Abstract
Breast lesions comprise a family of heterogeneous entities with variable patterns of presentation, morphology and clinical behaviour. The majority of breast lesions are traditionally classified into benign and malignant conditions and their behaviour can, in the vast majority of cases, be predicted with a reasonable degree of accuracy. However, there remain lesions which show borderline features and lie in a grey-zone between benign and malignant as their behaviour cannot be predicted reliably. Defined pathological categorisation of such lesions is challenging and for some entities is recognised to be subjective and include a range of diagnoses, and forms of terminology, which may trigger over-treatment or under-treatment. The rarity of these lesions makes acquisition of clinical evidence problematic and limits the development of a sufficient evidence base to support informed decision making by clinicians and patients. Emerging molecular evidence is providing a greater understanding of the biology of these lesions, but this may or may not be reflected in their clinical behaviour. Herein we discuss some breast lesions that are associated with uncertainty regarding classification, behaviour and hence management. These include biologically invasive malignant lesions associated with uncertain metastatic potential such as low-grade adenosquamous carcinoma, low-grade fibromatosis-like spindle cell carcinoma and encapsulated papillary carcinoma. Other lesions remain of uncertain malignant nature such as mammary cylindroma, atypical microglandular adenosis, mammary pleomorphic adenoma and infiltrating epitheliosis. The concept of categories of 1) breast lesions of uncertain malignant nature and 2) breast lesions of limited metastatic potential, are proposed with details of which histological entities could be included in each category, and their management implications are discussed.
Keywords: Breast lesions, differentiation, behavior, terminology, lesions of uncertain malignant potential, lesions of uncertain metastatic potential
BACKGROUND
Mammary glandular cells show a high degree of phenotypic plasticity, which is reflected in the diverse morphology of lesions of a normal, reactive, hyperplastic and neoplastic nature1–4. In normal breast tissue, molecular studies have demonstrated the presence of distinct cellular subtypes, namely mature luminal/glandular cells and myoepithelial cells, and in addition to basal stem/progenitor cells and luminal progenitor cells5, 6. Normal mammary epithelial cells may show several types of differentiation (apocrine, clear cell, squamous, sebaceous, and mucinous) and alterations such as hypersecretory/lactational change. The majority of these cells lack hormone receptor expression [6, 7]. Mammary myoepithelial cells can also show a wide range of morphological appearances including epithelioid, spindle, myoid and clear cells. In hyperplastic lesions, aberrant differentiation of myoepithelial cells may be observed such as in collagenous spherulosis. Aberrant stromal changes are also seen in benign and malignant lesions. It is recognised that malignant breast tumours demonstrate a wide range of differentiation pathways with associated molecular and phenotypic diversity2, 7.
Management of breast lesions is based on recognised features which have been shown to relate to the nature and the expected behaviour of the lesion. Benign tumours are usually managed conservatively. Malignant tumours invariably trigger interventions aimed at preventing progression and recurrence. In malignant mammary epithelial lesions, the presence of myoepithelial cells and basement membrane components at the epithelial-stromal interface typically denotes that the lesion is in-situ and by inference lacks metastatic potential and therefore no systemic therapy is indicated. Malignant epithelial cells infiltrating the surrounding tissue with no evidence of peripheral myoepithelial cells are usually designated as invasive tumours and by inference will have metastatic ability, to a variable degree, and are candidates for systemic therapy directed by their prognostic and predictive characteristics.
In diagnostic breast pathology it is usually easy to identify and differentiate between benign and malignant lesions. The criteria of malignancy are well defined in most settings. Although some tumours may express some but not all features characteristic of malignancy, it is generally accepted that certain clinicopathological criteria in isolation can be used to define malignancy such as development of tumour metastasis, lymphovascular invasion or anaplasia of the primary tumour. However, there remain some lesions showing equivocal histological features intermediate between benign and malignant tumours and other lesions showing malignant histological features but lack evidence of clinically significant metastatic behaviour. Diagnostic categorisation and management of these lesions are problematic. Differences of opinion between pathologists as to whether a lesion is benign or malignant may lead to completely different management recommendations for the patient. Pathologists are well aware that clinicians prefer binary well-defined diagnostic categories to guide treatment decision. A borderline lesion without a clear diagnostic conclusion about whether the lesion is benign or malignant may make the choice of appropriate management challenging. This uncertainty may result in over-treatment or under-treatment and the same lesion may be treated differently in different centres or even in the same centre when managed by different clinicians. Aside from the psychological and social implications, a malignant diagnosis may result in offering systemic therapy with associated cost and side effects. In contrast a benign diagnosis may result in no further action. Management strategies should be based on an individual lesion’s risk and understanding of the benefits of intervention.
Such borderline grey-zone lesions which are difficult to categorise as benign or malignant due to the lack of evidence of their behaviour and lack of consensus on their diagnostic criteria are rare but exist (Tables 1&2). These may be divided into two broad categories:
Table 1.
Key Features of the breast lesions of limited metastatic potential
| Entity | Key features |
|---|---|
| Encapsulated papillary carcinoma (EPC) | Characterised by fibrovascular cores covered by proliferating malignant epithelial cells forming well-circumscribed/dilated ductal profile pattern and surrounded by a thick fibrous capsule. Cystic with focal solid areas and may be multinodular. Low to intermediate grade nuclei. Typically strongly positive for nuclear ER and negative for HER2. Cases maintaining myoepithelial cells at the periphery can be considered as DCIS. However, >80% completely lack myoepithelial cells throughout and behave in an indolent invasive pattern with reported lymphovascular invasion (3%), nodal metastasis (3%) and local in-breast or chest wall recurrence (7%) occurring in cases lacking coexisting conventional-type invasive carcinomas. Current consensus is to be managed as in situ disease but rare invasive behaviour may be expected. Recurrence is associated with aggressive behaviour. Occasional cases featuring high grade nuclei or focal micropapillary pattern can be considered as invasive disease. |
| Solid papillary carcinoma (SPC) | Similar to EPC but features solid growth pattern and frequent neuroendocrine and mucinous differentiation, nuclear palisading and cell spindling and more often multinodular, lack peripheral fibrous capsule and associated with coexisting invasive carcinoma. Definition of invasion in SPC completely lacking myoepithelial cells and show multinodularity with closely apposed clusters/duct-like structures is often problematic. Although current consensus is to consider SPC as an in situ disease, the WHO working group define invasive SPC by the presence of geographical jigsaw pattern with more ragged and irregular margins coupled with complete lack of myoepithelial cells. As the growth pattern of SPC is variable and distinction of cases with complex architecture from those without is subjective, Controversy regarding categorisation of individual cases exists and should be acknowledged. |
| Low-grade adenosquamous carcinoma (LG-ASC) | A rare variant of MBC featuring glandular and tubular structures and solid nests of squamous cells in a spindle cell background and commonly arises in association with benign proliferative complex sclerosing and papillary breast lesions. It is often difficult to be differentiated from the proliferative phase of these benign fibrosclerosing lesions. Their entrapped, compressed glandular elements imitate the syringoid glands of LG-ASC and their radiating configuration may appear infiltrative at the periphery in addition to squamous metaplasia. Features favouring malignancy include extension into surrounding breast tissue, ER-negativity, lack of myoepithelial cells around some glandular/tubular structures that show dual expression of low and high molecular weight CKs, and scattered squamous (p63+) islands in the dense spindle cell background with peripheral prominent inflammatory component. However, immunoreactivity for myoepithelial cells at the edge of some tumour islands can be seen and that adenosquamous proliferation is morphologically and immunohistochemically indistinguishable from those seen in the reactive-looking fibrosclerosing breast lesions. Pure LG-ASC has a favourable prognosis with very rare incidence of lymph node or distant metastasis and it needs to be differentiated from the aggressive high-grade adenosquamous MBC. LG-ASC and syringomatous adenoma of the nipple are locally aggressive lesions, sharing morphological and molecular features as well as the propensity for local recurrence, differing only in their location and designation. |
