Abstract
Tenosynovial chondromatosis can occur in the flexor hallucis longus tendon sheath. Complete synovectomy and removal of the loose bodies comprise the treatment of choice. An open procedure requires extensive soft-tissue dissection because the flexor hallucis longus tendon is a deep structure except at the hallux. A tendoscopy approach to synovectomy and removal of loose bodies has the advantage of minimally invasive surgery. This technical note outlines pearls and pitfalls and provides a step-by-step guide to performing this procedure.
Tenosynovial chondromatosis is a rare condition characterized by the formation of multiple cartilaginous nodules in the synovium of the tendon sheath.1, 2 It might be an extra-articular counterpart of synovial chondromatosis of the joints because the histologic features of both are very similar.3 Tenosynovial chondromatosis has been reported in the foot and ankle region.1, 2, 3, 4, 5, 6 Resection of the diseased synovium and removal of any loose bodies are indicated for symptomatic cases that are not improved by conservative treatment. The flexor hallucis longus (FHL) tendon can be divided into 3 zones.7, 8, 9 Zone 1 is behind the ankle. Zone 2 is from the opening between the talar tubercles to the master knot of Henry. It is subdivided into zone 2A (fibro-osseous tendon sheath under the sustentaculum tali) and zone 2B (fascial tendon sheath distal to the sustentaculum tali). Zone 3 is distal to the master knot of Henry down to the phalangeal insertion. Tenosynovial chondromatosis has been reported to involve zones 1 and 2, which are categorized as deep structures.4, 6 Open surgery requires extensive soft-tissue dissection. FHL tendoscopy has been reported for the management of various FHL pathologies with the advantage of minimal soft-tissue dissection.6, 7, 8, 9, 10, 11 We describe the technical details of endoscopic removal of loose bodies from the zone 2 FHL tendon sheath.
Technique
Step 1: Preoperative Planning
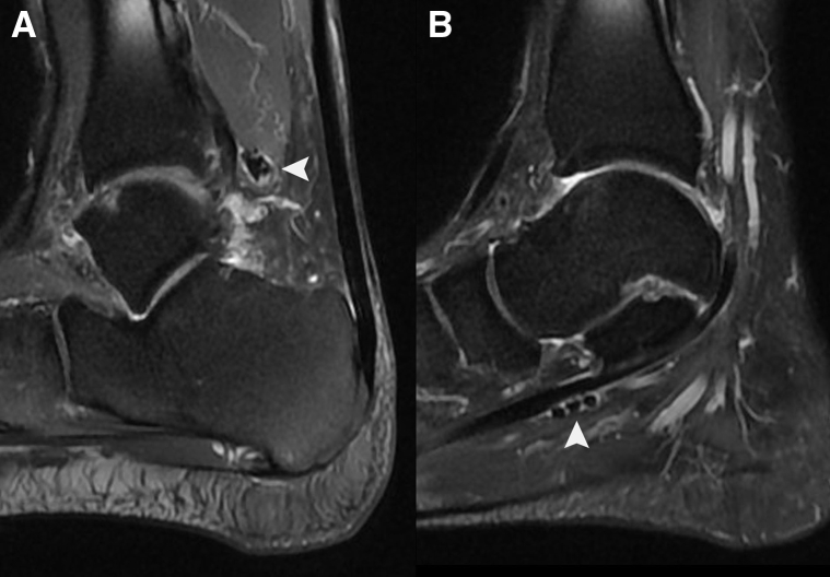
Preoperative magnetic resonance imaging (MRI) is important for gauging the extent of disease and surgical planning (Fig 1). The location of the loose bodies can be identified on MRI. MRI is particularly useful in those cases in which plain radiography cannot show calcifications or ossifications.12
Fig 1.
Sagittal views on magnetic resonance imaging of the right ankle in the illustrated case. (A) Loose bodies (arrowhead) at the zone 1 flexor hallucis longus posterior to the ankle. (B) Loose bodies (arrowhead) at the zone 2 flexor hallucis longus tendon sheath.
Step 2: Patient Positioning and Setup
The patient is in the prone position. A thigh tourniquet is applied to provide a bloodless surgical field. A 4.0-mm 30° arthroscope (Dyonics; Smith & Nephew, Andover, MA) is used for this procedure.
