Abstract
Introduction
Pyolaryngocele is a very rare and serious complication of laryngocoele. It can present as deep spaces neck infection and mislead the diagnosis. Our aim is to attract the intention of the surgeon to this unusual entity and describe its clinical features.
Case summary
We report a case of 45 years old male patient with five-week history of neck swelling, dysphonia, mild dyspnea and odynophagia. An urgent C.T scan showed a mixed pyolaryngocele. The management consisted high dose antibiotic and an excision of the residual laryngocoele via an external approach.
Discussion and conclusion
A pyolaryngocele is an unusual complication of laryngocoele that becomes secondarily infected causing serious symptoms. Excision of the laryngocoele, still the best treatment option to prevent this complication and recurrence.
Keywords: Laryngocoele, Pyolaryngocele, Larynx, Treatment
Highlights
-
•
Laryngpyocoeles are rare complication of laryngocoeles. They can present with serious complaints like dyspnea and sepsis.
-
•
They should be kept in mind in the differential diagnosis of upper deep neck infection with hoarseness and odynoaphagia.
-
•
An emergency CT scan is mandatory in order to establish an accurate diagnosis, and begin appropriate treatment to avoid undesirable evolution.
-
•
External approach resection of laryngopyocele in emergency situations is advocated, which gave adequate exposure of the lesion.
-
•
Endoscopic laser indications are very limited in this type of presentation.
1. Introduction
Laryngocoele is an abnormal dilatation or herniation of the laryngeal saccule forming an air sac. It may be asymptomatic in a majority of patients, but also it can cause speech, feeding and respiratory compromise because of its compression symptoms. When this cavity is filled with pus, it is called laryngopyocele or pyolaryngocele.
This paper attempts to describe a mixed or combined pyolaryngocele together with medical and surgical management and to review newest literature.
2. Case report
A 45 years old male presented with a 3-day history of acute neck pain, radiating to the right ear and fever. He also suffered from sore throat, progressive hoarseness, odynophagia with progressive-growth cervical tumefaction in the right submandibular region. Symptoms like serious dyspnea or high dysphagia were absent. The patient had no significant medical history, or predisposing risk factors. ENT examination revealed a diffuse, tender swelling in the upper part of the neck on the right side at level III region, covered with skin erythema and fewer crepitus. The patient was admitted in the emergency department for deep space neck infection.
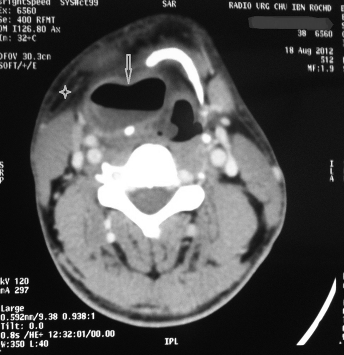
A fine needle aspiration assessment was performed on the neck swelling. This produced air with 15ml of frank pus that was submitted for microscopy, culture and sensitivity testing. High-dose on a course of intravenous Metronidazole and Ceftriaxone were commenced. An urgent CT scan of the neck (Fig. 1, Fig. 2) showed a large right-sided combined pyolaryngocele associated with regional and subcutaneous neck infections. Intravenous antibiotic therapy was continued for one week.
Fig. 1.
A computed tomography scan revealed a cystic lesion with a hydroaeric level (arrow) in the axial images (Fig. 1) And an intra-extra laryngeal component on the right side with extension through the thyrohyoid membrane of 5 Cm × 3 Cm × 2.5 Cm which could be determined in the coronal sections (Fig. 2), with airway collapse, compatible with a superinfected mixed laryngocoele, associated with emphysema in the deep planes of the neck (asterisk).
Fig. 2.

A computed tomography scan revealed a cystic lesion with a hydroaeric level (arrow) in the axial images (Fig. 1) And an intra-extra laryngeal component on the right side with extension through the thyrohyoid membrane of 5 Cm × 3 Cm × 2.5 Cm which could be determined in the coronal sections (Fig. 2), with airway collapse, compatible with a superinfected mixed laryngocoele, associated with emphysema in the deep planes of the neck (asterisk).
After the condition of the patient improved steadily, direct laryngoscopy confirmed that a smooth swelling, originated in the right ventricle, obscured the ipsilateral vocal cord and the laryngeal lumen partially and caused a limited obstruction.
