Abstract
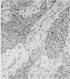
AIMS: To investigate the pathological effects of preoperative chemotherapy on oesophageal carcinoma. METHODS: Qualitative and quantitative changes in oesophageal carcinoma after preoperative chemotherapy were assessed by examination of biopsy specimens before treatment and resected specimens. RESULTS: Of 13 patients with adenocarcinoma treated with 5-fluorouracil, adriamycin, and mitomycin (FAM), nine showed minor histological changes compared with 14 control cases. All 12 patients with squamous carcinoma treated with preoperative mitomycin, ifosfamide, and cisplatin (MIC) showed noticeable histological changes when compared with the 13 control cases. Changes included complete ablation (n = 1) and partial regression (n = 5) of the tumour. A quantitative estimate of the proportion of tumour to stroma showed no difference between control adenocarcinomas and those treated with chemotherapy. There was, however, a significant reduction (p < 0.01) in the proportion of tumour to stroma in the treated squamous group compared with the controls. There was no relation between the degree of response in squamous carcinomas and the degree of differentiation of the tumour. Patients in which squamous carcinomas responded well, as assessed quantitatively, showed a tendency to better survival at one year. CONCLUSIONS: Histopathological changes attributable to chemotherapy can be observed in oesophageal carcinoma. The response of squamous carcinoma to MIC is histologically more evident than that of adenocarcinoma to FAM. A quantitative technique may be useful in assessing the effect of chemotherapy in oesophageal squamous carcinoma.
Full text
PDF




Images in this article
Selected References
These references are in PubMed. This may not be the complete list of references from this article.
- Hilgenberg A. D., Carey R. W., Wilkins E. W., Jr, Choi N. C., Mathisen D. J., Grillo H. C. Preoperative chemotherapy, surgical resection, and selective postoperative therapy for squamous cell carcinoma of the esophagus. Ann Thorac Surg. 1988 Apr;45(4):357–363. doi: 10.1016/s0003-4975(98)90004-2. [DOI] [PubMed] [Google Scholar]
- Kelsen D. Neoadjuvant therapy of esophageal cancer. Can J Surg. 1989 Nov;32(6):410–414. [PubMed] [Google Scholar]
- Walker S. J., Allen S. M., Steel A., Cullen M. H., Matthews H. R. A phase II study of 5-fluorouracil, adriamycin and mitomycin-C in adenocarcinoma of the oesophagus. Clin Oncol (R Coll Radiol) 1991 Nov;3(6):318–322. doi: 10.1016/s0936-6555(05)80584-9. [DOI] [PubMed] [Google Scholar]
- Walker S. J., Allen S. M., Steel A., Cullen M. H., Matthews H. R. Assessment of the response to chemotherapy in oesophageal cancer. Eur J Cardiothorac Surg. 1991;5(10):519–522. doi: 10.1016/1010-7940(91)90104-r. [DOI] [PubMed] [Google Scholar]
- Xian M. S., Hayashi K., Lu J. P., Awai M. Efficacy of traditional Chinese herbs on squamous cell carcinoma of the esophagus: histopathologic analysis of 240 cases. Acta Med Okayama. 1989 Dec;43(6):345–351. doi: 10.18926/AMO/30867. [DOI] [PubMed] [Google Scholar]