Step 3: Portal Placement for Zone 1 FHL Tendoscopy
Zone 1 FHL tendoscopy is performed using the posteromedial and posterolateral portals. The posterolateral portal is located at the lateral side of the Achilles tendon just above the posterior calcaneal tubercle. The posteromedial portal is located at the intersection point between the medial border of the Achilles tendon and the line joining the undersurface of the sustentaculum tali and first metatarsal. Five-millimeter skin incisions are made at the portal sites, and the subcutaneous tissue is spread and the investing fascia is penetrated by a hemostat.
Step 4: Removal of Loose Bodies and Synovectomy in Zone 1 FHL
The posterolateral portal is the viewing portal. The FHL tendon is identified at the posterior ankle as it moves with plantar flexion and dorsiflexion of the great toe. Any inflamed synovium, if present, is resected by an arthroscopic shaver (Dyonics) through the posteromedial portal. Any loose bodies at the retrocalcaneal space should be removed.
Step 5: Portal Placement for Zone 2 FHL Tendoscopy
After clearance of zone 1, zone 2 FHL tendoscopy is performed. The ankle is positioned in slight plantar flexion to relax the neurovascular bundle during zone 2 FHL tendoscopy. The FHL tendon is traced distally to the fibro-osseous orifice at the posterior talar tubercle. A Wissinger rod (Dyonics) is inserted through the posteromedial portal into the zone 2 tendon sheath under the sustentaculum tali. The rod passes through the tendon sheath and pierces through the plantar aponeurosis. There should not be any resistance during passage of the rod before the aponeurosis is reached. This can reduce the risk of injury to the tendons and neurovascular structures of the sole by the rod. The plantar portal incision is made at this point, and the rod exits through the plantar portal (Fig 2). Loose bodies are usually trapped by the interconnection tendon of the master knot of Henry (Fig 3). To facilitate access to the master knot of Henry, the aponeurosis should be penetrated at a point distal to the level of the navicular.13, 14
Fig 2.
Zone 2 tendoscopy of the right foot with the patient in the prone position. (A) The posteromedial portal is the viewing portal. A Wissinger rod is passed through the posteromedial portal, under the sustentaculum, to the plantar portal. (B) An arthroscopic view shows that the rod passes through the fibro-osseous orifice at the posterior talar tubercle. (FHL, flexor hallucis longus tendon.)
Fig 3.
Zone 2 tendoscopy of the right foot with the patient in the prone position. The posteromedial portal is the viewing portal. A loose body (LB) is trapped by the interconnection tendon (IT) at the master knot of Henry.
Step 6: Removal of Loose Bodies and Synovectomy in Zone 2 FHL
Zone 2 FHL tendoscopy is performed using the posteromedial and plantar portals. The posteromedial portal is the viewing portal, and the plantar portal is the instrumentation portal.
The arthroscope-cannula is inserted into the posteromedial portal along the rod. The rod is removed, and the arthroscope is inserted into the cannula. The arthroscope is withdrawn and guides the insertion of the arthroscopic shaver through the plantar portal. The shaver passes through the flexor digitorum brevis muscle to reach the zone 2B fascial tendon sheath. Debridement should be avoided in this zone because the thin fascial tendon sheath can be damaged and loose bodies can move outside the boundary of the zone 2 FHL tendon sheath. Moreover, the medial plantar nerve can be at risk during debridement of the zone 2B tendon sheath.8, 9 When the shaver advances further proximally, the zone 2A fibrous tendon sheath is reached. The tendon sheath is examined for any synovitis, and synovectomy is performed (Fig 4). After synovectomy is completed, the loose bodies of the tendon sheath are removed. With the exception of the removal of the loose bodies trapped in the master knot of Henry, removal of loose bodies at the zone 2B tendon sheath is not recommended because of the risk of damage to the thin tendon sheath and injury to the medial plantar nerve by the grasper. The free loose bodies of zone 2B can be translated to the zone 2A tendon sheath by the shaver. Small loose bodies can be removed by the grasper through the plantar portal (Fig 5). Large loose bodies cannot be grasped because the grasper cannot be opened up adequately because it is confined by the fibrous tendon sheath. The large loose bodies can then be pushed proximally to the retrocalcaneal space by an arthroscopic shaver through the plantar portal. The shaver is kept in situ to prevent the loose bodies from dropping into the zone 2 tendon sheath again. The loose bodies are subsequently removed through zone 1 FHL tendoscopy (Fig 6, Video 1).