Surgical resection of the laryngocoele was performed under general anesthesia by the external lateral cervical approach.
The histopathologic report confirmed the diagnosis of laryngocoele. The postoperative period was uneventful and the patient was discharged 5 days after surgery in good health. Follow-up examination was carried out at 6 months after surgery and she had recovered completely. The patient was asymptomatic with no swelling or infection on the neck and bulging in the larynx.
3. Discussion
An excessive dilatation of the laryngeal saccule forms a laryngocoele [1]. The etiology is unknown and unclear [2]. The congenital theory suggests that there is an abnormal growth of the saccule (long saccule) during the normal development of the larynx, but it has been postulated to arise in people with prolonged periods of continuous increased laryngeal pressure such as glass blowers and wind instrument players [3], [4]. However, in our patient, there is not a well-known etiology, thus it may be difficult to find the etiology of an acquired laryngocoele.
Laryngocoeles may extend internally (20%) into the airway or externally (30%) through the thyrohyoid membrane, so they may present as internal, external or combined mixed internal and external laryngocoele (50%) [5].
Laryngocoeles are usually asymptomatic. It appears and produces symptoms only as it enlarges or when it becomes infected. The symptoms depend upon the type and size of the mass. The main symptoms, at presentation, are variable and non-specific: airway obstruction, increasing stridor, hoarseness, sore throat, cough, pain, snoring, globus sensation or a visible or palpable mass in the neck [1], [6], [7], [8].
Laryngocoele and pyolaryngocoele can cause sudden death by acute upper airway obstruction [9].
Very rarely, an estimated 8%, reported in the literature of laryngocoeles can become infected and turn into a laryngopyocele [10]. It may fill with pus. As in the case of the patient presented above, a mixed laryngopyocele will present with an infected neck mass with a very unstable airway and can be a vital emergency, thus early diagnosis, medical treatment, and needle aspiration could be performed without delay [11]. In severe cases, urgent management including tracheostomy could be required.
CT scan has proved to be golden standard imaging method in the diagnosis of different types of laryngocoeles. Additionally, the differential diagnosis is usually made with CT scan [12], [1].
In addition to coexistence with deep neck infection or potential upper airway obstruction, the association of laryngocoele with laryngeal carcinoma should not be underestimated. Pathological studies of resected laryngeal carcinomas have revealed up to 18% containing laryngocoeles [14], care must be taken to rule out malignancy and appropriate tests be performed.
The conservative treatment of symptomatic pyolaryngocele has been described in the literature [15]. However, as it is evident as in our case, the patient is managed with urgent securing airways and administrating broad-spectrum antibiotics, steroids and aspiration of purulent material to decompress the sac. At a later stage, after relieving the acute symptoms. We performed an external approach with formal excision of the laryngocoele.
4. Conclusion
Laryngpyocoeles are rare complication of laryngocoeles. They can present with serious complaints like dyspnea and sepsis. They should be kept in mind in the differential diagnosis of upper deep neck infection with hoarseness and odynoaphagia.
In our opinion, the present case is of particular interest since the patient was affected by a complicated laryngocoele unrelated to his symptoms.
It is mandatory, vis-a-vis this clinical presentation, to make an emergency CT scan in order to establish an accurate diagnosis, and begin appropriate treatment to avoid undesirable evolution.
In our patient, laryngocoele was not associated with laryngeal cancer, but it is most important to remember and to consider the possibility of this association.
We advocate the approach of external resection of laryngopyocele in emergency situations, which gave adequate exposure of the lesion; post-operative recovery was free from complications.
From our point of view, endoscopic laser treatment would not have permitted complete excision of this large and mixed (external and internal) lesion.
Ethical approval
This is not a research study involving any interventions. The above case is reported on the basis of the author's experience. Not many publications exist on the subject.
Funding
No sources of funding to declare.
Author's contributions
Dr. Nabil TAZI was involved in the case writing and data collection for the case report. Drs. Taoufiq ADOULY and Chouaib ADNANE were involved in critical review and making corrections to the manuscript.
Conflicts of interest
All the authors have no personal or financial conflicts of interest regard this case report.
Consent
The case mentioned in the case report have been completely anonymised with no particulars recorded which could identify or breech their privacy. Only radiological images have been used which have no identifiers hence no consent had been acquired.
