Abstract
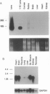
mu-Crystallin is the major component of the eye lens in several Australian marsupials. The complete sequence of kangaroo mu-crystallin has now been obtained by cDNA cloning. The predicted amino acid sequence shows similarity with ornithine cyclodeaminases encoded by the tumor-inducing (Ti) plasmids of Agrobacterium tumefaciens. Until now, neither ornithine cyclodeaminase nor any structurally related enzymes have been observed in eukaryotes. RNA analysis of kangaroo tissues shows that mu-crystallin is expressed at high abundance in lens, but outside the lens mu-crystallin is preferentially expressed in neural tissues, retina, and brain. An almost full-length cDNA for mu-crystallin was cloned from human retina. In human tissues, mu-crystallin mRNA is present in neural tissue, muscle, and kidney. This pattern of expression and relationship to an enzyme involved in unusual amino acid metabolism suggests the interesting possibility that mammalian mu-crystallins could be enzymes participating in processes such as osmoregulation or the metabolism of excitatory amino acids.
Full text
PDF




Images in this article
Selected References
These references are in PubMed. This may not be the complete list of references from this article.
- Chomczynski P., Sacchi N. Single-step method of RNA isolation by acid guanidinium thiocyanate-phenol-chloroform extraction. Anal Biochem. 1987 Apr;162(1):156–159. doi: 10.1006/abio.1987.9999. [DOI] [PubMed] [Google Scholar]
- Dandekar A. M., Uratsu S. L. A single base pair change in proline biosynthesis genes causes osmotic stress tolerance. J Bacteriol. 1988 Dec;170(12):5943–5945. doi: 10.1128/jb.170.12.5943-5945.1988. [DOI] [PMC free article] [PubMed] [Google Scholar]
- Devereux J., Haeberli P., Smithies O. A comprehensive set of sequence analysis programs for the VAX. Nucleic Acids Res. 1984 Jan 11;12(1 Pt 1):387–395. doi: 10.1093/nar/12.1part1.387. [DOI] [PMC free article] [PubMed] [Google Scholar]
- Doolittle R. F. Stein and Moore Award address. Reconstructing history with amino acid sequences. Protein Sci. 1992 Feb;1(2):191–200. doi: 10.1002/pro.5560010201. [DOI] [PMC free article] [PubMed] [Google Scholar]
- Hempel J., von Bahr-Lindström H., Jörnvall H. Aldehyde dehydrogenase from human liver. Primary structure of the cytoplasmic isoenzyme. Eur J Biochem. 1984 May 15;141(1):21–35. doi: 10.1111/j.1432-1033.1984.tb08150.x. [DOI] [PubMed] [Google Scholar]
- Hendriks W., Mulders J. W., Bibby M. A., Slingsby C., Bloemendal H., de Jong W. W. Duck lens epsilon-crystallin and lactate dehydrogenase B4 are identical: a single-copy gene product with two distinct functions. Proc Natl Acad Sci U S A. 1988 Oct;85(19):7114–7118. doi: 10.1073/pnas.85.19.7114. [DOI] [PMC free article] [PubMed] [Google Scholar]
- Piatigorsky J., Wistow G. The recruitment of crystallins: new functions precede gene duplication. Science. 1991 May 24;252(5009):1078–1079. doi: 10.1126/science.252.5009.1078. [DOI] [PubMed] [Google Scholar]
- Sans N., Schindler U., Schröder J. Ornithine cyclodeaminase from Ti plasmid C58: DNA sequence, enzyme properties and regulation of activity by arginine. Eur J Biochem. 1988 Apr 5;173(1):123–130. doi: 10.1111/j.1432-1033.1988.tb13975.x. [DOI] [PubMed] [Google Scholar]
- Sans N., Schröder G., Schröder J. The Noc region of Ti plasmid C58 codes for arginase and ornithine cyclodeaminase. Eur J Biochem. 1987 Aug 17;167(1):81–87. doi: 10.1111/j.1432-1033.1987.tb13306.x. [DOI] [PubMed] [Google Scholar]
- Schindler U., Sans N., Schröder J. Ornithine cyclodeaminase from octopine Ti plasmid Ach5: identification, DNA sequence, enzyme properties, and comparison with gene and enzyme from nopaline Ti plasmid C58. J Bacteriol. 1989 Feb;171(2):847–854. doi: 10.1128/jb.171.2.847-854.1989. [DOI] [PMC free article] [PubMed] [Google Scholar]
- Wistow G. J., Lietman T., Williams L. A., Stapel S. O., de Jong W. W., Horwitz J., Piatigorsky J. Tau-crystallin/alpha-enolase: one gene encodes both an enzyme and a lens structural protein. J Cell Biol. 1988 Dec;107(6 Pt 2):2729–2736. doi: 10.1083/jcb.107.6.2729. [DOI] [PMC free article] [PubMed] [Google Scholar]
- Wistow G. J., Mulders J. W., de Jong W. W. The enzyme lactate dehydrogenase as a structural protein in avian and crocodilian lenses. Nature. 1987 Apr 9;326(6113):622–624. doi: 10.1038/326622a0. [DOI] [PubMed] [Google Scholar]
- Wistow G. J., Piatigorsky J. Lens crystallins: the evolution and expression of proteins for a highly specialized tissue. Annu Rev Biochem. 1988;57:479–504. doi: 10.1146/annurev.bi.57.070188.002403. [DOI] [PubMed] [Google Scholar]
- Wistow G. Evolution of a protein superfamily: relationships between vertebrate lens crystallins and microorganism dormancy proteins. J Mol Evol. 1990 Feb;30(2):140–145. doi: 10.1007/BF02099940. [DOI] [PubMed] [Google Scholar]
- Wistow G., Kim H. Lens protein expression in mammals: taxon-specificity and the recruitment of crystallins. J Mol Evol. 1991 Mar;32(3):262–269. doi: 10.1007/BF02342749. [DOI] [PubMed] [Google Scholar]
- de Jong W. W., Hendriks W., Mulders J. W., Bloemendal H. Evolution of eye lens crystallins: the stress connection. Trends Biochem Sci. 1989 Sep;14(9):365–368. doi: 10.1016/0968-0004(89)90009-1. [DOI] [PubMed] [Google Scholar]