| Low grade fibromatosis-like metaplastic carcinoma | Infiltrative tumour with entrapped normal breast structures. Low grade spindle cell proliferation with pale eosinophilic cytoplasm and slender nuclei with tapered edges and finely distributed chromatin but with focal plump fusiform and polygonal tumour cells, with more rounded nuclei arranged in “epithelioid” clumps mainly seen centrally in the tumour. Variable cellularity and collagenisation, DCIS rarely present (10–15%). Scattered inflammatory infiltrate comprised of lymphocytes and plasma cells with occasional lymphoid follicles at the edges of the tumours. Often difficult to be differentiated from other BSCT including fibromatosis, nodular fasciitis, myofibroblastoma, solitary fibrous tumour and scar. IHC: typically expression of cytokeratins including low and high molecular weight and p63. CKs+ cells usually appear as cords or sheets of polygonal cells; rarely as isolated positive cells. SMA is often positive particularly in CK negative cells. Typically negative for CD34, hormone receptor, HER2 and desmin. They are characterised by low genomic instability, and do not share CNAs with other metaplastic carcinomas. These tumours can be locally aggressive with an increased incidence of local recurrence, but the potential for lymph node or distant metastasis is very low. Events are associated with higher grade lesions which are often large in size. |
| Borderline Phyllodes Tumour | Although features of benign and malignant phyllodes are largely defined and it is often easy to be differentiated in most cases, some cases of phyllodes tumour (7%–34%) show overlapping features and exhibit some but not all featuring characteristics of malignant phyllodes tumours and lack frank sarcomatous stroma. Although these tumours not labelled as malignant and are associated with a lower rate of local recurrence than malignant tumours (14%–25%), they exhibit the ability to recur at distant sites despite being a rare event. The subjective diagnostic features of these tumours coupled with the ability to metastasise make predicting behaviour of these tumours in routine practice problematic. |
| Atypical adenomyoepithelioma | Similar to phyllodes tumours, features and behaviour of benign and malignant adenomyoepitheliomas are largely defined. However, some cases show features of benign adenomyoepithelioma with focal or slight to moderate increase of mitotic figures and cytonuclear atypia in the proliferating myoepithelial cell population. The behaviour of these cases is difficult to predict and lymph node metastasis has been reported in such cases lacking overt features of malignancy. Therefore it should be acknowledged that a diagnosis of atypical adenomyoepithelioma should not exclude the possibility of invasive behaviour in a small proportion of cases which is not expected in benign cases and not sufficient for managing the case as an invasive tumour. |
MBC= metaplastic breast carcinoma. BSCL=breast spindle cell lesion, CAN=copy number alteration
Table 2.
Key Features of the breast lesions of uncertain malignant nature
| Entity | Key features |
|---|---|
| Infiltrating epitheliosis (IE) | IE is a rare lesion characterized by infiltrating epithelial islands, solid clusters, ducts and duct-like structures immersed in a scleroelastotic stroma. Proliferating cells feature architectural and cytological patterns and immunohistochemical profile reminiscent of those of usual ductal hyperplasia. The infiltrative nature and the lack of peripheral myoepithelial cells raise the concern that IE is a form of invasive low-grade malignant neoplasm, with some similarities to LG-ASC exist. However, the immunoprofile, benign cytonuclear features, the absence of an in situ carcinoma and focal preservation of peripheral myoepithelial cells support the current view that IE is a form of benign exaggerated hyperplastic process. No events related to a malignant behaviour have been reported in cases diagnosed as IE and the evidence to describe its nature and predict its behaviour compared to benign hyperplastic or low-grade malignant process remains lacking. Therefore the uncertain nature and behaviour of such lesions should be acknowledged. |
| Mammary Pleomorphic Adenoma (PA) | Breast PA is often associated with a papillary lesion similar to other low-grade MBC and adenomyoepithelioma. Despite the perceived indolent benign clinical behaviour of breast PA, local recurrences have been reported in the few published cases and cytologically malignant features characteristic of conventional mammary-type carcinomas have been demonstrated in PA and categorised as “carcinoma ex pleomorphic adenoma”. In the more common PA in the salivary gland, lymphovascular invasion and distant metastasis have been reported in histologically benign cases. Absence of peripheral myoepithelial cells is a feature of breast PA. These tumours may represent a form of low-grade indolent breast tumour that resides at the lower end of a spectrum of matrix-producing MBC featuring prominent stromal metaplastic differentiation and low-grade cytological features. These tumours are best regarded as PA-like tumours of the breast to reflect the uncertainty of their nature and behaviour |
| Mammary Cylindroma | These tumours may represent a variant of low grade adenoid cystic carcinomas of the breast with prominent cylindromatous differentiation. The behaviour and origin of breast cylindroma may not be the same as the dermal counterparts and breast tumours show infiltration of the surrounding tissue. Both adenoid cystic carcinoma and breast cylindroma share the same immunoprofile with triple negative phenotype, p63 and strong c-kit expression. These tumours can be considered as lesions of uncertain malignant nature to reflect the current uncertainty regarding the nature and behaviour of these tumours. |
| Microglandular adenosis (MGA) and atypical microglandular adenosis | Despite the infiltrative nature and the lack of peripheral myoepithelial cells around the proliferating glands of MGA, the indolent clinical behaviour in the limited number published in literature and the bland cytological features render the benign nature of MGA. However, some cases show cytonuclear atypia, frequently associated with ER-negative carcinomas, and the diffuse strong nuclear S100 positivity together with recent molecular evidence suggest that MGA is a neoplastic process. The nature and behaviour of MGA particularly when associated with atypia remain unknown and such uncertainty needs to be acknowledged. |
MBC=metaplastic breast carcinoma
Lesions that show biological and/or histological evidence of invasive malignancy, but are associated with negligible or very low incidence of metastasis. Examples of these lesions include pure low-grade adenosquamous metaplastic carcinoma, pure low-grade fibromatosis-like metaplastic breast carcinoma, encapsulated papillary carcinoma, borderline phyllodes tumour and atypical adenomyoepithelioma8–13. The first two lesions often show immunohistochemical and molecular features of basal-like/metaplastic breast carcinomas, and when diagnosed as frank invasive carcinoma, they are likely to trigger treatment similar to other aggressive triple-negative/basal metaplastic carcinomas. Diagnosing and designating such breast lesions as being of uncertain metastatic potential should trigger treatment focused on local control without the need for axillary node sampling or systemic therapy. Although their very low risk of metastatic potential should be acknowledged, available evidence does not support use of conventional forms of adjuvant systemic therapy.
Lesions with uncertain malignant nature that show some features characteristic of malignancy in the breast such as infiltrative margins and absence of peripheral myoepithelial cells, but lack other features such as cytonuclear atypia, lymphovascular invasion or evidence of metastasis. Examples of these entities include infiltrating epitheliosis, atypical microglandular adenosis, bland-looking skin adnexa-like and salivary gland-like tumours including non-cutaneous mammary pleomorphic adenoma and cylindroma14–16. The uncertain nature and the difficulty in categorisation of these lesions should be emphasized and acknowledged rather than arbitrarily allocating them to a definite malignant or definite benign category. Similar lesions of uncertain malignant nature have been reported in the thyroid17, 18, liver19 and smooth muscle20. Management of such lesions can be similar to benign tumours but should trigger ablative surgical excision with or without follow-up. Although the probability of local recurrence cannot be excluded, available evidence does not support the use of adjuvant systemic therapy or local radiation therapy. Recognising the uncertain nature of such lesions can also help the approach when they are identified on core biopsies. Additionally, this classification highlights the need for further studies to improve understanding of their nature and behaviour.
