formalin for overnight fixation. The digital autoradiographs of aortas were read with a Fujifilm BAS-5000 reader. The intensity of radioactive uptake in lesions in the aortic arch was measured and compared with that in the thoracic descending aorta using SigmaScan software (SPSS Science, Chicago, IL).
2.5. Atherosclerotic plaque identification
Using autoradiographs as a guide, segments of fixed aortas with increased 99mTc-duramycin uptake and negative radioactive uptake were separated, respectively, for histological analysis. If no radioactive uptake was observed on the aorta, a segment near brachiocephalic trunk and left common carotid artery was selected for histological analysis. The aortic arch of the first mouse studied in Group I, II, and III was not formalin-fixed, but directly embedded in optimum cutting temperature (OCT) compound after autoradiography for cryosectioning. Frozen sections at 5 μm were collected for Oil Red O staining. Selected intact aortic sections were dipped briefly in 60% isopropanol and stained in 0.24% Oil Red-O in 60% isopropanol for 20 minutes. Sections were briefly washed in 60% isopropanol, then washed in water and counter-stained with hematoxylin [29-31].
Formalin-fixed aortic segments of the other mice were embedded in paraffin and cut at serial 5-μm cross-sections for hematoxylin and eosin (H&E) staining and immunohistochemical staining. Two sections of the aortic arch were placed on adhesive-coated tissue-section slides and stained with H&E to evaluate the overall architecture, presence of atherosclerotic plaque, atherosclerotic lesion type, and inflammatory cell infiltration. The histopathological characteristics of advanced plaques were determined as defined in the literature based on fibrous cap thickness, necrotic core, intra-plaque hemorrhage, cholesterol, inflammatory cell infiltration, and cell death [32-37]. Quantitatively, advanced plaque is defined as a plaque with a fibrous cap < 65 μm thick with an infiltrate of macrophages [33-35].
To evaluate apoptotic signals and macrophage accumulation, two adjacent aortic cross sections were prepared for staining as described before [38]. Apoptotic cells of aortic arches in representative ApoE-/- and ApoE+/+ mice were detected by the TdT-mediated dUTP nick end labeling (TUNEL) technique using DeadEnd™ Fluorometric TUNEL System purchased from Promega (Madison, WI). Macrophages were detected using a rat anti-F4/80 antibody [CI:A3-1] from Abcam (Cambridge, MA). Nuclei were counter-stained with 4′,6-diamidino-2-phenylindole (DAPI). These ex vivo measurements were used to validate the imaging findings.
2.6. Data Analysis
All quantitative results were expressed as mean ± S.E.M. One-way analysis of variance (ANOVA) and Bonferroni post hoc test were used to determine significant differences between the groups using SigmaPlot 12 software (Systat Software Inc., San Jose, CA). Probability values less than 0.05 were considered significant.
2.7. Ethics
The animal experiments were performed in accordance with Principles of Laboratory Animal Care from the National Institutes of Health (NIH Publication 85-23, revised 1985) and were approved by the Institutional Animal Care and Use Committee (IACUC) at the University of Arizona.
3. Results
3.1. In vivo dynamic images and kinetic profiles
Dynamic images of 99mTc-duramycin from three representative mice of Groups I, II, and III are shown in Fig.1. Blood-pool activity was evident almost immediately after radiotracer injection. By 5-10 minutes post-injection, focal distribution of radioactivity in the ascending aorta and aortic arch was noted in all ApoE-/- mice of Group I and Group II and remained prominent over the 120-minute post-injection period. Although the liver radioactivity became relatively higher after 30 minutes post-injection, the aortic hotspots were still well-visualized in the ApoE-/- mice, especially in the mice at 40 weeks of age. In the ApoE+/+ mice, the aortic arch regions exhibited distinct 99mTc-duramycin activity for only about 10-15 minutes after intravenous tracer administration, consistent with blood-pool activity. At 2 hours post-injection, cardiac and aortic radioactivity had washed out so that no detectable radioactivity remained. Dynamic 99mTc-LinDUR images acquired from ApoE-/- mice are not showed here because they exhibited a pattern similar to 99mTc-duramycin images collected from ApoE+/+ mice, with initial blood-pool activity in the aortic arch followed by rapid washout after 10-15 minutes.
Fig. 1.

Dynamic images of 99mTc-duramycin (serial reconstructed coronal slices) from 1 to 120 minutes post-injection in an ApoE-/- mouse at 20 weeks of age (A), an ApoE-/- mouse at 40 weeks of age (B), and an ApoE+/+ mouse (C). The mice were anesthetized with 1.0% isoflurane and received intravenous injection of 37.0-48.1 MBq 99mTc-duramycin. The number on the bottom of each frame is time in minutes after 99mTc-duramycin injection. Left ventricular, ascending aorta, and aortic arch blood activity is visualized on the 1-minute images and indicated by yellow arrows. The areas of ascending aorta and aortic arch in the mice in A and B demonstrated focal radioactivity, indicated by white arrows on 120-minute images; lesions became evident beginning at 15 minutes as blood-pool activity washed out. No areas of increased radioactivity were observed in the aortic area of the ApoE+/+ mouse (C).
As shown in Fig. 2, time-activity curves from ROI analysis of ApoE-/- mice showed that starting at 15 minutes post-injection of 99mTc-duramycin, the retention of radioactivity in the aortic arch region became significantly higher than baseline blood-pool activity at one minute post-injection. The radioactive retention of the aortic arch at two hours was 20.43±1.23% of baseline activity in the Group I ApoE-/- mice at 20 weeks, 22.58±4.19% and 46.79±4.27% in the Group II ApoE-/- mice at 20 weeks and 40 weeks respectively, and 11.98±0.97% in the Group III ApoE+/+ mice. The differences between these three groups were significant (P < 0.001). The retention of 99mTc-LinDUR at 2 hours was 4.76±1.19%, lower than that of 99mTc-duramycin in Groups I, II, and III (P < 0.01).
