Abstract
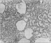
We report a family in which the father and all three children had symptomless chronic renal failure and, in the case of the children, normocytic, normochromic anaemia. None had hypertension, proteinuria, or abnormality of urinary deposit. Renal biopsy specimens showed microcysts confined to the renal cortex; some cysts contained vestigial glomerular tufts. This family appears to represent the first known example of hereditary cortical microcystic disease. The distribution of the disease suggests dominant inheritance without sex linkage.
Full text
PDF





Images in this article
Selected References
These references are in PubMed. This may not be the complete list of references from this article.
- Betts P. R., Forrest-Hay I. Juvenile nephronophthisis. Lancet. 1973 Sep 1;2(7827):475–478. doi: 10.1016/s0140-6736(73)92072-2. [DOI] [PubMed] [Google Scholar]
- Blyth H., Ockenden B. G. Polycystic disease of kidney and liver presenting in childhood. J Med Genet. 1971 Sep;8(3):257–284. doi: 10.1136/jmg.8.3.257. [DOI] [PMC free article] [PubMed] [Google Scholar]
- DOEGE T. C., THULINE H. C., PRIEST J. H., NORBY D. E., BRYANT J. S. STUDIES OF A FAMILY WITH THE ORAL-FACIAL-DIGITAL SYNDROME. N Engl J Med. 1964 Nov 19;271:1073–1078. doi: 10.1056/NEJM196411192712101. [DOI] [PubMed] [Google Scholar]
- Habib R., Bois E. Hétérogénéité des syndromes néphrotiques à début précoce du nourrisson (syndrome néphrotique "infantile"). Etude anatomo-clinique et génétique de 37 observations. Helv Paediatr Acta. 1973 May;28(2):91–107. [PubMed] [Google Scholar]
- Imahori S., Bannerman R. M., Graf C. J., Brennan J. C. Ehlers-Danlos syndrome with multiple arterial lesions. Am J Med. 1969 Dec;47(6):967–977. doi: 10.1016/0002-9343(69)90210-1. [DOI] [PubMed] [Google Scholar]
- Vlachos J., Tsakraklidis V. Glomerular cysts. An unusual variety of "polycystic kidneys": report of two cases. Am J Dis Child. 1967 Oct;114(4):379–384. [PubMed] [Google Scholar]
- Waldherr R., Lennert T., Weber H. P., Födisch H. J., Schärer K. The nephronophthisis complex. A clinicopathologic study in children. Virchows Arch A Pathol Anat Histol. 1982;394(3):235–254. doi: 10.1007/BF00430668. [DOI] [PubMed] [Google Scholar]