Herein, we briefly discuss the current evidence regarding the nature, behaviour and diagnostic categorization of these lesions. However, it is important to recognise that the list of such lesions discussed in this article is not exhaustive. Although risk lesions such as atypical ductal hyperplasia and atypical lobular hyperplasia are associated with potential risk of progression to invasive carcinoma, these lesions are well-recognised and their biological nature, diagnostic criteria and clinical behaviour have been defined. Similarly although some malignant breast lesions such as pure tubular and secretory carcinoma are associated with low metastatic potential, the malignant nature of these lesions is well-defined and clinical evidence to support their management exists21. These lesions are not discussed in this review.
BREAST LESIONS OF LIMITED METASTATIC POTENTIAL
1-Encapsulated and solid papillary carcinoma
Several independent studies have demonstrated biological invasive nature of encapsulated and solid papillary carcinoma lacking peripheral myoepithelial cells13, 22–24. Although there is a consensus to manage these lesions as a form of in situ carcinoma, equivalent to DCIS23, nodal positivity and distant metastatic spread have been reported despite being extremely rare events that are too infrequent to justify use of adjuvant systemic therapy13, 23. In addition to the uncertain clinical behaviour of encapsulated and solid papillary carcinomas, some of these lesions show worrying histological features such as focal deficiency of the peripheral capsule, focal ragged margin, irregular outlines of some of the papillary clusters and presence within fat making histological diagnosis and differentiation from conventional invasive carcinoma more problematic as none of these features can definitively indicate invasion or predict behaviour. This inconsistency between histological features and biological evidence coupled with clinical evidence of indolence make diagnosis and management of these lesions subjective and dependent on the reporting pathologists’ perception of the degree of risk. Recognizing the uncertain/negligible risk of metastasis may overcome this problem and change the attitudes of pathologists, clinicians and patients towards their management and expectation of behaviour and outcome.
It is important to emphasise that the current evidence supporting the management of these lesions as an in situ disease concerns cases showing typical features characteristic of low and intermediate grade encapsulated and solid papillary carcinoma in situ13, 23. Rare variants such as high grade tumours25, encapsulated and solid papillary carcinoma with focal invasive micropapillary pattern or mucinous carcinoma-like areas and those infiltrating skeletal muscle13 are likely to behave as more typical forms of invasive breast adenocarcinoma. Further studies of the diagnostic criteria and behaviour of such rare variants are warranted. Encapsulated and solid papillary carcinoma associated with conventional invasive mammary-type carcinoma should be managed according to the conventional invasive component.
2-Low-grade adenosquamous carcinoma
Low-grade adenosquamous carcinoma (LG-ASC) is a rare form of infiltrative breast tumour that commonly arises in association with benign proliferative complex sclerosing and papillary breast lesions11. Sometimes there appear to be immunoreactive myoepithelial cells at the edge of some tumour islands. Overlapping features between these associated benign proliferative lesions and LG-ASC exist26. Adenosquamous proliferation, stromal changes and even clusters of lymphocytes are seen within these benign proliferative lesions and are often described as reactive mimics or attributed to earlier biopsy. Differentiating benign proliferative lesions showing these features from LG-ASC is often subjective. Previous studies have demonstrated that adenosquamous proliferation of reactive-looking lesions is morphologically and immunohistochemically indistinguishable from the neoplastic ducts of LG-ASC27. Pure LG-ASC has a favourable prognosis28. Histologically LG-ASC needs to be differentiated from pure tubular carcinoma, adenomyoepithelioma and syringomatous tumour of the nipple29 while clinically it should be differentiated from the high-grade forms of metaplastic carcinoma and other triple negative/basal-like carcinomas that are associated with an aggressive behaviour30. A recent study reported molecular similarity between low-grade adenosquamous carcinoma and syringomatous tumour of the nipple29.
3-Low grade fibromatosis-like metaplastic carcinoma
Low-grade fibromatosis-like spindle cell carcinoma (LG-FLSCC) is a variant of spindle cell carcinoma that is associated with a favourable prognosis31. Local recurrence can occur after local excision and distant metastases occur occasionally31, 32. LG-FLSCC is characterized by the proliferation of low-grade, cytologically bland spindle cells, which compose at least 95% of the total tumour area and histologically resemble fibromatosis31, 33. Differentiation between these two entities in routine practice is often based on expression of epithelial markers by LG-FLSCC. In low-grade bland-looking spindle cell lesions of the breast, focal expression of epithelial differentiation markers (e.g., cytokeratins) is used to indicate malignancy regardless of other morphological features such as size, in-situ components or lymphovascular invasion34, 35.
In a recent copy number analyses study, Takano et al36 demonstrated that LG-FLSCCs are characterised by low genomic instability, and share no copy number aberrations with other metaplastic carcinomas. They suggested that this entity is a unique group of tumours and their genotype belies their apparent homogeneous morphology and phenotype36. Despite the indolent behaviour of LG-FLSCC akin to some locally aggressive lesions with very low metastatic potential31, 33, such as fibromatosis, a malignant diagnosis using the term carcinoma or metaplastic carcinoma with triple negative status may trigger inappropriate use of aggressive adjuvant systemic chemotherapy 31, 34.
Importantly for LG-ASC and LG-FLSCC to be recognised as malignant lesions of uncertain metastatic potential, the lesion should be pure with no evidence of node metastasis or of a locally advanced nature at the time of diagnosis12.
4- Borderline Phyllodes Tumour and Atypical adenomyoepithelioma
Histological and molecular features of phyllodes tumour and adenomyoepithelioma have been described in detail elsewhere8, 37–42. Although the majority of ademomyoepitheliomas and a large proportion of phyllodes tumours can be categorised as benign or malignant tumours, some tumours show intermediate histological features and discrimination is often difficult. The behaviour of these lesions is often unpredictable as they show some, but not all features of malignancy10, 41–43.
Although the risk of distant metastasis has been mainly been observed in histologically malignant phyllodes tumours8, 42, microscopic distinction between borderline and malignant phyllodes can be difficult and prediction of behaviour is consequently unreliable. In some studies, risk of metastasis was related to individual histological features and not restricted to the histological subtyping of malignant versus borderline tumours44–46. Rare events of metastasis have also been reported for lesions histologically diagnosed as borderline phyllodes tumours47–49.
Diagnostic features of atypical adenomyoepithelioma remain less well defined8, 37–42. Mitoses, cytonuclear atypia and infiltration attest to the malignant nature of the neoplastic myoepithelial cells in adenomyoepithelioma. However, these features remain subjective and less clearly defined9, 42, for example cases showing significant cytonuclear atypia may not demonstrate sufficient mitotic count for a diagnosis of malignancy as previously reported41. We have seen and others10, 41 have reported adenomyoepitheliomas showing features not sufficient for a malignant diagnosis as atypical adenomyoepithelioma, that have later developed metastasis. Therefore in view of the lack of defined diagnostic histological criteria that can predict clinical behaviour, we propose to consider borderline phyllodes tumour and atypical adenomyoepithelioma as lesions of uncertain metastatic behaviour to emphasise the uncertainty related to their behaviour.