Fig 4.
Zone 2 tendoscopy of the right foot with the patient in the prone position. (A) The posteromedial portal is the viewing portal. An arthroscopic shaver is inserted through the plantar portal. (B) Inflamed synovium (IS) of the zone 2A tendon sheath (TS) is resected. (FHL, flexor hallucis longus tendon.)
Fig 5.
Zone 2 tendoscopy of the right foot with the patient in the prone position. The posteromedial portal is the viewing portal. A loose body (LB) is removed from the zone 2 tendon sheath by a grasper. (FHL, flexor hallucis longus tendon.)
Fig 6.
Zone 1 flexor hallucis longus tendoscopy of the right foot with the patient in the prone position. A loose body is pushed to the retrocalcaneal space, and the shaver is left in situ. The loose body is then removed through zone 1 flexor hallucis longus tendoscopy.
Discussion
Tenosynovial osteochondromatosis is rarely reported in the foot and ankle region. Its occurrence in the FHL, flexor digitorum longus, and extensor digitorum longus has been previously reported.1, 4, 5
The disease process of synovial chondromatosis has been classified into 3 phases: the early phase; the second, transitional phase; and the third and final phase. In the early phase, active synovitis is present without loose bodies in the joint. The second, transitional phase shows nodular synovitis along with loose bodies in the joint. In the third phase, loose bodies are present but the synovitis has resolved.15
The aim of the treatment of synovial chondromatosis consists of decreasing pain and limiting the development of early osteoarthritis. Synovectomy and removal of all accessible loose bodies comprise the surgical treatment of choice.2, 16 Histologic examination of the synovium is important not only to confirm the diagnosis but also to detect any malignant transformation to low-grade chondrosarcoma.2, 17, 18 The same surgical aim and operative principle may also be applied to tenosynovial chondromatosis, although it is not known whether or not this condition will lead to tendon degeneration or tear if left untreated.6 In previous reports, open synovectomy and removal of loose bodies were performed through a posteromedial ankle incision and only focused on the posterior ankle and tarsal tunnel region.1, 2, 4 The zone 2 FHL tendon sheath at the sole cannot be accessed through a posteromedial ankle incision. Synovectomy and removal of loose bodies of the deep-seated FHL tendon sheath require extensive soft-tissue dissection. Lui6, 11 has reported synovectomy and removal of loose bodies in the zone 2 tendon sheath. This endoscopic technique has the advantage of providing access to the FHL tendon from the musculotendinous junction to the master knot of Henry without the need for extensive soft-tissue dissection. However, the technical details of loose body removal have not been described.
The posteromedial and plantar portals used for zone 2 FHL tendoscopy are coaxial portals. Synovectomy and removal of loose bodies should be avoided in the zone 2B tendon sheath because the thin fascial tendon sheath can be damaged, the loose bodies will be spread out, and the medial plantar nerve will be at risk. The working area is mainly in the zone 2A fibrous tendon sheath under the sustentaculum tali. The freedom of motion of the arthroscope and the arthroscopic instruments is limited by the tendon sheath. Synovectomy in zone 2A should be safe because the medial plantar nerve is protected by the tough fibrous tendon sheath. Loose bodies in zone 2B can be moved to zone 2A either by pushing of the arthroscopic instrument through the plantar portal or by suction of the arthroscopic shaver at zone 2A. Removal of large loose bodies by a grasper through the plantar portal can be difficult because of the confined space of the zone 2A tendon sheath and the risk of damage to the FHL tendon by the grasper. Pushing a loose body proximally to the spacious retrocalcaneal space allows easy removal of the loose body by zone 1 FHL tendoscopy. It is important to keep the arthroscopic instrument in situ to fill up the zone 2 tendon sheath. This can avoid dropping the loose body into the zone 2 tendon sheath.6 The described procedure is technically difficult and should be reserved for the experienced foot and ankle arthroscopist. The major complications of this procedure are injury to the medial plantar nerve and the lateral plantar nerve. The tibial neurovascular bundle (especially the lateral plantar nerve fibers) can be compressed by the shaft of the arthroscope when it goes into the zone 2 FHL tendon sheath through the posteromedial portal.19 The ankle should not be placed in dorsiflexion during zone 2 FHL tendoscopy. Otherwise, the tibial neurovascular bundle will tense up and move medially, increasing the risk of nerve compression by the arthroscope.19 Moreover, the medial plantar nerve can be injured by the Wissinger rod when it passes through the sole. To avoid injury to the medial plantar nerve, the rod should be inserted gently and resistance should not be encountered before the plantar aponeurosis is reached. Moreover, synovectomy and removal of loose bodies should be avoided in zone 2B. If such procedures are really needed, they should be performed under clear arthroscopic visualization and the suction should be kept to a minimum.