Fig.2.

Time-activity curves (TAC) generated by region-of-interest (ROI) analysis of images over the aortic arch and left ventricular blood pool. A, B, and C: TAC of ApoE-/- mice at 20 weeks of age (A), ApoE-/- mice at 40 weeks of age old (B), and ApoE+/+ mice (C). D: TAC of 99mTc-LinDUR of ApoE-/- mice. Radioactivity at each time point is normalized to 1-minute peak activity. * = P < 0.05 compared to activity of the left ventricular blood pool.
3.2. Features of 99mTc-duramycin aortic uptake in atherosclerotic aortas
In all ApoE-/- mice of Group II at the age of 40 weeks, SPECT images acquired at 2 hours after 99mTc-duramycin injection showed hot-spots in the ascending aorta and aortic arch region. Qualitatively, the radioactive level of those lesions was equal to or higher than that of the liver. Representative reconstructed SPECT images from an ApoE-/- mouse at 40 weeks of age are shown in Fig. 3.
Fig. 3.

A: Representative volume-rendered FastSPECT II image of 99mTc-duramycin at 120 minutes post-injection in an ApoE-/- mouse at 40 weeks of age. The mouse was anesthetized with 1.0% isoflurane and received intravenous injection of 40.7 MBq 99mTc-duramycin. B, C, and D: Representative views of three adjacent slices of coronal, transverse, and sagittal reconstructions of FastSPECT II data in the mouse. A lesion with high uptake, marked by white arrows, is present in the chest above the heart.
All ApoE-/- mice in Group I and Group II at 20 weeks of age showed increased uptake in the aortic arch region, but the level of uptake was less than on images in ApoE-/- mice at 40 weeks of age as shown in Fig. 4. There was no visible uptake of 99mTc-duramycin in the aortic arch of ApoE+/+ mice. No focal radioactive uptake of 99mTc-LinDUR was detectable anywhere in the chest in the ApoE-/- mice. The ratios of aortic arch to thoracic aorta as determined by ROI analysis are summarized in Table 1. The ratios at 40 weeks of age in the Group II ApoE-/- mice (6.62±0.89) were significantly higher than those at 20 weeks of age (3.18±0.29), as well as those in the Group I ApoE-/- mice (P < 0.01).
Fig. 4.

Autoradiographs of incised mouse aortas (bottom row) and their corresponding in vivo 99mTc-duramycin images (single reconstructed coronal slice) (top row) and photographs of intact aortas (middle row) from an ApoE-/- mouse at 20 weeks of age, ApoE+/+ mouse, and ApoE-/-mouse at 40 weeks of age, as well as 99mTc-LinDUR images in an ApoE-/- mouse (from left to right). The mice were anesthetized with 1.0% isoflurane and received intravenous injection of 37.0-48.1 MBq 99mTc-duramycin. The in vivo images were acquired for 5 minutes at 120 minutes after tracer injection. White arrows indicate lesions with increased 99mTc-duramycin uptake in aortas on SPECT images. Yellow arrows mark plaques in the aortas and carotid arteries. Red arrows represent increased radioactive lesions on autoradiographs. The asterisk indicates the 99mTc-LinDUR mouse.
Table 1. Radioactive ratios of aortic arch to thoracic aorta (mean ± s.e.m).
| Ratio | Group I ApoE-/- 20-wk |
Group II ApoE-/- 40-wk |
Group III ApoE+/+ |
Group IV ApoE-/-/LinDUR |
|---|---|---|---|---|
| In vivo | 3.35±0.21*,† | 6.62±0.89*,† | 1.94±0.19† | 1.07±0.12 |
| Ex vivo | 3.46±0.18*,† | 7.75±1.26*,† | 1.67±0.25† | 1.19±0.22 |
P < 0.01 compared to Group III;
P < 0.01 compared to Group IV.
Representative aortic autoradiographs and their corresponding in vivo SPECT images, as well as photographs showing observable plaques in the ascending aorta, aortic arch, and carotid arteries, are shown in Fig. 4. The ex vivo images of ApoE-/- mice at 40 weeks of age confirmed increased 99mTc-duramycin uptake in the ascending aorta, aortic arch, carotid arteries, and abdominal aorta, but not in the thoracic descending aorta. ApoE-/- mice at 20 weeks old exhibited increased 99mTc-duramycin accumulation similar to that at 40 weeks, but the radioactive levels were much lower. There was barely detectable uptake of 99mTc-duramycin around the ascending aorta and aortic arch of the ApoE+/+ mice. There was no autoradiograph-detectable focal accumulation of 99mTc-LinDUR in the aortas of ApoE-/- mice. The ex vivo activity ratios of aortic arches to the thoracic aortas, which lack plaque and serve as controls, are shown in Table 1. The biodistribution measurements (%ID/g), shown in Table 2, indicate higher aortic radioactive uptake in ApoE-/- mice at both 20 and 40 weeks than in ApoE+/+ mice (P<0.01). The uptake of 99mTc-duramycin in the aortas of ApoE-/- mice at 40 weeks was 2.6-fold higher than at 20 weeks of age (P<0.01). The biodistribution of 99mTc-duramycin was prominent in the liver and kidneys. In contrast, 99mTc-LinDUR exhibited high activity in the kidneys only.