BREAST LESIONS OF UNCERTAIN MALIGNANT NATURE
1- Infiltrating epitheliosis
Infiltrating epitheliosis (IE) is a rare lesion, first described by John Azzopardi15, that mimics carcinoma and is becoming increasingly recognized. IE is characterized by infiltrating epithelial islands, solid clusters, ducts and duct-like structures immersed in a scleroelastotic stroma. Proliferating cells feature architectural and cytological patterns and immunohistochemical profile reminiscent of those of usual ductal hyperplasia (UDH)15. The infiltrative nature and the lack of peripheral myoepithelial cells raise the concern that IE is a form of invasive low-grade malignant neoplasm, with some similarities to LG-ASC carcinoma (see above). Emerging molecular data have provided some evidence that these lesions are clonal and neoplastic rather than hyperplastic50. However, the immunoprofile, benign cytonuclear features, the absence of an in situ carcinoma and focal preservation of peripheral myoepithelial cells51 support the current view that IE is a form of benign exaggerated hyperplastic process, related to radial scar and complex sclerosing lesions, with aberrant expression of certain biomarkers that drive the effacement of myoepithelial cells. Focal reactive epithelial proliferative processes can be seen in some sclerosing lesions but usually to a lesser degree and with maintenance of peripheral myoepithelial cells. Eusebi and Millis52 proposed that IE should be regarded a probable risk marker for carcinoma. As the number of published cases is too few to provide sufficient clinical evidence to describe their nature, the uncertain behaviour of this lesion needs to be emphasised.
2-Low-grade lesions showing skin adnexa or salivary gland-like differentiation
Similarities in the embryogenesis of the breast and salivary gland (SG) and the dual epithelial–myoepithelial cell differentiation in both sites may account for the occurrence of salivary gland-type neoplasms in the breast.53 Salivary gland-like primary breast neoplasms are well documented including adenoid cystic carcinoma, acinic cell carcinoma and pleomorphic adenoma (PA). The fact that lesions in the breast and salivary glands are histologically similar however does not mean they have the same biology54–56 Chromosomal translocations are described in salivary gland PA57, 58, but such translocations have not been identified in breast PA59. Similarly some breast non-cutaneous lesions show skin adnexal type differentiation such as cylindroma. Here we discuss non-cutaneous mammary PA and cylindroma as two examples of breast lesions of uncertain malignant potential.
A-Mammary Pleomorphic Adenoma (PA)
PA of the breast is a rare neoplasm that frequently occurs in the retroareolar region. It presents as a circumscribed lesion characterised by a mixture of cells featuring epithelial and myoepithelial phenotypes embedded in an abundant stroma with myxoid, chondroid, or osseous metaplasia.60 In the breast, PA has to be distinguished from matrix-producing metaplastic carcinoma, adenomyoepithelioma and papilloma with cartilaginous metaplasia.59, 61–63.
The reported indolent clinical behaviour of breast PA may support their benign nature 59. However local recurrences of breast PA have been reported64–66 and cytologically malignant features characteristic of conventional mammary-type carcinomas have been demonstrated and categorised as “carcinoma ex pleomorphic adenoma”67. Lymphovascular invasion68 and distant metastasis69–74 have been reported in histologically benign salivary gland PA. Absence of peripheral myoepithelial cells is a feature of breast PA. We believe that the lack of cytological atypia, mitotic activity and focal preservation of peripheral myoepithelial cells represent features of indolence as seen in other low-grade malignant tumours akin to low-grade adenoid cystic carcinoma and low-grade matrix-producing MBC, rather than features defining benign biological nature of a breast tumour75. Moreover, circumscription is not always a feature of benign tumours. Some malignant breast tumours including high grade invasive carcinomas show pushing well-defined margins. The prominent stromal components with abundant chondroid or osseous metaplasia, comparable to matrix producing metaplastic carcinoma, also cannot be used to differentiate benign from malignant lesions. Such changes are seen in both benign and malignant tumours of the breast35. The characteristic immunohistochemical profile of breast PA with the triple negative phenotype together with dual expression of luminal and basal cytokeratins are also well recognized features of metaplastic carcinoma14, 76. Breast PA is often associated with a papillary lesion similar to other low-grade metaplastic carcinomas and adenomyoepithelioma. These tumours may represent a form of low-grade indolent breast tumour that resides at the lower end of a spectrum of matrix-producing metaplastic carcinoma featuring prominent stromal metaplastic differentiation and low-grade cytological features. Histological features that may favour PA over matrix producing metaplastic carcinoma include small size, underlying benign papillary structure, absence of significant cytonuclear atypia, scant myxoid stroma and presence of bone. The diagnosis of breast PA can be difficult on core biopsy. We75 and others63 have reported breast PA as matrix-producing metaplastic carcinoma on preoperative core biopsy that was followed by a benign diagnosis following surgical excision. To avoid such inconsistency and in view of the above as well as the lack of molecular evidence to help characterise these lesions as benign or malignant, we propose to consider them as lesions of uncertain malignant potential.
B-Mammary Cylindroma
Although low grade adenoid cystic carcinomas of the breast is considered as malignant tumour akin to their salivary gland counterpart, a tumour showing prominent cylindromatous differentiation in the breast is considered as a benign tumour. Historically breast adenoid cystic carcinomas exhibiting prominent basaloid features and producing a characteristic cylindromatous pattern have been recognized in the breast and the terms adenoid cystic carcinoma and cylindroma have been used interchangeably77, 78. More recent publications, mostly case reports, have considered that such lesions were similar to the benign skin counterpart, hence the use of the term ‘dermal analogue tumour79–83. In terms of features unique to breast cylindroma Albores-Saavedra et al79 described that areas of normal lactiferous duct can be observed transitioning into cylindroma. They postulate that this implies a site of origin of the tumour from within the breast. Infiltration of the surrounding tissue has been reported in breast cylindroma, but this feature has been termed ‘pseudo-infiltration’ rather than recognized as an indication of a true malignant nature of the lesion80, 81, 83 without additional supporting evidence. Basaloid, solid variants of adenoid cystic carcinoma of the breast can mimic breast cylindroma including nodular and trabecular growth patterns and the presence of basement membrane like material. Both adenoid cystic carcinoma and breast cylindroma share the same immunoprofile with triple negative phenotype, p63 and strong c-kit expression84. This shared c-kit positivity between cylindroma and adenoid cystic carcinoma may add further weight to Fehr et al.’s opinion that cylindroma and ACC may originate from a shared common progenitor cell80. We believe that the lack of cytological atypia, mitotic activity and focal preservation of myoepithelial cells in breast cylindroma represent features of indolence, inherent in such a degree of differentiation, as seen in other low-grade malignant tumours akin to low-grade adenoid cystic carcinoma rather than features defining a benign biological nature of a breast tumour. This may assist in avoiding variation in diagnosis between different centres and also between core biopsy and surgical excision diagnosis as reported by us and others79, 85. These tumours can be considered as lesions of uncertain malignant potential to reflect the current uncertain nature of these tumours.
3- Microglandular adenosis and atypical microglandular adenosis
Microglandular adenosis (MA) is a rare breast lesion featuring haphazardly infiltrating small, uniform, rounded, open glands lined by a single layer of bland-looking cells, containing eosinophilic secretions and irregularly distributed in fibrous or adipose tissue. Glands of MA show diffuse strong S100 positivity and lack peripheral myoepithelial cells, but are surrounded by basement membrane. Atypical microglandular adenosis (AMA) shows pleomorphic glands, microacini with luminal bridging and small solid clusters with mild cytological atypia, prominent nucleoli, reduced intraluminal secretions and occasional mitotic figures86–88. Several independent studies have reported an association between MA and AMA and invasive carcinoma mainly of triple negative subtype87, 89–92. Molecular analysis revealed that MA is a clonal and neoplastic lesion harbouring recurrent mutations of TP53 and other cancer driver genes93. The nature of these rare lesions remains less characterised in the literature and emerging evidence favour their neoplastic nature with the implication that they comprise non-obligate precursors of triple negative breast carcinoma. The absence of peripheral myoepithelial cells in addition to the infiltrative nature, cytological atypia of AMA and the extent of the lesions make management problematic.