Loose bodies of the zone 2 FHL tendon sheath can be removal endoscopically. The surgeon should follow the technical details to avoid the neurologic complications (Table 1).8, 9, 19
Table 1.
Pearls and Pitfalls of Endoscopic Loose Body Removal From Zone 2 FHL Tendon Sheath
| Pearls |
| The ankle is positioned in slight plantar flexion during zone 2 FHL tendoscopy to reduce the risk of injury to the neurovascular bundle at the tarsal tunnel. |
| The plantar portal is made slightly distal to the navicular to allow access to the master knot of Henry. |
| Synovectomy and removal of loose bodies should be avoided in zone 2B. |
| Complete synovectomy should be performed in zone 2A. |
| Small loose bodies are grasped and removed through the plantar portal. |
| Large loose bodies are pushed proximally to the retrocalcaneal space and removed by zone 1 FHL tendoscopy. |
| Pitfalls |
| The tibial neurovascular bundle (especially the fibers of the lateral plantar nerve) at the tarsal tunnel can be compressed by the shaft of the arthroscope during zone 2 FHL tendoscopy. |
| The medial plantar nerve can be injured by the Wissinger rod when it passes through the sole. |
| The medial plantar nerve can be injured during instrumentation in the zone 2B fascial tendon sheath. |
FHL, flexor hallucis longus.
Footnotes
The author reports that he has no conflicts of interest in the authorship and publication of this article.
Supplementary Data
Endoscopic loose body removal from the zone 2 flexor hallucis longus (FHL) tendon sheath in the right foot. The patient is in the prone position. Zone 1 FHL tendoscopy is performed to remove the loose body in zone 1. A Wissinger rod is inserted into the zone 2 tendon sheath to guide the insertion of the arthroscope through the posteromedial portal. The arthroscopic instrument is inserted through the plantar portal to perform synovectomy at the zone 2 tendon sheath. Small loose bodies are grasped and removed through the plantar portal. Large loose bodies are pushed proximally to the retrocalcaneal space and removed by zone 1 FHL tendoscopy.
References
- 1.Sugimoto K., Iwai M., Kawate K., Yajima H., Takakura Y. Tenosynovial osteochondromatosis of the tarsal tunnel. Skeletal Radiol. 2003;32:99–102. doi: 10.1007/s00256-002-0594-9. [DOI] [PubMed] [Google Scholar]
- 2.Van P., Wilusz P.M., Ungar D.S., Pupp G.R. Synovial chondromatosis of the subtalar joint and tenosynovial chondromatosis of the posterior ankle. J Am Podiatr Med Assoc. 2006;96:59–62. doi: 10.7547/0960059. [DOI] [PubMed] [Google Scholar]
- 3.Ueo T., Kashima K., Daa T. A case of tenosynovial chondromatosis with tophus-like deposits. APMIS. 2004;112:624–628. doi: 10.1111/j.1600-0463.2004.apm1120911.x. [DOI] [PubMed] [Google Scholar]
- 4.Oakley J., Yewlett A., Makwana N. Tenosynovial osteochondromatosis of the flexor hallucis longus tendon. J Foot Ankle Surg. 2010;16:148–150. doi: 10.1016/j.fas.2008.12.004. [DOI] [PubMed] [Google Scholar]
- 5.Lui T.H. Tenosynovial (extra-articular) chondromatosis of the extensor digitorum longus tendon and synovial chondromatosis of the ankle: Treated by extensor digitorum longus tendoscopy and ankle arthroscopy. Foot Ankle Spec. 2015;8:422–425. doi: 10.1177/1938640014560165. [DOI] [PubMed] [Google Scholar]
- 6.Lui T.H. Tenosynovial osteochondromatosis of the flexor hallucis longus tendon treated by tendoscopy. J Foot Ankle Surg. 2015;54:758–764. doi: 10.1053/j.jfas.2015.04.003. [DOI] [PubMed] [Google Scholar]
