Abstract
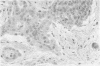
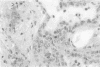
The separation of mesothelial hyperplasia from early malignant mesothelioma remains one of the most difficult problems in histopathology. Inconclusive cases are termed "atypical mesothelial hyperplasia" and treated expectantly. A 49 year old male pipeline engineer was diagnosed as having atypical mesothelial hyperplasia in appendiceal serosa by the US-Canadian Mesothelioma Panel. Eight years later, he developed overtly malignant peritoneal and pleural mesothelioma. In hindsight, histological similarities between the diffuse malignant mesothelioma and the atypical mesothelial proliferation suggested malignancy from the outset. The most important of these features were the degree of mesothelial proliferation, micronodularity, architectural complexity, superficial invasion, uniform mild cytological atypia, and the absence of a clinical cause for a benign mesothelial proliferation. Ancillary investigations including immunohistochemistry were of no benefit in determining whether the atypical mesothelial hyperplasia was benign or malignant. Careful histological examination remains the mainstay of the diagnosis of early mesothelioma.
Full text
PDF


Images in this article
Selected References
These references are in PubMed. This may not be the complete list of references from this article.
- Attanoos R. L., Gibbs A. R. Pathology of malignant mesothelioma. Histopathology. 1997 May;30(5):403–418. doi: 10.1046/j.1365-2559.1997.5460776.x. [DOI] [PubMed] [Google Scholar]
- Burmer G. C., Rabinovitch P. S., Kulander B. G., Rusch V., McNutt M. A. Flow cytometric analysis of malignant pleural mesotheliomas. Hum Pathol. 1989 Aug;20(8):777–783. doi: 10.1016/0046-8177(89)90072-5. [DOI] [PubMed] [Google Scholar]
- Cagle P. T., Brown R. W., Lebovitz R. M. p53 immunostaining in the differentiation of reactive processes from malignancy in pleural biopsy specimens. Hum Pathol. 1994 May;25(5):443–448. doi: 10.1016/0046-8177(94)90115-5. [DOI] [PubMed] [Google Scholar]
- Kafiri G., Thomas D. M., Shepherd N. A., Krausz T., Lane D. P., Hall P. A. p53 expression is common in malignant mesothelioma. Histopathology. 1992 Oct;21(4):331–334. doi: 10.1111/j.1365-2559.1992.tb00403.x. [DOI] [PubMed] [Google Scholar]
- Lanphear B. P., Buncher C. R. Latent period for malignant mesothelioma of occupational origin. J Occup Med. 1992 Jul;34(7):718–721. [PubMed] [Google Scholar]
- Mayall F. G., Goddard H., Gibbs A. R. p53 immunostaining in the distinction between benign and malignant mesothelial proliferations using formalin-fixed paraffin sections. J Pathol. 1992 Dec;168(4):377–381. doi: 10.1002/path.1711680407. [DOI] [PubMed] [Google Scholar]
- McCaughey W. T., Al-Jabi M. Differentiation of serosal hyperplasia and neoplasia in biopsies. Pathol Annu. 1986;21(Pt 1):271–293. [PubMed] [Google Scholar]
- Ramael M., Lemmens G., Eerdekens C., Buysse C., Deblier I., Jacobs W., van Marck E. Immunoreactivity for p53 protein in malignant mesothelioma and non-neoplastic mesothelium. J Pathol. 1992 Dec;168(4):371–375. doi: 10.1002/path.1711680406. [DOI] [PubMed] [Google Scholar]