Table 2. Biodistribution of 99mTc-duramycin (%ID/g) (mean ± s.e.m).
| Tissue | Group I ApoE-/- 20-wk |
Group II ApoE-/- 40-wk |
Group III ApoE+/+ |
Group IV ApoE-/-/LinDUR |
|---|---|---|---|---|
| Blood | 0.96±0.26 * | 1.43±0.22* | 0.44±0.15 | 0.24±0.06† |
| Aorta | 1.47±0.26* | 3.77±0.46*,‡ | 0.45±0.14 | 0.29±0.15† |
| Heart | 0.65±0.13 | 0.91±0.14 | 0.59±0.27 | 0.27±0.15† |
| Lung | 1.80±0.47* | 2.26±0.36* | 0.59±0.28 | 0.59±0.26† |
| Liver | 14.06±4.88 | 17.72±5.41 | 15.64±7.09 | 0.47±0.12† |
| Spleen | 6.41±1.84 | 8.31±2.69 | 6.09±1.85 | 0.43±0.17† |
| Stomach | 0.69±0.13 | 0.65±0.09 | 0.51±0.18 | 0.77±0.13 |
| Small Intestine | 2.16±0.63* | 4.18±1.01* | 0.96±0.09 | 0.60±0.21† |
| Large Intestine | 0.57±0.07 | 0.98±0.19 | 0.57±0.06 | 0.91±0.23 |
| Kidneys | 36.5±7.46 | 24.43±2.99 | 26.01±5.32 | 7.44±0.66† |
| Muscle | 0.21±0.08 | 0.30±0.13 | 0.10±0.04 | 0.13±0.06 |
| Skin | 0.76±0.41* | 0.83±0.23* | 0.13±0.07 | 0.19±0.06† |
P < 0.01 compared to Group III;
P < 0.01 compared to Group I and Group II;
P < 0.01 compared to Group I.
3.3. Plaque identification
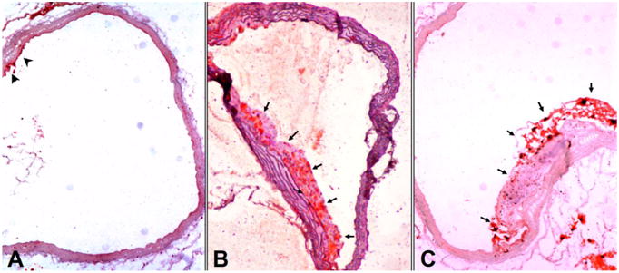
After fat and connective tissues were dissected, atherosclerotic plaques appearing as white spots were observed in ascending aortas and aortic arches of all ApoE-/- mice at 20 weeks and 40 weeks of age. As presented in Fig 5, frozen sectioning and lipid staining with Oil Red O demonstrated that the intima of the aorta of the wild-type control mouse was overall normal although small fatty streaks were visible (Fig. 5A). Atherosclerotic lesion formation was clearly observed in the aortic arches of the ApoE-/- mice at 20 weeks and 40 weeks of age, respectively. The plaque of the 20-week-old ApoE-/- mouse showed a lipid-positive appearance localized in the intimal area of the aortic arch. Substantial lipid deposits were found in the intima of the aorta of the 40-week-old mouse. The aortic plaque in the older mouse was complex and had a multiply layered appearance. It was larger and deep in the medial layer with apparent disruption of elastic lamina.
Fig. 5.

Photomicrographs (100×) of representative sections of aortic arches stained with Oil Red-O in ApoE+/+ control (A), ApoE-/- mouse at 20 weeks of age (B) and 40 weeks of age (C). Atherosclerotic plaques are clearly visible in B and C. Arrows indicate typical lipid-rich atherosclerotic areas stained with Oil Red O. Only mild fatty streaks (arrow heads) are seen in the intima of the control aorta.
Microscopic slides from fourteen of twenty-three aortic arches were technically acceptable for further histological analysis after autoradiograph exposure, formalin fixing, paraffin embedding, and sectioning. H&E-stained aortic sections of six ApoE-/- mice (four from Group II and two from Group IV) at 40 weeks of age exhibited predominantly advanced plaques, as shown in Fig. 6, including extensive inflammatory infiltration, cell death, large necrotic core, intra-plaque hemorrhage, and fibrous cap less than 65 μm thick. On additional slides prepared from thoracic and abdominal aortic segments of two aortas from Group II, advanced plaques were also observed in the abdominal aortas corresponding to lesions localized by autoradiography, but not in descending thoracic aortic segments. There were no atherosclerotic plaques in four aortas obtained from ApoE+/+ control mice in Group III. Although the aortic arches in four ApoE-/- mice studied at 20 weeks of age (Group I) also showed advanced atherosclerotic plaques, advanced features were much less frequent compared with those observed at 40 weeks of age, as shown in Fig 6. The thickness of plaque fibrous cap was less than 65 μm in two aortic arches and greater than 65 μm in another aortic arch.
Fig. 6.

Photomicrographs (200×) of H&E-stained sections from the aortic arch of a representative ApoE+/+ mouse (A), ApoE-/- mouse at 20 weeks of age (B), and ApoE-/- mouse at 40 weeks of age (C). No plaques were present in the aorta of the ApoE+/+ mouse, but plaques (marked by red arrows) were present in the aortic arch in both ApoE-/- mice. The plaque in the 40-week-old mouse was found to be advanced, with a fibrous cap < 65 μm thick, necrotic core, and intensive inflammatory cell infiltration.
Representative images in Fig 7 show TUNEL-positive nuclei in atherosclerotic plaques in ApoE-/- mice at 20 weeks and 40 weeks of age. Lesions from the 20-week-old mice had less TUNEL-positive nuclei than lesions from the 40-week-old. Double staining of TUNEL and anti-macrophage antibody showed that many of the TUNEL-positive nuclei were from macrophages. High apoptotic activity was also observed in nuclei of other cells in the plaques of ApoE-/- mice at 40 weeks of age. A few macrophages were occasionally visible in the aortic wall of ApoE+/+ mice, but TUNEL-positive nuclei were rarely seen within the aortic wall.
Fig. 7.