- 7.Lui T.H. Flexor hallucis longus tendoscopy: A technical note. Knee Surg Sports Traumatol Arthrosc. 2009;17:107–110. doi: 10.1007/s00167-008-0623-x. [DOI] [PubMed] [Google Scholar]
- 8.Lui T.H., Chan K.B., Chan L.K. Zone 2 flexor hallucis longus tendoscopy: A cadaveric study. Foot Ankle Int. 2009;30:447–451. doi: 10.3113/FAI-2009-0447. [DOI] [PubMed] [Google Scholar]
- 9.Lui T.H., Chan K.B., Chan L.K. Cadaveric study of zone 2 flexor hallucis longus tendon sheath. Arthroscopy. 2010;26:808–812. doi: 10.1016/j.arthro.2009.11.007. [DOI] [PubMed] [Google Scholar]
- 10.van Dijk C.N., Scholten P.E., Krips R. A 2-portal endoscopic approach for diagnosis and treatment of posterior ankle pathology. Arthroscopy. 2000;16:871–876. doi: 10.1053/jars.2000.19430. [DOI] [PubMed] [Google Scholar]
- 11.Lui T.H. Arthroscopic synovectomy for zone 2 flexor hallucis longus tenosynovitis. Arthrosc Tech. 2015;4:e403–e405. doi: 10.1016/j.eats.2015.05.004. [DOI] [PMC free article] [PubMed] [Google Scholar]
- 12.Walker E.A., Murphey M.D., Fetsch J.F. Imaging characteristics of tenosynovial and bursal chondromatosis. Skeletal Radiol. 2011;40:317–325. doi: 10.1007/s00256-010-1012-3. [DOI] [PubMed] [Google Scholar]
- 13.Lui T.H., Chow F.Y.H. “Intersection syndrome” of the foot: Treated by endoscopic release of master knot of Henry. Knee Surg Sports Traumatol Arthrosc. 2011;19:850–852. doi: 10.1007/s00167-010-1394-8. [DOI] [PubMed] [Google Scholar]
- 14.Lui T.H. Endoscopic release of master knot of Henry. Arthrosc Tech. 2015;4:e847–e850. doi: 10.1016/j.eats.2015.08.007. [DOI] [PMC free article] [PubMed] [Google Scholar]
- 15.Milgram J.W. Synovial osteochondromatosis: A histopathological study of 30 cases. J Bone Joint Surg Am. 1977;59:792–801. [PubMed] [Google Scholar]
- 16.Bojanic I., Bergovec M., Smoljanovic T. Combined anterior and posterior arthroscopic portals for loose body removal and synovectomy for synovial chondromatosis. Foot Ankle Int. 2009;30:1120–1123. doi: 10.3113/FAI.2009.1120. [DOI] [PubMed] [Google Scholar]
- 17.Galat D.D., Ackerman D.B., Spoon D., Turner N.S., Shives T.C. Synovial chondromatosis of the foot and ankle. Foot Ankle Int. 2008;29:312–317. doi: 10.3113/FAI.2008.0312. [DOI] [PubMed] [Google Scholar]
- 18.Kaiser T.E., Ivins J.C., Unni K.K. Malignant transformation of extra-articular synovial chondromatosis: Report of a case. Skeletal Radiol. 1980;5:223–226. doi: 10.1007/BF00580594. [DOI] [PubMed] [Google Scholar]
- 19.Lui T.H. Lateral plantar nerve neuropraxia after FHL tendoscopy: Case report and anatomic evaluation. Foot Ankle Int. 2010;31:828–831. doi: 10.3113/FAI.2010.0828. [DOI] [PubMed] [Google Scholar]
Associated Data
This section collects any data citations, data availability statements, or supplementary materials included in this article.
Supplementary Materials
Endoscopic loose body removal from the zone 2 flexor hallucis longus (FHL) tendon sheath in the right foot. The patient is in the prone position. Zone 1 FHL tendoscopy is performed to remove the loose body in zone 1. A Wissinger rod is inserted into the zone 2 tendon sheath to guide the insertion of the arthroscope through the posteromedial portal. The arthroscopic instrument is inserted through the plantar portal to perform synovectomy at the zone 2 tendon sheath. Small loose bodies are grasped and removed through the plantar portal. Large loose bodies are pushed proximally to the retrocalcaneal space and removed by zone 1 FHL tendoscopy.