SUMMARY
In conclusion, there are always uncertainties in clinical practice - in classification, clinical behaviour and management of breast lesions. In this review we highlight the existence of rare borderline breast lesions of yet undefined nature and uncertain clinical behaviour that are often associated with variable diagnostic opinion and management. These include breast lesions of uncertain malignant nature and those with uncertain/negligible metastatic potential. Recognising this uncertainty can help improve consistency of management and reduce the chance of under-treatment or over-treatment resulting from definite categorization as benign or malignant. Clinicians and patients can make informed decisions about management of these breast lesions in view of the information regarding the uncertainty of their nature. Further studies of these lesions are warranted.
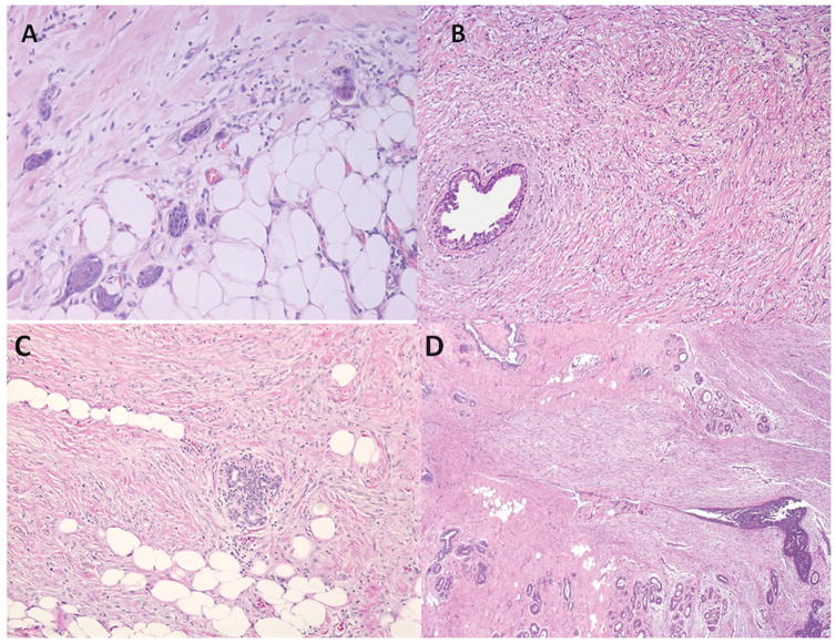
Figure 1.
Panel A shows a case of low grade adenosquamous metaplastic carcinoma. Panels B and C show a case of low grade fibromatosis like metaplastic carcinoma. Bother cases show bland cytological features, cellularity and infiltrative pattern not significantly different to those seen in fibromatosis (panel D).
Figure 2.
Infiltrating epitheliosis (IE). Panels A and B show morphological features of IE with epithelial proliferation, infiltrative appearances and desmoplastic-like stroma. Panels C to F showed immunohistochemical expression of myoepithelial marker (p63, panel C), luminal (CK18; panel D) and basal (CK5/6 panel E and CK14; panel F) cytokeratins.
References
- 1.Hennessy BT, Gonzalez-Angulo AM, Stemke-Hale K, et al. Characterization of a naturally occurring breast cancer subset enriched in epithelial-to-mesenchymal transition and stem cell characteristics. Cancer Res. 2009;69(10):4116–24. doi: 10.1158/0008-5472.CAN-08-3441. [DOI] [PMC free article] [PubMed] [Google Scholar]
- 2.van Deurzen CH, Lee AH, Gill MS, et al. Metaplastic breast carcinoma: tumour histogenesis or dedifferentiation? J Pathol. 2011;224(4):434–7. doi: 10.1002/path.2872. [DOI] [PubMed] [Google Scholar]
- 3.Wang X, Mori I, Tang W, et al. Metaplastic carcinoma of the breast: p53 analysis identified the same point mutation in the three histologic components. Mod Pathol. 2001;14(11):1183–6. doi: 10.1038/modpathol.3880456. [DOI] [PubMed] [Google Scholar]
- 4.Kaufman MW, Marti JR, Gallager HS, Hoehn JL. Carcinoma of the breast with pseudosarcomatous metaplasia. Cancer. 1984;53(9):1908–17. doi: 10.1002/1097-0142(19840501)53:9<1908::aid-cncr2820530917>3.0.co;2-f. [DOI] [PubMed] [Google Scholar]
- 5.Boecker W, Buerger H. Evidence of progenitor cells of glandular and myoepithelial cell lineages in the human adult female breast epithelium: a new progenitor (adult stem) cell concept. Cell Prolif. 2003;36(Suppl 1):73–84. doi: 10.1046/j.1365-2184.36.s.1.7.x. [DOI] [PMC free article] [PubMed] [Google Scholar]
- 6.Lim E, Vaillant F, Wu D, et al. Aberrant luminal progenitors as the candidate target population for basal tumor development in BRCA1 mutation carriers. Nat Med. 2009;15(8):907–13. doi: 10.1038/nm.2000. [DOI] [PubMed] [Google Scholar]
- 7.Tsubochi H, Sato N, Kaimori M, Imai T. Osteosarcomatous differentiation in lung metastases from a malignant phyllodes tumour of the breast. J Clin Pathol. 2004;57(4):432–4. doi: 10.1136/jcp.2003.012336. [DOI] [PMC free article] [PubMed] [Google Scholar]
- 8.Tan PH, Tse G, Lee A, Simpson J, Hanby AM, editors. Fibroepithelial Tumours. 4. IARC press; Lyon: 2012. [Google Scholar]
- 9.Zhang C, Quddus MR, Sung CJ. Atypical adenomyoepithelioma of the breast: diagnostic problems and practical approaches in core needle biopsy. Breast J. 2004;10(2):154–5. doi: 10.1111/j.1075-122x.2004.21414.x. [DOI] [PubMed] [Google Scholar]
- 10.Loose JH, Patchefsky AS, Hollander IJ, Lavin LS, Cooper HS, Katz SM. Adenomyoepithelioma of the breast. A spectrum of biologic behavior. Am J Surg Pathol. 1992;16(9):868–76. doi: 10.1097/00000478-199209000-00005. [DOI] [PubMed] [Google Scholar]
- 11.Rosen PP, Ernsberger D. Low grade adenosquamous carcinoma. A variant of metaplastic mammary carcinoma. Am J Surg Pathol. 1987;11:351–8. doi: 10.1097/00000478-198705000-00003. [DOI] [PubMed] [Google Scholar]
- 12.Rito M, Schmitt F, Pinto AE, Andre S. Fibromatosis-like metaplastic carcinoma of the breast has a claudin-low immunohistochemical phenotype. Virchows Arch. 2014;465(2):185–91. doi: 10.1007/s00428-014-1603-9. [DOI] [PubMed] [Google Scholar]
- 13.Rakha EA, Gandhi N, Climent F, et al. Encapsulated papillary carcinoma of the breast: an invasive tumor with excellent prognosis. Am J Surg Pathol. 2011;35(8):1093–103. doi: 10.1097/PAS.0b013e31821b3f65. [DOI] [PubMed] [Google Scholar]
- 14.Eusebi V, Foschini MP, editors. Pleomorphic Adenoma. 4. IARC press; Lyon: 2012. [Google Scholar]
- 15.Azzopardi JG. Problems in Breast Pathology. London: WB Saunders; 1979. Infiltrating epitheliosis; pp. 174–87. [Google Scholar]
- 16.Gricouroff G, Zajdela A, Herrerabendana B. Mammary Cylindroma. Bulletin de l’Association francaise pour l’etude du cancer. 1964;51:277–82. [PubMed] [Google Scholar]
- 17.Williams ED. Guest Editorial: Two Proposals Regarding the Terminology of Thyroid Tumors. Int J Surg Pathol. 2000;8(3):181–3. doi: 10.1177/106689690000800304. [DOI] [PubMed] [Google Scholar]
- 18.Hofman V, Lassalle S, Bonnetaud C, et al. Thyroid tumours of uncertain malignant potential: frequency and diagnostic reproducibility. Virchows Arch. 2009;455(1):21–33. doi: 10.1007/s00428-009-0798-7. [DOI] [PubMed] [Google Scholar]
- 19.Balabaud C, Bioulac-Sage P, Ferrell L, et al. Well-differentiated hepatocellular neoplasm of uncertain malignant potential. Hum Pathol. 2015;46(4):634–5. doi: 10.1016/j.humpath.2014.10.029. [DOI] [PubMed] [Google Scholar]