Photomicrographs (400×) of sections with double staining of TUNEL and anti-macrophage (Anti-F4/80) antibody immunostaining from the representative aortic arch of the same mice shown in Fig. 6: ApoE+/+ mouse (A), ApoE-/- mouse at 20 weeks of age (B), and ApoE-/- mouse at 40 weeks of age (C). Nuclei (blue) were counter-stained with DAPI. Numerous macrophages (green) and TUNEL-positive nuclei (red) are observed in the aortic wall and plaque of the ApoE-/- mouse at 40 weeks of age. Macrophages and TUNEL-positive nuclei are less evident in the aortic wall and plaque of the 20-week-old ApoE-/- mouse, and are almost absent in the aorta of the ApoE+/+ mouse.
4. Discussion
Apoptosis occurs at all stages of atherosclerotic disease development. Although externalization of PS on the outer plasma membrane of apoptotic cells is a well-known recognition biomarker, there has been little study of externalized PE as a target for imaging cell death in plaques. PE is a highly abundant phospholipid species in mammalian cellular membranes. PS is quantitatively a minor component. The great majority (>80%) of PE normally locates in the inner leaflet of the plasma membrane of mammalian cells [15, 16]. In view of the role of PE in vascular homeostasis and its potential link to altered arterial cell and membrane function, detection of PE externalization using 99mTc-duramycin may provide a new measure of advanced plaques [39]. 99mTc-duramycin uptake is attributed to a combination of processes in both apoptotic and necrotic cells. Initial studies on 99mTc-duramycin PE targeting indicate that this molecular imaging probe has good uptake in target tissues with rapid blood clearance and low soft-tissue background. The peptide is extensively cross-linked by intramolecular covalent bridges that provide relatively high in vivo stability. The agent has targeting activities comparable to 99mTc-annexin-V, which binds to the negatively charged PS in the presence of Ca2+ [9, 40-44], but unlike annexin-V it has peptide-like pharmacokinetics [45]. The combination of these factors makes 99mTc-duramycin potentially a more attractive atherosclerosis imaging agent than 99mTc-annexin-V, which has a low target-to-background ratio and high uptake in the liver. Thus, because of more binding targets available and more favorable peptide-like features, 99mTc-duramycin may play a useful role in differentiating the status of atherosclerotic plaques and detecting plaques at risk of rupture.
The ApoE-/- mouse is characterized by severe hypercholesterolemia and spontaneous, rapid atherosclerosis development [46]. However, the small size of mice makes it impractical to image coronary artery atherosclerosis as performed in humans. Because prominent atherosclerotic lesions usually develop in the ascending aorta, aortic arch and the arterial bifurcation, it is easier to localize the plaques on the aorta and brachiocephalic trunk and particularly in the aortic arch by high-resolution in vivo imaging and subsequent ex vivo characterizations, such as Oil Red O and H&E staining. The high spatial and temporal resolution of the stationary FastSPECT II system successfully defined the imaging features and kinetic profiles of 99mTc-duramycin in the small atherosclerotic aortas of the ApoE-/- mice in this study. We found that the level of 99mTc-duramycin uptake in atherosclerotic lesions correlated with the progression of advanced plaque identified by postmortem H&E staining, TUNEL, and macrophage staining. The in vivo imaging data corresponding to ex vivo characterizations suggest that progressive uptake of 99mTc-duramycin in the plaque might be an index of plaque destabilization. As determined by TUNEL analysis and macrophage staining, the cells most prominently involved in increased 99mTc-duramycin uptake appeared to be apoptotic macrophages, which are a major contributor to atherosclerotic plaque destabilization and lead to increased lesion size and necrotic core expansion [5, 6, 47-50]. Our longitudinal imaging protocol in ApoE-/- 20 and 40 weeks-old mice delineated plaque evolution features corresponding to increased 99mTc-duramycin uptake.
To clarify whether the higher 99mTc-duramycin uptake in aortas in 40-week-old mice was simply due to larger plaque size, we quantitatively analyzed the plaque intensity of the aortic arch on autoradiograph images and normalized the plaque intensity with a measurement from the thoracic aorta as non-plaque background. The results of our plaque radioactive intensity and histological/immunohistochemical characterization indicate that plaque progression, not size, likely accounts for the increased uptake of 99mTc-duramycin. It is unclear if there is a threshold of 99mTc-duramycin uptake that would define advanced plaque from stable plaque based on imaging assessment. Further studies using 99mTc-duramycin to assess plaque evolution leading to rupture are required in models such as rabbits and other large animals.
Atherosclerosis is a geometrically heterogeneous disease that preferentially affects the outer edges of vessel bifurcations [51]. It has been reported that PE is more highly expressed in aortic arch and flow dividers that are exposed to significant hemodynamic stress [52-55]. However, whether the exposure of PE at such sites involves a distinct mechanism of externalization has not been clarified. Our 99mTc-duramycin imaging results indicated that upregulated PE distribution on the luminal surface of the aortic arch in healthy mice was negligible compared to the highly upregulated PE externalization in atherosclerotic plaques. Increased endothelial permeability and intra-plaque neovascularization might contribute to nonspecific radioactive accumulation of radiolabeled polypeptides in plaque. Our results using 99mTc-LinDUR showed little nonspecific uptake and support specific targeting of 99mTc-duramycin in the plaques.
