Full text
PDF




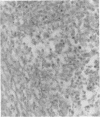
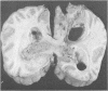
Images in this article
Selected References
These references are in PubMed. This may not be the complete list of references from this article.
- BALLENGER C. N., Jr, GOLDRING D. Nocardiosis in childhood. J Pediatr. 1957 Feb;50(2):145–169. doi: 10.1016/s0022-3476(57)80047-x. [DOI] [PubMed] [Google Scholar]
- BERNSTEIN I. L., COOK J. E., PLOTNICK H., TENCZAR F. J. Nocardiosis; three case reports. Ann Intern Med. 1952 Mar;36(3):852–863. doi: 10.7326/0003-4819-36-3-852. [DOI] [PubMed] [Google Scholar]
- BOBBITT O. B., FRIEDMAN I. H., LUPTON C. Norcodiosis; report of three cases. N Engl J Med. 1955 May 26;252(21):893–897. doi: 10.1056/NEJM195505262522104. [DOI] [PubMed] [Google Scholar]
- CUTTINO J. T., McCABE A. M. Pure granulomatous nocardiosis, a new fungus disease distinguished by intracellular parasitism; a description of a new disease in man due to a hitherto undescribed organism, Nocardia intracellularis, n. sp., including a study of the biologic and pathogenic properties of this species. Am J Pathol. 1949 Jan;25(1):1–47. [PMC free article] [PubMed] [Google Scholar]
- ERCHUL J. W., KOCH M. L. Cerebral nocardiosis with coexistent pulmonary tuberculosis; report of a fatal case. Am J Clin Pathol. 1955 Jul;25(7):775–781. doi: 10.1093/ajcp/25.7.775. [DOI] [PubMed] [Google Scholar]
- HIDDLESTONE H. J. Nocardiosis in New Zealand: report of a case. N Z Med J. 1957 Aug;56(314):399–404. [PubMed] [Google Scholar]
- KRUEGER E. G., NORSA L., KENNEY M., PRICE P. A. Nocardiosis of the central nervous system. J Neurosurg. 1954 May;11(3):226–233. doi: 10.3171/jns.1954.11.3.0226. [DOI] [PubMed] [Google Scholar]
- LIST C. F., WILLIAMS J. R., BEEMAN C. B., PAYNE C. A. Nocardiosis with multilocular cerebellar abscess; report of a cured case. J Neurosurg. 1954 Jul;11(4):394–398. doi: 10.3171/jns.1954.11.4.0394. [DOI] [PubMed] [Google Scholar]
- MOORE M., LANE C. W., GAUL L. E. Nocardiosis of the knee caused by Nocardia brasiliensis; report of first case in a native of the United States. AMA Arch Derm Syphilol. 1954 Sep;70(3):302–310. doi: 10.1001/archderm.1954.01540210042008. [DOI] [PubMed] [Google Scholar]
- MUNSLOW R. A. Actinomycotic (nocardia asteroides) brain abscess with recovery. J Neurosurg. 1954 Jul;11(4):399–402. doi: 10.3171/jns.1954.11.4.0399. [DOI] [PubMed] [Google Scholar]
- PEABODY J. W., Jr, SEABURY J. H. Actinomycosis and nocardiosis. J Chronic Dis. 1957 Apr;5(4):374–403. doi: 10.1016/0021-9681(57)90111-x. [DOI] [PubMed] [Google Scholar]
- TURNER O. A. Brain abscess caused by Nocardia asteroides. J Neurosurg. 1954 May;11(3):312–318. doi: 10.3171/jns.1954.11.3.0312. [DOI] [PubMed] [Google Scholar]
- WEED L. A., ANDERSEN H. A., GOOD C. A., BAGGENSTOSS A. H. Nocardiosis; clinical, bacteriologic and pathological aspects. N Engl J Med. 1955 Dec 29;253(26):1137–1143. doi: 10.1056/NEJM195512292532601. [DOI] [PubMed] [Google Scholar]