- 20.Ip PP, Cheung AN, Clement PB. Uterine smooth muscle tumors of uncertain malignant potential (STUMP): a clinicopathologic analysis of 16 cases. Am J Surg Pathol. 2009;33(7):992–1005. doi: 10.1097/PAS.0b013e3181a02d1c. [DOI] [PubMed] [Google Scholar]
- 21.Rakha EA, Lee AH, Evans AJ, et al. Tubular carcinoma of the breast: further evidence to support its excellent prognosis. J Clin Oncol. 2010;28(1):99–104. doi: 10.1200/JCO.2009.23.5051. [DOI] [PubMed] [Google Scholar]
- 22.Rakha EA, Tun M, Junainah E, Ellis IO, Green A. Encapsulated papillary carcinoma of the breast: a study of invasion associated markers. J Clin Pathol. 2012;65(8):710–4. doi: 10.1136/jclinpath-2012-200710. [DOI] [PubMed] [Google Scholar]
- 23.Collins L, O’Malley FP, Visscher D, Moriya T, Ichihara S, Reis-Filho JS, editors. Encapsulated Papillary Carcinoma. 4. IARC press; Lyon: 2012. [Google Scholar]
- 24.Esposito NN, Dabbs DJ, Bhargava R. Are encapsulated papillary carcinomas of the breast in situ or invasive? A basement membrane study of 27 cases. Am J Clin Pathol. 2009;131(2):228–42. doi: 10.1309/AJCP8A2UVLCYGTPU. [DOI] [PubMed] [Google Scholar]
- 25.Rakha EA, Varga Z, Elsheik S, Ellis IO. High-grade encapsulated papillary carcinoma of the breast: an under-recognized entity. Histopathology. 2015;66(5):740–6. doi: 10.1111/his.12591. [DOI] [PubMed] [Google Scholar]
- 26.Soo K, Tan PH. Low-grade adenosquamous carcinoma of the breast. J Clin Pathol. 2013;66(6):506–11. doi: 10.1136/jclinpath-2012-201084. [DOI] [PubMed] [Google Scholar]
- 27.Wilsher MJ. Adenosquamous proliferation of the breast and low grade adenosquamous carcinoma: a common precursor of an uncommon cancer? Pathology. 2014;46(5):402–10. doi: 10.1097/PAT.0000000000000115. [DOI] [PubMed] [Google Scholar]
- 28.Tan QT, Chuwa EW, Chew SH, Lim-Tan SK, Lim SH. Low-grade adenosquamous carcinoma of the breast: A diagnostic and clinical challenge. International journal of surgery. 2015;19:22–6. doi: 10.1016/j.ijsu.2015.05.010. [DOI] [PubMed] [Google Scholar]
- 29.Boecker W, Stenman G, Loening T, et al. Differentiation and histogenesis of syringomatous tumour of the nipple and low-grade adenosquamous carcinoma: evidence for a common origin. Histopathology. 2014 doi: 10.1111/his.12358. [DOI] [PubMed] [Google Scholar]
- 30.Rakha EA, Tan PH, Varga Z, et al. Prognostic factors in metaplastic carcinoma of the breast: a multi-institutional study. Br J Cancer. 2015;112(2):283–9. doi: 10.1038/bjc.2014.592. [DOI] [PMC free article] [PubMed] [Google Scholar]
- 31.Gobbi H, Simpson JF, Borowsky A, Jensen RA, Page DL. Metaplastic breast tumors with a dominant fibromatosis-like phenotype have a high risk of local recurrence. Cancer. 1999;85(10):2170–82. doi: 10.1002/(sici)1097-0142(19990515)85:10<2170::aid-cncr11>3.0.co;2-x. [DOI] [PubMed] [Google Scholar]
- 32.Sneige N, Yaziji H, Mandavilli SR, et al. Low-grade (fibromatosis-like) spindle cell carcinoma of the breast. Am J Surg Pathol. 2001;25(8):1009–16. doi: 10.1097/00000478-200108000-00004. [DOI] [PubMed] [Google Scholar]
- 33.Dwyer JB, Clark BZ. Low-Grade Fibromatosis-like Spindle Cell Carcinoma of the Breast. Arch Pathol Lab Med. 2015;139(4):552–7. doi: 10.5858/arpa.2013-0555-RS. [DOI] [PubMed] [Google Scholar]
- 34.Tse GM, Tan PH, Lui PC, Putti TC. Spindle cell lesions of the breast--the pathologic differential diagnosis. Breast Cancer Res Treat. 2008;109(2):199–207. doi: 10.1007/s10549-007-9652-2. [DOI] [PubMed] [Google Scholar]
- 35.Rakha EA, Tan PH, Shaaban A, et al. Do primary mammary osteosarcoma and chondrosarcoma exist? A review of a large multi-institutional series of malignant matrix-producing breast tumours. Breast. 2013;22(1):13–8. doi: 10.1016/j.breast.2012.09.010. [DOI] [PubMed] [Google Scholar]
- 36.Takano EA, Hunter SM, Campbell IG, Fox SB. Low-grade fibromatosis-like spindle cell carcinomas of the breast are molecularly exiguous. J Clin Pathol. 2015 doi: 10.1136/jclinpath-2014-202824. [DOI] [PubMed] [Google Scholar]
- 37.Ang MK, Ooi AS, Thike AA, et al. Molecular classification of breast phyllodes tumors: validation of the histologic grading scheme and insights into malignant progression. Breast Cancer Res Treat. 2011;129(2):319–29. doi: 10.1007/s10549-010-1204-5. [DOI] [PubMed] [Google Scholar]
- 38.Jara-Lazaro AR, Tan PH. Molecular pathogenesis of progression and recurrence in breast phyllodes tumors. American journal of translational research. 2009;1(1):23–34. [PMC free article] [PubMed] [Google Scholar]
- 39.Wei J, Tan YT, Cai YC, et al. Predictive factors for the local recurrence and distant metastasis of phyllodes tumors of the breast: a retrospective analysis of 192 cases at a single center. Chinese journal of cancer. 2014;33(10):492–500. doi: 10.5732/cjc.014.10048. [DOI] [PMC free article] [PubMed] [Google Scholar]
- 40.Tan PH, Jayabaskar T, Chuah KL, et al. Phyllodes tumors of the breast: the role of pathologic parameters. Am J Clin Pathol. 2005;123(4):529–40. doi: 10.1309/U6DV-BFM8-1MLJ-C1FN. [DOI] [PubMed] [Google Scholar]
- 41.Nadelman CM, Leslie KO, Fishbein MC. “Benign,” metastasizing adenomyoepithelioma of the breast: a report of 2 cases. Arch Pathol Lab Med. 2006;130(9):1349–53. doi: 10.5858/2006-130-1349-BMAOTB. [DOI] [PubMed] [Google Scholar]
- 42.Lakhani SR, Hayes M, Eusebi V, editors. Adenomyoepithelioma and adenomyoepithelioma with carcinoma. 4. IARC press; Lyon: 2012. [Google Scholar]
- 43.Barrio AV, Clark BD, Goldberg JI, et al. Clinicopathologic features and long-term outcomes of 293 phyllodes tumors of the breast. Ann Surg Oncol. 2007;14(10):2961–70. doi: 10.1245/s10434-007-9439-z. [DOI] [PubMed] [Google Scholar]
- 44.Asoglu O, Ugurlu MM, Blanchard K, et al. Risk factors for recurrence and death after primary surgical treatment of malignant phyllodes tumors. Ann Surg Oncol. 2004;11(11):1011–7. doi: 10.1245/ASO.2004.02.001. [DOI] [PubMed] [Google Scholar]