There are technical limitations to this study. A whole mount Oil Red O-stained photograph of the excised aortas would help to verify the co-localization of 99mTc-duramycin and plaque presence as we did in a study published previously [28]. In this study, we needed the aortic specimens well-preserved for immunohistochemical analyses and did not do the lipid staining. Instead, we selected one mouse aortic arch from each group for cryosectioning and stained 5-μm sections with Oil Red O to confirm the plaque presence. Oil Red O staining is not feasible in formalin-fixed paraffin embedded tissue sections. The long time required for isolation of the tiny mouse aortas and for subsequent autoradiograph exposure might result in excessive vessel shrinkage, desiccation, and cell degradation, and thus the histopathological specimens for plaque identification might be an imperfect representation of in vivo plaque morphology and pathology. Moreover, we could not collect all aortic sections and prepare acceptable tissue slides of all mice studied in the four groups for histological and immunohistochemical analysis. Thus, plaque stability could not be identified in all mice by H&E staining, TUNEL, and macrophage staining for correlation with 99mTc-duramycin uptake. It would be ideal to stain PE expression in the plaques using an anti-PE antibody and correlate the PE level with plaque radioactivity determined by high-resolution autoradiography to assess 99mTc-duramycin targeting selectivity and specificity. However, anti-PE antibodies are not commercially available. In addition, no micro-CT images were acquired in this study to precisely localize focal radioactive uptake in the mouse aorta on SPECT images, although we overcame this drawback by using FastSPECT II to determine aorta orientation and radioactive uptake on early blood-pool images.
Hepatobiliary and intestinal 99mTc-duramycin activity may hinder detection of plaque in the abdominal aorta. High 99mTc-duramycin accumulation in kidneys and liver was noted in this study and in a previous report [26]. Higher blood radioactivity was also observed in the ApoE-/-mice relative to the wild type control mice, possibly related to circulatory changes induced by atherosclerosis. Unlike the difference in blood radioactivity between ApoE-/- and ApoE+/+ mice, we did not see a significant difference in the liver uptake of 99mTc-duramycin between the ApoE-/-mice and ApoE+/+ mice. It has been suggested that liver uptake of 99mTc-duramycin in mice may be due to the abundant expression of PE in lipoproteins [26, 56, 57], but this has not been verified. It is not likely that the liver uptake is primarily due to high lipophilicity of 99mTc-duramycin because this radiotracer is water soluble. We have obtained biodistribution data of 99mTc-duramycin in Sprague-Dawley rats (unpublished data), in which uptake of 99mTc-duramycin in the liver was significantly lower than in the mice in the present study, and it was consistent with results in rats reported previously [24, 25]. Thus, there may be a difference between rats and mice in terms of 99mTc-duramycin biodistribution and pharmacokinetics. Chelators and linkers may also affect liver uptake of 99mTc-duramycin. We plan to investigate whether different 99mTc chelators as well as linking groups can affect the overall hydrophilicity and charge of the radiotracer to improve biodistribution and provide superior properties for in vivo imaging.
5. Conclusion
PE-targeting properties of 99mTc-duramycin in advanced atherosclerotic plaques were characterized by high-resolution dynamic SPECT imaging in this study. 99mTc-duramycin showed increasing uptake during plaque evolution in atherosclerotic ApoE-/- mice, suggesting that 99mTc-duramycin may be capable of distinguishing between mild and severe atherosclerosis or discriminating unstable from stable plaques. Further studies of PE externalization using 99mTc-duramycin may provide important information regarding the pathogenesis of endothelial dysfunction and atherosclerosis development. Uptake profiles of 99mTc-duramycin in progressive atherosclerotic stages from early stage to ruptured plaques using larger animal models are warranted to determine if 99mTc-duramycin SPECT imaging is a specific tool with which to identify advanced plaques. If such specificity is confirmed, 99mTc-duramycin would have high translational value in patients at high risk of atherosclerotic complications by promoting timely therapy to prevent plaque rupture and cardiovascular death.
Acknowledgments
The authors are grateful to Dr. Harrison Barrett, Director of the Center for Gamma-Ray Imaging, for making the facilities of the Center available for animal imaging studies. We wish to thank Dr. Gail Stevenson for support in animal care and Dr. Luca Caucci for expertise in SPECT data reconstruction. We thank Edward Abril from the University of Arizona Tissue Acquisition and Cellular/Molecular Analysis Shared Service, which is supported by the Arizona Cancer Center Grant (NIH CA023074), for generating the histological data. Drs. Koon Y. Pak and Brian D. Gray are president and vice president for research of Molecular Targeting Technologies, Inc. This work was supported by American Heart Association (AHA) grant 15GRNT25090202 and NIH/NIBIB grant P41-EB002035.
Footnotes
Publisher's Disclaimer: This is a PDF file of an unedited manuscript that has been accepted for publication. As a service to our customers we are providing this early version of the manuscript. The manuscript will undergo copyediting, typesetting, and review of the resulting proof before it is published in its final citable form. Please note that during the production process errors may be discovered which could affect the content, and all legal disclaimers that apply to the journal pertain.
