Abstract
Rectal biopsy in a case of lumbosacral agenesis showed the presence of autonomic nerve elements normally supplied by spinal levels distal to the agenesis. Certain implications are suggested regarding the embryogenesis of this condition from data about the development of neural, bony, and muscular elements. Recommendations regarding management are given.
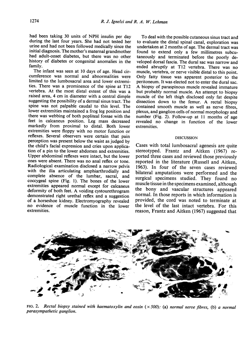
Full text
PDF



Images in this article
Selected References
These references are in PubMed. This may not be the complete list of references from this article.
- DETWILER S. R., HOLTZER H. The inductive and formative influence of the spinal cord upon the vertebral column. Bull Hosp Joint Dis. 1954 Oct;15(2):114–123. [PubMed] [Google Scholar]
- Frantz C. H., Aitken G. T. Complete absence of the lumbar spine and sacrum. J Bone Joint Surg Am. 1967 Dec;49(8):1531–1540. [PubMed] [Google Scholar]
- Passarge E., Lenz W. Syndrome of caudal regression in infants of diabetic mothers: observations of further cases. Pediatrics. 1966 Apr;37(4):672–675. [PubMed] [Google Scholar]
- Price D. L., Dooling E. C., Richardson E. P., Jr Caudal dysplasia (caudal regression syndrome). Arch Neurol. 1970 Sep;23(3):212–220. doi: 10.1001/archneur.1970.00480270022004. [DOI] [PubMed] [Google Scholar]