- 45.Al-Masri M, Darwazeh G, Sawalhi S, Mughrabi A, Sughayer M, Al-Shatti M. Phyllodes tumor of the breast: role of CD10 in predicting metastasis. Ann Surg Oncol. 2012;19(4):1181–4. doi: 10.1245/s10434-011-2076-6. [DOI] [PubMed] [Google Scholar]
- 46.Chen WH, Cheng SP, Tzen CY, et al. Surgical treatment of phyllodes tumors of the breast: retrospective review of 172 cases. J Surg Oncol. 2005;91(3):185–94. doi: 10.1002/jso.20334. [DOI] [PubMed] [Google Scholar]
- 47.Grimes MM. Cystosarcoma phyllodes of the breast: histologic features, flow cytometry analysis and clinical correlations. Mod Pathol. 1992;5:232–9. [PubMed] [Google Scholar]
- 48.Salvadori B, Cusumano F, del RBo, et al. Surgical treatment of phyllodes tumours of the breast. Cancer. 1989;63:2532–6. doi: 10.1002/1097-0142(19890615)63:12<2532::aid-cncr2820631229>3.0.co;2-q. [DOI] [PubMed] [Google Scholar]
- 49.Reinfuss M, Mitus J, Duda K, Stelmach A, Rys J, Smolak K. The treatment and prognosis of patients with phyllodes tumor of the breast: an analysis of 170 cases. Cancer. 1996;77(5):910–6. doi: 10.1002/(sici)1097-0142(19960301)77:5<910::aid-cncr16>3.0.co;2-6. [DOI] [PubMed] [Google Scholar]
- 50.Eberle C, Piscuoglio S, Rakha E, et al. Massively Parallel Sequencing Analysis of Infiltrating Epitheliosis of the breast. Mod Pathol. 2015;28(Suppl 2):42A. [Google Scholar]
- 51.Yamaguchi R, Maeshiro K, Ellis IO, et al. Infiltrative epitheliosis of the breast. J Clin Pathol. 2012;65(8):766–8. doi: 10.1136/jclinpath-2012-200726. [DOI] [PubMed] [Google Scholar]
- 52.Eusebi V, Millis RR. Epitheliosis, infiltrating epitheliosis, and radial scar. Semin Diagn Pathol. 2010;27(1):5–12. doi: 10.1053/j.semdp.2009.12.008. [DOI] [PubMed] [Google Scholar]
- 53.Agnantis NJ, Maounis N, Priovolou-Papaevangelou M, Baltatzis I. Pleomorphic adenoma of the human female breast. Pathol Res Pract. 1992;188(1–2):235–40. doi: 10.1016/S0344-0338(11)81190-8. discussion 40–1. [DOI] [PubMed] [Google Scholar]
- 54.Kim M, Lee DW, Im J, et al. Adenoid cystic carcinoma of the breast: a case series of six patients and literature review. Cancer research and treatment: official journal of Korean Cancer Association. 2014;46(1):93–7. doi: 10.4143/crt.2014.46.1.93. [DOI] [PMC free article] [PubMed] [Google Scholar]
- 55.Li N, Xu L, Zhao H, El-Naggar AK, Sturgis EM. A comparison of the demographics, clinical features, and survival of patients with adenoid cystic carcinoma of major and minor salivary glands versus less common sites within the Surveillance, Epidemiology, and End Results registry. Cancer. 2012;118(16):3945–53. doi: 10.1002/cncr.26740. [DOI] [PMC free article] [PubMed] [Google Scholar]
- 56.Piscuoglio S, Hodi Z, Katabi N, et al. Are acinic cell carcinomas of the breast and salivary glands distinct diseases? Histopathology. 2015 doi: 10.1111/his.12673. [DOI] [PMC free article] [PubMed] [Google Scholar]
- 57.Geurts JM, Schoenmakers EF, Roijer E, Stenman G, Van de Ven WJ. Expression of reciprocal hybrid transcripts of HMGIC and FHIT in a pleomorphic adenoma of the parotid gland. Cancer Res. 1997;57(1):13–7. [PubMed] [Google Scholar]
- 58.Voz ML, Agten NS, Van de Ven WJ, Kas K. PLAG1, the main translocation target in pleomorphic adenoma of the salivary glands, is a positive regulator of IGF-II. Cancer Res. 2000;60(1):106–13. [PubMed] [Google Scholar]
- 59.Sato K, Ueda Y, Shimasaki M, et al. Pleomorphic adenoma (benign mixed tumor) of the breast: a case report and review of the literature. Pathol Res Pract. 2005;201(4):333–9. doi: 10.1016/j.prp.2005.03.004. [DOI] [PubMed] [Google Scholar]
- 60.Leekha N, Muralee M, Mathews A, Preethi TR, Ahamed MI. Pleomorphic adenoma of breast-a case report and review of literature. Indian J Surg Oncol. 2014;5(2):152–4. doi: 10.1007/s13193-014-0310-y. [DOI] [PMC free article] [PubMed] [Google Scholar]
- 61.Brogi E. Myoepithelial Neoplasms. In: Rosen P, editor. Rosen’s Breast Pathology. 4. Philadelphia: Lippincott Williams & Wilkins, a Wolter Kluwer business; 2014. pp. 153–82. [Google Scholar]
- 62.Rosen PP. Myoepithelial Neoplasms. 3. Philadelphia: Lippincott Williams & Wilkins; 2009. [Google Scholar]
- 63.Djakovic A, Engel JB, Geisinger E, Honig A, Tschammler A, Dietl J. Pleomorphic adenoma of the breast initially misdiagnosed as metaplastic carcinoma in preoperative stereotactic biopsy: a case report and review of the literature. Eur J Gynaecol Oncol. 2011;32(4):427–30. [PubMed] [Google Scholar]
- 64.John BJ, Griffiths C, Ebbs SR. Pleomorphic adenoma of the breast should be excised with a cuff of normal tissue. Breast J. 2007;13(4):418–20. doi: 10.1111/j.1524-4741.2007.00452.x. [DOI] [PubMed] [Google Scholar]
- 65.Diaz NM, McDivitt RW, Wick MR. Pleomorphic adenoma of the breast: a clinicopathologic and immunohistochemical study of 10 cases. Hum Pathol. 1991;22(12):1206–14. doi: 10.1016/0046-8177(91)90102-u. [DOI] [PubMed] [Google Scholar]
- 66.Soreide JA, Anda O, Eriksen L, Holter J, Kjellevold KH. Pleomorphic adenoma of the human breast with local recurrence. Cancer. 1988;61(5):997–1001. doi: 10.1002/1097-0142(19880301)61:5<997::aid-cncr2820610523>3.0.co;2-g. [DOI] [PubMed] [Google Scholar]
- 67.Hayes MM, Lesack D, Girardet C, Del Vecchio M, Eusebi V. Carcinoma ex-pleomorphic adenoma of the breast. Report of three cases suggesting a relationship to metaplastic carcinoma of matrix-producing type. Virchows Arch. 2005;446(2):142–9. doi: 10.1007/s00428-004-1137-7. [DOI] [PubMed] [Google Scholar]
- 68.Skalova A, Altemani A, Di Palma S, et al. Pleomorphic adenoma of the salivary glands with intravascular tumor deposits: a diagnostic pitfall. Am J Surg Pathol. 2012;36(11):1674–82. doi: 10.1097/PAS.0b013e3182690afe. [DOI] [PubMed] [Google Scholar]