References
- 1.Packard RR, Libby P. Inflammation in atherosclerosis: from vascular biology to biomarker discovery and risk prediction. Clin Chem. 2008;54:24–38. doi: 10.1373/clinchem.2007.097360. [DOI] [PubMed] [Google Scholar]
- 2.Hisaka S, Osawa T. Lipid hydroperoxide-derived adduction to amino-phospholipid in biomembrane. Subcell Biochem. 2014;77:41–48. doi: 10.1007/978-94-007-7920-4_3. [DOI] [PubMed] [Google Scholar]
- 3.Zhang H, Zhang L, Myerson J, Bibee K, Scott M, Allen J, et al. Quantifying the evolution of vascular barrier disruption in advanced atherosclerosis with semipermeant nanoparticle contrast agents. PLoS One. 2011;6:e26385. doi: 10.1371/journal.pone.0026385. [DOI] [PMC free article] [PubMed] [Google Scholar]
- 4.Libby P, Ridker PM, Maseri A. Inflammation and atherosclerosis. Circulation. 2002;105:1135–1143. doi: 10.1161/hc0902.104353. [DOI] [PubMed] [Google Scholar]
- 5.Lamon BD, Hajjar DP. Inflammation at the molecular interface of atherogenesis: an anthropological journey. Am J Pathol. 2008;173:1253–1264. doi: 10.2353/ajpath.2008.080442. [DOI] [PMC free article] [PubMed] [Google Scholar]
- 6.Andres V, Pello OM, Silvestre-Roig C. Macrophage proliferation and apoptosis in atherosclerosis. Curr Opin Lipidol. 2012;23:429–438. doi: 10.1097/MOL.0b013e328357a379. [DOI] [PubMed] [Google Scholar]
- 7.Burke AP, Kolodgie FD, Farb A, Weber D, Virmani R. Morphological predictors of arterial remodeling in coronary atherosclerosis. Circulation. 2002;105:297–303. doi: 10.1161/hc0302.102610. [DOI] [PubMed] [Google Scholar]
- 8.Seimon T, Tabas I. Mechanisms and consequences of macrophage apoptosis in atherosclerosis. J Lipid Res. 2009;50(Suppl):S382–387. doi: 10.1194/jlr.R800032-JLR200. [DOI] [PMC free article] [PubMed] [Google Scholar]
- 9.De Saint-Hubert M, Bauwens M, Deckers N, Drummen M, Douma K, Granton P, et al. In vivo molecular imaging of apoptosis and necrosis in atherosclerotic plaques using microSPECT-CT and microPET-CT imaging. Mol Imaging Biol. 2014;16:246–254. doi: 10.1007/s11307-013-0677-0. [DOI] [PubMed] [Google Scholar]
- 10.Zhao Y, Watanabe A, Zhao S, Kobayashi T, Fukao K, Tanaka Y, et al. Suppressive effects of irbesartan on inflammation and apoptosis in atherosclerotic plaques of apoE-/- mice: molecular imaging with 14C-FDG and 99mTc-annexin A5. PLoS One. 2014;9:e89338. doi: 10.1371/journal.pone.0089338. [DOI] [PMC free article] [PubMed] [Google Scholar]
- 11.Ross R. Atherosclerosis--an inflammatory disease. N Engl J Med. 1999;340:115–126. doi: 10.1056/NEJM199901143400207. [DOI] [PubMed] [Google Scholar]
- 12.Andreotti F, Porto I, Crea F, Maseri A. Inflammatory gene polymorphisms and ischaemic heart disease: review of population association studies. Heart. 2002;87:107–112. doi: 10.1136/heart.87.2.107. [DOI] [PMC free article] [PubMed] [Google Scholar]
- 13.Aikawa M, Libby P. Lipid lowering therapy in atherosclerosis. Semin Vasc Med. 2004;4:357–366. doi: 10.1055/s-2004-869592. [DOI] [PubMed] [Google Scholar]
- 14.Halvorsen B, Otterdal K, Dahl TB, Skjelland M, Gullestad L, Oie E, et al. Atherosclerotic plaque stability--what determines the fate of a plaque? Progress in cardiovascular diseases. 2008;51:183–194. doi: 10.1016/j.pcad.2008.09.001. [DOI] [PubMed] [Google Scholar]
- 15.Larson MC, Woodliff JE, Hillery CA, Kearl TJ, Zhao M. Phosphatidylethanolamine is externalized at the surface of microparticles. Biochim Biophys Acta. 2012;1821:1501–1507. doi: 10.1016/j.bbalip.2012.08.017. [DOI] [PMC free article] [PubMed] [Google Scholar]
- 16.Vance JE. Phosphatidylserine and phosphatidylethanolamine in mammalian cells: two metabolically related aminophospholipids. J Lipid Res. 2008;49:1377–1387. doi: 10.1194/jlr.R700020-JLR200. [DOI] [PubMed] [Google Scholar]
- 17.Kagan VE, Fabisiak JP, Shvedova AA, Tyurina YY, Tyurin VA, Schor NF, et al. Oxidative signaling pathway for externalization of plasma membrane phosphatidylserine during apoptosis. FEBS Lett. 2000;477:1–7. doi: 10.1016/s0014-5793(00)01707-5. [DOI] [PubMed] [Google Scholar]
- 18.Iwamoto K, Hayakawa T, Murate M, Makino A, Ito K, Fujisawa T, et al. Curvature-dependent recognition of ethanolamine phospholipids by duramycin and cinnamycin. Biophys J. 2007;93:1608–1619. doi: 10.1529/biophysj.106.101584. [DOI] [PMC free article] [PubMed] [Google Scholar]
- 19.Navarro J, Chabot J, Sherrill K, Aneja R, Zahler SA, Racker E. Interaction of duramycin with artificial and natural membranes. Biochemistry. 1985;24:4645–4650. doi: 10.1021/bi00338a025. [DOI] [PubMed] [Google Scholar]
- 20.Sokolove PM, Westphal PA, Kester MB, Wierwille R, Sikora-VanMeter K. Duramycin effects on the structure and function of heart mitochondria. I. Structural alterations and changes in membrane permeability. Biochim Biophys Acta. 1989;983:15–22. doi: 10.1016/0005-2736(89)90374-x. [DOI] [PubMed] [Google Scholar]