Guarantor
Dr. Rachid MAHDOUFI, mahdoufir@gmail.com/r.mahdoufi@chucasa.ma. ENT-department Face and neck Surgery. University Hospital IBN ROCHD, University Hassan II, Casablanca. Morocco.
Manuscript has been 'spell-checked' and 'grammar-checked.
The work has been reported in accordance with the recommended criteria CARE.
References
- 1.Akbas Y., Unal M., Pata Y.S. Asymptomatic bilateral mixedtype laryngocele and laryngeal carcinoma. Eur. Arch. Otorhinolaryngol. 2004;261:307–309. doi: 10.1007/s00405-003-0661-4. [DOI] [PubMed] [Google Scholar]
- 2.Erdogmus B., Yazici B., Ozturk O., Ataoglu S., Yazici S. Laryngocele in association with ankylosing spondylitis. Wien Klin. Wochenschr. 2005;117:718–720. doi: 10.1007/s00508-005-0460-6. [DOI] [PubMed] [Google Scholar]
- 3.Amin M., Maran A.G.D. The aetiology of laryngocoele. Clin. Otolaryngology Allied Sci. 1988;13(4):267–272. doi: 10.1111/j.1365-2273.1988.tb01130.x. [DOI] [PubMed] [Google Scholar]
- 4.Ward P.H. Bilateral laryngoceles in a young trumpet player: case report. Ear, Nose Throat J. 2001;80(3):132. [PubMed] [Google Scholar]
- 5.Dray T.G., Waugh P.F., Hillel A.D. The association of laryngoceles with ventricular phonation. J. Voice. 2000;14:278–281. doi: 10.1016/s0892-1997(00)80036-3. [DOI] [PubMed] [Google Scholar]
- 6.Lancella A., Abbate G., Dosdegani R. Mixed laryngocele: a case report and review of the literature. Acta Otorhinolaryngol. Ital. 2007;27(5):255–257. [PMC free article] [PubMed] [Google Scholar]
- 7.Upile T., Jerjes W., Sipaul F., El Maaytah M., Singh S., Howard D. Laryngocele: a rare complication of surgical tracheostomy. BMC Surg. 2006;27(6(1)):14–15. doi: 10.1186/1471-2482-6-14. [DOI] [PMC free article] [PubMed] [Google Scholar]
- 8.Fraser L., Pittore B., Frampton S., Brennan P., Puxeddu R. Laryngeal debridement: an alternative treatment for a laryngopyocele presenting with severe airway obstruction. Acta Otorhinolaryngol. Ital. 2011;31(2):113–117. [PMC free article] [PubMed] [Google Scholar]
- 9.Byard R.W., Gilbert J.D. Lethal laryngopyocele. J. Forensic Sci. 2015 Mar;60(2):518–520. doi: 10.1111/1556-4029.12676. [DOI] [PubMed] [Google Scholar]
- 10.Cassano L., Lombardo P., Marchese-Ragona R., Pastore A. Laryngopyocele: three new clinical cases and review of the literature. Eur. Archives Oto-Rhino-Laryngology. 2000;257(9):507–511. doi: 10.1007/s004050000274. [DOI] [PubMed] [Google Scholar]
- 11.Özcan C., Vayisoglu Y., Güner N., Türkili S., Görür K. External laryngopyocele: a rare cause of upper airway obstruction. J. Craniofac Surg. 2010 Nov;21(6):2022–2024. doi: 10.1097/SCS.0b013e3181f53845. [DOI] [PubMed] [Google Scholar]
- 12.Vasileiadis I., Kapetanakis S., Petousis A., Stavrianaki A., Fiska A., Karakostas E. Internal laryngopyocele as a cause of acute airway obstruction: an extremely rare case and reviewof the literature. Acta Otorhinolaryngol. Ital. 2012;32(1):58–62. [PMC free article] [PubMed] [Google Scholar]
- 14.Micheau C., Luboinski B., Lanchi P., Cachin Y. Relationship between laryngoceles and laryngeal carcinomas. Laryngoscope. 1978;88(6):680–688. doi: 10.1002/lary.1978.88.4.680. [DOI] [PubMed] [Google Scholar]
- 15.Ling F., Lamothe A. Is there a role for conservative management for symptomatic laryngopyocele? Case report and literature review. J. Laryngol. Otol. 2004;33(4):264–268. doi: 10.2310/7070.2004.03011. [DOI] [PubMed] [Google Scholar]