- 69.Collina G, Eusebi V, Carasoli PT. Pleomorphic adenoma with lymph-node metastases report of two cases. Pathol Res Pract. 1989;184(2):188–93. doi: 10.1016/S0344-0338(89)80119-0. [DOI] [PubMed] [Google Scholar]
- 70.Vivian MA, Sahni VA, Lowe AC, Silverman SG. Benign metastasizing pleomorphic adenoma presenting as a solitary kidney mass: imaging features. Urology. 2012;80(2):e17–8. doi: 10.1016/j.urology.2012.04.055. [DOI] [PubMed] [Google Scholar]
- 71.Singhal A, Shrago SS, Li SF, Huang Y, Kohli V. A hepatic metastasis from pleomorphic adenoma of salivary gland: an unusual presentation. Hepato-gastroenterology. 2010;57(98):330–3. [PubMed] [Google Scholar]
- 72.Bhutta MF, Dunk L, Molyneux AJ, Tewary A. Parotid pleomorphic adenoma with solitary renal metastasis. The British journal of oral & maxillofacial surgery. 2010;48(1):61–3. doi: 10.1016/j.bjoms.2009.02.016. [DOI] [PubMed] [Google Scholar]
- 73.Bae CH, Kim YD, Song SY. Benign pleomorphic adenoma of the soft palate metastasizing to the sphenoid sinus. Clinical and experimental otorhinolaryngology. 2010;3(3):172–5. doi: 10.3342/ceo.2010.3.3.172. [DOI] [PMC free article] [PubMed] [Google Scholar]
- 74.Sit KY, Chui WH, Wang E, Chiu SW. Multiple pulmonary metastases from benign pleomorphic adenoma. Asian cardiovascular & thoracic annals. 2008;16(1):62–4. doi: 10.1177/021849230801600116. [DOI] [PubMed] [Google Scholar]
- 75.Rakha EA, Aleskandarany MA, Samaka RM, Hodi Z, Lee AH, Ellis IO. Pleomorphic adenoma-like tumour of the breast. Histopathology. 2015 doi: 10.1111/his.12757. [DOI] [PubMed] [Google Scholar]
- 76.Genelhu MC, Cardoso SV, Gobbi H, Cassali GD. A comparative study between mixed-type tumours from human salivary and canine mammary glands. BMC Cancer. 2007;7:218. doi: 10.1186/1471-2407-7-218. [DOI] [PMC free article] [PubMed] [Google Scholar]
- 77.Kutnahorsky R, Tortel MC, Burger JP, et al. Adenoid cystic carcinoma or cylindroma of the breast. General review in light of one case report. J Gynecol Obstet Biol Reprod (Paris) 1991;20(7):908–12. [PubMed] [Google Scholar]
- 78.Eufemio G, Villaflor VV. Adenoid Cystic Carcinoma (Cylindroma) of Breast. Acta medica Philippina. 1965;1:212–4. [PubMed] [Google Scholar]
- 79.Albores-Saavedra J, Heard SC, McLaren B, Kamino H, Witkiewicz AK. Cylindroma (dermal analog tumor) of the breast: a comparison with cylindroma of the skin and adenoid cystic carcinoma of the breast. Am J Clin Pathol. 2005;123(6):866–73. doi: 10.1309/CRWU-A3K0-MPQH-QC4W. [DOI] [PubMed] [Google Scholar]
- 80.Mahmoud A, Hill DH, O’Sullivan MJ, Bennett MW. Cylindroma of the breast: a case report and review of the literature. Diagn Pathol. 2009;4:30. doi: 10.1186/1746-1596-4-30. [DOI] [PMC free article] [PubMed] [Google Scholar]
- 81.Gokaslan ST, Carlile B, Dudak M, Albores-Saavedra J. Solitary cylindroma (dermal analog tumor) of the breast: a previously undescribed neoplasm at this site. Am J Surg Pathol. 2001;25(6):823–6. doi: 10.1097/00000478-200106000-00017. [DOI] [PubMed] [Google Scholar]
- 82.Okamoto Y, Sumiyama Y, Arima Y, et al. A case of adenoid cystic carcinoma (ACC) of the breast and review of the utility of preoperative imaging diagnose. Breast Cancer. 2001;8(1):84–9. doi: 10.1007/BF02967484. [DOI] [PubMed] [Google Scholar]
- 83.Nonaka D, Rosai J, Spagnolo D, Fiaccavento S, Bisceglia M. Cylindroma of the breast of skin adnexal type: a study of 4 cases. Am J Surg Pathol. 2004;28(8):1070–5. doi: 10.1097/01.pas.0000126774.27698.27. [DOI] [PubMed] [Google Scholar]
- 84.Hill PA. c-kit expression in adenoid cystic carcinoma of the breast. Pathology. 2004;36(4):362–4. doi: 10.1080/00313020410001721537. [DOI] [PubMed] [Google Scholar]
- 85.Taghipour S, Shiryazdi SM, Sharahjin NS. Cylindroma of the breast in a 72-year-old woman with fibrocystic disease first misdiagnosed as a malignant lesion in imaging studies. BMJ case reports. 2013;2013 doi: 10.1136/bcr-2013-010266. [DOI] [PMC free article] [PubMed] [Google Scholar]
- 86.Rosen PP. Microglandular adenosis: a benign lesion simulating invasive mammary carcinoma. Am J Surg Pathol. 1983;7:137–44. [PubMed] [Google Scholar]
- 87.Zhong F, Bi R, Yu B, et al. Carcinoma arising in microglandular adenosis of the breast: triple negative phenotype with variable morphology. International journal of clinical and experimental pathology. 2014;7(9):6149–56. [PMC free article] [PubMed] [Google Scholar]
- 88.Rakha EA, Lee AH, Sheeran R, et al. Breast Neoplasms with Dermal Analogue Differentiation (Mammary Cylindroma): Report of 3 Cases and a Proposal for a New Terminology. Pathobiology. 2015;82:171–77. doi: 10.1159/000433600. [DOI] [PubMed] [Google Scholar]
- 89.Falleti J, Coletti G, Rispoli E, et al. Acinic cell carcinoma of the breast arising in microglandular adenosis. Case reports in pathology. 2013;2013:736048. doi: 10.1155/2013/736048. [DOI] [PMC free article] [PubMed] [Google Scholar]
- 90.Shui R, Yang W. Invasive breast carcinoma arising in microglandular adenosis: a case report and review of the literature. Breast J. 2009;15(6):653–6. doi: 10.1111/j.1524-4741.2009.00839.x. [DOI] [PubMed] [Google Scholar]
- 91.Salarieh A, Sneige N. Breast carcinoma arising in microglandular adenosis: a review of the literature. Arch Pathol Lab Med. 2007;131(9):1397–9. doi: 10.5858/2007-131-1397-BCAIMA. [DOI] [PubMed] [Google Scholar]
- 92.Acs G, Simpson JF, Bleiweiss IJ, et al. Microglandular adenosis with transition into adenoid cystic carcinoma of the breast. Am J Surg Pathol. 2003;27(8):1052–60. doi: 10.1097/00000478-200308000-00002. [DOI] [PubMed] [Google Scholar]
- 93.Guerini-Rocco E, Piscuoglio S, Ng C, et al. Massively Parallel Sequencing Reveals That Microglandular Adenosis As a Clonal Neoplastic Lesion of Triple-Negative Phenotype. Mod Pathol. 2015;28(Suppl 2):47A. [Google Scholar]