- 21.Marconescu A, Thorpe PE. Coincident exposure of phosphatidylethanolamine and anionic phospholipids on the surface of irradiated cells. Biochim Biophys Acta. 2008;1778:2217–2224. doi: 10.1016/j.bbamem.2008.05.006. [DOI] [PubMed] [Google Scholar]
- 22.Rzeznicka II, Sovago M, Backus EH, Bonn M, Yamada T, Kobayashi T, et al. Duramycin-induced destabilization of a phosphatidylethanolamine monolayer at the air-water interface observed by vibrational sum-frequency generation spectroscopy. Langmuir. 2010;26:16055–16062. doi: 10.1021/la1028965. [DOI] [PubMed] [Google Scholar]
- 23.Zebedin E, Koenig X, Radenkovic M, Pankevych H, Todt H, Freissmuth M, et al. Effects of duramycin on cardiac voltage-gated ion channels. Naunyn Schmiedebergs Arch Pharmacol. 2008;377:87–100. doi: 10.1007/s00210-007-0248-5. [DOI] [PubMed] [Google Scholar]
- 24.Zhao M, Li Z, Bugenhagen S. 99mTc-labeled duramycin as a novel phosphatidylethanolamine-binding molecular probe. J Nucl Med. 2008;49:1345–1352. doi: 10.2967/jnumed.107.048603. [DOI] [PubMed] [Google Scholar]
- 25.Zhao M, Li Z. A single-step kit formulation for the (99m)Tc-labeling of HYNIC-Duramycin. Nucl Med Biol. 2012;39:1006–1011. doi: 10.1016/j.nucmedbio.2012.03.006. [DOI] [PMC free article] [PubMed] [Google Scholar]
- 26.Elvas F, Vangestel C, Rapic S, Verhaeghe J, Gray B, Pak K, et al. Characterization of [(99m)Tc]Duramycin as a SPECT Imaging Agent for Early Assessment of Tumor Apoptosis. Mol Imaging Biol. 2015;17:838–847. doi: 10.1007/s11307-015-0852-6. [DOI] [PMC free article] [PubMed] [Google Scholar]
- 27.Stafford JH, Thorpe PE. Increased exposure of phosphatidylethanolamine on the surface of tumor vascular endothelium. Neoplasia. 2011;13:299–308. doi: 10.1593/neo.101366. [DOI] [PMC free article] [PubMed] [Google Scholar]
- 28.Liu Z, Lerman LO, Tang H, Barber C, Wan L, Hui MM, et al. Inflammation imaging of atherosclerosis in Apo-E-deficient mice using a (99m)Tc-labeled dual-domain cytokine ligand. Nucl Med Biol. 2014;41:785–792. doi: 10.1016/j.nucmedbio.2014.08.004. [DOI] [PMC free article] [PubMed] [Google Scholar]
- 29.Kotla S, Singh NK, Heckle MR, Tigyi GJ, Rao GN. The transcription factor CREB enhances interleukin-17A production and inflammation in a mouse model of atherosclerosis. Sci Signal. 2013;6:ra83. doi: 10.1126/scisignal.2004214. [DOI] [PMC free article] [PubMed] [Google Scholar]
- 30.Andres-Manzano MJ, Andres V, Dorado B. Oil Red O and Hematoxylin and Eosin Staining for Quantification of Atherosclerosis Burden in Mouse Aorta and Aortic Root. Methods Mol Biol. 2015;1339:85–99. doi: 10.1007/978-1-4939-2929-0_5. [DOI] [PubMed] [Google Scholar]
- 31.Fredrikson GN, Soderberg I, Lindholm M, Dimayuga P, Chyu KY, Shah PK, et al. Inhibition of atherosclerosis in apoE-null mice by immunization with apoB-100 peptide sequences. Arterioscler Thromb Vasc Biol. 2003;23:879–884. doi: 10.1161/01.ATV.0000067937.93716.DB. [DOI] [PubMed] [Google Scholar]
- 32.Burtea C, Ballet S, Laurent S, Rousseaux O, Dencausse A, Gonzalez W, et al. Development of a magnetic resonance imaging protocol for the characterization of atherosclerotic plaque by using vascular cell adhesion molecule-1 and apoptosis-targeted ultrasmall superparamagnetic iron oxide derivatives. Arterioscler Thromb Vasc Biol. 2012;32:e36–48. doi: 10.1161/ATVBAHA.112.245415. [DOI] [PubMed] [Google Scholar]
- 33.Vengrenyuk Y, Kaplan TJ, Cardoso L, Randolph GJ, Weinbaum S. Computational stress analysis of atherosclerotic plaques in ApoE knockout mice. Ann Biomed Eng. 2010;38:738–747. doi: 10.1007/s10439-009-9897-5. [DOI] [PubMed] [Google Scholar]
- 34.Finn AV, Nakano M, Narula J, Kolodgie FD, Virmani R. Concept of vulnerable/unstable plaque. Arterioscler Thromb Vasc Biol. 2010;30:1282–1292. doi: 10.1161/ATVBAHA.108.179739. [DOI] [PubMed] [Google Scholar]
- 35.Fuster V, Moreno PR, Fayad ZA, Corti R, Badimon JJ. Atherothrombosis and high-risk plaque: part I: evolving concepts. J Am Coll Cardiol. 2005;46:937–954. doi: 10.1016/j.jacc.2005.03.074. [DOI] [PubMed] [Google Scholar]
- 36.den Adel B, van der Graaf LM, Strijkers GJ, Lamb HJ, Poelmann RE, van der Weerd L. Self-gated CINE MRI for combined contrast-enhanced imaging and wall-stiffness measurements of murine aortic atherosclerotic lesions. PLoS One. 2013;8:e57299. doi: 10.1371/journal.pone.0057299. [DOI] [PMC free article] [PubMed] [Google Scholar]
- 37.Virmani R, Burke AP, Farb A, Kolodgie FD. Pathology of the vulnerable plaque. J Am Coll Cardiol. 2006;47:C13–18. doi: 10.1016/j.jacc.2005.10.065. [DOI] [PubMed] [Google Scholar]
- 38.Li ZL, Ebrahimi B, Zhang X, Eirin A, Woollard JR, Tang H, et al. Obesity-metabolic derangement exacerbates cardiomyocyte loss distal to moderate coronary artery stenosis in pigs without affecting global cardiac function. Am J Physiol Heart Circ Physiol. 2014;306:H1087–1101. doi: 10.1152/ajpheart.00052.2013. [DOI] [PMC free article] [PubMed] [Google Scholar]
