Full text
PDF









Images in this article
Selected References
These references are in PubMed. This may not be the complete list of references from this article.
- Cuthbertson D. P., Tompsett S. L. A preliminary note on the inorganic sulphate content of the blood with a method for its determination. Biochem J. 1931;25(4):1237–1243. doi: 10.1042/bj0251237. [DOI] [PMC free article] [PubMed] [Google Scholar]
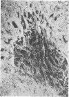
- DIEZEL P. B. Histochemische Untersuchungen an den Globoidzellen der familiären infantilen diffusen Sklerose von Typus Krabbe, zugleich eine differentialdiagnostische Betrachtung der zentralnervösen Veränderungen beim Morbus Gaucher. Virchows Arch Pathol Anat Physiol Klin Med. 1955;327(2):206–228. doi: 10.1007/BF00954977. [DOI] [PubMed] [Google Scholar]
- DODGSON K. S., SPENCER B. Studies on sulphatases. V. The determination of inorganic sulphate in the study of sulphatases. Biochem J. 1953 Oct;55(3):436–440. doi: 10.1042/bj0550436. [DOI] [PMC free article] [PubMed] [Google Scholar]
- HUBNER O., HALLERVORDEN J. Ein Geschwisterpaar mit familiärer infantiler diffuser Sklerose vom Typus Krabbe. Zentralbl Allg Pathol. 1956 Mar 20;94(9-10):461–470. [PubMed] [Google Scholar]
- LLOYD O. C., NORMAN R. M., URICH H. The neuropathology of infantile Gaucher's disease. J Pathol Bacteriol. 1956 Jul;72(1):121–131. doi: 10.1002/path.1700720116. [DOI] [PubMed] [Google Scholar]
- NORMAN R. M., URICH H., TINGEY A. H. Metachromatic leucoencephalopathy: a form of lipidosis. Brain. 1960 Sep;83:369–380. doi: 10.1093/brain/83.3.369. [DOI] [PubMed] [Google Scholar]
- POSER C. M., VAN BOGAERT L. Natural history and evolution of the concept of Schilder's diffuse sclerosis. Acta Psychiatr Neurol Scand. 1956;31(3):285–331. doi: 10.1111/j.1600-0447.1956.tb09694.x. [DOI] [PubMed] [Google Scholar]
- RADIN N. S., LAVIN F. B., BROWN J. R. Determination of cerebrosides. J Biol Chem. 1955 Dec;217(2):789–796. [PubMed] [Google Scholar]
- STAMMLER A. Klinik, Pathologie und Histochemie der infantilen diffusen Sklerose vom Typus Krabbe. Dtsch Z Nervenheilkd. 1956;174(5):505–524. [PubMed] [Google Scholar]
- TINGEY A. H. Human brain lipids at various ages in relation to myelination. J Ment Sci. 1956 Oct;102(429):851–855. doi: 10.1192/bjp.102.429.851. [DOI] [PubMed] [Google Scholar]
