- 39.Chen M, Mason RP, Tulenko TN. Atherosclerosis alters the composition, structure and function of arterial smooth muscle cell plasma membranes. Biochim Biophys Acta. 1995;1272:101–112. doi: 10.1016/0925-4439(95)00073-d. [DOI] [PubMed] [Google Scholar]
- 40.Kolodgie FD, Petrov A, Virmani R, Narula N, Verjans JW, Weber DK, et al. Targeting of apoptotic macrophages and experimental atheroma with radiolabeled annexin V: a technique with potential for noninvasive imaging of vulnerable plaque. Circulation. 2003;108:3134–3139. doi: 10.1161/01.CIR.0000105761.00573.50. [DOI] [PubMed] [Google Scholar]
- 41.Isobe S, Tsimikas S, Zhou J, Fujimoto S, Sarai M, Branks MJ, et al. Noninvasive imaging of atherosclerotic lesions in apolipoprotein E-deficient and low-density-lipoprotein receptor-deficient mice with annexin A5. J Nucl Med. 2006;47:1497–1505. [PubMed] [Google Scholar]
- 42.Hartung D, Sarai M, Petrov A, Kolodgie F, Narula N, Verjans J, et al. Resolution of apoptosis in atherosclerotic plaque by dietary modification and statin therapy. J Nucl Med. 2005;46:2051–2056. [PubMed] [Google Scholar]
- 43.Kietselaer BL, Reutelingsperger CP, Heidendal GA, Daemen MJ, Mess WH, Hofstra L, et al. Noninvasive detection of plaque instability with use of radiolabeled annexin A5 in patients with carotid-artery atherosclerosis. N Engl J Med. 2004;350:1472–1473. doi: 10.1056/NEJM200404013501425. [DOI] [PubMed] [Google Scholar]
- 44.Laufer EM, Winkens MH, Narula J, Hofstra L. Molecular imaging of macrophage cell death for the assessment of plaque vulnerability. Arterioscler Thromb Vasc Biol. 2009;29:1031–1038. doi: 10.1161/ATVBAHA.108.165522. [DOI] [PubMed] [Google Scholar]
- 45.Audi S, Li Z, Capacete J, Liu Y, Fang W, Shu LG, et al. Understanding the in vivo uptake kinetics of a phosphatidylethanolamine-binding agent (99m)Tc-Duramycin. Nucl Med Biol. 2012;39:821–825. doi: 10.1016/j.nucmedbio.2012.02.004. [DOI] [PMC free article] [PubMed] [Google Scholar]
- 46.Reddick RL, Zhang SH, Maeda N. Atherosclerosis in mice lacking apo E. Evaluation of lesional development and progression. Arterioscler Thromb. 1994;14:141–147. doi: 10.1161/01.atv.14.1.141. [DOI] [PubMed] [Google Scholar]
- 47.Osborn EA, Jaffer FA. Advances in molecular imaging of atherosclerotic vascular disease. Curr Opin Cardiol. 2008;23:620–628. doi: 10.1097/HCO.0b013e328310fc7e. [DOI] [PMC free article] [PubMed] [Google Scholar]
- 48.Libby P. Inflammation in atherosclerosis. Nature. 2002;420:868–874. doi: 10.1038/nature01323. [DOI] [PubMed] [Google Scholar]
- 49.Naghavi M, Libby P, Falk E, Casscells SW, Litovsky S, Rumberger J, et al. From vulnerable plaque to vulnerable patient: a call for new definitions and risk assessment strategies: Part I. Circulation. 2003;108:1664–1672. doi: 10.1161/01.CIR.0000087480.94275.97. [DOI] [PubMed] [Google Scholar]
- 50.Naghavi M, Libby P, Falk E, Casscells SW, Litovsky S, Rumberger J, et al. From vulnerable plaque to vulnerable patient: a call for new definitions and risk assessment strategies: Part II. Circulation. 2003;108:1772–1778. doi: 10.1161/01.CIR.0000087481.55887.C9. [DOI] [PubMed] [Google Scholar]
- 51.Malek AM, Alper SL, Izumo S. Hemodynamic shear stress and its role in atherosclerosis. JAMA. 1999;282:2035–2042. doi: 10.1001/jama.282.21.2035. [DOI] [PubMed] [Google Scholar]
- 52.Guo L, Chen Z, Cox BE, Amarnath V, Epand RF, Epand RM, et al. Phosphatidylethanolamines modified by gamma-ketoaldehyde (gammaKA) induce endoplasmic reticulum stress and endothelial activation. J Biol Chem. 2011;286:18170–18180. doi: 10.1074/jbc.M110.213470. [DOI] [PMC free article] [PubMed] [Google Scholar]
- 53.Zhao M. Lantibiotics as probes for phosphatidylethanolamine. Amino Acids. 2011;41:1071–1079. doi: 10.1007/s00726-009-0386-9. [DOI] [PMC free article] [PubMed] [Google Scholar]
- 54.Zhu L, Bakovic M. Liver X Receptor Agonists Inhibit the Phospholipid Regulatory Gene CTP: Phosphoethanolamine Cytidylyltransferase-Pcyt2. Res Lett Biochem. 2008;2008:801849. doi: 10.1155/2008/801849. [DOI] [PMC free article] [PubMed] [Google Scholar]
- 55.Li Z, Wells CW, Esmon CT, Zhao M. Phosphatidylethanolamine at the endothelial surface of aortic flow dividers. J Thromb Haemost. 2009;7:227–229. doi: 10.1111/j.1538-7836.2008.03193.x. [DOI] [PubMed] [Google Scholar]
- 56.Vance JE, Tasseva G. Formation and function of phosphatidylserine and phosphatidylethanolamine in mammalian cells. Biochim Biophys Acta. 2013;1831:543–554. doi: 10.1016/j.bbalip.2012.08.016. [DOI] [PubMed] [Google Scholar]
- 57.Vance JE. Phospholipid synthesis and transport in mammalian cells. Traffic. 2015;16:1–18. doi: 10.1111/tra.12230. [DOI] [PubMed] [Google Scholar]
